Hydatidosis, also called cystic echinococcosis (CE), is a helminth disease caused by the cestode Echinococcus granulosus. Canids are the definitive hosts of this parasite and humans are accidental intermediate hosts. The larval stage (metacestode) develops into the human body as hydatid cysts. They are slow-growing fluid-filled cysts, which can grow to more than 10 cm in diameter. Hydatid cysts can develop in any organ or tissue, but more frequently they are located in the liver (70 %), lungs (20 %) and rarely – in spleen, kidney, brain, etc. (McManus et al., 2003; Moro et al., 2009). The treatment options are surgical removal of the cysts, puncture of the cysts and evacuation of their contents (PAIR, Modified Catheterization Techniques), and conservative treatment with benzimidazole derivatives (albendazole). The choice of treatment regimen depends on the location, number, size and stage of the hydatid cysts. Radical treatment is by surgery but it is not useful in some cases. Conservative treatment has improved significantly the prognosis of the disease in inoperable patients or patients with multiple CE. But its effectiveness is about 30 – 70 %, and relapses occur in 3 – 30 % of cases after discontinuation of the treatment (Salinas et al., 2011; Nazligul et al., 2015; Masoom et al., 2018; Stojković et al., 2018). This determines the need new therapeutic options to be studied, such as co-administration of albendazole and another drug. There is some evidence that praziquantel can enhance the effect of albendazole. Although the WHO mentions praziquantel in the guideline for the treatment of CE, there is no strict recommendation for the use of praziquantel as part of long-term drug therapy for CE (Brunetti et al., 2010).
Every year, Bulgaria reports the largest number of cases of human hydatidosis in the European Union (39 % of all cases in EU in 2020). Although the incidence of CE in our country has been decreasing over the last 10 years – from 4.7 %000 (2011) to 1.37 %000 (2020), it is still a health problem due to its severity and frequent recurrences (European Centre for Disease Prevention and Control, 2022; Rainova et al., 2022).
The aim of the study was to evaluate the effectiveness of the combination of albendazole and praziquantel in patients with hepatic and/or pulmonary hydatidosis.
A total of 20 patients with hepatic and/or pulmonary CE were included in this observational study for a 5-year period. The study was conducted in the University Hospital of Plovdiv (the largest hospital in South Bulgaria). Six (30 %) of the patients were admitted to hospital and fourteen (70 %) were outpatients. Patients were included in the study if: a) they had multiple CE, b) treatment with albendazole alone was not effective enough; c) they refused surgery; d) there were contraindications for surgery. The diagnosis was based on imaging and serological tests (ELISA). The liver hydatid cysts were staged according to WHO classification of CE images as: univesical anechoic cystic lesion with double line sign (CE1); multiseptated, “honeycomb” cyst (CE2); cyst with detached membranes – “water-lily sign” (CE3a); cyst with daughter vesicles in solid matrix (CE3b); cyst with heterogeneous content (hypoechoic/hyperechoic), no daughter vesicles (CE4); CE4 plus calcified wall (CE5). The cysts thus described were divided into: active (CE1 and CE2), in transitional stage (CE3) and inactive (CE4 and CE5) (WHO Informal Working Group on Echinococcosis, 2003; Brunetti et al., 2010).
Patients were treated with albendazole (15 mg/kg/day) for 3 – 9 months and praziquantel (40 mg/kg/once weekly) for 2 – 6 months. They were followed up for side effects. Complete blood count, differential blood count and liver enzymes were monitored every month during the treatment. Serological tests (for antibodies against E. granulosus) were monitored every three or six months during the follow up period. Patients were examined by imaging (abdominal ultrasound, lung radiography, computed tomography) monthly or every two – six months. WHO criteria for cure, improvement and no change of the cysts were used to evaluate treatment effectiveness. The effect of chemotherapy in liver CE was evaluated using ultrasound and/or CT as: cure – disappearance of the cysts or degeneration of the cyst contents, i.e. transition of cysts from stage CE1, CE2, CE3a or CE3b to stage CE4 and CE5; improvement – detachment of the germinal membrane, partial degeneration of cyst contents (or daughter cysts) and/or reduction in cyst size, i.e. transition of cysts from stage CE1 or CE2 to stage CE3a or CE3b; no change – no change in the morphology and size of the cysts. The effect of chemotherapy in pulmonary CE was evaluated using X-ray and/or CT as: cure – disappearance of the cysts or degeneration of the cyst contents; improvement – detachment of the germinal membrane, partial degeneration of the cyst contents and/or reduction in cyst size, rupture with expectoration of the cyst contents as a result of the therapy; no change – no change in the morphology and size of the cysts (WHO Informal Working Group on Echinococcosis, 1996). SPSS version 19 was used for statistical analysis of the data.
