Fig. 1

Fig. 2

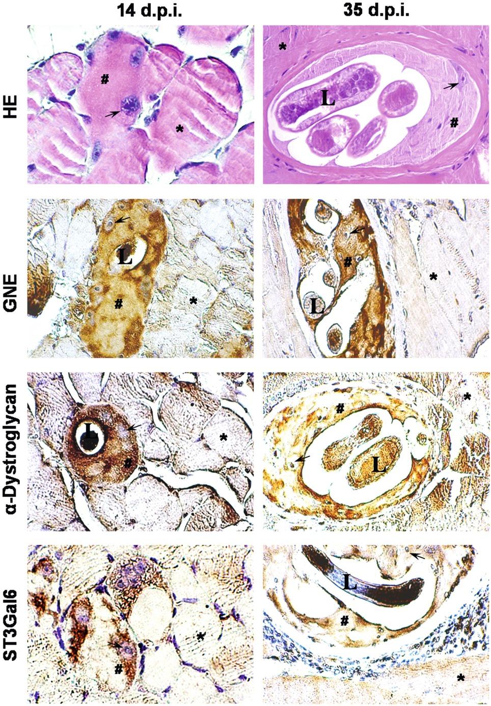
Fig. 3

The full names of the investigated genes and their primers sequences used in this study_
| Gene | Abbreviation | Species | Accession number | Primers sequences (5`-3`) | Product size (bp) |
|---|---|---|---|---|---|
| Glyceraldehyde 3-phosphate dehydrogenase | Gapdh | Mus musculus | NM_001289726, transcript variant 1 | TCCTCGTCCCGTAGACAAAATG –F AATCTCCACTTTGCCACTGC – R | 103 |
| Glucosamine (UDP-N- acetyl) – 2 – epimerase/N- acetylmannosamine kinase | Gne | Mus musculus | NM_015828.3 | AATCCTGCAGATGTGTGTGG –F AATGCAGCACAACTCCTTCC – R | 119 |
| Dystroglycan 1 | Dag1 | Mus musculus | NM_001276485.1, transcript variant 5 | GTTGGCATTCCAGACGGTAC –F AGTGTAGCCAAGACGGTAAGG – R | 136 |
| ST3 beta-galactoside alpha- 2,3-sialyltransferase 6 | St3gal6 | Mus musculus | NM_018784.2 | TCCCAGCTGAAGAAATGAGGAC –F TCAGCTCTGCACAGAAATGG – R | 112 |
| Expansion segment V | ESV | Trichinella spiralis | * | GTTCCATGTGAACAGCAGT –F CGAAAACATACGACAACTGC – R | 173 |