Diarrhoea in growing-finishing pigs is a serious and common problem of commercial pig farms, significantly limiting the efficiency and profitability of pig production worldwide. There are numerous agents responsible for intestinal disorders in pigs, i.e. Escherichia coli, Salmonella spp., Lawsonia intracellularis, Brachyspira hyodysenteriae, Clostridium spp., rotavirus, coronaviruses, porcine circovirus type 2 (PCV2), coccidia, Oesophagostomum dentatum, Trichuris suis, Yersinia spp., and others (23). Among them, PCV2 is considered one of the most important viruses in modern pig production and is widespread in pig populations worldwide. Although in most cases the infection is subclinical, in non-vaccinated herds and under favourable circumstances, depending on the virus, host immunity, co-infections and other factors, clinical forms may be observed (13, 14, 20). Infection with PCV2 may result in development of PCV2-systemic disease (PCV2-SD), previously known as postweaning multisystemic wasting syndrome (19). The disease is characterised by wasting, weight loss and pallor. Other conditions related to PCV2 are PCV2 lung disease, with attendant respiratory tract disorders; PCV2 enteric disease, signalled by diarrhoea and enteritis; PCV2 reproductive failure with abortions, mummifications and regular returns to oestrus; and porcine dermatitis and nephropathy syndrome (PDNS), manifested by dark red papules and macules on the skin, especially on the hind limbs and perineum (3, 14, 18, 20).
Among the various conditions related to PCV2, diarrhoea and enteritis are the most perceptible manifestations of clinical infection. They resemble proliferative enteropathy and swine dysentery (9, 11, 14, 15, 18). According to some authors, this condition is an independent syndrome (9, 11), while others consider PCV2 enteric disease merely another manifestation of PCV2-SD (3, 19). Nevertheless, the role of PCV2 in enteritis has been confirmed and its presence can be suspected in cases of persistent diarrhoea not responsive to antibiotic treatment (14, 15).
The confirmation of PCV2-related syndromes is based on laboratory diagnosis, usually by histopathology and in situ hybridization/immunohistochemistry where moderate to high amounts of PCV2 should be detected in lesions (18, 19). However, recognition of the disease is hampered by the selection of representative pigs, since typical lesions and abundant amounts of the virus in the lesions do not appear in all animals in the herd uniformly and they can be detected in a limited percentage of pigs (7, 15).
The diagnosis of pig diarrhoea being rather involved, and a major pathogen being a possible cause of it but also being challenging to diagnose, there is a need for greater knowledge of how all factors in porcine enteric disorders interrelate. In recognition of this, the aim of the study was to verify if PCV2 was responsible for field cases of antibiotic non-responsive diarrhoea, wasting and growth retardation in pigs. In differential diagnosis, swine dysentery, proliferative enteropathy and parasitic infections were taken into consideration.
Pig farms. The study was carried out on three Polish pig farms experiencing a significant problem of wasting, growth retardation and persistent diarrhoea in nursery/fattening pigs which could not be controlled by antibiotic therapy. The farms were located in different parts of the country and differed in size, production type, animal genetics and epizootic status.
Farm A, located in the northern-central part of Poland, kept 200 (Polish Large White × Polish Landrace) × (Pietrain × Duroc) sows. “All-in, all-out” procedures were not followed and the level of biosecurity was low. The herd was positive for porcine reproductive and respiratory syndrome (PRRS). Also, enzootic pneumonia, pleuropneumonia and proliferative enteropathy had been confirmed in the herd by previous laboratory analyses. Weaning was performed at 4 weeks of age. Farm workers manually provided the pigs with feed dedicated to each production group, which the animals could take ad libitum, and the herd was kept on shallow straw bedding. The major concerns on the farm were diarrhoea and wasting, noted in 10–15% of weaners, and sudden deaths of fatteners in good condition. Also, the quality of drinking water for pigs was low, due to high content of iron and other minerals.
Prolonged administration of medicated feed containing tiamulin lasting up to 8 weeks did not eliminate symptoms of disease in this herd.
