Skip to main content
Have a personal or library account? Click to login
The impact of a modified anaesthetic protocol on animal survival and the characteristics of ventricular arrhythmias in the course of acute myocardial infarction in a domestic pig model Cover

The impact of a modified anaesthetic protocol on animal survival and the characteristics of ventricular arrhythmias in the course of acute myocardial infarction in a domestic pig model

Open Access
|Aug 2022

Full Article

Introduction

Abnormal biomarker levels with signs of acute myocardial ischaemia satisfy the clinical definition of myocardial infarction (MI) (54). Obstruction of one of the coronary arteries results in ischaemia of the area supplied by this artery (54). The most common site of occlusion is the left anterior descending coronary artery (LAD). Studies on MI in humans show that occlusion in the proximal section of the LAD results in a greater area of necrosis and more significant mortality than medial or distal LAD occlusion (8, 18). The common complications of MI are life-threatening arrhythmias – ventricular tachycardia (VT) and ventricular fibrillation (VF) – which are considered the leading causes of death in the acute phase of myocardial infarction (5, 17). These arrhythmias usually occur in the early stages of ischaemia, but the reperfusion process also significantly increases the possibility of their development. Possible causes include hypoxia of cells resulting in metabolic acidosis which disturb the ion balance of the cells (15, 22), arrhythmias in the re-entry

mechanism (33), or foci of cardiac arrhythmias (15, 22).

The use of animal models plays a significant role in MI research, enabling experiments in the pathophysiology, prevention, diagnosis, and therapy of MI. Generally, large animals are good material for arrhythmia studies because of similarities in the action potential and ion channel profiles (11). Since the pig heart’s anatomy and size, and the structure of its coronary circulation are similar to those of the human heart, it is a suitable research model for studying the pathophysiology and treatment of human myocardial ischaemia (2, 19, 27, 31, 32, 60). Additionally, pigs have similar body weight and vital parameters to humans, such as the heart rate (24, 40, 43). Myocardial ischaemia caused by occlusion of the coronary arteries in pigs produces similar changes to the pathological changes reported in humans with MI, which further justifies using the porcine model. This feature significantly impedes the development of collateral circulation and the heart stimulatory system that is sensitive to ischaemia and hypoxia (10, 13, 17, 41, 53). In summary, LAD occlusion in the pig model leads to the formation of relatively large infarct zones and various types of arrhythmias (28, 29).

The porcine model of myocardial ischaemia is most often obtained by transvascular or thoracic occlusion of the coronary vessels. Models of MI in the pig with a closed chest include occlusion of the coronary arteries using an angioplasty balloon (9, 39, 44, 47, 51, 52, 57, 61, 62), coils (14, 21), agarose gel balls (17), a purpose-made foam sponge (46), or balls with an attached filament (36). Closed-chest models are less invasive than open-chest models and more similar to human MI pathophysiology. They are more survivable by animals and – in most cases – need shorter procedure times and cost less (37). Studies using LAD occlusion to induce MI in pigs have used different anaesthetic protocols (28, 35, 47, 51, 52). Usually, anaesthetic care consisted of appropriate premedication of the animal, then induction of general anaesthesia and its maintenance. For premedication, most often tiletamine (52) or a combination of tiletamine with zolazepam (51), ketamine (28), midazolam (35), atropine (28) or their mixtures (28, 47) were used. To induce anaesthesia, propofol (47), isoflurane (35, 51, 52), sodium pentobarbital (28) or thiopental (35) were used. The sinus rhythm was restored with appropriate drugs, such as amiodarone (28, 47, 51, 52) and lignocaine (28, 35, 47, 51) or with defibrillation (28, 35, 47, 51, 52). However, the available publications do not describe anaesthetic procedures stabilising the animal’s condition and correcting the haemodynamic disorders caused by MI and the development of cardiac arrhythmias. Haemodynamic disturbances due to MI induced by LAD occlusion may be hypotension, hypovolaemia, or shock, which if left untreated may result in the death of the animal during the procedure or a shorter survival time after its completion. Appropriate action to compensate for these disorders is essential, especially in the procedure of LAD closure in its proximal part, which is characterised by high mortality (28, 35, 52).

