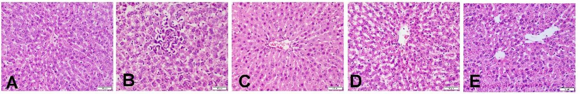
Fig. 1.

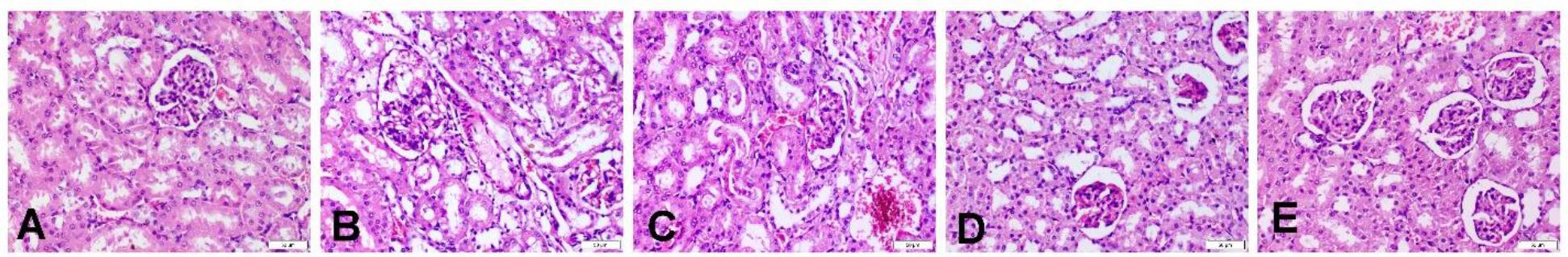
Fig. 2.

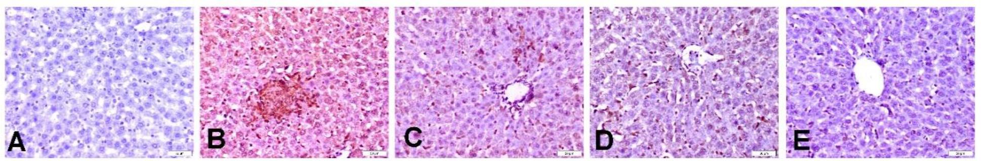
Fig. 3.

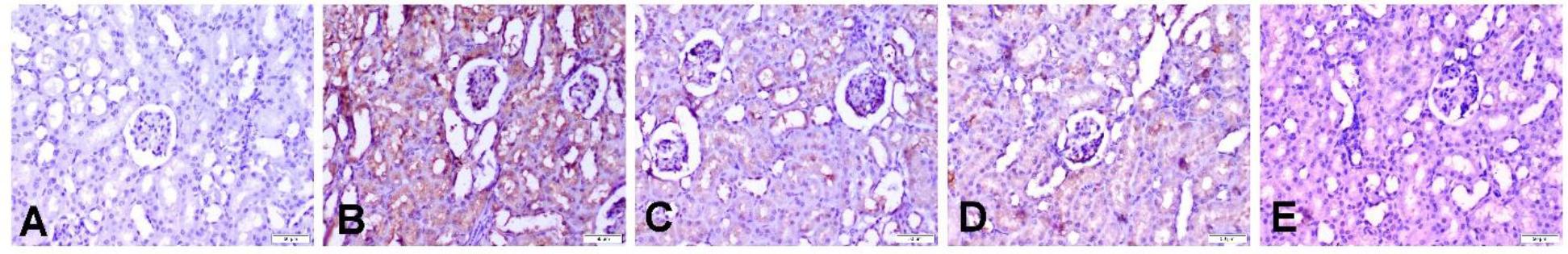
Fig. 4.

Fig. 5.

Fig. 6.

Fig. 7.

Fig. 8.

Fig. 9.

Fig. 10.

Primers used for quantitative reverse-transcription PCR to determine nuclear factor erythroid 2-related factor 2 (Nrf2) pathway genes in liver and kidney tissue from Wistar rats subjected to hepatorenal toxic insult by diclofenac sodium (DIC) after being administered or denied protective compounds
| Gene | Sense primer (5′–3′) | Antisense primer (5′–3′) | GenBank accession No. |
|---|---|---|---|
| Nrf2 | CACATCCAGACAGACACCAGT | CTACAAATGGGAATGTCTCTGC | XM_006234398.3 |
| HO-1 | ACAGGGTGACAGAAGAGGCTAA | TCAAGAGGAGCAGAAAAAGAACAAG | NM_012580.2 |
| NQO1 | CTGTGAGGGACTCTGGTCTTTG | CTGAAAGCAAGCCAGGCAAAC | NM_017000.3 |
| β-actin | GGTGGGTATGGGTCAG | ATGCCGTGTTCAATGG | NM_031144.3 |
Biochemical analysis of liver and kidney function markers in in Wistar rats subjected to hepatorenal toxic insult by diclofenac sodium (DIC) after being administered or denied protective compounds
| Biomarker | Group | Biomarker | Group | ||||||||
|---|---|---|---|---|---|---|---|---|---|---|---|
| Control | DIC | SLY | ALA 50 | ALA 100 | Control | DIC | SLY | ALA 50 | ALA 100 | ||
| ALT (U/L) | 36.14## ± 3.53 | 82.29** ± 6.70 | 65.71**## ± 6.87 | 72.14**## ± 3.29 | 40.71## ± 3.50 | Albumin (g/dL) | 4.24## ± 0.17 | 3.24** ± 0.25 | 3.70**## ± 0.14 | 3.63**## ± 0.11 | 3.82**## ± 0.37 |
| AST (U/L) | 53.71## ± 3.59 | 101.43** ± 8.60 | 72.29**## ± 5.38 | 72.29**## ± 5.56 | 58.00## ± 3.06 | Globulin (g/dL) | 2.98## ± 0.37 | 1.84** ± 0.45 | 2.71**## ± 0.44 | 2.71## ± 0.43 | 3.19## ± 0.54 |
| ALP (U/L) | 134.29## ± 10.40 | 194.43** ± 9.81 | 165.29**## ± 9.48 | 159.43**## ± 8.72 | 142.29**## ± 10.26 | Urea (mg/dL) | 29.14## ± 3.72 | 95.14** ± 5.05 | 87.29**## ± 4.92 | 64.14**## ± 6.77 | 39.57**## ± 4.31 |
| Total bilirubin (μmol/L) | 6.10## ± 0.66 | 9.83** ± 1.75 | 7.80**## ± 0.52 | 7.62**## ± 0.53 | 6.35## ± 0.65 | Creatinine (mg/dL) | 0.65## ± 0.58 | 1.64** ± 0.17 | 1.29**## ± 0.10 | 1.02**## ± 0.13± | 0.76## ± 0.10 |
| Total proteins (g/dL) | 7.23## ± 0.33 | 5.08** ± 0.38 | 6.42**## ± 0.41 | 6.34**## ± 0.39 | 7.00## ± 0.46 | Uric acid (mg/dL) | 4.49## ± 0.62 | 19.94** ± 1.07 | 12.60**## ± 1.14 | 7.67## ± 1.09± | 6.09## ± 0.85 |