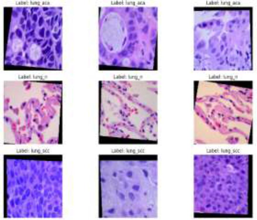
Figure 1.

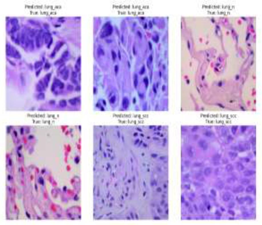
Figure 2.

Figure 3.

Figure 4.

Figure 5.

Figure 6.

Figure 7.

Figure 8.

Figure 9.

Figure 10.

Figure 11.

Figure 12.

Figure 13.

Figure 14.

Figure 15.

EXPERIMENTAL DATASET TABLE
| Training Set | Validation Set | Test Set | |
|---|---|---|---|
| lung_aca | 3500 | 750 | 750 |
| lung_scc | 3500 | 750 | 750 |
| lung_n | 3500 | 750 | 750 |
Prediction Metrics for Different Models
| Model | Acc(%) | Average Precision(%) | Average Recall(%) | Average F1-Score(%) |
|---|---|---|---|---|
| Vgg16 | 98.49 | 98.49 | 98.49 | 98.49 |
| Resnet50 | 97.51 | 97.51 | 97.51 | 97.51 |
| DeiT | 99.96 | 99.96 | 99.96 | 99.96 |