Taenia hydatigena is a non-zoonotic cestode that use domestic and wild canids as definitive hosts. The metacestode, a cysticercus, infects several intermediate hosts, usually small ruminants (sheep and goats) and pigs (Saari et al., 2019). Less commonly, other ruminants, such as cattle or deer can also act as intermediate hosts (Abbas et al., 2021). Infection of intermediate hosts, by ingestion of taeniid eggs from contaminated pastures, has a great economic importance due to mortality of heavily infected animals and condemnation of infected organs (especially liver) and carcasses (Moudgil et al., 2022). Although T. hydatigena has been reported in hunting dogs in the US (Wray et al., 2022), little is known about the epidemiology of this cestode in the intermediate hosts. Here, we describe a cysticercosis case in a Kunekune sow caused by T. hydatigena.
A 2-year-old Kunekune sow, weighing 63.5 kg, was submitted for necropsy following death without premonitory signs. The sow was born under poor environmental and sanitary conditions in California, subsequently lived in the state of Washington until purchased by the current owners in Virginia. At the time of purchase, the sow was in late gestation. The sow delivered five seemingly healthy piglets one month prior to death. Four of the five piglets remained under the care of the sow. Over the following months, these four piglets lost weight, developed dermatologic issues, and eventually died. Two piglets were submitted for necropsy and a diagnosis of acute enterocolitis associated with E. coli infection was reached in both. The piglet that was placed with a different sow remained healthy. The sow was fed pig remains, including viscera, with both previous and current owners. However, the current owners chose to cook the remains while the previous owners did not. Both previous and current owners are dog owners. The management and deworming status of the previous owner’s canines is unknown. Current owners have 3 livestock guardian dogs which are kept outside, but do not have access to the pig facilities and are routinely dewormed every 6 months. Fragments of several organs were collected during necropsy and processed for routine H&E stain.
Tissue scrolls from a formalin-fixed paraffin embedded (FFPE) liver biopsy sample underwent DNA extraction using the QIAmp DNA FFPE Tissue kit (Qiagen, Germany), according to manufacturer’s instructions. Multiplex PCR was performed for the amplification of a 395 bp fragment of the NADH dehydrogenase subunit 1 (nad1) gene of Echinococcus multilocularis, a 119 bp fragment of the small subunit of ribosomal RNA (rrnS) gene of E. granulosus, and a 267 bp fragment of the rrnS gene of Taenia spp. (Trachsel et al., 2007). For sequencing, PCR product was purified using the QIAquick PCR purification kit (Qiagen, Germany) and submitted for Sanger sequencing using the primers Cest3 and Cest5seq (Trachsel et al., 2007).
For this study, formal consent or approval of the ethical committee are not required
At necropsy, the sow was in good body condition. The most significant gross findings were identified in the abdominal cavity, with the presence of fibrinous peritonitis and seven fluid-filled cysts in the mesentery that measured approximately 3 cm diameter, plus numerous 1 – 2 cm diameter cysts deeply embedded in the hepatic parenchyma. In these cysts, an off-white parasitic structure was noted. Other findings during necropsy were traumatic panniculitis and a focal renal infarct, both considered incidental findings. The cause of death was associated with peritonitis and fulminant sepsis. One mesenteric cyst was sampled for bacterial culture, and Streptococcus anginosus was isolated in the aerobic culture. No bacteria were isolated in the anaerobic culture of the cyst.