The study was approved by the Ethics Committee of Medical University of Plovdiv (Approval №5/31.10.2016). Informed consent has been obtained and signed by from all individuals in this study.
Out of 20 patients included in the study, 12 (60 %) were males, 8 (40 %) – females. The age of the patients ranged from 12 – 70 years (95 % CI: 42.8±7.8). Eighteen patients (90 %) were adults and 2 (10 %) – adolescents. Fourteen patients (70 %) were with hepatic CE, 4 (20 %) – with pulmonary CE and 2 (10 %) – with hepatic and pulmonary CE. Fifteen (75 %) were with multiple CE. Two (10 %) of the patients with hepatic CE were with relapses of the disease after surgery.
The total number of treated hydatid cysts was 47 – 32 (68.1 %) in the liver and 15 (31.9 %) in the lungs. Their size ranged between 18 mm and 60 mm (95 % CI: 37.8±3.03). Before initiation of the treatment with praziquantel, 7 (21.9 %) of the hepatic cysts were CE1, 2 (6.2 %) – CE2, 3 (9.4 %) – CE3a, 20 (62.5 %) – CE3b.
In nine (45 %) of the patients, after diagnosis of the disease, combination therapy was initiated. The other eleven patients (55 %) had received 2 to 4 one-month courses of albendazole prior to co-administration of praziquantel (Table 1).
Patients with CE treated with albendazole and praziquantel.
| Sex distribution | 12 males/8 females |
| Age | 12 – 70 (42.8 ± 7.8) |
| Number of liver cysts | 32 |
| Number of lung cysts | 15 |
| Number of cysts/patient | 1 – 5 (2.35 ± 0.59) |
| Size of cysts | 18 – 60 mm (37.8 ± 3.03) |
| Duration of the treatment with praziquantel | 2 – 6 months (3.8 ± 0.85) |
| Prior treatment with albendazole | in 11 patients |
| Follow up | 12 – 48 months (32.4 ± 5.96) |
range, (95% CI)
Patients were treated with albendazole 15 mg/kg/day for 3 – 9 months (95 % CI: 5.9±0.91) in a combination with praziquantel 40 mg/kg/a week for 2 – 6 months (95 % CI: 3.8±0.85). Seven (35 %) of the patients, all of them with multiple CE, took praziquantel once a week for 6 months. The patients were followed 12 – 48 months (95 % CI: 32.4±5.96).
Seventeen (85 %) out of 20 patients showed evidence of response on imaging defined as improvement or cure of hydatid cysts. Only 3 patients (15 %) (2 with liver and 1 with pulmonary hydatidosis) failed to respond to the therapy with both drugs and were referred for surgery. They had more than one hydatid cyst.
Twenty (62.6 %) out of 32 treated hepatic cysts were cured, 6 (18.7 %) – showed improvement, and 6 (18.7 %) – failed to respond to therapy with albendazole and praziquantel. One of the cysts that showed no change was initially CE1, one was CE2, and four were CE3b (Table 2).
Results of the treatment of hepatic hydatid cysts with albendazole and praziquantel.
| Stage of liver hydatid cysts before treatment with praziquantel | Number of cysts | |||
|---|---|---|---|---|
| Cure | Improvement | No change | Total | |
| CE1 | 4 | 2 | 1 | 7 |
| CE2 | - | 1 | 1 | 2 |
| CE3a | 2 | 1 | - | 3 |
| CE3b | 14 | 2 | 4 | 20 |
| Total | 20 (62.6 %) | 6 (18.7 %) | 6 (18.7 %) | 32 (100 %) |
The morphological changes of the treated liver hydatid cysts were observed by imaging during the follow-up period. Six liver hydatid cysts decreased in size and their contents partially degenerated as a result of the treatment (Fig. 1). Twenty hepatic cysts became inactive (CE4) with completely degenerate contents for four to nine months (95 % CI: 6.5±0.9) (Fig. 2).

