Trichinella spiralis infection is a serious global foodborne zoonosis in humans and other mammals (CDC, 2023). It is caused by ingesting undercooked porcine products, which has been seriously associated with outbreaks (Dubinský et al., 2016). The global incidence of trichinellosis is challenging to estimate. In China, for instance, more than 40 million persons are at risk of infection (Bai et al., 2017).
Following ingestion of the infective larvae, it establishes a distinctive intracellular niche in the mucosal epithelium (between the epithelia and its basal lamina). Larvae then molt to adult worms within 2 – 5 days. After that, the adult worm mates in the non-membrane-bound portion of the enteric columnar epithelium. The fertilized females burrow deep into the cytosol of cells of the enteric mucosa and probably the absorptive and goblet cells and discharge newborn larvae in the blood circulation (5 to 15 days post-infection) (CDC, 2023).
The new generation of larvae (L1) enters the skeletal muscle cells to establish their niches, “the nurse cells,” and increase in size from 100 to 1000 μm, i.e., ten times. Literally, the infected muscle cell becomes dominated by the parasite to serve the nourishment and protection of the larvae. The development of nurse cells is associated with multiple cellular alterations and the construction of a host-derived collagen capsule. Skeletal muscles have been recognized as a unique site for the formation of nurse cells (Despommier, 1998). However, the molecular processes governing these intricate cellular alterations are largely unknown, and there are few protein markers for inducing the infected-cell phenotype (Beiting et al., 2006).
Proposing a parasite-host interface will stimulate the development of novel anthelmintic strategies and provide a better understanding of how parasite’s strategies adjust while establishing infection at the host. For example, CDX2 expression in the intestine, a crucial transcription factor related to the caudal-related homeobox gene family with a specific expression pattern, plays a vital role in intestinal homeostasis and mucosal immunity. Physiologically, CDX2 affords the stem cells with the information that maintains the proliferation of the mucosal epithelium, the differentiation of the normal phenotype, the regulation of the cell cycle, cellular adhesion, and nutrition (Freund et al., 2015; Wang et al., 2005).
In the muscles, Cyclin D1 is a physiologically critical protein that encodes the regulatory subunit of a holoenzyme that phosphorylates and deactivates the retinoblastoma protein and accelerates cell cycle progression through the G1-S phase (Mademtzoglou & Relaix, 2022). CD34 is a transmembrane sialomucin receptor biomarker and an indicator for hematopoietic progenitors and stem cells. Yet, expression of CD34 occurs in various cell types, for example, the interstitial dendritic cells, the epithelial progenitors, and the vascular endothelial progenitor cells (Alfaro et al., 2011; Kong et al., 2016). CD34 also acts as a cell-to-cell adhesion factor. In recent years, skeletal muscle satellite cells, myogenic progenitors, have been demarcated relying upon the expression of CD34. Therefore, several authors explored CD34 to regenerate injured muscle cells (Kapoor et al., 2020; Mañas-García et al., 2020; Wolcott & Woodard, 2020). However, the expression of CDX2, Cyclin D1, and CD34 after being challenged with T. spiralis infection has not been investigated.
Another point is the pharmacology-host-parasite interface, where albendazole, the classic therapy, has been criticized for its poor activity against encysted T. spiralis larvae in the muscle phase (Siriyasatien et al., 2003). Also, Benzimidazoles have been determined by their limited bioavailability and increasing drug resistance (Gottstein et al., 2009). Instead, Ivermectin (IVM) was identified as a reference treatment for trichinosis by (Basyoni & El-Sabaa, 2013). We hypothesize that T. spiralis resides inside the host’s cells to establish its nest, making it challenging to propose an efficient and safe therapy. Also, it is difficult to intend therapy that would hamper the parasite without detrimental effects on the host’s cells. Interestingly, T. spiralis was regarded as a non-replicating- virus-like intracellular organism that can play a role in modulating the genomic material of the host to attain well-developed nurse cells (Despommier, 1990) successfully. In this context, we inquired if Acyclovir (ACV), one of the most common antiviral drugs (mainly the Herpes family), can be “repurposed” to be used against T. spiralis as well (Schalkwijk et al., 2022). ACV is a guanine nucleoside analog at which the presence of viral thymidine kinase enzyme determines its activation into ACV triphosphate. In turn, activated ACV acts as a competitive inhibitor of the viral DNA polymerase enzyme and a chain terminator in the synthesis of the viral DNA, therefore hampering the virus (Lefaan et al., 2022). Interestingly, thymidine kinases were highly detected in T. spiralis in both adult and larva stages (Wińska et al., 2005). Additionally, it is present in the cytosol of mammalian cells (Frisk et al., 2020); thus, it may act on the parasitized host cells.
Based on the data above and hypothesis, the current study was to assess the histopathological changes in the intestine and muscle phases following infection with T. spiralis, show the expression of the host-derived CDX2 in the intestine and Cyclin D1 and CD34 in the muscle following T. spiralis infection, and investigate the potential effect of ACV with or without IVM on the intestinal CDX2 and muscular Cyclin D1 and CD34 in relation to the parasite load and histological changes.
One hundred Swiss albino male mice were employed in the current research. Involved animals were pathogen-free, laboratory-bred, weighing 25 ± 5 g, and were purchased via the Theodor Bilharz Research Institute (TBRI), Cairo, Egypt. The mice were set on a standard diet, humidity, and housing conditions with a temperature of 24 °C. The study was approved by the reviewers of the ethical committee of the Institutional Animal Care and Use Committee (CU-IACUC) (0334) at Cairo University with approval number CU-III-F-74-22. It was performed in agreement with the international ethical guidelines.
The mice were divided into five major groups (Group 1 – 5), each involving 30 mice; 15 mice were determined for the intestinal phase to be sacrificed on day 7 p.i. (subgroup A), while the other 15 animals were designated for the muscular phase and were sacrificed on day 35 p.i. (subgroup B). Nevertheless, an equal number of mice (n = 10) was blindly selected per subgroup to avoid statistical bias due to the variant mortality rates to accomplish further assessments (Fig. 1).

Experimental design.
Each mouse received 250 ± 50 infectious T. spiralis larvae (Instituto Superiore di Sanit’a code or ISS number: ISS6158), which were originally purchased from the Cairo abattoir and maintained in subsequent cycles using BALB/c mice at the TBRI according to Gamble (1996). In brief, dissected muscles from infected slaughtered mice were treated for two hours at 37 °C in distilled water with 1 % HCl and 1 % pepsin. An electric stirrer was used to whisk the mixture sporadically while incubating. The digested material was filtered on a 50 mm mesh to eliminate bulky particles. The infectious larvae were then gathered on a screen (200 mm mesh), washed twice, and then suspended in a cylindrical container with 150 ml of tap water. The larval suspension was allowed to settle, and its supernatant was eliminated. Using dissecting microscopy, larvae were retrieved and quantified to determine each animal’s precise infectious dosage (Franssen et al., 2011).