So far, the porcine infarction model has been mainly used to study ventricular arrhythmias (39, 41, 55), antiplatelet drugs for myocardium cardioprotection (57, 61, 62), VF management (30, 39, 45, 58), post-reperfusion injuries (9) and therapies for heart failure following MI (51). However, pigs have a predisposition to ventricular arrhythmias in MI that are resistant to treatment, which results in the high mortality rate of this model in standard anaesthetic management (37, 41, 49, 59). In pig MI models generated with an angioplasty balloon, LAD occlusion leading to ischaemia is performed in the medial or distal LAD (9, 25, 28, 30, 39, 44, 45, 48, 52, 90, 91, 92), which increases the survival rate of the animals used in the experiment. To the best of our knowledge, there are no reports in the literature on an effective way to achieve MI in pigs by occluding the proximal part of the LAD using an angioplasty balloon. The high mortality associated with MI due to proximal LAD occlusion in humans recommends the development of a stable porcine MI model induced by the same LAD occlusion as good material for research on the therapeutic and protective management of the myocardium during ischaemia. Hence, the presented study aimed firstly to evaluate a porcine model of MI obtained by proximal LAD occlusion under a modified anaesthetic protocol intended to stabilise the condition of the pigs during MI and secondly to characterise the ventricular arrhythmias developing during the procedure.

Material and Methods

Animals. The study was carried out on 19 female pigs of the Polska Biała Zwisłoucha breed (National Research Institute of Animal Production Experimental Station, Żerniki Wielkie, Poland), aged 16–20 weeks and weighing 33–44 kg. The pigs were all fed an identical complete feed meeting nutritional standards and kept under the same breeding conditions. Before starting the tests, all animals underwent acclimation to become used to handling and grooming activities.

Protocol for establishing a model of acute myocardial infarction – preparation of animals. The animals’ access to food was restricted for 12 h before the procedures started. All procedures and measurements were performed according to the same anaesthesia scheme and the same operating procedure.

Premedication and induction and maintenance of general anaesthesia. Pigs were premedicated with an intramuscular injection of a mixture containing ketamine (Vetaketam; Vet-Agro, Lublin, Poland) (10 mg/kg b.w.), midazolam (Midanium; Polfa Warszawa, Warsaw, Poland) (0.3 mg/kg b.w.) and medetomidine (Sedator; Eurovet Animal Health BV, Bladel, The Netherlands) (0.03 mg/kg b.w.). The drugs used in the premedication differ from those in the schemes described in the literature (23, 30, 32, 33, 39), and to our knowledge, this combination was used for the first time. After immobilisation, the animals were placed in the sternum position, and vascular access was obtained to the marginal vein of the ear. After general anaesthesia induction, propofol (Provive; Claris Lifesciences UK, Crewe, UK) was administered intravenously (2 mg/kg b.w.), and the animal was intubated with a size 8 endotracheal tube (Murphy Tracheal Tube; SUMI, Sulejówek, Poland). After intubation, the animals were mechanically ventilated using 100% oxygen and a closed gas system with a carbon dioxide absorber. Ventilation was initiated in the pressure-swing mode, and after the animal was stabilised and the ventilation and capnometry parameters were assessed, it was switched to the volumetric-swing mode. The oxygen flow was maintained at 2 L/min (Primus; Dräger Medical AG & Co., Lübeck, Germany) with a tidal volume of 10 mL/kg b.w. and the number of breaths was 12/min. The tidal volume was appropriately adjusted to maintain the end-tidal CO2 concentration between 35 and 45 mmHg. Anaesthesia was maintained with isoflurane (Forane; Abbott Laboratories, Warsaw, Poland) administered using an appropriately calibrated vaporiser (Vapor 2000; Dräger Medical AG & Co). The isoflurane concentration (1.5% to 2.5% in 100% oxygen) was monitored (Lifepack 12, Medtronic, Redmond, WA, USA) and regulated using a vaporiser based on capnometry values to keep the final concentration at 1 minimum alveolar concentration. Intraoperative analgesia was provided by intravenous administration of fentanyl (Fentanyl WZF; Polfa Warszawa), initially as a bolus (10 μg/kg b.w.) and then as a continuous infusion at a dose of 10 μg/kg b.w./h. During the procedure, fluid therapy was administered in the form of constant rate infusion (CRI) of a multi-electrolyte solution (Optilyte; Fresenius Kabi Polska, Kutno, Poland) at a dose of 6–12 mL/kg b.w./h, depending on the animal’s hydration status and response to drugs. Throughout the procedure, complete anaesthetic monitoring was carried out by non-invasively measuring internal body temperature, saturation, pulse and blood pressure (Lifepack 12) and electrocardiography. The heart rhythm was continuously monitored with a 12-lead ECG test (BTL-08 MT Plus ECG; BTL Industries, Stevenage, UK).

