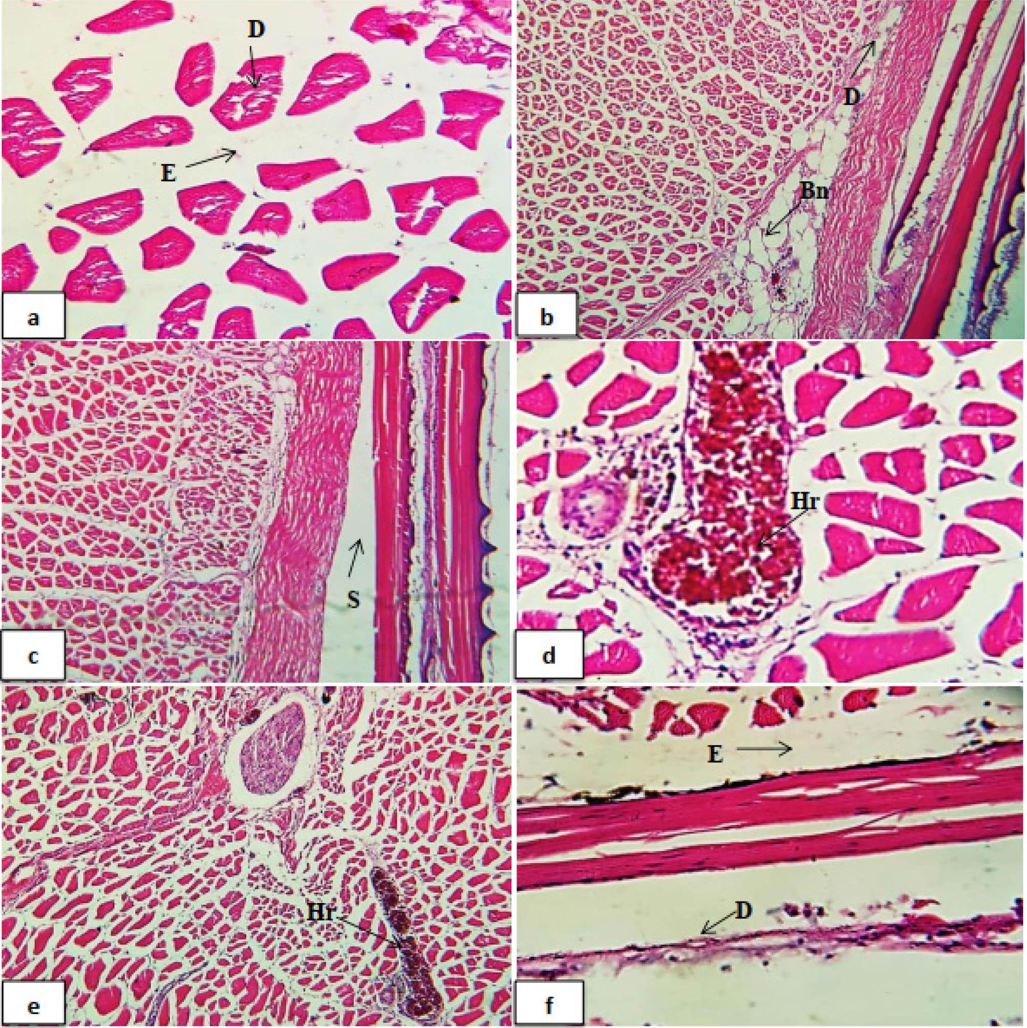
Figure 1

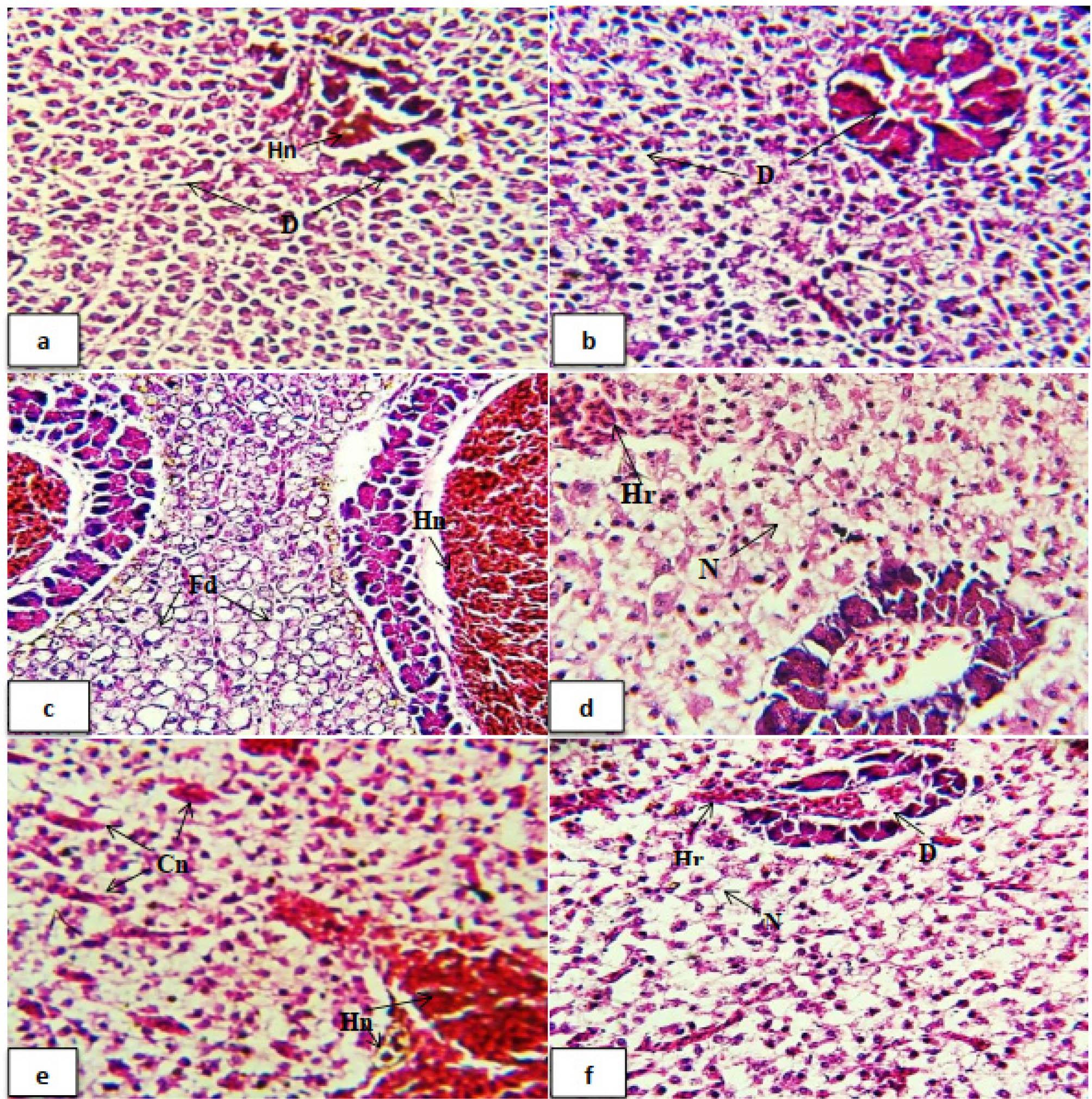
Figure 2

Figure 3

Figure 4

Figure 5

Estimated daily intakes of heavy metals for consumable fish collected from Qahr El-Bahr, the oral reference dose (RfD) and the maximum tolerable daily intake (MTDI)
| Estimated Daily Intakes (EDIs; mg kg−1) | ||||||||
|---|---|---|---|---|---|---|---|---|
| Species | Fe | Zn | Cu | Mn | Pb | Cd | Ni | |
| O. niloticus | Range | 29.7–68.3 | 23.2–33.8 | 1.7–3.4 | 2.3–5.6 | 1.2–2.7 | 0.3–0.9 | 3.6–4.9 |
| O. aureus | Range | 30.9–68.6 | 25.9–37.1 | 1.9–5.2 | 2.4–6.1 | 1.3–3.9 | 0.3–1.1 | 3.8–5.4 |
| T. zillii | Range | 49.6–80.0 | 32.4–40.8 | 2.7–3.9 | 3.8–6.6 | 1.8–4.0 | 0.8–1.2 | 4.5–5.5 |
| RfD* | 0.7 | 0.3 | 0.037 | 0.14 | 0.0035 | 0.001 | 0.02 | |
| MTDI** | 0.8 | 1 | 0.5 | 1 | 0.003 | 0.0008 | 5 | |
| MTDI-70 | 56 | 70 | 35 | 70 | 0.21 | 0.056 | 350 | |
Metal concentration (mg kg−1) in the muscles and gills of fish species collected from Qahr El-Bahr
| Fish species (muscle) | Fe | Zn | Cu | Mn | Pb | Cd | Ni | |
|---|---|---|---|---|---|---|---|---|
| O. niloticus | Range | 36.4–83.9 | 28.5–41.5 | 2.0–4.2 | 2.9–6.9 | 1.5–3.3 | 0.4–1.1 | 4.39–6.01 |
| O. aureus | Range | 37.9–84.3 | 30.7–45.6 | 2.3–6.4 | 2.9–7.5 | 1.6–4.8 | 0.4–1.4 | 4.68–6.65 |