IVM (Iverzine 6 mg tablets, Uni Pharma, Egypt) and ACV (Acyclovir 200 mg tablets, Memphis, Egypt) were dissolved in distilled water. Referring to Paget and Barnes (1964), doses were estimated by renovating the therapeutic human doses to doses for animals. IVM was orally administered on days 1 and 5 p.i. for the intestinal phase (subgroup A) and on days 15 and 30 p.i. for the muscular phase (subgroup B) at a dose of 4 μg /mouse/day (Basyoni and El-Sabaa, 2013). Also, oral ACV was given at a dose of 10 mg/kg/day for 7 days in subgroup A (starting from day 1 p.i.) and in subgroup B (starting from day 28 p.i.) for, respectively, the intestinal and muscular phases (Quenelle et al., 2018).
In the four groups of mice receiving the current protocol of infection and treatment, survival rate and body weight in grams (g) were detected versus their healthy control every day for the initial 7 days p.i. in subgroup A and at the end of the study period, i.e., day 35 p.i. in subgroups B.
To assess the impact of the current therapeutic protocols on adults and larvae, animals were respectively sacrificed under anesthesia by cervical dislocation 7 days p.i. for the intestinal phase (subgroups A) and 35 days p.i. for the muscular phase (subgroups B) (Pan et al., 2023).
On day 7 p.i., the number of mature helminths per milliliter of intestinal fluid was microscopically identified. The procedure involved slicing the small intestines into small fragments after being longitudinally opened and saline. After 2 hours of incubation of the specimens in PBS at 37 °C, the adult parasites were gathered and enumerated using dissecting microscopy.
Histological assessment and quantification of adults and larvae in tissues
On days 7 and 35, after infection and therapeutic challenge, the small intestine and muscles were successively obtained from infected animals and fixed for 24 h in 4 % formalin. Then, tissues were embedded in paraffin, and cut sections of 3-μm-thickness sections were stained for histological examination using the routine H and E stain. Intestinal sections of each group were assessed for the architecture of the infected villi: villus (V) length/crypt (C) depth, counts of goblet cells/villus, counts of crypts/villus, counts of Paneth cells/crypt, and counts of inflammatory infiltrates/villus. The assessment was done in 20 villi/mouse, and mean values were calculated. The larvae, the nursing cells, and the surrounding capsule were investigated in the muscle cut sections. Average scoring of the muscular changes was done for each group in 10 larvae (randomly selected)/mouse regarding (1) larvae structures: intact-altered, (2) capsule inflammatory infiltrates: mild-moderate-intense, and (3) nurse cell: intact-altered. Adults in intestinal cut-sections were enumerated per 100 villi; also, the encapsulated larvae on muscle sections were enumerated per low power field (40×) using the gridding method (El Saftawy et al., 2020; Helal et al., 1991). The pathological evaluation was done by two pathologists in two different settings using a Zeiss microscope (Zeiss, Germany) and morphocytometry.
For immunological staining, paraffin sections from all study groups’ small intestine and muscles were prepared on adhesive-coated glass slides. Hydrogen peroxide 3 % was used to hamper endogenous peroxide after being de-waxed and rehydrated. Slides were placed in a thermostatic bath filled with preheated ethylene diamine tetra acetic acid (EDTA) for 30 minutes at 98 °C in order to retrieve the antigens. Thereafter, cooling down was done for 20 minutes at ambient temperature. The slides containing intestinal specimens were incubated with the anti-CDX2 antibody [EPR2764Y] (#ab76541). However, muscle specimens were incubated with the monoclonal antibodies anti-Cyclin D1 antibody - C-terminal (#ab185241) and anti-CD34 antibody [EP373Y] (#ab81289). Meyer’s hematoxylin was utilized as a counterstain after the diaminobenzidine (DAB) reaction to visualize the antigen-antibody combination. In the negative control, the primary antibody was omitted. A brown stain determined the positive immune reaction; as long it is not an artifact or a background (El Saftawy et al., 2020; Helal et al., 1991).
The pathological and morphometric analysis was carried out using a Leica Qwin 500 Image Analyzer (LEICA Imaging Systems Ltd., Cambridge, England). Optical density (OD) was automatically measured in ten fields, and quantitative values were saved for further statistical analysis (El Saftawy et al., 2020).
Data were coded and entered using the statistical package for the Social Sciences (SPSS) version 28 (IBM Corp., Armonk, NY, USA). Data was summarized using mean and standard deviation for quantitative variables and frequencies (number of cases) and relative frequencies (percentages) for categorical variables. Comparisons between groups were done using analysis of variance (ANOVA) with multiple comparisons post hoc test in normally distributed quantitative variables while non-parametric Kruskal-Wallis test and Mann-Whitney test were used for non-normally distributed quantitative variables (Chan, 2003a). A chi-square (c2) test was performed to compare categorical data. An exact test was used when the expected frequency was less than 5 (Chan, 2003b). Correlations between quantitative variables were done using the Spearman correlation coefficient (Chan, 2003c). P-values less than 0.05 were considered statistically significant.
The study was approved by the Institutional Animal Care and Use Committee (CU-IACUC), Faculty of Sciences, Cairo University (CU: III-F-74-22). All procedures of the current experiment and study were in accordance with international guidelines for the use of laboratory animals.
The overall survival rate of mice showed insignificant differences between groups, with a p-value of 0.213. Yet, in the combined treatment (IVM + ACV), the survival rate was 93.3 %, while in the infected untreated mice, it was 73.3 %. Healthy control had a survival rate of 100 %. The mean weight in grams in all treated groups versus infected untreated animals was p-value ≤ 0.001 at either day 7 p.i. or day 35 p.i.. Further details concerning body weight are illustrated in Table 1.
Means of body weight and survival rate in all experimental subgroups.
| Group 1 (infected - untreated) | Group 2 (IVM treated) | Group 3 (ACV treated) | Group 4 (combined treatment) | Group 5 (healthy) | P-value | ||||||
|---|---|---|---|---|---|---|---|---|---|---|---|
| Mo | SD | Mo | SD | Mo | SD | Mo | SD | Mo | SD | ||
| Body weight (g) at day 7 p.i. (subgroups, A) | 15.70a | 1.64 | 22.90b | 2.13 | 23.10b | 2.23 | 26.20c | 1.03 | 26.60c | 1.43 | < 0.001 |
| Body weight (g) at day 35 p.i. (subgroups, B) | 18.20a | 2.20 | 22.30b | 2.11 | 23.70b | 2.41 | 27.00c | 1.25 | 27.30c | 1.64 | < 0.001 |
| Survival rate | 11a | 73.3% | 12a,b | 80.0% | 12a,b | 80.0% | 14a,b | 93.3% | 15b | 100.0% | |
g – grams; Mo – mean; in the superscripts – similar letters, p-value >0.05, while different letters p-value < 0.05.