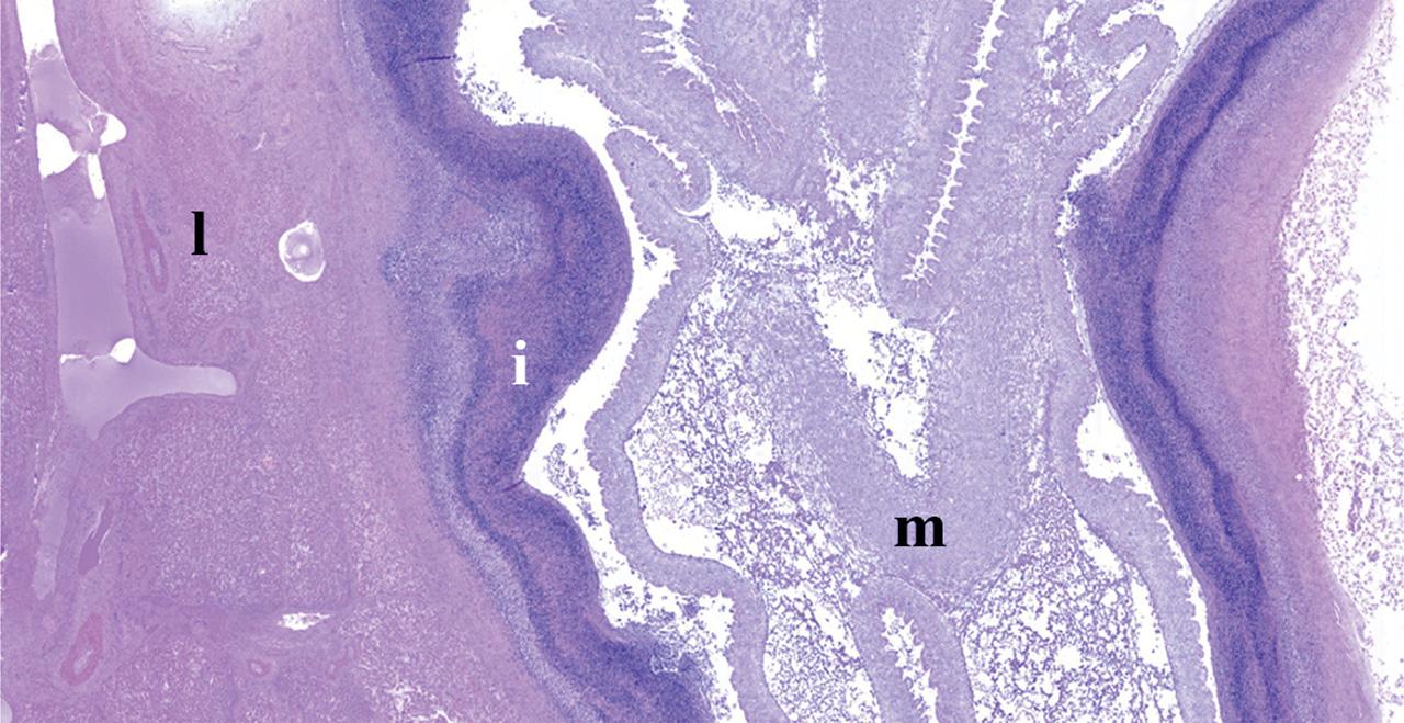
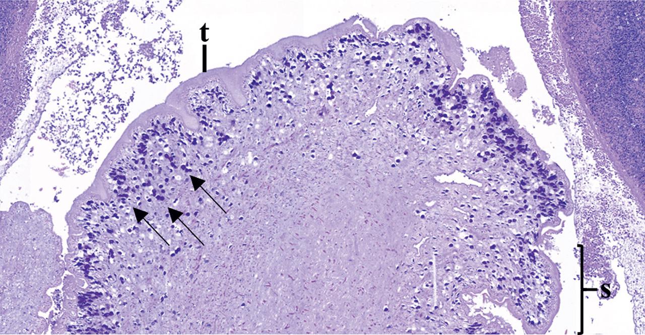
At the histopathology exam, multiple pyogranulomas were found in the liver, with a core of viable and degenerate neutrophils, all rounded with multiple layers of macrophages, lymphocytes, plasma cells, eosinophils, and a thick capsule of fibrous connective tissue. In the center, the presence of an approximately 1 cm long metacestode was noted (Fig. 1). The larva was moderately decomposed, but the presence of tegument, a loose mesenchymal parenchyma and calcareous corpuscles were still recognizable (Fig. 2). No scolices were observed. The adjacent hepatic parenchyma was unremarkable.

