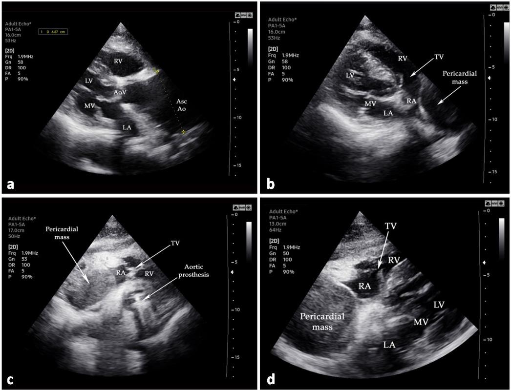
Fig. 1

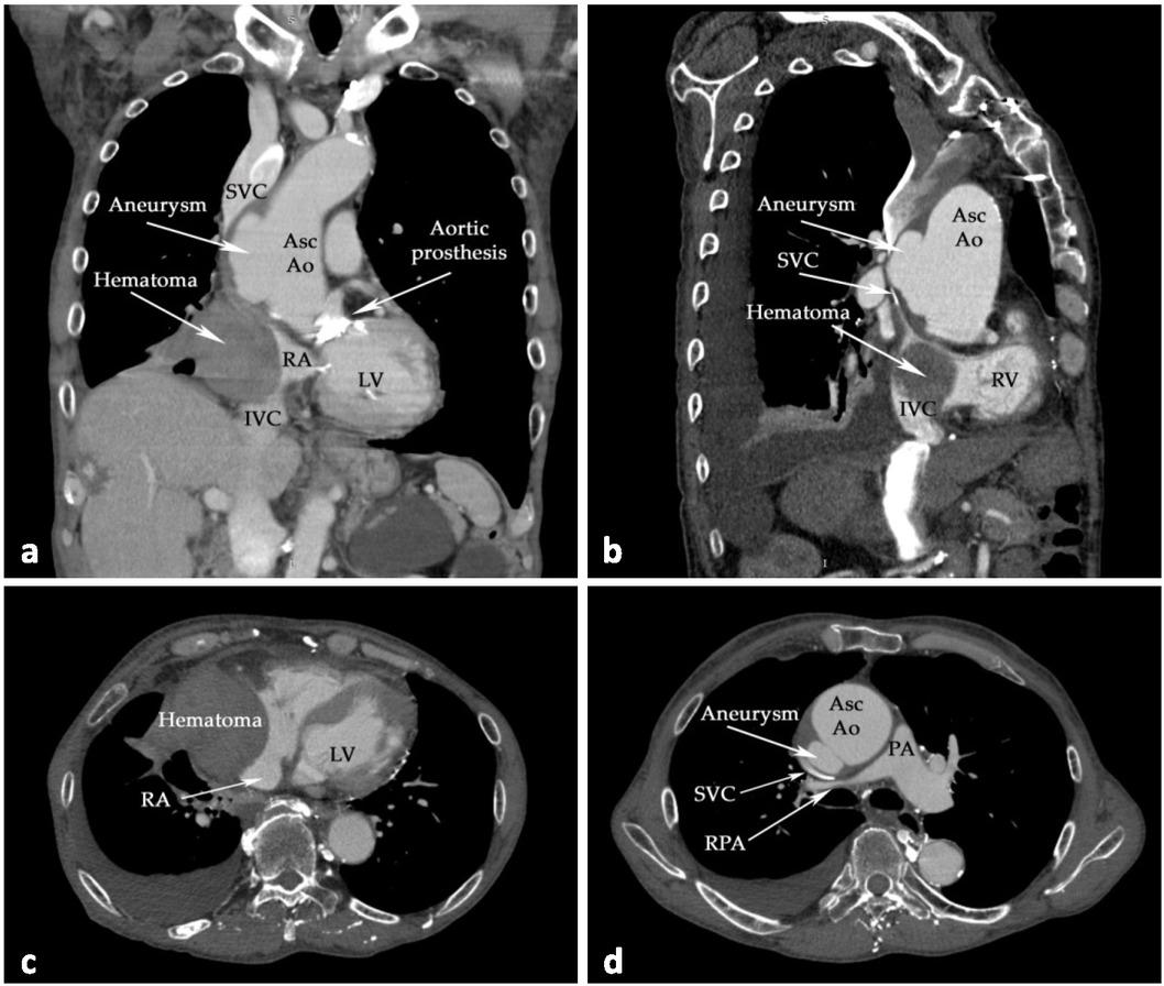
Fig. 2

Fig. 3




© 2022 Ioan Tilea, Robert Adrian Dumbrava, Alexandra Mihaela Ratiu, Marius Mihai Harpa, Cosmin Marian Banceu, Dorina Nastasia Petra, Horatiu Suciu, published by University of Medicine, Pharmacy, Science and Technology of Targu Mures
This work is licensed under the Creative Commons Attribution 4.0 License.