Farm B, situated in southern-central Poland, comprised 1,700 high health status hybrid sows of stock from the Pig Improvement Company. Here also “all-in, all-out” procedures were not applied and the level of biosecurity was low. As was consistent with its state of health, the herd was free from most of the major infectious diseases. The standard prophylaxis included vaccination of sows against erysipelas, parvovirosis, colibacillosis and diseases with PCV2 as their agent. Piglets were weaned at 4 weeks of age and kept in pens having a heated bed on a 1/3 solid and 2/3 plastic slatted floor. Pregnant and lactating sows were fed individually, while weaners and fatteners received full-rate feed delivered automatically. In 15% of weaners, retarded growth, diarrhoea and wasting were noted. Also, this farm experienced a problem with temporary overcrowding in nursery pens. Previous therapy with colistin and trimethoprim had not shown the expected effect, although it had been preceded by bacteriological examination.
On farm C in the central-eastern part of Poland, 800 Naima sows were kept. As the third example of such a farm, this operation was also one where “all-in, all-out” procedures were not put into effect and the biosecurity level was low. The herd was positive for PRRS and enzootic pneumonia. The standard prophylaxis comprised of vaccination of piglets against proliferative enteropathy and immunisation of weaners against erysipelas. The age of weaning was 4 weeks. The pigs were fed with dry, full-rate feed dispensed automatically. The animals were kept on shallow straw bedding. Temporary problems with the water supply were noted, resulting in weak or possibly no effects of treatment via drinking water. The main symptoms observed in pigs were diarrhoea in weaners and fatteners, often with blood, and poor performance in weaners. Lesions revealed during necropsy suggested proliferative enteropathy; however, since no vaccination against diseases with PCV2 aetiology was implemented, PCV2 enteritis was also considered as a possible causative agent. Treatment of pigs consisted of tiamulin administration in drinking water, but no significant improvement was observed.
Laboratory analyses. Sections of the inguinal superficial lymph nodes and ileum, caecum, and colon, faeces from the colon and ileal mucosal scrapings were collected at necropsy from pigs which died with persistent diarrhoea and growth retardation. Overall, 13 pigs (3 from farm A, 2 from farm B and 8 from farm C) at the age of 12–15 weeks were analysed.
Sections of the lymph nodes and intestines were fixed in 10% buffered formalin and embedded in paraffin. Next, slides were analysed by in situ hybridization (ISH) for PCV2 identification (16) and were haematoxylin and eosin stained for histopathological examination. The faeces and scrapings were subjected to a real-time PCR for identification of Lawsonia intracellularis and Brachyspira hyodysenteriae (25). Additionally, parasitological analyses of faeces and intestinal content collected from the colon were performed with the use of flotation in a saturated NaCl solution supplemented with sugar with specific gravity of 1.3 (22) and with decantation (24).
The results of ISH and histopathological examination showed that all pigs were PCV2-SD– negative. PCV2 was also not detected in the intestines. Swine dysentery was confirmed by real-time PCR on farm A and proliferative enteropathy on farm C, while farm B was negative for both diseases.
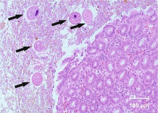
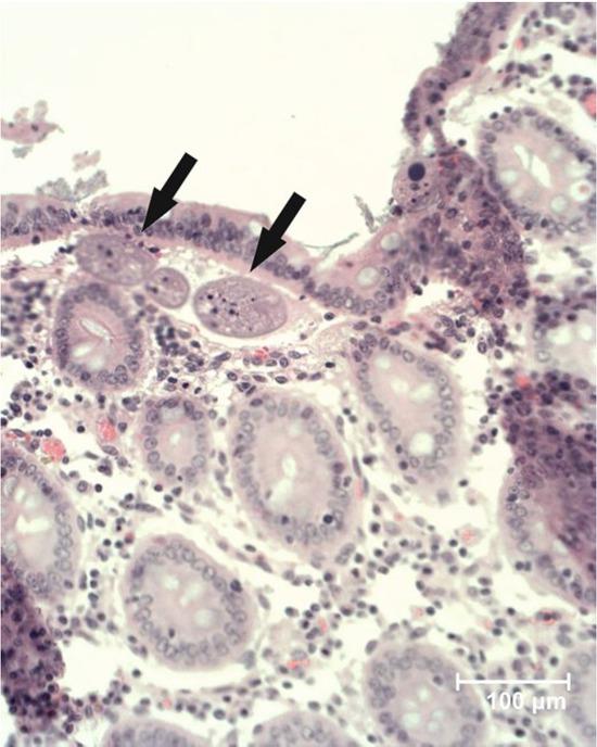
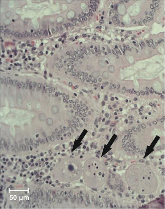
In histological examinations, erosions of caecal and colonic mucosa were found, together with cysts and trophozoites of Balantidium coli. The protozoa were present not only in the intestinal lumen, but also in the intestinal mucosa (Figs 1–3). Parasitological examination with the decantation method confirmed the presence of B. coli cysts in samples of faeces from all examined pigs (Fig. 4). Flotation gave negative results in all samples.

