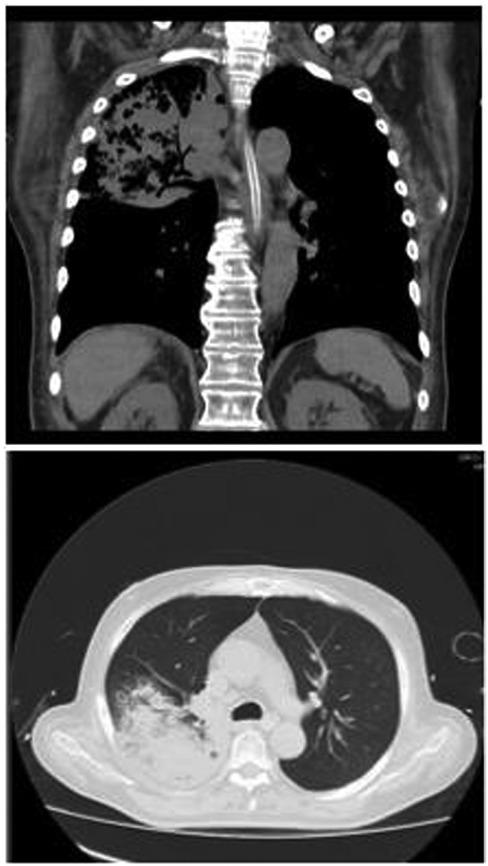
Figure 1

Laboratory Tests
| Date | 23/03/17 | 24/03/17 | 25/03/17 | 26/03/17 | 29/03/17 |
|---|---|---|---|---|---|
| Leucocytes | 13720 | 18400 | 17410 | 14870 | 12850 |
| Neutrophils | 86.2% | 86.9% | 83.5% | 84% | 85% |
| Lymphocytes | 3.9% | 0.85% | 6.3% | 6.1% | 8.5% |
| Haemoglobin | 11.3 | 10.5 | 10.9 | 11.1 | 10.9 |
| Haematocrit | 33.4 | 32 | 33.6 | 33 | 27.7 |
| Platelets | 174000 | 247000 | 218000 | 234000 | 216000 |
| Creatinine | 1.51 | 1.67 | 2.19 | 2.19 | 1.28 |
| Blood urea nitrogen | 55.2 | 60.68 | 74.44 | 74.44 | 44.5 |