Fig. 1.

Fig. 2.

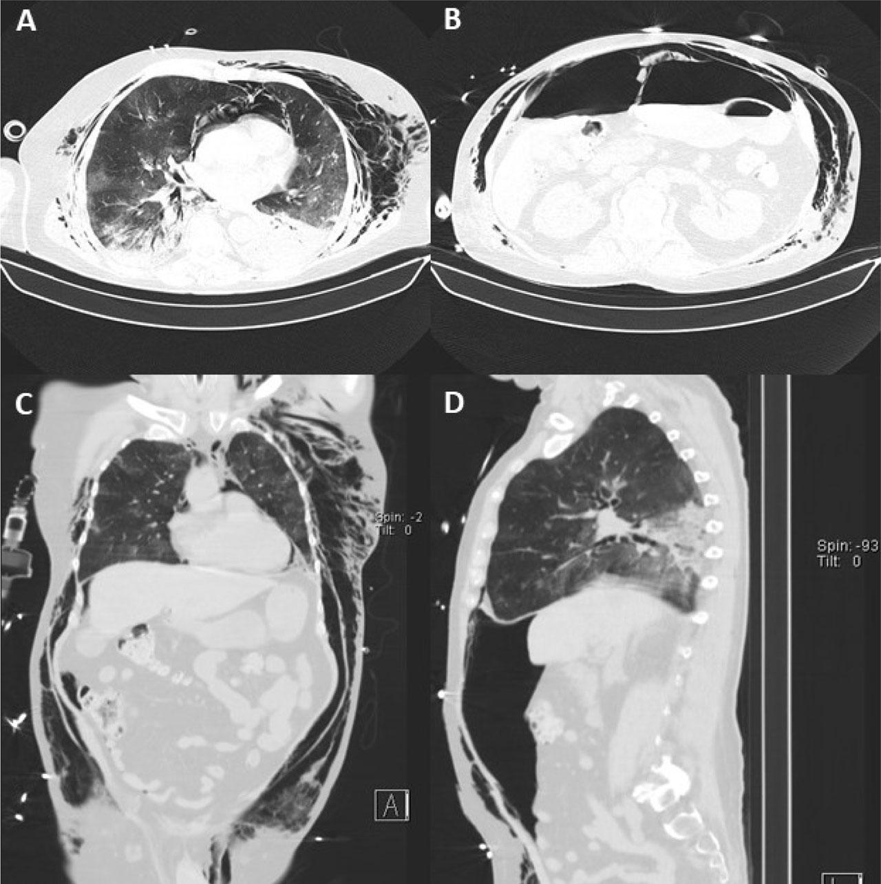
Fig. 3.




© 2023 Patrícia Varela Ramos, Ana Maria Oliveira, Ângela Simas, Margarida Rocha Vera Cruz, published by University of Medicine, Pharmacy, Science and Technology of Targu Mures
This work is licensed under the Creative Commons Attribution 4.0 License.