Gadolinium-based contrast agents (GBCAs) have been used since the late 1980s to enhance the diagnostic value of magnetic resonance imaging (MRI) studies. GBCAs are known to have an excellent safety profile, and serious adverse reactions are uncommon [1]. Nausea, vomiting and dizziness are the most commonly reported adverse reactions [2, 3]. The extraordinarily low incidence of anaphylactoid or fatal reactions has led to the generalisation that all GBCAs are safe, especially compared to iodinated contrast media [4]. To our knowledge, only three cases of non-cardiogenic pulmonary oedema following the administration of GBCA for MRIs have been reported [5, 6, 7]. A case of a woman who developed respiratory distress without anaphylactic symptoms following the use of GBCA is detailed in this paper.
The case refers to a 23-year old female with a history of chronic abdominal pain and bloating. Her general practitioner (GP) suspected endometriosis as her symptoms correlated with her menstrual cycle, and she had been treated with an oestrogen-based contraceptive pill. Previous gastroscopies, colonoscopies and abdominopelvic ultrasounds were all normal. To further evaluate her abdominal symptoms, the GP arranged for her to have an outpatient abdominopelvic MRI scan with GBCA at I-Med Radiology, a private radiology clinic in Kogarah, Australia.
Following the protocol of the I-Med Radiology unit, she fasted from midnight the night before her scan. To reduce bowel peristalsis and improve image quality, the unit nurse prescribed and administered a 20mg tablet of hyoscine butyl bromide (Sanofi Consumer Healthcare, Virginia, Queensland) orally, thirty minutes before her MRI.
Immediately before the scan, nursing staff administered 5.5mL (0.1ml/kg) Gadovist® (Bayer AG, Berlin, Germany) intravenously. Gadovist ® is a brand of GBCA containing gadobutrol at a concentration of 9.071g/15mL.
After inadvertently falling asleep during her scan, she awoke approximately thirty minutes post-administration of Gadovist® with chest heaviness, shortness of breath and a choking sensation. She was able to complete the rest of the scan. However, fifteen minutes after completion, she developed additional symptoms of light-headedness and consequently nursing staff administered 500mL, 0.9% sodium chloride solution (Baxter Healthcare Pty Ltd, Toongabbie, Australia).
The nursing staff contacted ambulance services for the management of the patient’s symptoms and respiratory distress. Paramedics arrived one-hour post-administration of GBCA and 30 minutes before her eventual hospital admission.
The paramedics’ initial report stated that the patient was pale with evidence of increased effort on breathing. She was hypoxic (oxygen saturation 85% on 8L/hour oxygen [O2] via non-rebreather mask), tachypnoeic (respiratory rate 32 breaths/ minute), tachycardic (heart rate 110 beats/minute), normotensive (systolic blood pressure 110mmHg) and febrile (temperature 38.50C). No mucosal oedema, urticaria or rash was noted. On auscultation, her chest was clear, with no wheeze. Suspecting an anaphylactoid reaction, the paramedics administered 0.5mg (1mg/10mL) of adrenaline intramuscularly, thirty minutes before her hospital admission and then again ten minutes later with no improvement in oxygen saturation or symptoms.
She was immediately transferred to the emergency department (ED) of St George Hospital, Kogarah, Australia where she remained febrile (38.90C) and hypoxic (SpO2 86% ), despite receiving 15 litres of oxygen via a non-rebreather mass.
On arrival at the ED, a medical history was taken by the emergency doctor. This showed the patient had a history of childhood eczema, an allergy to amoxicillin (rash) but no history of previous reactions to intravenous contrast materials and no other comorbidities or significant family history. She took an oestrogen-based contraceptive pill for management of suspected endometriosis but no other regular medications.
An electrocardiogram performed immediately on arrival at the ED showed sinus tachycardia with right axis deviation but no abnormal conduction or abnormal waveforms. She was given a further dose of adrenaline (Aspen Pharmacare Australia Pty Ltd, St Leonards, Australia) intramuscularly (1mg/10mL) and 5mg (1mg/10mL) nebulised adrenaline (Aspen Pharmacare Australia Pty Ltd, St Leonards, Australia) which she did not tolerate. This was ceased immediately.
Routine blood tests, collected on admission at the ED, showed elevated serum lactate (5.6mmol/L), polycythaemia (haemoglobin 190mmol/L), leukopenia (white cell count 3.45 x 109/L) with a low absolute neutrophil and eosinophil count.
A chest radiograph performed twenty minutes after admission, showed a normal heart size, increased interstitial lines with septal markings and perihilar densities. Non-invasive ventilation (NIV) was commenced, but the patient did not tolerate this, and it was ceased and changed to a high-flow nasal cannula. She was given 50mg frusemide (Sanofi-adventis Australia Pty Ltd, Maquarie Park, Australia) intravenously, thirty minutes post-admission.