Sub gross photomicrography of the liver. A metacestode (m) parasitic structure is included in a cyst surrounded with a dense band of inflammatory cells (i); the adjacent liver (l) tissue is unremarkable. Hematoxylin and eosin, 2X.

Histologic details of the metacestode parasitic structure included in the cyst, with absence of a digestive tract, tegument (t), segmented body (s) and the presence of calcareous corpuscles (arrows). Hematoxylin and eosin, 6X.
At the molecular analysis, only the 267-bp fragment of Taenia spp. was amplified. The obtained sequence was aligned and trimmed using Geneious Prime 2021 (https://geneious.com) and compared to published sequences from the GenBank database. The sequence had 100 % identity (221/221 bp) with T. hydatigena mitochondrial small subunit ribosomal RNA gene sequences in GenBank (e.g., LC106360 and LC107473). The sequence is available in the GenBank database under the accession number ON890464.
With these results, a diagnosis of T. hydatigena infection in a Kunekune pig was reached. The adult cestodes reside in the small intestine of definitive hosts where these multiply sexually (Saari et al., 2019). Carnivores infected with T. hydatigena pass the gravid or mature proglottids in the fecal material (Horak et al., 2019). The feces contaminated with taeniid eggs are ingested by an intermediate host and the larvae penetrate the wall of the gastrointestinal tract and migrate to the target organs (liver, mesentery, or omentum), typically the liver (Miller et al., 2012; Saari et al., 2019). Migrating larvae can be discovered in the liver parenchyma of the intermediate hosts approximately 7 – 10 days post-infection (Corda et al., 2020). The larvae may remain in the liver or migrate to the liver surface, mesentery, or omentum where they will attach themselves and form fluid filled cysts referred to as cysticerci (Miller et al., 2012; Saari et al., 2019). Mature proglottids are shed approximately after 6 – 9 weeks from infection (Horak et al., 2019). This case was interesting due to the movement of the sow across the United States. Since larvae can be found in the liver parenchyma of intermediate hosts 7 – 10 days post-infection (Corda et al., 2020), we speculate that the infection may have occurred in Virginia. There is minimal data on the prevalence of Taenia spp. in swine in the United States. However, a prevalence of 17.8 % for T. hydatigena was recently reported in hunting dogs in Virginia (Wray et al., 2022). We were unable to obtain fecal samples from the dogs living with the sow, so these dogs cannot be ruled out as a possible source of infection for the sow as well.
Taenia infections are generally subclinical in definitive hosts, however intermediate hosts may suffer more severe clinical manifestations. This is often related to liver migration and encystation resulting in damage of hepatic parenchyma and subsequent fibrosis (Brown et al., 2017). Production swine species and other livestock species are common intermediate hosts for this organism, which does present concerns for production loss. While a diagnosis often is not reached until necropsy and many animals appear asymptomatic, larval migration and encystation can result in non-specific signs including anorexia, hyperthermia, and weight loss in production species (Delano et al., 2002). Additionally, the presence of cysticerci in the liver is ground for condemnation of this organ based upon aesthetics and not infectious concerns (Craig, 2009). Overall, infected production animals may result in financial losses due to organ condemnation, decreased carcass weights, and decreased milk yield (Saari et al., 2019). There is no treatment available for cysticercosis and control can be difficult (Miller et al., 2012). Mitigating contact between livestock and dogs as much as possible, treating infected dogs with praziquantel (5 mg/kg) when possible, and avoiding contamination of livestock feed with fecal material of definitive hosts are the best strategies in preventing cysticercosis caused by T. hydatigena (Miller et al., 2012).
In cases of visceral cysticercosis in pigs, T. solium should be considered as a differential diagnosis due to its zoonotic potential. Cysticercosis caused by T. solium in the United States is generally from imported swine, immigrants, or travelers from countries where the disease is endemic (Cantey et al., 2014).
Herein we describe the first case of visceral cysticercosis due to Taenia hydatigena in a Kunekune sow in the USA. Clinicians should be aware of the presence of this parasite in its definitive and intermediate hosts. Taenia solium must be considered as a potential differential diagnosis, because of its zoonotic implications.