Liver hydatid cyst a) before treatment b) after 6 months combination therapy

Liver hydatid cysts a) before treatment b) after 6 months combination therapy.
Two (13.3 %) out of 15 pulmonary cysts failed to respond to treatment with albendazole and praziquantel given for four months. They were in one patient and their sizes were 40 mm and 45 mm in diameter. Nine (60 %) of the pulmonary cysts reduced their sizes with more than 50 % along with degeneration of the cyst contents and 4 (26.7 %) cysts disappeared (Fig. 3).

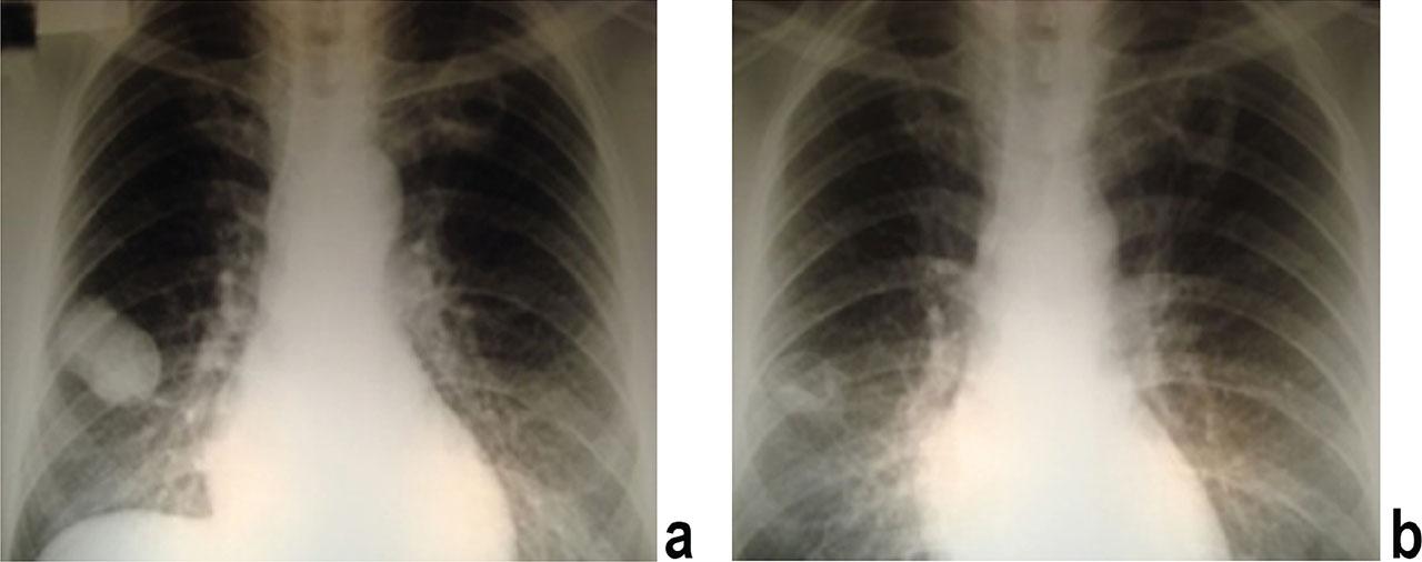
Pulmonary hydatid cysts a) before treatment b) after 3 months combination therapy.
No side effects of the combination therapy were observed. The results of CBC, DBC, liver transaminases during the treatment and after its discontinuation in all patients were within normal values. In patients with evidence of improvement or cure of the disease the serum level of antibodies against E. granulosus slowly decreased during the follow up.
The patients with pulmonary CE had no history of expectoration of cyst contents as a result of the therapy. No recurrences were observed during the follow-up period.