Following the frusemide administration, the patient became gradually more hypotensive. Her blood pressure was 81/34, three hours post-admission, in the setting of diuresis with a urine output of 1.2 litres over the same period. The patient was recommenced on NIV approximately 2.5 hours after her hospital admission. Three and a half hours into her hospital admission, and after one hour on NIV with the fraction of inspired oxygen of 100%, her arterial blood gas showed pH 7.339, PaO2 120 mmHg, PaCO2 33.3 mmHg, HCO3 17.4 mmol/L with a PaO2/FiO2 ratio of 120 indicating a moderate oxygenation impairment [8]. The patient was transferred to the intensive care unit (ICU) four hours post-admission to the hospital where she was continued on NIV and commenced on 100mg hydrocortisone (Pfizer Australia Pty Ltd West Ryde, Australia) intravenously, 8-hourly. Her blood pressure required brief support with a metaraminol infusion (Phebra Pty Ltd, Lane Cove West, Australia) (0.5mg/ mL) intravenously, commenced at 1.5mg/hour to achieve a mean arterial pressure above 65mmHg.
At two days post-admission, the hydrocortisone was ceased after two doses and changed to 30 mg prednisone tablets.
Serum mast cell tryptase levels were collected at approximately 75 minutes, 5 hours and 24 hours post her initial symptoms of shortness of breath and chest heaviness which she had experienced during her MRI scan.
Her vasculitis panel was negative and anti-nuclear antibody levels were normal.Respiratory viral swabs were collected and sent for analysis. They were negative for influenza A and B, respiratory syncytial virus, parainfluenza, adenovirus, enterovirus, metapneumovirus, rhinovirus, coronavirus and bocavirus. A urine sample was collected, which was negative for urinary pneumococcal and legionella antigens.
The patient’s bacterial sputum culture had a heavy growth of commensals, and Moraxella catarrhalis was isolated. However, given her acute presentation, lack of infective symptomatology and rapid improvement without antibiotics, this was deemed a coloniser, and she was not treated with any antimicrobial agents.
The patient rapidly improved in the intensive care unit. After five hours of NIV, she was weaned to high flow nasal prongs. By day two post-admission, her oxygen saturation levels were 95% on room air.
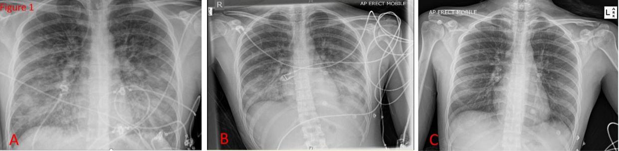
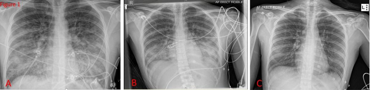
On day three post-admission, there was complete resolution of the previous opacifications on her chest x-ray (Figure 1), and she was discharged home.
Fig. 1
Serial AP Chest-Xrays. A. On admission on non-rebreather mask. B. Day 1 of admission on high flow nasal prongs. C. Day 3 of admission on room air when patient was discharged.

The use of GBCA has increased over the past three decades as it is considered safe and with low rates of side-effects. The total adverse reaction rates range from 0.04% to 2.40% [2, 9] with nausea, vomiting and dizziness being the most common [2, 3, 10]. Moreover, severe reactions due to GBCA based contrast mediums are rare and estimated to occur in the range of 0.004-0.01% 0.004-0.01% [2].
Acute pulmonary oedema is among the rarest consequences to GBCA. While there have been several reports of acute pulmonary oedema following administration of iodine-based contrast agents [11, 12, 13, 14, 15, 16, 17], the present report is only the fourth reported case of non-cardiogenic pulmonary oedema secondary to GBCA [5, 6, 7]. Drug-induced non-cardiogenic pulmonary oedema is thought to be caused by alveolar degradation and flooding of protein-rich material and cellular debris with a subsequent increase in pulmonary vasculature [18]. It has been postulated that after administration of GBCA, de-chelation of gadolinium ions from their chelating ligand results in activation of macrophages and release of inflammatory cytokines precipitating tissue damage [19]. This results in the combination of endothelial, epithelial and oxidation mediated injury, which have all been implicated in the development of non-cardiogenic pulmonary oedema [19].
In the present case, polycythaemia was identified on initial routine blood tests collected on admission. Polycythaemia has also been reported in previous case studies of radiocontrast induced pulmonary oedema [11, 15]. This normalised within 24 hours and likely reflects haemoconcentration secondary to the extravasation of fluid into the interstitium.