Treatment of haemodynamic disorders. In the event of a drop in blood pressure during the procedure, the patients were haemodynamically stabilised. For this purpose, the animal was treated as needed with boluses of lactated Ringer’s solution (Fresenius Kabi Polska) (10 mL/kg b.w.) and boluses of hydroxyethyl starch 130/0.4 (Voluven; Fresenius Kabi Deutschland, Bad Homburg vor der Höhe, Germany) (3–5 mL/kg b.w.). In the absence of a haemodynamic response to the applied fluid boluses, continuous infusion of dopamine (Dopaminum Hydrochloricum WZF; Polfa Warszawa) was started at an initial dose of 4 μg/kg b.w./min and subsequently adjusted depending on the operational needs and the animal’s response to the treatment. There was no need to use dopamine at a dose above 10 μg/kg b.w./min during the procedures. The patient was put into the Trendelenburg position to increase blood flow to the heart and cardiac output until hypovolaemia was corrected.

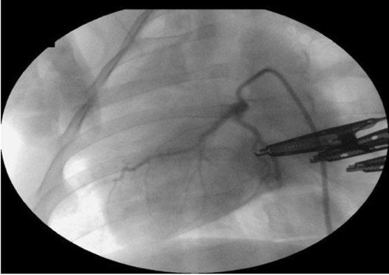
Induction of myocardial infarction. Percutaneous access to the femoral artery was obtained under ultrasound control (F37; Hitachi Aloka Medical Ltd, Mure, Mitaka-shi, Tokyo, Japan) using a 21G femoral puncture needle (21G; Balton, Warsaw, Poland) and a 6F diameter vascular introducer sheath (Balton). Following insertion of a 6F diameter Judkins Left 3.5 curvature guide catheter (Launcher; Medtronic), heparin (Heparinum WZF; Polfa Warszawa) was administered (6,000 UI), and coronary angiography was performed (Fig. 1).

Fig. 1

Coronary angiography performed on a female pig subjected to myocardial infarction induced by 30 min occlusion of the proximal part of the left anterior descending coronary artery with an angioplasty balloon in a modified anaesthetic protocol

Then a 0.014ʺ balance middleweight 300 cm angioplasty guidewire (Abbott, Santa Clara, CA, USA) was inserted through the catheter and placed under fluoroscopic control (Symbol; General Medical Merate SpA, Seriate, Italy) in the proximal segment of the LAD. A 3.0 × 10 mm over-the-wire angioplasty balloon (Sprinter; Medtronic) was placed on the guidewire. The balloon was inflated to 6 atm and held at that pressure for 30 min for complete LAD occlusion. Arterial closure was confirmed by angiography (Fig. 2), while MI was diagnosed by ST-segment elevation on the 12-lead ECG (Fig. 3). Additionally, MI was confirmed by histopathological analysis of myocardial tissues collected from the animals when euthanised 4 weeks after the procedure.