Albendazole is a benzimidazole derivative that is recommended for conservative treatment of patients with small hydatid cysts, multiple or multiorgan CE, after surgery or PAIR (Vuitton, 2009; Brunetti et al., 2010; Wen et al., 2019). This drug impairs the absorption of glucose through the hydatid cyst wall, causing destruction of the germinal membrane and to less extent degeneration of the protoscoleces (Nunnari et al., 2012). Although albendazole is indicated as monotherapy, combinations of albendazole and other anthelmintics such as praziquantel or nitazoxanide have been tested to see if the effectiveness of albendazole can be increased. Praziquantel is a isoquinolone derivative used to treat cestode and trematode parasitic infections in humans. This drug is known to be active against protoscoleces, but not against the germinal membrane of hydatid cyst (Smego et al., 2005; Kern, 2006; Jamshidi et al., 2008; Bygott et al., 2009). There are data that the serum level of the active metabolite albendazole sulphoxide increases 4.5 times when praziquantel is given in a combination with albendazole. When both drugs are taken with high fat foods, the concentration of the active metabolite increases 12-fold (Homeida et al., 1994; Cobo et al., 1998; Kern, 2006; Lima et al., 2011; Lötsch et al., 2016). Synergistic action of albendazole and praziquantel is considered to be due to primary cyst wall damage caused by albendazole which results in better penetration of praziquantel into hydatid cysts. Their combination leads to both damage to the germinal membrane and the protoscoleces in and outside the cyst. As praziquantel can prevent the evolution of protoscoleces into hydatid cysts thus co-administration of these two drugs leads to degeneration of hydatid cysts as well as prevention of relapses in patients with CE (Bygott et al., 2009). Our patients were followed for at least 12 months after the treatment and no repalses were recorded that could be related to praziquantel intake.
There are several clinical studies on the use of praziquantel for the treatment of human hydatidosis that have been published. Different therapeutic regimens were used – daily, weekly or per month, alone or in combination with albendazole, with different durations of the treatment course and with different follow-up periods (Cobo et al., 1998; Bonifacino et al., 2000; Ayles et al., 2002; Haralabidis et al., 2008; Jamshidi et al., 2008; Lötsch et al., 2016). Most of them showed that the combination of praziquantel and albendazole was more effective and with a faster effect than monotherapy with albendazole (Cobo et al., 1998; Mohamed et al., 1998; Bygott et al., 2009; Velasco-Tirado et al., 2018). Some of the studies examined the vitality of protoscoleces in operative material obtained from patients treated with albendazole and praziquantel. Their data showed that this combination was highly effective against protoscoleces as higher number of nonvital protoscoleces was found in hydatid cysts treated with it compared to these treated with albendazole alone. Therefore, their co-administration decreased the risk of secondary hydatidosis (Cobo et al., 1998; Ayles et al., 2002).
On the other hand, even though this therapeutic regimen include two anthelmintics (albendazole and praziquantel), the side effects have been reported to be mild, infrequent, most commonly affecting the digestive system, and reversible. Its safety for patients with CE was observed (Alvela-Suárez et al., 2014). Combination therapy was also well tolerated by our patients as no side effects were registered even in patients given praziquantel longer. Despite the small number of patients included in our study, the therapeutic results were promising as 85 % of them showed evidence of improvement or cure of CE. Futhermore, 81.5 % of hepatic cysts were cured or partially degenerated in up to 9 months of treatment. It should be considered that the majority of the patients included in the study had multiple CE and for eleven of the patients (55 %) albendazole monotherapy had failed. As there are limited therapeutic options for patients with multiple CE, the use of praziquantel should not be overlooked.
The availability of albendazole and praziquantel in our country makes it possible our research to be continued and more patients to be included. It will contribute to comparing the therapeutic results of albendazole and co-administration of albendazole and praziquantel. May be one of the reason praziquantel not to be strongly recommended for treatment of CE is that most of the studies on its effectiveness are nonrandomized and with small number of patients which makes it difficult substantial benefits of its use to be proved (Kern, 2006; Velasco-Tirado et al., 2018).
The combination of albendazole and praziquantel – drugs with different mode of action, seems to be an option to improve the therapeutic effectiveness of the conservative treatment of multiple or multiorgan CE. Concomitant administration of these two drugs at the recommended doses represents a simple dosing regimen that can be easily followed by the patients. Larger clinical trials are needed to fully evaluate the role of praziquantel in drug therapy for human hydatidosis.