The patient was diagnosed with non-cardiogenic pulmonary oedema secondary to an idiosyncratic reaction to gadolinium administration. The patient developed symptoms thirty minutes after the injection of gadolinium. Based on her respiratory symptoms, she was initially treated for anaphylaxis. However, her clinical manifestations were not consistent with an anaphylactoid reaction. The patient’s blood pressure, though normal before the injection of gadolinium, dropped after the administration of frusemide, five-hour post gadolinium exposure. Most cases of anaphylaxis after exposure to intravenous contrast agents develop within 5-10 minutes of injection [20]. She developed no wheeze, stridor or cutaneous features of anaphylaxis. Furthermore, she showed no improvement in symptoms despite the administration of adrenaline, and her mast cell tryptase levels were normal. Cardiogenic pulmonary oedema was excluded with normal left ventricular function on echocardiography. Therefore, it was hypothesised that the cause of her symptoms was more likely to be an idiosyncratic reaction to GBCA.
The patient’s temperature recorded on admission to the emergency department was 38.90C.It is theorised that this was an acute phase response to lung injury. Fever has been documented in acute respiratory distress syndrome (ARDS) and is considered a hallmark sign of the acute phase response to tissue injury that is characterised by the release of cytokines and other immunologically activated proteins [21]. Infection is another differential for fever. However, given the sudden onset of the patient’s symptoms and that the fevers resolved without any antipyretic medication or treatment for infection, this was deemed less likely.
The three previously reported cases of gadolinium-induced non-cardiogenic pulmonary oedema all involved female patients aged 26-49 years who developed symptoms within 30-90 minutes of injection of gadobutrol with moderate/ severe degrees of oxygenation impairment (PaO2/FiO2) (range 63.5-138.5) [5, 6, 7]. Unlike the present patient, all three previous patients developed a wheeze. In two of the cases, the patients developed other features of anaphylaxis, including swelling of the lips, oedema of the airways [6, 7] and were empirically treated for anaphylaxis with adrenaline. All three cases reported a rapid improvement with positive pressure ventilation either with NIV [5, 7] or mechanical ventilation [6] with the near-complete radiological resolution by day three, post-treatment.
There have been cases of non-cardiogenic pulmonary oedema following the use of intravenous iodinated contrast media. A fatal case of non-cardiogenic pulmonary oedema caused by iopamidol, a low osmolar, non-ionic IV contrast agent was described in a report by Paul et al. (2002). In this report, the authors suggested that treatment with diuretics can cause deterioration and that fluid resuscitation in combination with continuous airway pressure would be preferred [15]. Similarly, our patient also deteriorated following the administration of frusemide, developing hypotension likely due to hypovolaemia secondary to excessive diuresis. However, other cases of iodinated contrast medium induced non-cardiogenic pulmonary oedema have shown effective recovery with the combination frusemide, steroids and positive pressure ventilation [12, 13, 16]. Notably, the patient described by Paul et al., received diuresis but not positive pressure ventilation and died of bradycardic arrest [15]. It follows that euvolemic fluid status and prompt initiation of positive pressure ventilation following recognition of contrast-induced non-cardiogenic pulmonary oedema is recommended.
Multiple studies have found that women are at higher risk of adverse effects from GBCA (3, 22). All previously documented cases of GBCA induced noncardiogenic pulmonary oedema have involved female patients [5, 6, 7]. The female to male ratio for adverse events following gadolinium administration has been reported to be 3.3:1 [22]. However, these differences are not well explained, and some animal studies have suggested that oestrogen may be involved in this increased risk in females [23]. Additionally, our patient was taking an oestrogen based contraceptive pill at the time of her exposure to GBCA, which may have increased her risk of an adverse reaction. Future research should assess the relationship between oestrogen levels and those taking oestrogen-based therapies and the incidence of adverse reactions following GBCA administration to identify populations that may be at higher risk of severe adverse effects.
Other risk factors associated with GBCA induced adverse reactions are the age group 21-50 years, abdominal/pelvic scans, and a history of allergies and asthma [3, 4]. Gadobenate and gadobutrol are associated with higher rates of adverse reactions compared to gadobenate dimeglumine or gadoterate meglumine [3]. Also, there is a higher risk of severe reactions requiring hospitalisation following gadobutrol and gadobenate with those occurring following gadobutrol administration being more serious and requiring more prolonged hospital admissions [3]. The reason for this difference remains unclear. Interestingly, studies suggest a prior history of reactions to iodinated contrast media increases the risk of adverse reactions to gadolinium [9]. This highlights that while GBCA may be considered a safer alternative for those of whom iodinated agents are contraindicated, caution must still be exercised.
This case highlights the fact that gadolinium can lead to life-threatening conditions despite being considered a safe contrast material.
With the increased use of GBCAs, clinicians should be aware of the risk of severe adverse reactions, and it should be used with caution.
It is important to consider non-cardiogenic pulmonary oedema as a differential diagnosis in patients who develop respiratory distress exclusive of the cutaneous or mucosal features of anaphylactoid reactions after the administration of gadolinium. Doing so may avoid a delay in starting appropriate therapy.