Intestinal phase of T. spiralis infection (Day 7 p.i., acute stage)
As shown in Table 2, the burden of adult worms in the intestinal tissues at day 7 p.i. was determined as the number of adults/ml of enteric fluid and the number of adults/100 villi. The mean adult count in infected untreated animals (subgroup1A) was estimated to be approximately 173 ± 65/ml and 30 ± 14.02/100 villi (p-value < 0.001). Comparing treated Subgroups, the number of adults/ml in Subgroup 2A versus Subgroup 3A, Subgroup 2A versus Subgroup 4A, and Subgroup 3A versus Subgroup 4A were of p-values 1, 0.663, and 0.715 respectively. Also, the number of adults/100 villi in Subgroup 2A versus Subgroup 3A, Subgroup 2A versus Subgroup 4A, and Subgroup 3A versus Subgroup 4A showed p-values 1, 0.034, and 0.131 respectively. Further details are presented in Table 2.
Counts of Trichinella spiralis adult worms in enteric fluid and intestinal tissue on day 7 p.i.
| Subgroup 1A (infected untreated) | Subgroup 2A (IVM treated) | Subgroup 3 A (ACV treated) | Subgroup 4A (combined treatment) | Subgroup 5A (healthy) | P-value | |||||||||
|---|---|---|---|---|---|---|---|---|---|---|---|---|---|---|
| Mo | SD | Mo | SD | R% | Mo | SD | R% | Mo | SD | R% | Mo | SD | ||
| No. of adults / milliliter | 173.2a | 65 | 46.2b | 8.57 | 73.3% | 45.6b | 10.25 | 73.7% | 21.7b | 8.82 | 87.5% | NA | . | < 0.001 |
| No. of adults / 100 villi | 30.1a | 14 | 12b | 5.08 | 60.1% | 10.10b,c | 3.93 | 66.5% | 1.8c | 1.32 | 94.02% | NA | . | < 0.001 |
No. – number; Mo – mean; R% – reduction rate; NA – not applicable, in the superscripts – similar letters, p-value > 0.05 while different letters p-value < 0.05.
The V length /C depth ratios in IVM and ACV, either as monotherapies or in combination, were restored versus infected untreated mice with p-value < 0.001. However, the V length /C depth ratio amelioration was more pronounced in the combined treatment (5.07 ± 0.8). Overall, treated groups and healthy controls showed insignificant differences in the V length /C depth ratios (p-value ≥ 0.05). Concerning lymphocyte counts/villus, the villi of the infected untreated animals versus treated and healthy mice exhibited a marked increase in the lymphocytic counts (p-value < 0.001). In comparison, IVM, ACV, and combined treatment scored significant reductions in lymphocytic counts with p-values ≤ 0.05. Combined treatment and healthy mice were of insignificant difference (p-value = 1).
Regarding goblet cell counts/villus, treated groups showed p-values < 0.001 compared with infected untreated animals. Treated groups were of insignificant differences (p-value = 1). Nevertheless, only combined treatment versus healthy mice showed p-value = 1.
Counts Paneth cells/crypt and likewise the counts of crypts/villus in infected untreated mice versus all treated groups were of p-value < 0.001. Nonetheless, all therapeutic protocols were of p-value > 0.05 versus healthy control. Further details are in Table 3 and Figures 2 and 3.

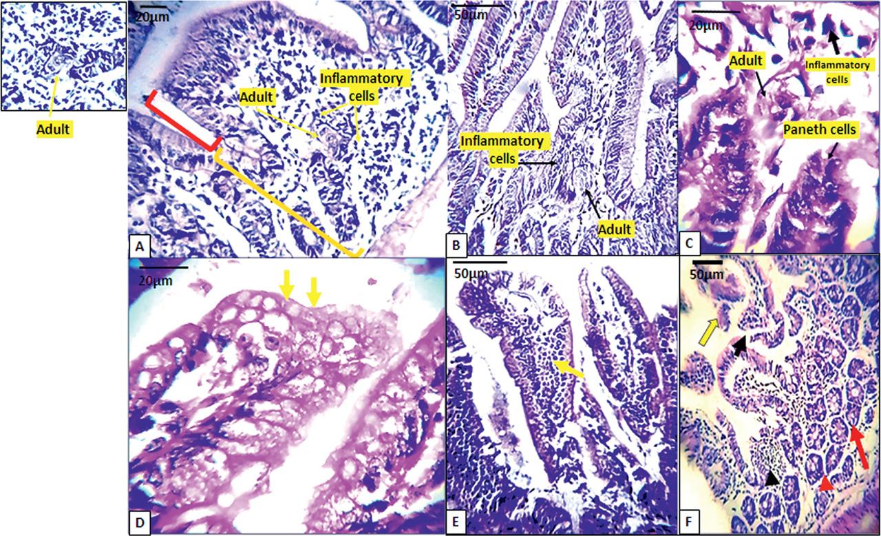
Photomicrographs of H&E-stained small intestine in infected and untreated mice at day 7p.i.. A, B, & C show adults’ cut sections invading the core and base of the intestinal villi in three different tissue cut sections surrounded with dense inflammatory infiltrates. Yet, (A) shows a reduced V length/C depth ratio, flattening villi, and shedding of epithelial cells (C) shows increased Paneth cells with eosinophilic cytoplasm, (D) shows hyperplasia of goblet cells, (E) shows increased inflammatory cells in the neighboring villi, (F) shows flattening and hyperplasia of the crypts of the villi (red arrow), disrupted villi (yellow arrow), and dense inflammatory cells (black arrows).

Photomicrographs of H&E-stained small intestine in infected and treated mice at day 7 p.i.. (A.1) IVM treated mice, showing finger-like villi with apparently intact epithelial lining (yellow arrow), moderate inflammatory infiltrates (black arrow), and few disruptions in the surface of the villi. (A.2 and A.3) show goblet and Paneth cells respectively (black arrows). (B.1) ACV-treated mice, showing relatively intact epithelium lining with scarce disruption and reduced inflammatory infiltrates in finger-like villi (black arrows). (B.2 and B.3) show goblet and Paneth cells respectively (black arrows). (C.1) Combined treatment (IVM+ACV) showing finger-like and tongue-like villi with a mild intensity of the inflammatory infiltrate (black arrow), intact epithelium lining (yellow arrow). (C.2 and C.3) show few discrete goblets and Paneth cells respectively (black arrows). (D) Healthy control.