Fig. 2

Coronary angiography presented occlusion of the proximal segment of the left anterior descending artery achieved with an angioplasty balloon in a female pig subjected to myocardial infarction in a modified anaesthetic protocol

Fig. 3

Features of acute myocardial ischemia – ST-segment elevation in a female pig subjected to myocardial infarction induced by 30 min occlusion of the proximal part of the left anterior descending coronary artery with an angioplasty balloon in a modified anaesthetic protocol. The sinus rhythm is shown at a rate of 106 bpm. V1 – costochondral junction of the right first intercostal space; V2 – sixth intercostal space, to the left of the sternum; V3 – midway point between leads V2 and V4; V4 – costochondral junction of the sixth intercostal space; V5 – sixth intercostal space, dorsal to V4 at a distance equal to the distance between V2 and V3 or V3 and V4; V6 – sixth intercostal space, dorsal to V5 at a distance equal to the distance between V2 and V3, V3 and V4 or V4 and V5. Paper speed: 50 mm/s; amplitude: 10 mm/mV; 25 Hz notch filter; Fuzzy+ software filter

Anti-arrhythmic treatment. The VT onset was treated with an intravenous infusion of 2% lignocaine (Lignocainum Hydrochloricum WZF 2%; Polfa Warszawa) at 25–50 μg/kg b.w. (the dose was adjusted according to the animal’s response to treatment) and an infusion of amiodarone (Cordarone; Sanofi-Aventis France, Paris, France) at 5 mg/kg b.w./h diluted in 250 mL of 5% glucose solution (B. Braun, Melsungen, Germany). Ventricular fibrillation was terminated with external defibrillation at 300 J or 360 J for recurrent VF episodes (Lifepack 12).

Statistical analysis. Data on the number and type of arrhythmias and their duration were statistically analysed using GraphPad Prism 5.0 (GraphPad, San Diego, CA, USA). The Shapiro–Wilk normality test was used to check the distribution and normality of the data distribution. The mean ± standard deviation was calculated for normally distributed data, while the median (range) was calculated for skewed data. Differences in the incidence of arrhythmias were calculated using nonparametric Kruskal–Wallis analysis followed by Dunn’s multiple comparisons in a post-hoc test. A P-value of <0.05 was considered statistically significant. Charts presenting selected data were prepared in the free-to-use web wizard LiveGAP (https://charts.livegap.com).

Results

All 19 animals survived the 30 minutes LAD occlusion procedure, and 19 records were analysed. All pigs subjected to the procedure showed an elevated electrocardiographic ST-segment in the first 10 min of induction of LAD occlusion, with a median of 1 (1–5) min. Only one animal (5.26% of all pigs) showed no cardiac arrhythmias during an induced MI. In comparison, at least one type of arrhythmia was diagnosed in the rest of the 18 pigs (94.74% of all pigs) (P < 0.0001). Treatment aimed at correcting haemodynamic disturbances was administered to nine pigs which developed VF. The use of dopamine, in addition to fluid therapy, was required in seven pigs. Table 1 shows the mean values of the ECG parameters determined before, during, and after induction of MI.

Table 1

Mean values of ECG parameters at different stages of the experiment

Before MI inductionDuring MI induction procedureAfter MI induction
HR (bpm)91.8489.3288.53
PQ (ms)101.79109.16129.06
QRS (ms)82.0080.7469.53
QTc (ms)490.95480.11458.00

MI – myocardial infarction; HR – heart rate; PQ – interval from the beginning of the P wave to the beginning of the Q wave; QRS – interval from the end of the PQ interval to the end of the S wave; QTc – interval from the start of the Q wave to the end of the T wave corrected for heart rate

Types of arrhythmias. Ventricular arrhythmias were found in all 18 animals with the described cardiac arrhythmias. The most common arrhythmia was ventricular premature complexes (VPCs) (Figs 4a and 4b), defined as a single ventricular beat occurring earlier than the expected sinus beat. It was found in the electrocardiographic records of 16 pigs (84.21% of all pigs and 88.89% of pigs with diagnosed arrhythmia). All 16 pigs with VPCs developed polymorphic VPCs of left ventricular origin (Fig. 4a), and additionally, two of them developed single monomorphic VPCs of right ventricular origin (Fig. 4b).

