Fig. 1.

Fig. 2.

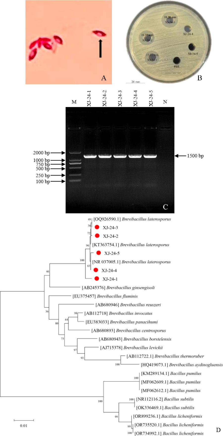
Fig. 3.

Fig. 4A and B.

Fig. 4C, D and E.

Fig. 5.

Fig. 6.

Prediction of molecular sequences with antimicrobial activity in the Brevibacillus laterosporus XJ-24-3 isolate
| Antimicrobial molecule | Detected by | Amino acid sequence |
|---|---|---|
| Laterosporulin | BAGEL4 | MACVNECPDAVDDWAYGDWKCHPVEGKYYRHVFAVCMNGANLYCKTEWSKGC |
| 223.2 (UviB) | BAGEL4 | MEESVMNALLQQGPFAALFVWLLFSTKKEGRDRETRLVKQAQAREAKLMEHNERMVIQLERNTSTLQQIERSLSGLEMELQELKEKVE |
| 224.2 (UviB) | BAGEL4 | MGSFGSLLYLPQGGDKERKSMEEPLFNALLSQGPFAGLFVWLLFSTKKEGRDRETRLVEQAQQREAKLMEHSERMVIQLERNTTTLQQIERSLNGLENELEELKE KVG |
| Linear azol(in)e-containing peptide | BAGEL4 | MDDFQNELKKLRVDKFQGGDVSPWENESQQDAMLVQRRCGRCHHCSCSCSCSCSCSCSCSCSCSCVCLFINCFRCSRCSRCF |
| Sactipeptide | BAGEL4 | MKNYTTPKVKVVNPGVIDVIDSCQCGSKNGAGA |
| Class I lanthipeptide | BAGEL4 | MKKEDLFDLDVQVKEASQAQGDSVVSDLICTTFCSATFCQSNCC |
| Bottromycin | BAGEL4 | MGPVVVFDCMTADFLNDDPNNAELSALELEELESWGVWSEDNQSV |
| BM1122 | antiSMASH | MNKTELIAKVAETSELTKKDATKAVDAVLDAISDALKEGDKVQLIGFGNFEVRERAARKGRNPQTGEEIEIASSKIPAFKPGKQLKDSIK |
| Lactococcin 972-like | antiSMASH | MDKSQKFPDSPLSKEEWRQLDETIVEMARRQLVGRRFIDIYGPLGEGIQTITN DIYDESRFGNMSLRGESLELTQPSKRVSLTIPIVYKDFMLYWRDMAQARTLG MPIDLSPAANAASSCALMEDDLIFNGNPEFDLPGIMNVKGRLTHIKSDWMES GNAFADIVEARNKLLKMGHSGPYALVVSPELYSLLHRVHKGTNVLEIDHIRN LVTDGVFQSPVIKGGALVATGRHNLDLAIAEDFDSAFLGDEQMNSLMRVYEC AVLRIKRPSAICTLETTEE |
| Holin | antiSMASH | MKVLFLLHKMRQGGKNGMEESVMNALLQQGPFAALFVWLLFSTKKEGRDR ETRLVKQAQAREAKLMEHNERMVIQLERNTSTLQQIERSLSGLEMELQELKE KVE |