Intestinal histopathological changes on day 7 p.i. (acute stage).
| Subgroup 1A (infected untreated) | Subgroup 2A (IVM treated) | Subgroup 3 A (ACV treated) | Subgroup4 A (combined treatment) | Subgroup 5A (healthy) | P-value | ||||||
|---|---|---|---|---|---|---|---|---|---|---|---|
| Mo | SD | Mo | SD | Mo | SD | Mo | SD | Mo | SD | ||
| V length /C depth ratio | 1.39a | 0.24 | 5.07b | 0.80 | 4.87b | 0.93 | 5.07b | 0.80 | 5.60b | 1.07 | < 0.001 |
| lymphocyte counts/villus | 110.00a | 13.03 | 50.20b | 8.35 | 18.80c | 4.26 | 6.60d | 1.78 | 6.50d | 1.84 | < 0.001 |
| Goblet cell counts /villus | 45.50a | 5.02 | 12.40b | 2.27 | 12.40b | 2.32 | 10.70 b,c | 1.57 | 8.60c | 0.97 | < 0.001 |
| No. of Paneth cells/crypt | 16.90a | 2.18 | 6.60b | 0.97 | 6.00b | 0.82 | 5.70b | 0.82 | 5.70b | 1.49 | < 0.001 |
| No. of crypts /villus | 8.30a | 1.89 | 2.30b | 0.82 | 2.40b | 0.70 | 1.60b | 0.70 | 1.50b | 0.53 | < 0.001 |
No. – number; Mo – mean; V – villus; C – crypt; in the superscripts – similar letters, p-value > 0.05, while different letters p-value < 0.05.
The mean counts of T. spiralis larvae in the infected untreated mice were 21.2 ± 5.73 with a p-value < 0.001 compared to the treated and healthy study subgroups. In comparison, the IVM-treated subgroup showed mean counts of larvae/LPF of 6.8 ± 2.53 and a reduction percentage of 68 %. In ACV-treated subgroups, mean counts of larvae/LPF were 6.5 ± 2.22 with a reduction percentage of 69.34 %. The highest reduction percentage was found in the combined treatment (87.3 %) with mean counts of 2.7 ± 1.16. IVM and ACV-treated mice were of insignificant difference (p-value = 1). Likewise, both subgroups showed p-values of 0.06 and 0.09 when compared with the combined treatment Table 4.
Mean and standard deviation of larva burden/LPF on day 35 p.i. (chronic stage).
| Subgroup 1B (infected untreated) | Subgroup 2B (IVM treated) | Subgroup 3B (ACV treated) | Subgroup 4B (combined treatment) | Subgroup 5B (healthy) | P-value | ||||||
|---|---|---|---|---|---|---|---|---|---|---|---|
| Mo | SD | Mo | SD | Mo | SD | Mo | SD | Mo | SD | ||
| Larva burden/LPF | 21.20a | 5.73 | 6.80b | 2.53 | 6.50b | 2.22 | 2.70b | 1.16 | NA | . | < 0.001 |
NA – not applicable; in the superscripts – similar letters, p-value > 0.05, while different letters p-value < 0.05.
Significant differences were recorded between infected untreated mice (subgroup 1B) and treated subgroups (p-value < 0.001). Infected untreated mice showed the presence of intact larvae encompassing stichocyte, immature reproductive tract, lateral cord, intestinal tract, and the septum that separates the larvae from the nurse cell. In addition, the mature nurse cells showed eosinophilic cytoplasm and were surrounded by collagen capsules and intense inflammatory infiltrates. Notably, satellite cells under the basal lamina of the nurse cell and multiple nuclei invading the nurse cell cytoplasm were frequently present. The surrounding muscle fibers were atrophied in Fig. 4. Drug regimens altered the structure of the larvae and the nurse cells. Of note, IVM, not ACV-treated murine models, revealed scanty and relatively basophilic cytoplasm. Further details concerning histological parameters are shown in Table 5.

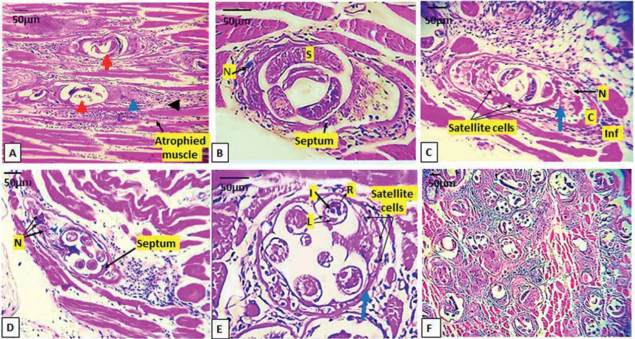
Photomicrographs of H&E-stained muscle cut sections in infected untreated mice at day 35 p.i.. (A) Spiral morphology of larva (red arrow), nurse cell (blue arrow), capsule (black arrow), and atrophied muscle fibers. (B) The detailed structure of the encysted larva: stichocyte (S), hypertrophied nucleus (N). Note the septum that separates the parasite and nurse cell. (C) Mature nurse cells with eosinophilic non-homogeneous cytoplasm (blue arrow), collagen capsule (C) and intense inflammatory infiltrates (Inf), and satellite cells (under the basal lamina of the nurse cell) (D) hypertrophied nuclei (N) invading a nurse cell. (E) immature reproductive tract (R), lateral cord (L), intestinal tract (I), and blue arrow refers to nurse cell basal lamina (F) A cluster of larvae with intense inflammatory cells.
Muscular histopathological changes on day 35 p.i. (chronic stage).
| Subgroup 1B (infected untreated) | Subgroup 2B (IVM treated) | Subgroup 3B (ACV treated) | Subgroup 4B (combined treatment) | Subgroup 5B (healthy) | P-value | |||||||
|---|---|---|---|---|---|---|---|---|---|---|---|---|
| Count | % | Count | % | Count | % | Count | % | Count | % | |||
| Larva structures | Intact | 10a | 100.0% | 5b | 50.0% | 6b | 60.0% | 0c | 0.0% | 0 | 0.0% | < 0.001 |
| Altered | 0a | 0.0% | 5b | 50.0% | 4b | 40.0% | 10c | 100.0% | 0 | 0.0% | ||
| Capsule inflammatory infiltration | Mild | 0a | 0.0% | 2a,b | 20.0% | 5b,c | 50.0% | 9c | 90.0% | 0 | 0.0% | < 0.001 |
| moderate | 3a,b | 30.0% | 6b | 60.0% | 5a,b | 50.0% | 1a | 10.0% | 0 | 0.0% | ||
| intense | 7a | 70.0% | 2b | 20.0% | 0b | 0.0% | 0b | 0.0% | 0 | 0.0% | ||
| Nurse cell | intact | 10a | 100.0% | 4b | 40.0% | 5b | 50.0% | 2b | 20.0% | 0 | 0.0% | 0.001 |
| altered | 0a | 0.0% | 6b | 60.0% | 5b | 50.0% | 8b | 80.0% | 0 | 0.0% | ||
In the superscripts, similar letters, p-value > 0.05 while different letters p-value < 0.05.