Fig. 4a

Single ventricular premature complex (the 4th beat) of left ventricular origin in a female pig subjected to myocardial infarction induced by 30 min occlusion of the proximal part of the left anterior descending coronary artery with an angioplasty balloon in a modified anaesthetic protocol. I – bipolar limb lead, potential difference between the electrodes on the left superior limb and the right superior limb; II – bipolar limb lead, potential difference between the electrodes on the left inferior limb and the right superior limb; III – bipolar limb lead, potential difference between the electrodes on the left inferior limb and the left superior limb; aVR – augmented unipolar right limb lead; aVL – augmented unipolar left limb lead; aVF – augmented unipolar left hindlimb lead. The sinus rhythm is shown at a rate of 63 bpm. Paper speed: 50 mm/s; amplitude: 10 mm/mV; 25 Hz notch filter; Fuzzy+ software filter

The most common type of arrhythmia seen concurrently with VPCs was ventricular tachycardia, recorded in 11 pigs with VPCs (68.75%). Ventricular premature complexes occurred alone only in two pigs (11.11% of pigs with arrhythmias and 10.53% of all pigs). Ventricular couplets were found in 9 out of 18 pigs with arrhythmias (50% of pigs with arrhythmias and 47.37% of all pigs). Three consecutive ventricular beats (triplets) occurred in three pigs (16.67% of pigs with arrhythmias and 15.79% of all pigs). Ventricular bigeminies, defined as regular sinus beats continuously alternating with premature ventricular beats, were reported in three pigs (16.67% of pigs with arrhythmias and 15.79% of all pigs). Equally frequently occurring ventricular trigeminies (two sinus beats alternating with one premature ventricular beat) were found in three pigs (16.67% of pigs with arrhythmias and 15.79% of all pigs).

Ventricular tachycardia (Fig. 5) was diagnosed in 12 pigs (66.67% of pigs with arrhythmias and 63.16% of all pigs) and all tachycardia episodes were classified as non-sustained VT (i.e. lasting less than 30 s). The median duration of ventricular complexes during VT was 106 (60–246) ms and the mean duration of QRS was 80.92 ± 9.34 ms as recorded during sinus rhythm in animals before MI induction.

Fig. 4b

Single ventricular premature complex (the fifth beat) of right ventricular origin in a female pig subjected to myocardial infarction induced by 30 min occlusion of the proximal part of the left anterior descending coronary artery with an angioplasty balloon in a modified anaesthetic protocol. I – bipolar limb lead, potential difference between the electrodes on the left superior limb and the right superior limb; II – bipolar limb lead, potential difference between the electrodes on the left inferior limb and the right superior limb; III – bipolar limb lead, potential difference between the electrodes on the left inferior limb and the left superior limb; aVR – augmented unipolar right limb lead; aVL – augmented unipolar left limb lead; aVF – augmented unipolar left hindlimb lead. The sinus rhythm is shown at a rate of 92 bpm. Paper speed: 50 mm/s; amplitude: 10 mm/mV; 25 Hz notch filter; Fuzzy+ software filter

Three of the VT episodes were diagnosed as Torsade de Pointes (25% of pigs with VT and 16.67% of pigs with arrhythmias). The number of VT episodes recorded in animals during MI varied from 1 to 9 (Fig. 6).

Fig. 5

Ventricular accessory R/T beat triggering ventricular tachycardia in a female pig subjected to myocardial infarction induced by 30 min occlusion of the proximal part of the left anterior descending coronary artery with an angioplasty balloon in a modified anaesthetic protocol. I – bipolar limb lead, potential difference between the electrodes on the left superior limb and the right superior limb; II – bipolar limb lead, potential difference between the electrodes on the left inferior limb and the right superior limb; III – bipolar limb lead, potential difference between the electrodes on the left inferior limb and the left superior limb; aVR – augmented unipolar right limb lead; aVL – augmented unipolar left limb lead; aVF – augmented unipolar left hindlimb lead. Heart rate: 303 bpm; Paper speed: 50 mm/s; amplitude: 10 mm/mV; 25 Hz notch filter; Fuzzy+ software filter

Fig. 6

The number of pigs with recorded ventricular tachycardia (VT) or ventricular fibrillation (VF) episodes during the induction of acute myocardial infarction (MI) by 30 min left anterior descending coronary artery occlusion with an angioplasty balloon in a modified anaesthetic protocol

Ventricular fibrillation was reported in nine animals (50% of pigs with arrhythmias and 47.37% of all pigs). Those nine pigs had 18 episodes of VF, in six of which it developed without preceding VT (33.33% of all episodes) (Fig. 7), while in 12 episodes there was a direct transition from VT to VF (66.67% of all episodes).