| T. zillii | Range | 60.9–98.3 | 39.8–50.1 | 3.3–4.8 | 4.7–8.1 | 2.2–4.9 | 1.0–1.4 | 5.52–6.73 |
| Fish species (gills) | Fe | Zn | Cu | Mn | Pb | Cd | Ni | |
| O. niloticus | Range | 119.3–220.0 | 55.0–76.6 | 4.8–7.7 | 21.3–54.2 | 3.6–6.0 | 1.0–1.4 | 11.6–13.8 |
| O. aureus | Range | 131.5–221.5 | 52.6–105.2 | 5.9–10.1 | 30.7–61.3 | 5.5–7.2 | 1.4–2.1 | 11.4–14.0 |
| T. zillii | Range | 189.5–291.2 | 66.9–105.2 | 4.7–8.2 | 35.9–68.9 | 4.3–7.2 | 1.4–2.3 | 12.5–15.9 |
Distribution of heavy metals in water and sediment of Lake Al-Manzalah (Goher et al_ 2017)
| Metal | Lake water | Lake sediment | ||
|---|---|---|---|---|
| Unit | Value | Unit | Value | |
| Fe | μg l−1 | 216.7–862.4 | mg g−1 | 8.50–15.36 |
| Mn | 8.7–34.6 | μg g−1 | 96.4–362.4 | |
| Zn | 22.2–58.4 | 15.3–108.3 | ||
| Cu | 4.3–15.0 | 5.6–19.0 | ||
| Pb | 7.9–74.7 | 5.7–63.5 | ||
| Cd | 1.0–3.7 | 1.09–4.10 | ||
| Ni* | 13.99–51.54 | 10.01–62.73 | ||
Carcinogenic and non-carcinogenic risk of metals due to fish consumption based on fish samples collected from Qahr El-Bahr
| Species | HQ | HI | TCR | |||||||||
|---|---|---|---|---|---|---|---|---|---|---|---|---|
| Fe | Zn | Cu | Mn | Pb | Cd | Ni | Pb | Cd | Ni | |||
| O. niloticus | Range | 0.04–0.10 | 0.08–0.11 | 0.05–0.09 | 0.02–0.04 | 0.34–0.77 | 0.33–0.90 | 0.18–0.25 | 1.21–2.10 | 1 × 10−5–2.3 × 10−5 | 1 × 10−4–3 × 10−4 | 6 × 10−3–8 × 10−3 |
