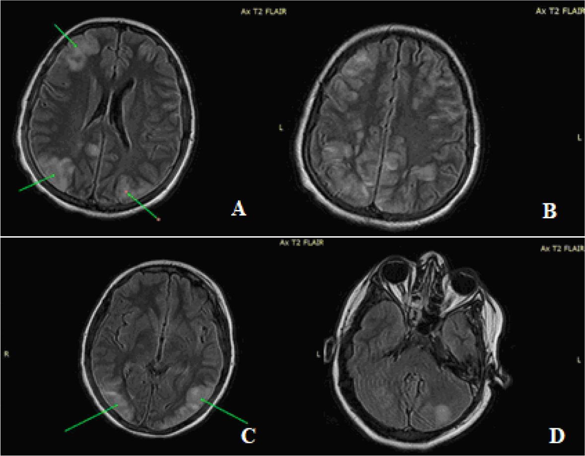
Fig. 1.

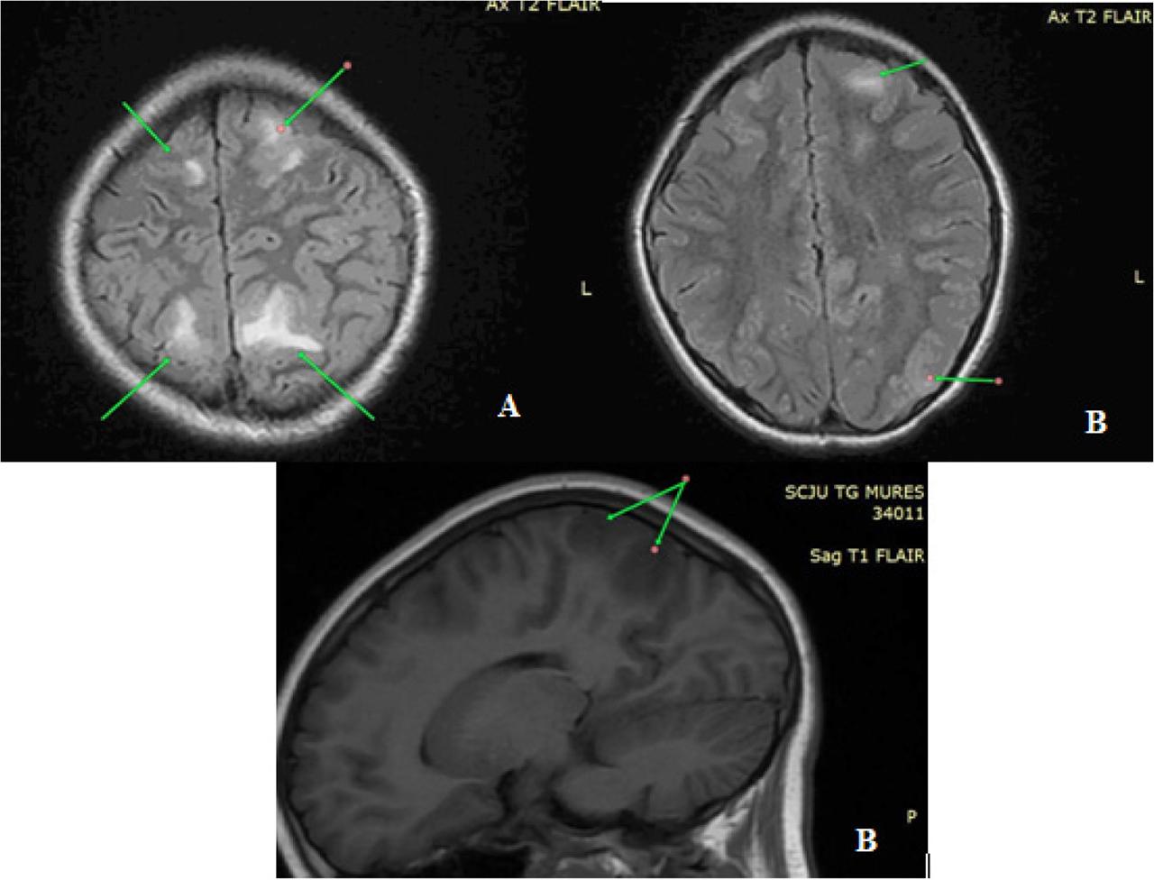
Fig. 2.

Urine analysis and immunology tests performed on the third day following admission of the patients to the pediatric nephrology department
| Analysis | Case 1 | Case 2 |
|---|---|---|
| Urinalysis | ||
| Erythrocytes | 300/μL | 300/μL |
| Urine sediment | ||
| Erythrocytes | 11–20/field | 21–50/field |
| 80% dysmorphic red blood cells, 20% isomorphic red blood cells /field | 95% dysmorphic red blood cells, 5% isomorphic red blood cells /field | |
| Hematic casts | ||
| Leukocytes | 0–5/field | 0–5/field |
| Proteins | negative | 1 g/L |
| C3 | 0,33 g/L | 0,19 g/L |
| C4 | 0,104 g/L | 0.123 g/L |
| C3 after 6 weeks | 1,48 g/L | 1,17 g/L |