Fig. 7

Ventricular fibrillation in a female pig subjected to myocardial infarction induced by a 30 min occlusion of the proximal part of the left anterior descending coronary artery with an angioplasty balloon in a modified anaesthetic protocol. I – bipolar limb lead, potential difference between the electrodes on the left superior limb and the right superior limb; II – bipolar limb lead, potential difference between the electrodes on the left inferior limb and the right superior limb; III – bipolar limb lead, potential difference between the electrodes on the left inferior limb and the left superior limb; aVR – augmented unipolar right limb lead; aVL – augmented unipolar left limb lead; aVF – augmented unipolar left hindlimb lead. Heart rate: 329 bpm; paper speed: 50 mm/s; amplitude: 10 mm/mV; 25 Hz notch filter; Fuzzy+ software filter

The number of VF episodes in individual pigs ranged from 1 to 4 (Fig. 6). The only arrhythmia not classified as ventricular was the first-degree atrioventricular (AV) block, diagnosed in 2 pigs (11.11% of pigs with arrhythmias and 10.53% of all pigs). The incidence of VPC was statistically significantly higher than the incidence of triplets, bigeminies, trigeminies, and the first-degree AV block (P < 0.05).

Coexistence of different types of arrhythmias. In pigs with cardiac arrhythmias, co-occurrence of three different types was most commonly diagnosed (6 pigs, 33.33% of pigs with arrhythmias, and 31.58% of all pigs). Simultaneous affliction with two types of arrhythmia was described in four pigs (22.22% of pigs with arrhythmias and 21.05% of all pigs). A single type of cardiac arrhythmia was found in three pigs (16.67% of pigs with arrhythmias and 15.79% of all pigs). Six different arrhythmias were reported in two pigs (11.11% of pigs with arrhythmias and 10.53% of all pigs). In contrast, multiplicities of 4, 5, or 7 different arrhythmias were diagnosed in one animal each (5.56% pigs with arrhythmias and 5.26% of all pigs).

Time of the first arrhythmia’s occurrence. The first arrhythmia developed within the first 10 min of LAD occlusion in 15 (83.33%) pigs with arrhythmias, while in three pigs (16.67%) it did so between the 20th and 30th minute of LAD occlusion (median 4.5 (1–30) min). The appearance of the first VPC was also associated with two time periods. In 14 pigs with VPC (87.5%), it occurred during the first 10 minutes of ischaemia, and in two pigs with VPC (12.5%), it manifested between the 20th and 30th min of LAD occlusion (median 4.5 (1–30) min). Additionally, VPC was the first reported arrhythmia in 83.33% of pigs (n = 15) with arrhythmias. The first episodes of VT were recognised: in seven affected pigs within the first 10 min of LAD occlusion (58.33%), in two pigs between the 10th and 20th min (16.67%), and in three pigs between the 20th and 30th min (25%) (mean 13.25 ± 9.64 min). The first episodes of VF were recorded in one pig (11.11%) in the first 10 minutes, in three pigs (33.33%) between the 10th and 20th min, and in five pigs (55.56%) between the 20th and 30th min of LAD occlusion (mean 20.11 ± 6.68 min) (Fig. 8).