In IVM-treated mice (Fig. 6E) and ACV-treated animals (Fig. 6F), the mean OD of CDX2 was 0.58 ± 0.1 and 0.63 ± 0.07 with p-values < 0.05 if compared with the infected untreated animals (subgroup 1A) (0.79 ± 0.1) (Fig. 6A–D). In the combined treatment (subgroup 4A), the mean OD of CDX2 was 0.34 ± 0.15 with p-values of < 0.001 when compared with subgroups 1A, 2A, and 3A. Nevertheless, subgroup 4A showed an insignificant difference when compared with the healthy control (p-value = 1).

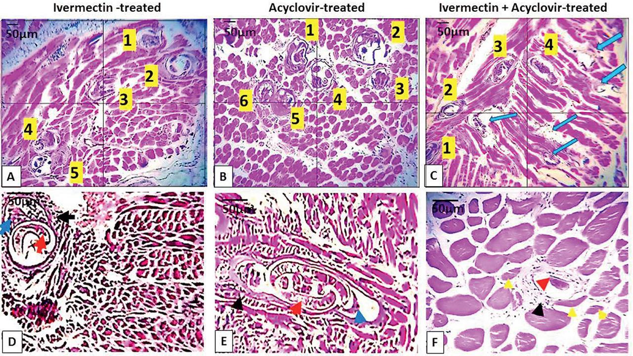
Photomicrographs of H&E-stained muscle sections in infected and treated mice at day 35 p.i.. A, B, and C show the burden of larvae in treated groups. In D, the IVM-treated group showed nurse cells with scanty and slightly basophilic cytoplasm (blue arrow), moderate inflammatory infiltrates (black arrow), a remnant of larvae (red arrow), and atrophied unoccupied muscle fibers. In E, the ACV-treated group showed nurse cells with eosinophilic cytoplasm (blue arrow), mild to moderate inflammatory infiltrates (black arrow), variably damaged larvae (red arrows), and atrophied unoccupied muscle fibers. In (F) Combined treatment shows inflammatory infiltrates that partially invade the loose and vacuolated capsule (black arrow), homogenized larva lacking details (red arrow), regenerated muscle fibers (yellow arrows), and absence of muscle atrophy, while nurse cell was almost lacking.

Photomicrographs of immunohistochemical expression of CDX2 in the epithelial cells of the villi and crypts at day 7 p.i.. (A–D) Infected untreated mice show overexpression of nuclear and cytoplasmic CDX2. Note in (B–D) adult T. spiralis embedded in the villi (red arrows). E and F show reduced expression of CDX2 in IVM- and ACV-treated mice respectively. G, combined treatment shows mainly nuclear staining for CDX2. H, healthy control.
Cyclin D1 was profoundly expressed in infected untreated animals (0.82 ± 0.08, p-value < 0.001). The IVM and ACV-treated mice expressions were (0.52 ± 0.08 and 0.53 ± 0.09, p-value =1). In the combined treatment (subgroup 4B), Cyclin D1 showed OD (0.2 ± 0.07), and the healthy group showed insignificant differences (0.18 ± 0.06, p-value = 1), (Fig. 7).

Photomicrograph showing immunohistochemical expression of Cyclin D1 in the muscle phase (day 35 p.i.). A, Infected untreated animals show intense cytoplasmic and nuclear expression of Cyclin D1 in the nurse cell (N), satellite cells (S), and the surrounding muscle fibers (M). B and C show expression of CyclinD1 in unoccupied muscle fibers and clusters of encysted larvae respectively in infected untreated mice. Expression of Cyclin D1 declined in IVM (D–F) and ACV (G–I) treated groups in the capsules (red arrow), nurse cells (blue arrow), and unoccupied muscle fibers. J–L, combined treatment shows a profound reduction in CyclinD1 in both nurse cell remnants and unoccupied muscle fibers.
The lowest levels of CD34 expression (0.19 ± 0.07, p-value < 0.001) were present in the infected untreated mice (subgroup 1B). The mean OD of CD34 in IVM-treated mice and ACV-treated animals was 0.55 ± 0.11 and 0.43 ± 0.09, respectively, p-value = 0.098. Intense CD34-positive reactions were observed in the combined treatment (subgroup 4B) (0.75 ± 0.11, p-value = 1 versus healthy mice) with p-values < 0.001 when compared to subgroups 1B, 2B, and 3B, (Fig. 8).

Photomicrograph showing immunohistochemical expression of CD34 in the muscle phase (day 35 p.i.). (A) The infected untreated group shows missing or reduced CD34 localized between the individual muscle fibers. The black arrow refers to localized CD34 in mononuclear cells. The IVM-treated mice (B) and the ACV-treated group (C) show a moderate increase in the expression of CD34. (D) combined treatment shows intensification in the transmembrane expression of CD34 in association with remnants of nurse cells, damaged larva, and scarce cellular infiltrates. Note yellow arrow refers to immune reactive satellite cells. The black arrow refers to the capsule; the red arrow refers to the larva; and the blue block points to the remnants of the nurse cell.
Overall, CDX2 in intestinal tissues (day 7 p.i.) positively correlated with the counts of lymphocytes, goblet cells, Paneth cells, crypts, and the adult and larva burden in tissue with p-values < 0.001.
Nonetheless, there were negative correlations between CDX2 in the intestine and the V length /C depth ratios (7-day p.i.) (r = −0.496, p-value < 0.001) and weight gain (days 7 and 35 p.i.) (r = −0.717 and −0.684 respectively, p-values < 0.001), (Fig. 9).

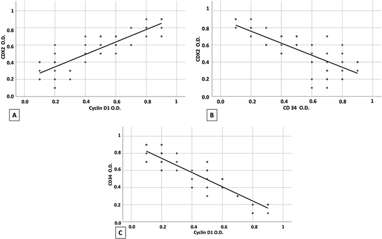
Graphs of Spearman correlation. (A) Positive correlation between intestinal CDX2 O.D. (day 7 p.i.) and muscular Cyclin D1 expression (day 35 p.i.), (B) negative correlation between intestinal CDX2 (day 7 p.i.) and muscular CD34 (day 35 p.i.), and (C) negative correlation between muscular CD34 and Cyclin D1(day 35 p.i.).
Likewise, Cyclin D1 in muscle tissue (day 35 p.i.) showed a negative correlation with V length /C depth ratios (day 7 p.i.) (r = −0.609, p-value < 0.001) and body weight (days 7 and 35 p.i.). (r = −0.853 and −0.829 respectively, p-value < 0.001). In contrast, other histological parameters in intestinal and parasite burden positively correlated (p-values < 0.001).
In contrast, the optical densities of CD34 in the muscles (day 35 p.i.) showed a positive correlation with V length /C depth ratios (day 7 p.i.) (r = 0.647, p-value < 0.001) and body weight (days 7 and 35 p.i.) (r = 0.727 and 0.746 respectively, p-value < 0.001). Yet, a negative correlation was present between the expression of the muscular CD34 and other intestinal parameters and parasite burden (p-value < 0.001), (Table 6).