| Mean ± SD | 0.06 ± 0.02 | 0.10 ± 0.01 | 0.06 ± 0.02 | 0.03 ± 0.01 | 0.51 ± 0.16 | 0.53 ± 0.23 | 0.22 ± 0.01 | 1.51 ± 0.40 | 2 × 10−5 ± 5 × 10−6 | 2 × 10−4 ± 9 × 10−5 | 8 × 10−3±7 × 10−4 | |
| O. aureus | Range | 0.04–0.10 | 0.08–0.12 | 0.05–0.14 | 0.02–0.04 | 0.37–1.11 | 0.33–1.10 | 0.19–0.27 | 1.43–2.69 | 1 × 10−5–3 × 10−5 | 1 × 10−4–4 × 10−4 | 6 × 10−3–9 × 10−3 |
| Mean ± SD | 0.06 ± 0.02 | 0.10 ± 0.01 | 0.08 ± 0.03 | 0.03 ± 0.01 | 0.71 ± 0.28 | 0.84 ± 0.27 | 0.23 ± 0.03 | 2.05 ± 0.50 | 2 × 10−5 ± 8 × 10−6 | 3 × 10−4 ± 1 × 10−4 | 8 × 10−3 ± 9 × 10−4 | |
| T. zillii | Range | 0.07–0.11 | 0.11–0.14 | 0.07–0.11 | 0.03–0.05 | 0.51–1.14 | 0.84–1.16 | 0.23–0.27 | 2.08–2.84 | 2 × 10−5–3 × 10−5 | 3 × 10−4–4 × 10−4 | 8 × 10−3–9 × 10−3 |
| Mean ± SD | 0.09 ± 0.01 | 0.12 ± 0.01 | 0.09 ± 0.01 | 0.04 ± 0.01 | 0.89 ± 0.26 | 0.99 ± 0.12 | 0.25 ± 0.02 | 2.46 ± 0.27 | 3 × 10−5±8 × 10−6 | 4 × 10−4 ± 5 × 10−5 | 8 × 10−3 ± 7 × 10−4 | |
List of fish species, total length and size of tilapia fishes caught in Qahr El-Bahr, Lake Al-Manzalah
| Species | Total length (cm) Mean ± SD | Body weight (g) Mean ± SD |
|---|---|---|
| Oreochromis niloticus (O. niloticus) | 23.51 ± 1.12 | 265.2 ± 52.6 |
| Oreochromis aureus (O. aureus) | 22.36 ± 0.98 | 252.4 ± 48.3 |
| Tilapia zillii (T. zillii) | 13.11 ± 1.45 | 95.5 ± 15.6 |