Balantidium coli (arrows) in the intestinal lumen (haematoxylin and eosin, × 100)

Balantidium coli (arrows) invading colonic mucosa (haematoxylin and eosin, × 200)

Balantidium coli (arrows) in colonic mucosa (haematoxylin and eosin, × 100)

Balantidium coli cyst detected in faeces
Recognition of PCV2-SD or other syndromesrelated to it in a pig herd is complicated due to the ubiquitous nature of the virus resulting in there being only a small percentage of animals with clinical symptoms and lesions present at necropsy and due also to the risk of sampling pigs that may only have subclinical infection and not be representative of the whole herd (18). Also, when samples are only collected after euthanasia, the wasted, chronically ill animals with cautious or negative prognoses would have been more willingly sacrificed by farmers than those in a better condition. In most cases, such pigs would no longer have an abundant amount of PCV2 antigen or nucleic acid nor the typical lesions in the lymph nodes and other organs necessary for confirmation of clinical infection with PCV2 (7, 15, 18). Therefore, negative ISH results and histopathology for certain pigs do not rule out the disease in the whole herd (7). For this reason, the results of a single PCV2 diagnosis are not sufficient to exclude the involvement of PCV2 in the clinical conditions observed on the investigated farms – especially on those that were not PCV2-vaccinated (i.e. farms A and C).
B. coli is an opportunistic parasite of mammals, including humans. Domestic and feral pigs constitute the major source of infection for humans (1, 17). The parasite has a cosmopolitan nature and is widespread in the environment of pigs (1, 17). It inhabits the lumen of intestines (the caecum, colon and rectum) without causing any disease (1). This protozoan can survive and grow in temperatures of 25–40℃, thus the breeding and nursery sectors of a pig farm represent a perfect environment for its survival. The infection is usually subclinical, but in immunocompromised individuals it may lead to a fulminant course with bloody and mucus– containing diarrhoea and severe colitis (1, 17). In the acute form of the disease, perforation of the colon and peritonitis may occur (17).
The zoonotic nature of B. coli infection makes it significant because it is fatal in many human cases (17). Generally, the role of B. coli as a pathogenic agent is often underestimated. However, in recent years it has been regarded as an emerging protozoan pathogen and a major concern for safe meat production (1, 6, 17). Initially, B. coli infections were mostly linked to animals raised on pasture, to developing countries, and to rural or tropical areas where people live in close proximity to pigs or water is contaminated by faecal matter (1, 17). However, further studies indicated that it can also be present in pigs raised in confinement and may be identified in a high percentage of animals, even in industrialised countries with top-quality pig farms. Such results were obtained in Denmark, where the overall prevalence of balantidiosis in swine and other domestic animals reached 100% (1, 8).
It has been proved that PCV2 infection favours secondary infections in pigs (14, 21). The identification of B. coli in pigs showing symptoms of PCV2-SD and antibiotic non-responsive diarrhoea may indicate that these animals have already recovered from PCV2-SD but that PCV2-related immunosuppression predisposed them to B. coli infection in the clinical form, as described in previous research (17).
