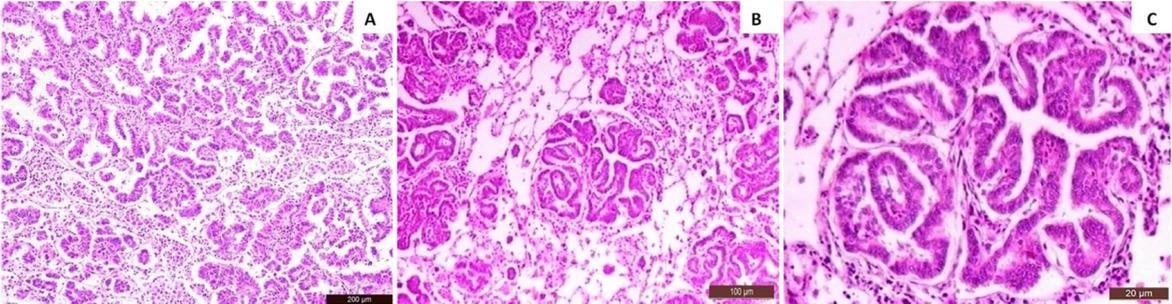
Fig. 1

Fig. 2

Tumour biomarker results in healthy and OPA sheep
| Tumor biomarker | Control (x̅ ±Sx̅) | OPA (x̅ ±Sx̅) |
|---|---|---|
| CEA (ng/mL) | <0.5 | <0.5 |
| CA 19-9 (U/mL) | 1.495 ± 0.104 | 1.759 ± 0.151 Means in the same row with asterisks are statistically significant (P < 0.05) |
| CA 15-3 (U/mL) | 1.028 ± 0.146 | 1.481 ± 0.156 Means in the same row with asterisks are statistically significant (P < 0.05) |
| CA 125 (U/mL) | <1 | 1.235 ± 0.211 Means in the same row with asterisks are statistically significant (P < 0.05) |
| AFP-3 (ng/mL) | 0.001 | 0.038 ± 0.017 Means in the same row with asterisks are statistically significant (P < 0.05) |