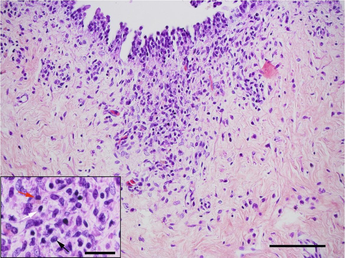
Fig. 1

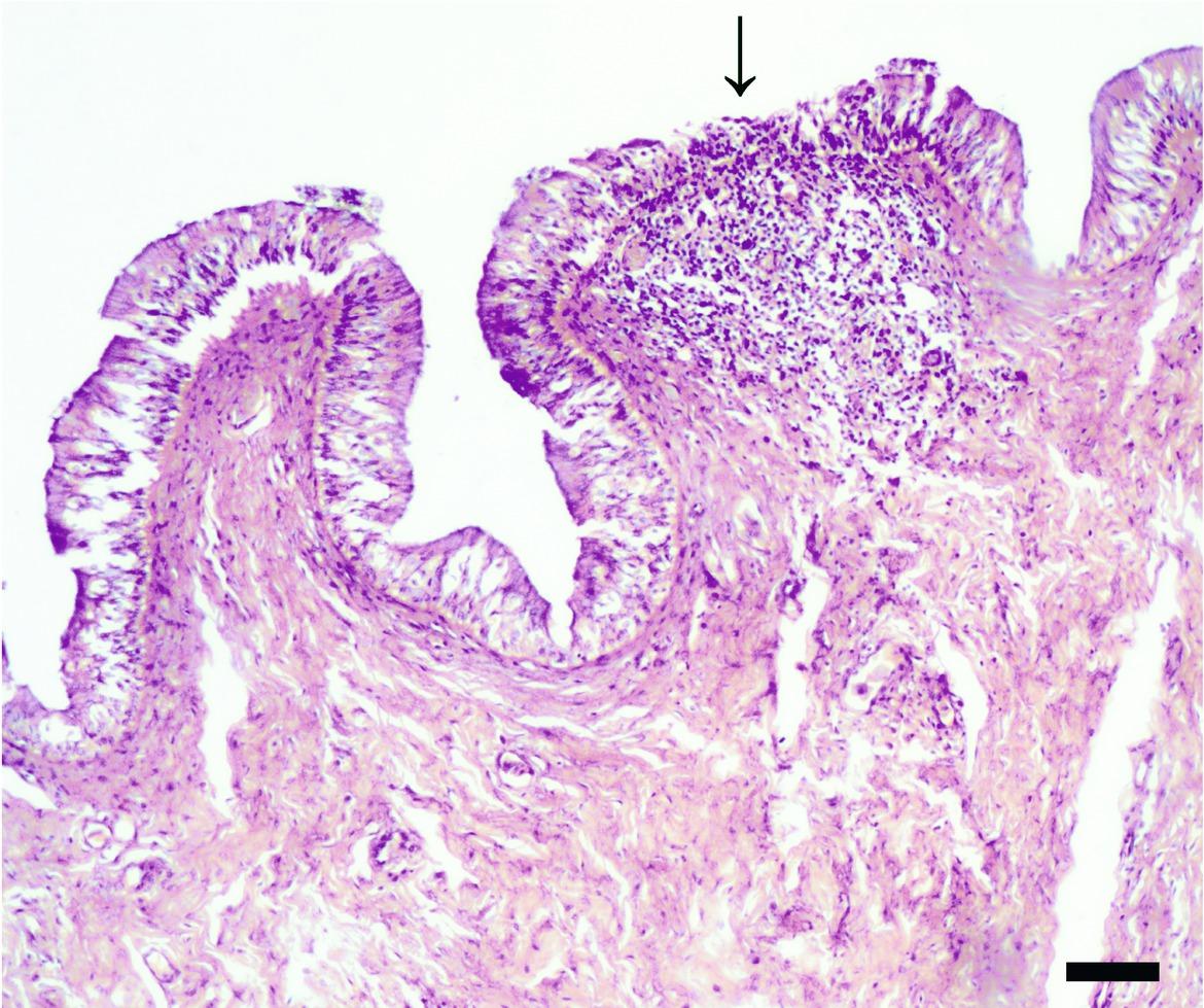
Fig. 2

Fig. 3

Morphometric data of the genus Plesiochorus cymbiformis (Rudolphi, 1819) Looss, 1901 (Digenea: Gorgoderidae) from marine turtles (Testudines: Chelonidae)_ Data are presented as range (mean) and measurements are in millimeters_
| Caballero (1954) | Chattopadhyaya (1970) | Blair & Limpus (1982) | Werneck et al. (2018) | Santoro & Morales (2007) | Present report | |
|---|---|---|---|---|---|---|
| Host | C. mydas | E. imbricata | C. caretta | C. caretta | L. olivacea | L. olivacea |
| Locality | Panama | India | Australia | Brazil | Costa Rica | Brazil |
| Site of infection | UB | Liver | UB | UB | UB | UB |
| Number of parasites | 3 | 1 | 6 | 31 (10 mens.) | 13 (13 mens) | |
| Body length | 2.5–3.2 | 8.5 | 2.97–7.21 (5.47) | 7.91 – 8.86 (8.23) | 12.8–15.7 (14) | 4.8 – 8.8 (5.12) |
| Body width | 1.21–1.27 | 4.7 | 1.31–3.7 (2.2) | 2.73 – 3.04 (2.87) | 4.4–5.4 (5.1) | 1.8 – 4.0 (2.1) |
| Oral sucker length | 0.13–0.24 | 0.74 | 0.41–0.86 (0.62) | 0.51 – 0.62 (0.58) | 0.84–1.07 (0.96) | 0.61 – 0. 95 (0.77) |
| Oral sucker width | 0.28–0.29 | 0.86 | 0.42–0.85 (0.64) | 0.75 – 0.85 (0.79) | 1.14–1.32 (1.24) | 0.61 – 1. 0 (0.80) |
| Esophagus length | 0.038–0.057 | 0.16 | – | 0.35 – 0.45 (0.39) | 0.31–0.56 (0.44) | 0.15 – 0.38 (0.28) |
| Esophagus width | 0.038–0.046 | – | – | 0.09 – 0.2 (0.16) | – | 0.05 – 0.12 (0.08) |
| Pharynx length | 0.068–0.076 | 0.26 | 0.15–0.3 (0.21) | 0.27 – 0.34 (0.29) | 0.25–0.37 (0.32) | 0.19 – 0.33 (0.25) |