Correlation of CDX2, Cyclin D1, and CD34 expressions with body weight, intestinal inflammation, and parasite burden.
| CDX2 | Cyclin D1 | CD34 | ||
|---|---|---|---|---|
| Body weight (g) at day 7 p.i. | Correlation Coefficient, r-value | -0.717- | -0.853- | 0.727 |
| p-value | < 0.001 | < 0.001 | < 0.001 | |
| No. | 50 | 50 | 50 | |
| Body weight (g) at day 35 p.i. | Correlation Coefficient, r-value | -0.684- | -0.829- | 0.746 |
| p-value | < 0.001 | < 0.001 | < 0.001 | |
| No. | 50 | 50 | 50 | |
| V length /C depth ratio | Correlation Coefficient, r-value | -0.496- | -0.609- | 0.647 |
| p-value | < 0.001 | < 0.001 | < 0.001 | |
| No. | 50 | 50 | 50 | |
| lymphocyte counts/villus | Correlation Coefficient, r-value | 0.759 | 0.896 | -0.799- |
| p-value | < 0.001 | < 0.001 | < 0.001 | |
| No. | 50 | 50 | 50 | |
| Goblet cell counts /villus | Correlation Coefficient, r-value | 0.731 | 0.761 | -0.718- |
| p-value | < 0.001 | < 0.001 | < 0.001 | |
| No. | 50 | 50 | 50 | |
| No. of Paneth cells/crypt | Correlation Coefficient, r-value | 0.550 | 0.645 | -0.619- |
| p-value | < 0.001 | < 0.001 | < 0.001 | |
| No. | 50 | 50 | 50 | |
| No. of crypts /villus | Correlation Coefficient, r-value | 0.644 | 0.714 | -0.685- |
| p-value | < 0.001 | < 0.001 | < 0.001 | |
| No. | 50 | 50 | 50 | |
| Adult burden/milliliter at day 7 p.i. | Correlation Coefficient, r-value | 0.783 | 0.834 | -0.755- |
| p-value | < 0.001 | < 0.001 | < 0.001 | |
| No. | 40 | 40 | 40 | |
| Adult burden/100 villi at day 7 p.i. | Correlation Coefficient, r-value | 0.770 | 0.837 | -0.736- |
| p-value | < 0.001 | < 0.001 | < 0.001 | |
| No. | 40 | 40 | 40 | |
| larva burden/LPF at day 35 p.i. | Correlation Coefficient, r-value | 0.690 | 0.799 | -0.802- |
| p-value | < 0.001 | < 0.001 | < 0.001 | |
| No. | 40 | 40 | 40 |
No., the number of mice, 50 mice in all parameters except in parasite burden was determined on 40 mice as healthy controls (10 mice) were not involved.
Intestinal CDX2 and muscular CyclinD1 correlated positively with an r-value of 0.847 (p-value < 0.001). Muscular CD34 and intestinal CDX2 were negatively correlated (r = −0.776, p-value < 0.001), and CD34 and Cyclin D1 in muscles were likewise negatively correlated (r = −0.883, p-value < 0.001), (Table 6).
The present work showed an improved survival rate related to the three therapeutic lines of treatment (IVM, ACV, and combined treatment). IVM has been approved for the anti-helminthic therapy of onchocerciasis, strongyloidiasis, and filariasis (Nicolas et al., 2020). Also, Michael et al. (2021) determined low mortality rates of sea lion pups treated with IVM. Oral IVM is extremely lipophilic and approaches “T-max” or the peak plasma concentration in 4 hours (Schmith et al., 2020). In addition, IVM possesses an anti-inflammatory effect similar to dexamethasone (Khan et al., 2023). Nevertheless, Schmith et al. (2020) speculated on the necessity of reassuring IVM as a management tool to avert possible anthelmintic resistance. Schuierer et al. (2020) determined that ACV treatment was related to meaningfully more prolonged survival in ICU patients. In addition, ACV is characterized by its extreme tolerability and safety in infants. It was deduced to be suitable for long-term systemic therapy (over a year), (Mavrutenkov et al., 2019).
Infected untreated mice showed a significant reduction in body weight. T. spiralis has been related to loss of weight in the infected host as it shifts immunity toward macrophage (M2) proliferation, inhibits the pro-inflammatory reaction, and alters metabolism and the composition of enteric microbiota (Elsaftawy and Wassef, 2021; Sun et al., 2024). Both the IVM and ACV regimens (subgroups 2 and 3) appeared to be efficient at preserving an acceptable body weight compared with infected untreated models. However, the evidence of combining the two regimens (IVM+ACV) (subgroup 4) body weight was analogous to healthy animals. Thus, combined treatment appeared to exert better anti-helminthic performance and chances of recovery (Rashid et al., 2022).
The combination administration of IVM and ACV monotherapies showed a significant reduction in the intestinal worm count per milliliter of enteric fluid and per 100 villi. Martin et al. (2021) speculated that IVM hinders the production of substances that suppress host immunity in filarial infections. IVM is an allosteric modulator that acts on the glutamate-gated chloride channels present in the nematodes (Martin et al., 2021). Regarding ACV, Benedetti et al. (2018) deduced its cytotoxic action in acute T-cell leukemia by inducing caspase-3 and nuclear DNA fragmentations. Thus, in the current model, adult counts were reduced despite the well-known immune escape action of helminthic infection. Pachnio et al., (2015) determined that ACV at low doses potentially enhances overall immune response. Of note, Ramakrishna et al. (2020) speculated that long-term ACV treatment hampers the functionality of the gut barrier and diminishes Bacteroidetes and Akkermansia muciniphila. Therefore, in the current study, short-term ACV therapy appeared to be a healing-promoting factor.
Overall, the three therapeutic regimens showed restored V length /C depth ratios. Sarkar et al. (2022) showed that in rotavirus-infected mice, IVM is efficient in restoring damaged intestinal villi, reducing the shedding of pathogen particles, and diminishing the expression of its protein. Also, Ristić et al. (2023) demonstrated that ACV was efficient in terminating mucous and bloody diarrhea and restoring functionality of intestinal villi through rectifying anemia, hypocalcemia, and hypokalemia in Varicella zoster virus infection. Estimation of lymphocyte counts from histologic sections showed an intense increase in infected untreated animals. Saracino et al. (2020) deduced that acute T. spiralis infection triggers intense inflammation and histological changes involving B and T lymphocytes with initial Th1 cytokine profile (IFN-γ and IL-12), then shift towards Th2 cytokine profile (increased levels of IL-4, IL-5, IL-13, Ig G1, and Ig E). Besides, the lamina propria cells exert “helminthotoxic activity”. Thus, the intestine converts to a site destructive to the migrant larvae, hindering their approach to the muscles. A significant reduction in villous lymphocytes was observed in all treated groups, wherein combined treatment scored the best records. Sadowski et al. (2014) deduced the capability of ACV to ameliorate duodenitis in Herpes simplex infections. Yao et al. (2013) showed the dramatic capability of ACV to trigger apoptosis of the tumor cells, particularly when enforced with nanoparticles. However, it remains questionable whether ACV can exert an apoptotic effect on inflammatory cells, thus ameliorating inflammation. Lee and Baldridge (2019) exhibited that by applying an antiviral cocktail involving ACV, intestinal lymphocytes revealed minor proliferation and more apoptosis than intestinal lymphocytes from untreated animals. This effect appeared to be highly specific to intestinal lymphocytes, whereas immune cells in other portions of the intestine, e.g., Peyer’s patches and the lamina propria, remain unaffected. This was attributed to the disruption of the beneficial commensal viruses (not bacteria) by the antiviral treatment.
