Dirofilariasis is a vector-borne infection caused by the nematodes of the genus Dirofilaria. Mosquitoes of the family Culicidae (genera Anopheles, Culex, Aedes) transmit the infection to the definitive hosts (carnivores). Dogs are the main reservoir host of Dirofilaria spp. There are several species that can infect humans, most frequently D. repens and D. immitis. Humans are aberrant hosts in which the parasites usually cannot develop into adult worms, but immature forms can be found. Although human cases with microfilariae in the peripheral blood have been reported (Pietikäinen et al., 2017; Pupić-Bakrač et al., 2021). Larvae are inoculated in the skin by the bite of infected mosquitoes. After that the parasite can migrate to different tissues, as the location defines the clinical presentation. Infection with D. repens is usually associated with a slow-growing nodule in the subcutaneous tissue or with ocular localization (30 – 35 % of cases) (Ondriska et al., 2014; Velev, 2020). D. immitis causes pulmonary dirofilariasis and very rare affects the eye. Atypical location of the parasite (in peritoneum, lymph node, muscles, etc.) has also been observed (Matějů et al., 2016). Human dirofilariasis occurs in South and Central Europe (mostly in Italy, Greece, France) but cases have been reported from northern European countries like Finland and Estonia (Pietikäinen et al., 2017; Fuehrer et al., 2021). The latter is associated with climate changes that enhance development of the parasite in mosquito vectors (L3 larvae develop at 22°C for 16 – 20 days), expansion of mosquitoes in new regions, movement of infected animals (Chakarova & Mitev, 2020).
We presented a case of autochthonous tissue dirofilariasis in a 59-year-old man. Three weeks before seeking medical help, he had noticed a small nodule (around 1.5 cm in diameter) in the scrotum. It was painless and not connected to the right testis. The skin of the scrotum was not inflamed. Physical examination revealed a small tumor-like lesion in the scrotum. Inguinal lymph nodes were not enlarged. Ultrasound of urinary tract was normal. Blood and urine tests were within normal values. No eosinophilia was detected in the differential blood count. The history revealed that the patient lived in a large city (in South Central Bulgaria) and he had never travelled abroad. But he frequently visited his house in a small village near the city, where his pet dog lived.
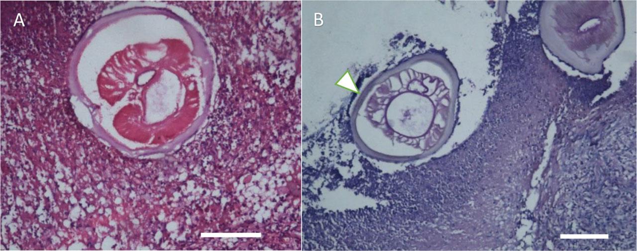
The nodule of the scrotum was extracted surgically. Histological examination of the extracted lesion showed soft tissue with purulent inflammation, parts of a filarial nematode, surrounded by eosinophil granulocytes. The helminth had longitudinal ridges on the cuticula and a thick muscular layer. It was differentiated as a nematode of the genus Dirofilaria using a light microscope, most likely Dirofilaria repens (Fig. 1A, B).

A. Cross section of the subcutaneous tissue of the scrotum with Dirofilaria surrounded by a lot of neutrophils, macrophages, eosinophils; H-E, 100 ×; B. Longitudinal ridges on the cuticle of Dirofilaria (the arrow); PAS, 100 ×; Scale bar: 100 µm (A, B)
No microfilariae were detected on Giemsa-stained thick and thin blood smears. Antihelminthic therapy was not initiated. No complications were observed after the extraction of the helminth. The patient was followed for 6 months, during which time he recovered completely.
Dirofilariasis is a zoonotic disease that humans can also acquire. In a case of infection with D. repens, patients usually present with a subcutaneous nodule 4 – 8 months after microfilariae inoculation. It is located most frequently on the face, periorbital region, lower leg, hand, neck and less often in other parts of the body. The nodules commonly contain a single helminth surrounded by neutrophils and eosinophils. If the parasite is dead or calcified, it is surrounded by a granuloma (Capelli et al., 2018).
More than 3500 human cases of dirofilariasis have been reported but in a small number of cases, the male reproductive system (scrotum, epididymis, spermatic cord) was affected (Tripi et al., 2016; Nagy & Nagyová, 2021; Rose et al., 2023).
In Bulgaria, both D. immitis and D. repens have been observed in dogs and wild canids. Rafailov (2020) found that 13.04 % of 1609 dogs were positive for D. immitis with the highest percentage in South Central Bulgaria (17.8 %), and 4 % of the positive dogs were co-infected with D. repens. In humans only D. repens has been detected (Angelov & Vuchev, 2010). For the period 1973 – 2011, 47 cases of human dirofilariasis were registered in the country. Nodules in the scrotum and the testis were observed in two cases (Harizanov et al., 2014). Another 18 cases of dirofilariasis caused by D. repens were diagnosed in the country between 2009 and 2018 (Velev et al., 2019). In one of these cases, the nematode affected the epididymis of an 11-year-old boy (Velev et al., 2018). Epididymal dirofilariasis has also been observed in a young man (Kaftandjiev & Harizanov, 2016).
The symptoms of dirofilariasis of the male reproductive system are nonspecific and it can be misdiagnosed as a cyst or neoplasm. Ultrasound examination may reveal the movement of the helminth (“filarial dance sign”) after mechanical stimulation (Nagy & Nagyová, 2021). Probably, because the cases are rare, the diagnosis is difficult before surgery and it is made by histological examination of the extracted tissue (Boldiš et al., 2020). Based on morphology, D. repens can be differentiated by D. immitis as D. repens possesses external cuticular ridges along the body while the cuticle of D. immitis is smooth and only the ventral part of the male tail is covered with cuticular ridges (Leccia et al., 2012). Morphological examination in combination with PCR-based methods could be useful to determine the species. Lack of microfilariae in the peripheral blood makes the diagnosis more difficult. Eosinophilia or elevated IgE antibodies are usually absent. On the other hand, surgical removal of the worm is the radical treatment of the disease (Tripi et al., 2016). After that albendazole in combination with doxycycline can be used in a suspicion of the presence of more than one helminth (Capelli et al., 2018).
Dirofilariasis is a disease that medical doctors need to be aware of and take it in the differential diagnosis when patients present with subcutaneous nodules or nodules in other parts of the body. Dirofilariasis of the scrotum is a benign disease with a good prognosis as patients fully recover after surgical removal of the helminth.