Fig. 1

Fig. 2

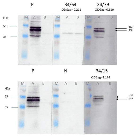
Fig 3

Fig. 4

Fig. 5

Serological prevalence of FFVfca in domestic cat populations from the Gdańsk and Kraków agglomerations aligned with demographic variables
| Variable | Number of cats | ||
|---|---|---|---|
| FFVfca seropositive | Total | ||
| Gender | Female | 22 | 51 |
| Male | 37 | 61 | |
| Age | Young (≤1 year) | 10 | 22 |
| Adult (1–10 years) | 33 | 49 | |
| Old (>10years) | 16 | 29 | |
| Contact with other cats | Yes | 48 | 86 |
| No | 10 | 23 | |