Trichinella spp. are zoonotic nematodes distributed worldwide, except in Antarctica (Pozio, 2007 and 2016; Marin et al., 2023). Humans become infected after consuming raw or undercooked meat containing infective larvae (Gottstein et al., 2009). According to the available data, 13 taxa have been classified in the genus Trichinella so far (Marin et al., 2023), with two species, T. spiralis and T. britovi, identified in Serbia (Dmitric etal., 2017). Additionally, T. britovi has previously been confirmed in Serbia in dried wild boar meat associated with human trichinellosis (Dmitric et al., 2018). Wild boar meat and its products are among the most common sources of Trichinella infections in humans (Pozio, 2015; Rostami et al., 2017). Therefore, this type of food should only be consumed after proper testing for the presence of Trichinella larvae (Dmitric et al., 2018).
The objectives of this study were:
To emphasize that Trichinella spp. Infection in game meat can be extremely high, highlighting the importance of meat inspection, especially for game meat, for detecting this parasite.
To use the method of histopathological diagnosis to determine how the high infection of Trichinella larvae affects the muscle tissue of the host (wild boar).
To identify the species of Trichinella that has led to the high infection of wild boar meat.
To confirm the importance of wild boars as reservoirs of Trichinella spp. in the Republic of Serbia.
The wild boar (female, estimated age 6 – 18 months) was legally hunted on November 28, 2021, where a single diaphragm sample was examined.
A total of 10 g of muscle tissue was processed using the standard method “Microbiology of the food chain – Detection of Trichinella larvae in meat by artificial digestion method” (SRPS EN ISO 18743:2016). Trichinella larvae were enumerated using a microscope (MZ6 Stereo Microscope, Leica, Germany), and the infection levels were reported as the number of larvae per gram of sample (LPG) (Fig. 1).

Microscopic findings after artificial digestion – Trichinella spp. (20× magnification)
The sample was fixed in 10 % neutral buffered formalin. Following standard procedures in an automated tissue processor, the obtained sections were stained with hematoxylin and eosin (HE) and analyzed under a light microscope (BX51, Olympus Optical, Japan). The images were captured with an Olympus Color View III® digital camera.
After artificial digestion, the larvae were collected in tubes (Eppendorf Tubes 1.5ml) and stored in absolute alcohol at -20 °C until the beginning of the molecular confirmation of the Trichinella species. Deoxyribonucleic Acid (DNA) was isolated from an individual larva using the QIAamp DNA Mini Kit (QIAGEN, Hilden, Germany). The larvae were identified to the species level using multiplex PCR, following the procedure outlined by the European Union Reference Laboratory for Parasites (European Union Reference Laboratory for Parasites, 2013).
Not applicable.
Using the SRPS EN ISO 18743:2016 method, the sample was determined to be positive for Trichinella spp. The burden of infection was 767 LPG. T. britovi was the only species identified after the multiplex PCR analysis of a total of 5 larvae.
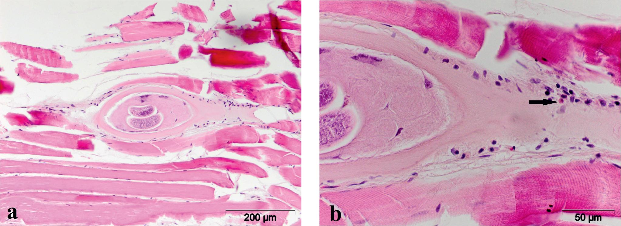
Histopathological examination revealed a large number of encapsulated Trichinella spp. larvae in the muscular tissue of the diaphragm. Mild inflammatory infiltrates, consisting primarily of mononuclear cells, lymphocytes, and macrophages, with individual eosinophils, were observed around the larvae (Fig. 2).

Histopathological changes in the wild boar diaphragm, HE a) encapsulated larva with perilarval inflamatory infiltrate, b) inflamatory infiltrate consists of mononuclear cells with individual eosinophills (arrow)
Trichinellosis is a zoonotic infection acquired by ingestion of infective Trichinella larvae. (Gottstein et al., 2009). Once ingested, these encysted larvae are released during digestion, where L1 larvae develop in the small intestine. The larvae then mature and produce newborn larvae, which migrate through various tissues in the body, leading to clinical manifestations of trichinellosis. Eventually, the larvae settle in striated muscle, where they become infective L1 larvae, completing their life cycle (Taratuto & Venturiello, 1997; Gottstein et al., 2009).
Despite the high larval burden, pathomorphological changes established by microscopic examination were slight, which corresponds to the literature data (Gamito-Santos et al., 2009).
Wild boar meat can carry numerous biological hazards transmissible to humans, including Trichinella spp. (Rostami et al., 2017). Therefore, the meat must be inspected for Trichinella infestation and properly cooked (Rostami et al., 2017). In 2016, a trichinellosis outbreak occurred in Serbia following the consumption of infected wild boar meat. Although the LPG was less than one, 116 people became infected (Dmitric et al., 2018). The LPG determined in this study was extremely high (767); therefore, we would like to emphasize the importance of meat inspection to reduce the risk that this hazard represents. High infections of Trichinella spp. have previously been detected in naturally infected wild boars (LPG 992) (Nöckler et al., 2006) and experimentally infected wild boars (LPG 1812, Germany) (Bessi et al., 2020); however, to our knowledge, this is the largest LPG so far detected in Serbia.