Regarding IVM, Yahia et al. (2022) showed that this drug reduces eosinophil counts and serum levels of IL-5. In addition, IVM was found to trigger apoptosis in a tumor model (Alghamdi et al., 2022), and in vitro, it showed suppressive activity on both DNA and RNA viruses (Banerjee et al., 2020). Hence, these speculations also explain the reductions in the lymphocytic counts.
Significant increases in the goblet and Paneth cells; crypt hyperplasia was a remarkable trait in the infected untreated animals. On the contrary, the three therapeutic protocols applied in this study significantly ameliorated these histological changes. Since early literature, the expulsion of adult worms appeared to be related to the histological repair of crypt hyperplasia and villus atrophy. Yet, the complete recovery is immune-dependent, and T cell depletion in mice exhibits delayed recovery and atypical localization of the nematode (Manson-Smith et al., 1979; Saracino et al., 2020).
The muscle phase of infected untreated mice revealed the presence of whole and intact encapsulated larvae. The formation of nurse cells is complicated and involves molecular responses in the infected myocyte and satellite cells (Wu et al., 2008). Infected untreated mice predominantly revealed the eosinophilic cytoplasm of the nurse cells. Yet, IVM, not ACV-treated mice, showed scanty and relatively basophilic cytoplasm. Boonmars et al. (2004) showed that the eosinophilic cytoplasm of the nurse cell is of satellite cell origin, wherein the anti-apoptosis factor (PKB) predominates. Contrarywise, the basophilic cytoplasm is rich in the pro-apoptosis factors, Caspase-9, BAX, and Apaf-1, and originates from the infected myocyte.
Infected untreated mice showed capsule formation with intense inflammatory infiltrates that were reduced in IVM and ACV monotherapies and combined treatments. Beiting et al. (2004) determined that the capsule formation process initiates with small lymphocytic foci that increase progressively with macrophages. So far, eosinophils, dispersed plasma cells, and frequent lymphoblasts exist. Yet, these infiltrates invade the nurse cell, inducing focal necrosis. This may interpret the frequent appearance of nuclei we observed in the untreated nurse cells. We also noted septum, which is unique to T. spiralis and has been suggested to hinder the spread of damage in the whole length of the myocyte compared with another species, T. pseudospiralis (Wu et al., 2001). Exposure to the three therapeutic regimens damaged the internal details of the larvae together with the capsule inflammatory infiltrates and the nurse cell, whereas unoccupied muscle fibers were not atrophied. Yet, this might be attributed to their mode of action. IVM acts selectively on the pharyngeal muscles, the neurons, and the target glutamate-gated chloride channels of the nematodes while sparing the host. Also, IVM acts on the somatic muscle layer of the worm by antagonizing the nicotinic and (4)-aminobutyric acid (GABA) receptors (Abongwa et al., 2017). ACV hampers pathogens by inducing apoptosis-related genes and blocking the cell cycle, cellular replication, and activity of DNA polymerase enzyme (Liang et al., 2021).
In the intestinal phase, the immunohistochemical expression of epithelial CDX2 in infected untreated mice showed increased values that were positively correlated with parasite burden and inflammatory parameters in the intestine. Yet, the V length /C depth ratio and weight gain showed a negative correlation. Jahan et al. (2022) speculated that the CDX2 –TRIM31–NLRP3 signaling pathway triggers the expression of pro-inflammatory cytokines. Simultaneously, pro-inflammatory cytokines were also found to trigger either NF-κB or MAPK to stimulate the expression of CDX2 (Coskun et al., 2011). Increased intestinal CDX2 expression was related to early maturation of intestinal epithelium, disorganization of the crypt base, and alterations in the goblet and Paneth cell lines (Crissey et al., 2011). Also, mucin-2, the chief secretory mucin produced by goblet cells, is a CDX2 target (Mesquita et al., 2003).
CDX2 expression in mice treated with combination treatment (IVM+ACV) and the healthy control showed insignificant differences. Likewise, in COVID-19-related studies, ACV and IVM showed efficient anti-inflammatory effects (DiNicolantonio et al., 2020; Farasati Far et al., 2023). In addition, IVM promptly alleviated acetic acid-triggered colitis in rats (Aryannejad et al., 2022). However, the inhibitory effect exerted by IVM and/or ACV on CDX2 at a molecular level is a point of research. Noteworthy, successful treatment should not block but conserve the normal CDX2 expression levels, thus maintaining its repair functions and retaining the balanced renewal, proliferation, differentiation, and functionality of the epithelial cell lining (Coskun et al., 2011; Crissey et al., 2011). Also, adhesion genes, e.g., Claudin-2, are CDX2-targets, which are crucial to providing adhesion molecules for cell-cell interaction and hinder pathogen translocation (Sakaguchi et al., 2002). Chewchuk et al. (2021) deducted that loss of CDX function results in a definite reduction in the histocompatibility complex protein (H2-T3), decline in iCD8-α cell counts, intense infiltration of the macrophages and triggered pro-inflammatory reactions.
In the muscle phase, Cyclin D1 in infected untreated mice was over-expressed with a positive correlation to intestinal inflammation and parasite burden, negatively correlated with the V length /C depth ratio and body weight. Peer et al. (2008) deducted that Cyclin D1 is a potential anti-inflammatory protein that intensely upregulates in association with inflammation. In muscles, T. spiralis larvae appeared to subvert the differentiation of the infected myocyte by altering the cell cycle-related genes, hence blocking the cell cycle at the G2/M phase and transforming normal myocyte into a nurse cell (Bai et al., 2016), Qie and Diehl (2w016) related T. spiralis to the production of senescence factors and cell cycle inhibitors. In addition, Wu et al. (2006) deduced that trichinosis through c-Ski oncoprotein arrests the cell cycle and forms nurse cells in a TGF-β dependent pathway in the host cell’s nucleus. Nevertheless, Qie and Diehl (2016) showed that cell cycle arrest in the nurse cell is a hyper-mitogenic G1-like type supported by increased expression of Cyclin-D1 and D2. In cancer cells, Wang et al. (2005) deduced that the excretory/secretory products of T. spiralis larvae induce the Ras signaling pathway that, in turn, upgrades the transcription of Cyclin D1 and constrains its proteolysis and extranuclear transfer (Alao, 2007). Of note, the overexpression of Cyclin D1 dysregulates cyclin-dependent kinase activity, accelerates cell growth under situations of restricted mitogenic pathways, evades chief cellular checkpoints, and eventually, carcinogenesis (Dabrowska et al., 2008; Latella et al., 2001). Therefore, pathology due to T. spiralis appeared to be related to the pathogenesis of cancer (Qie & Diehl, 2016).