The diarrhoea that the three studied farms’ herds suffered highlights the importance of adequate water quality. It is known that it has a great impact on animal performance and production, affecting the solubility and bioavailability of antibiotics administered in it (5, 12). For example, hardness is a critical aspect when automatic delivery systems are applied for drug administration, since certain antibiotics are prone to interact with cations forming insoluble complexes (5, 12). Moreover, it predisposes containers and pipelines to the formation of mineral deposits, resulting in decreased water flow and obstruction of drinkers and water nipples, as well as impeding absorption of antibiotics (5). Also, a high level of iron in water favours the growth of iron-dependent bacteria, forming slime that may additionally interfere with water flow. All these features affect the efficacy of treatment via drinking water.
Furthermore, water is known to be the vehicle for most cases of balantidiosis, and the addition of chlorine for water safety does not eliminate cysts (17). Besides, mineral deposits predispose supply installations to leakage and higher water accessibility to B. coli, which favours its survival outside the host (1, 17).
On all three farms there was a noted – or possibly overlooked – problem with the drinking water for pigs. On farm A the water was hard with a high level of iron. On farm B, no perceptible problems with water were noted and, therefore, no specific water quality tests were commissioned. However, on this farm, diarrhoea was finally reduced only after complete water system disinfection, indicating indirectly that contamination of water, biofilm formation in water pipes, or low quality of water resulting in lower bioavailability of antibiotics may have been possible factors facilitating the outbreaks of intestinal disorders. Finally, on farm C, the water supply was periodically obstructed due to mechanical damage by insufficiently supervised animals. Also, the water on this farm was hard. All these conditions resulted in an unsatisfactory reaction to treatment via drinking water.
On two of the investigated farms, swine dysentery and proliferative enteropathy were confirmed as the main reasons for diarrhoea. Both farms’ pigs were raised on straw, which encourages the spread of enteric pathogens and parasites, promotes their survival in the environment and hampers elimination of the disease (2, 4).
The results of this study confirm that B. coli infection may play a role in the course of diseases caused by primary swine pathogens, regardless of farm size and at least to some extent, farm animals’ state of health. The investigation of these three farms indicates that balantidiosis may be identified in the course of swine dysentery or proliferative enteropathy just as it may on farms husbanding healthy animals without any ongoing infections but suffering from management shortcomings. In the latter case, the problem with B. coli was also related to transitional overcrowding on this farm, resulting in stress and immune suppression and favouring secondary or opportunistic microorganism infections. Such a background to balantidiosis cases has already been described by other authors in the case of nonhuman primates (10). Similarly, overcrowding is a serious risk factor for other diarrhoeic diseases of swine (2, 23).
Although B. coli infection in pigs is not unusual, this microorganism should not be neglected because it has zoonotic potential and may significantly hamper therapy and recovery of affected herds, therefore increasing overall costs of production. Successful treatment of balantidiosis, understood as the elimination of clinical symptoms and reduction of parasite load in faeces, can be achieved using tetracyclines or metronidazole (1, 17). Nevertheless, the latter drug has been forbidden to use in swine since 1998 by Commission Regulation (EC) No. 613/98 of 18 March. Alternatively, a combination of trimetoprim and sulphamethoxazole can be used (1). Based on the observations on the aforementioned farms, it may be assumed that effective therapy of the primary diseases and improvements in management may serve as key strategies to control balantidiosis.
To the best of the authors’ knowledge, this is the first description of B. coli involvement in diarrhoea and enteritis in pigs in Poland. The results of this small-scale study suggest that although infection with this parasite is not routinely diagnosed and not included in differential diagnosis of diarrhoea, it should be assigned more importance in the modern, cost-efficient production of pigs, as should periodical evaluation of water quality on farms. For this reason, it is recommended to perform further analysis on a larger number of farms to gain an understanding of the real scale of this problem.
It can be expected in the nearest future that secondary pathogens and opportunistic microorganisms and parasites will be more instrumental in causing disorders in optimally healthy pig herds, due to the higher susceptibility of animals raised in privileged conditions. In such a scenario, the monitoring of B. coli infections may become an element of the measures kept in place for control and prevention of gastrointestinal tract disorders in modern swine husbandry.