Fig. 8

The number of pigs with ventricular premature complexes (VPCs), ventricular tachycardia (VT), or ventricular fibrillation (VF) occurring for the first time within a specific time interval during induction of acute myocardial infarction by 30 min left anterior descending coronary artery occlusion with an angioplasty balloon in a modified anaesthetic protocol

Discussion

Our study aimed to characterise ventricular arrhythmias in a porcine MI model obtained by occluding the proximal part of the LAD. We used a modified protocol of animal anaesthesia consisting of a changed premedication scheme and appropriate management during the haemodynamic disorder’s development, and we aimed to obtain a stable MI model with a high survival rate. In the changed premedication regimen, we used a combination of drugs from three different groups (ketamine, medetomidine and midazolam). This allowed us to use lower doses of drugs, reduce the risk of side effects characteristic for higher doses of drugs (synergism) and introduce appropriate anaesthetic management during haemodynamic stabilisation of subjects at the time of pressure drop, hypovolaemia, or shock. So far, the procedure of haemodynamic disorder correction has not been described in the literature for similar animal models. A combination of drugs from three different groups was described for premedication in pigs (47). However, the application of the substances used in our experiment was not previously reported.

In the conducted experiment, ventricular arrhythmias occurred in 94.74% of pigs subjected to myocardial ischaemia induction. The most common arrhythmia observed in our study was the VPC (88.89% of pigs with diagnosed arrhythmia), the occurrence of which was related to the time of ischaemia induction, as also reported by other studies (20, 50).

In our study, VT and VF, which may be fatal complications of acute MI, occurred in 66.67% and 50% of pigs with cardiac arrhythmias, respectively.

The registered VT episodes were characterised as non-sustained and polymorphic. In some studies, the incidence of VF in pigs during LAD occlusion ranged from 50 to 75%. Other studies reported even up to 100% VF incidence (3, 4, 6, 12, 23, 26, 28, 37, 42, 30, 31). Therefore, the VF incidence rate of 50% obtained in our experiment is consistent with the previously published literature data. In this study, 83.33% of pigs with arrhythmias (15 out of 18) developed complexes in the form of two or more types of arrhythmia, which may be related to the extent of the ischaemic area created by the severely injurious LAD occlusion. In most of the studied animals, the first arrhythmias following the myocardial ischaemia induction developed within the first 10 min (83.33%). The first episodes of VPC or VT occurred in the initial 10 min of MI (87.5% and 58.33%, respectively). The second period in which a significant proportion of cardiac arrhythmias was recorded was within the last 10 min of the procedure (in 12.5% of animals VPC presented and in 25% VT). This distribution of arrhythmias over time is consistent with that noted in other studies (4, 7, 47). However, the VF reported during our study had a different distribution, as most episodes occurred at the end of ischaemia between the 20th and 30th min (55.56%).

Our experiment showed a 100% survival rate, which is very high compared to other studies on MI induced by the proximal LAD occlusion (35, 52) reporting that mortality of pigs in the MI group could reach 100%. In pig models using angioplasty balloons, acute myocardial ischaemia was usually achieved by LAD (9, 25, 26, 39, 45, 47, 52, 55, 61) or left coronary artery circumflex (LCX) balloon occlusion (44, 61, 62). Most often, LAD closure was performed in its central part (9, 25, 28, 55, 57), mainly distally to the first septal branch (39) or diagonal branch (30, 44, 45, 48, 52, 58). The place where the LCX was closed was usually at its beginning (45, 58) or more distally (51). The mortality associated with the development of myocardial ischaemia reported in these studies ranged from 20.51% to 33%. In these studies, the LAD lumen occlusion was not performed in its proximal part, most probably because it results in a larger area of induced ischaemia. Larger ischaemia may potentially affect the course of the procedure and undoubtedly decreases the animal survival rate because of episodes of VF and haemodynamic disorders (28, 35, 52). In their study, Suzuki et al. (52) found that LAD occlusion in the proximal part resulted in higher animal mortality than mid-LAD occlusion. Moreover, they proved that LAD proximal lumen occlusion led to the greatest myocardial necrosis (52). Also, the mortality rate for the proximal LAD occlusion group was as high as 50%, while in the mid-LAD occlusion group, no deaths occurred (52). In another study, Munz et al. (35) permanently ligated the proximal LCX or LAD in three different sections, namely proximal, medial, and distal, to achieve MI (35). In the group of animals with the proximal LAD occlusion, the mortality was 100%. The authors established that the optimal place of LAD occlusion to induce MI in a pig model is its middle part (35). The effects of LAD closure location on MI development, the size of the myocardial ischaemia area, and the development of arrhythmias were confirmed by Li et al. (28). In this experiment, the LAD was closed in its middle and bottom-third parts. The results indicated that LAD occlusion in its middle part promotes more frequent VF and more serious haemodynamic disturbances (28). The high survival rate of the animals in our MI model could have been influenced by timely management of the disturbances caused by arrhythmias and myocardial dysfunction caused by MI. However, it may also result from using only young and healthy pigs in the presented study. A relatively homogeneous group of young and healthy pigs may be considered the main limitation of the presented study, since they do not constitute the best material to be analogous to people suffering from acute MI in terms of health and age.