Regarding ACV, a prior study showed that acute T-cell leukemia exerts cytotoxic action in Jurkat cells by inhibiting the cell cycle in the G1 and S phase phases and inducing cell apoptosis (Benedetti et al., 2018). Also, IVM was found to down-regulate cyclin D1 and arrest the cell cycle in the G0/G1 phase, thus inhibiting the proliferation of glioma cells and triggering cell apoptosis in vitro and in vivo (Song et al., 2019).
The muscle phase also showed a reduction in the CD34 expression in the infected untreated mice with a negative correlation to intestinal inflammation and parasite burden and a positive relationship with ameliorated V length /C depth ratios and body weight. CD34 progenitor cells produce much more efficient and increased levels of Th2 cytokines than Th2 cells (Allakhverdi & Delespesse, 2012). Notably, the essential role of Type 2 immunity against the nematode is consequently necessary (Stear et al., 2023). Yet, Yong et al. (2002) determined that cell cycling and cellular division intimately affect the trans-endothelial migration of CD34 cell populations. CD34 cells were found to be enhanced in cells at the G0G1 phase and thus can efficiently migrate compared with those in the S/G2M phase. Also, cells in the S/G2M phase were found to be more adherent to the endothelial lining. Thus, their migration was reduced. Therefore, in the current model, whether this might be due to the extended inhibitory action of T. spiralis on the host cell cycle remains questionable. On the contrary, Mohammed et al. (2022) deduced that CD34 expression increases during the encapsulation of T. spiralis larvae owing to the associated myositis.
CD34 expression was ameliorated following treatment and, most notably, with the combined regimen. CD34 induces motility of satellite cells (progenitor cells) and their entrance into proliferation to enable competent regeneration of skeletal muscle (Alao, 2007). CD34 was also found to recover neovascularization (Ribatti, 2007). Other cellular functions involve the adhesion of lymphocytes to the walls of blood vessels and cell morphogenesis (Sidney et al., 2014). Ali et al. (2021) showed that ACV can efficiently trigger CD34 erythroid progenitors. A prior study showed that antiviral therapy normalizes CD34 cell functions (Dam Nielsen et al., 1998). Also, several studies revealed that IVM arrests the cell cycle at the G0/G1 phase (Juarez et al., 2020; Song et al., 2019), which, as we mentioned, is related to increased CD34 expression.
Intestinal CDX2 and muscular Cyclin D 1 exhibited a positive correlation. CDX2 in chronic gastritis was speculated to promptly induce intestinal metaplasia (Eda et al., 2002). Also, CDX2 has been related to cancer transformation and inflammatory bowel disease by disrupting innate immunity, tight junctions, and mucins (Crissey et al., 2011). Simultaneously, overexpression of Cyclin D1 is related to the early onset of cancer and the progression of tumors, as we have mentioned. Seriously, Cyclin D1 is related to the anchorage-independent survival and angiogenesis of tumors, while Fas expression becomes down-regulated, resulting in increased resistance to chemotherapies and hampered apoptosis (Shintani et al., 2002). Several studies considered the oncogenic capacity of T. spiralis that comes in association with immune modulation (Babal et al., 2011; Boros et al., 2019; Lichiardopol et al., 2010; Shirazi et al., 2015). In this context, T. spiralis might be regarded as a tumorigenic nematode.
Expressions of CD34 and Cyclin D1 in muscles were negatively correlated. Sadr et al. (2023) deduced that T. spiralis extracts arrest the cell cycle of solid tumors at the G1/S stage. This agreed with the increased Cyclin D1 expression recorded in the present study. Also, the reduced CD34 expression in T. spiralis infection has been related to hampered cellular migration, neovascularization, and tumor metastasis (Kang et al., 2013). Therefore, the concurrent Cyclin D1-CD34 inverse relationship made the oncogenic versus oncostatic effects of T. spiralis questionable.
Expression of muscular CD34 and intestinal CDX2 were negatively correlated. T. spiralis induces NF-κB in the macrophages (Guan et al., 2021), which stimulates the expression of CDX2 (Coskun et al., 2011). Nevertheless, adaptive Th2, regulatory T/B cells, the alternatively activated macrophages, and the inhibition of the DCs predominate the climate of the immune response (Ashour, 2013), irrespective of CDX2 (Wang et al., 2005). Therefore, in the current work, CDX2, despite showing increased intestinal expression, appeared inefficient in reducing the parasite load, and hence, CD34 expression in the muscle phase was subsequently affected and reduced.
Overall, the three therapeutic lines of treatment (IVM, ACV, and combined treatment) showed an improved survival rate and body weight compared with the infected untreated mice. The intestine of infected untreated mice showed higher counts of adult worms, lymphocytes, goblet cells, Paneth cells, and crypts, whereas the V length /C depth ratio recorded the lowest values. IVM and ACV monotherapies and combinations showed optimistic results regarding V length /C depth ratios and worm burden. Yet, lymphocyte counts were the only histopathological criteria that recorded lower counts in the ACV-treated groups (monotherapy and combined with IVM) compared with IVM-treated and infected untreated mice. The muscle phase of infected untreated mice revealed the definite criteria of encapsulated larvae. However, the combined treatment showed significant disruption of the encapsulated larvae and appeared to enhance muscle regeneration. The monotherapies achieved variable disruptive effects on the structure of the encapsulated larvae. In infected untreated mice, CDX2 and CyclinD1 showed a positive correlation with intestinal inflammation; nevertheless, CD34 revealed a negative correlation. CDX2 and CyclinD1 were positively correlated. CD34 was negatively correlated with CDX2 and CyclinD1. IVM +ACV significantly amended CDX2, CyclinD1, and CD34 expressions compared with monotherapies.
The current study paved the way for many perspectives, such as tumorigenicity versus the antitumor effects of T. spiralis infection on both intestinal and muscular tissues. Also, it remains to inquire if acyclovir can be used in all intracellular infections like Toxoplasma, Leishmania, and Trypanosoma infections. The therapeutic effects of acyclovir on parasites regarding Thymidine kinase and DNA breaks remain for study. Nevertheless, the applicability of acyclovir in parasitic infection is challenged due to other medical conditions, e.g., diabetes mellitus and tumors.