Another limitation is the sex of the animals used. Mortality from coronary events in women at younger age is lower than in men of the same age group, although the differences become less pronounced in older age groups (34). The INTERHEART study showed that the first MI in women occurred on average 9 years later than in men (1). Although women tend to be less frequently affected by MI, clinical evidence suggests that they have higher mortality and a worse prognosis after an acute cardiovascular event (16).

The choice to use juvenile females in our study is related to our previous experience using a porcine model. According to our observations, females are more resistant to the stress of new housing conditions and perioperative time. Moreover, they show less aggression towards other animals and staff and become accustomed to human investigators faster than males. In addition, the use of young animals is also due to the need for venepuncture to perform the test and for effective defibrillation if VF develops. These activities in adult males are significantly hampered by their size and large body mass. Thus, experimentation on young females by choice was intended to reduce the impact of stress associated with daily maintenance and handling and the perioperative period and to facilitate the efficient performance of the planned procedures.

Based on the cited literature data, we may conclude that LAD occlusion in the proximal segment is not optimal for establishing a porcine MI model. The procedure results in high mortality of the animals, which makes it impossible to monitor a sufficient number of them or assess the effects of LAD closures over the long term. However, it is essential to develop a stable model for MI induction via proximal LAD occlusion conducive to research on arrhythmias and their outcomes and prognosis, which is vital for people who develop MI because of proximal LAD occlusion. Such a model would enable researchers to better understand the pathophysiological changes in the myocardium due to occlusion in the LAD proximal segment. The anaesthetic protocol used in our study (consisting of haemodynamic stabilisation of patients at the time of pressure drop, hypovolaemia or shock) allowed for the effective treatment of life-threatening haemodynamic disorders and arrhythmias caused by myocardial ischaemia and for the correction of the condition of animals with already developing hypotension, hypovolaemia, or shock. Thanks to haemodynamic stabilisation, we achieved 100% survival of the animals subjected to the ischaemia induction and reperfusion procedure.

In conclusion, myocardial ischaemia obtained by LAD proximal segment occlusion is characterised by a high rate of cardiac arrhythmias. The most frequently recorded cardiac arrhythmias were ventricular tachycardia and ventricular fibrillation, which usually pose a direct threat to life. The applied modified anaesthesia management, aiming to stabilise haemodynamic disorders caused by myocardial infarction and arrhythmias, ensured 100% ischaemia and reperfusion survival. Such results qualify the described MI model as worthwhile to adopt for research on arrhythmias in MI due to proximal LAD occlusion in humans. The proposed protocol significantly affects the survival of animals in the presented MI model, which enhances its potential for use in the study of ventricular arrhythmias in acute myocardial ischaemia.

Language: English
Page range: 435 - 447
Submitted on: Mar 7, 2022
Accepted on: Aug 18, 2022
Published on: Aug 30, 2022
In partnership with: Paradigm Publishing Services
Publication frequency: 4 issues per year

© 2022 Piotr Frydrychowski, Marcin Michałek, Wiktor Kuliczkowski, Krzysztof Nowak, Piotr Skrzypczak, Iwona Bil-Lula, Agnieszka Noszczyk-Nowak, published by National Veterinary Research Institute in Pulawy
This work is licensed under the Creative Commons Attribution-NonCommercial-NoDerivatives 3.0 License.