| Pharynx width | 0.099–0.10 | 0.36 | 0.18–0.37 (0.25) | 0.29 – 0.34 (0.31) | 0.36–0.37 (0.37) | 0.25 – 0.33 (0.29) |
| Ventral sucker length | 0.37–0.39 | 0.5–1.26 (0.95) | 0.92 – 1.37 (1.2) | 1.51–1.89 (1.72) | 0.97 – 1.05 (1.21) | |
| Ventral sucker width | 0.40–0.41 | 1.4* | 0.62–1.37 (0.95) | 1.05 – 1.34 (1.24) | 1.57–1.89 (1.73) | 0.98 – 1.5 (1.27) |
| Right testis length | 0.27–0.28 | 2.4 | 0.48–1.52 (0.9) | 1.39 – 1.6 (1.34) | 2.39–3.46 (2.83) | 0.210 – 1.47 (1.09) |
| Right testis width | 0.19–0.2 | 1.7 | 0.43–1.15 (0.7) | 0.89 – 1.3 (1.08) | 1.57–2.14 (1.93) | 0.24 – 1.16 (0.78) |
| Left testis length | 0.26–0.33 | 2.4 | 0.48–1.52 (0.9) | 1.34 – 1.53 (1.46) | 2.4–3.4 (2.9) | 0.78 – 1.56 (1.24) |
| Left testis width | 0.11–0.17 | 2.2 | 0.43–1.15 (0.7) | 0.83 – 1.38 (1.07) | 1.63–2.2 (1.95) | 0.54 – 1.16 (0.83) |
| Ovary length | 0.11–0.14 | 0.45 | 0.23–0.37 (0.29) | 0.43 – 0.45 (0.43) | 0.44–0.63 (0.53) | 0.18 – 0.38 (0.28) |
| Ovary width | 0.084–0.087 | 0.71 | 0.21–0.37 (0.29) | 0.41 – 0.49 (0.44) | 0.37–0.69 (0.57) | 0.20 – 0.54 (0.38) |
| Mehlis' gland length | 0.065–0.095 | – | – | 0.28 – 0.45 (0.34) | 0.18–0.31 (0.28) | 0.15 – 0.47 (0.28) |
| Mehlis' gland width | 0.095–0.152 | – | – | 0.34 – 0.38 (0.36) | 0.18–0.37 (0.28) | 0.25 – 0.60 (0.43) |
| Right Vit. follicles length | – | – | 0.19–0.42 (0.32) | 0.48 – 0.52 (0.5) | 0.56–0.94 (0.79) | 0.27 – 0.68 (0.44) |
| Right Vit. follicles width | – | – | 0.19–0.5 (0.28) | 0.34 – 0.5 (0.43) | 0.31–0.63 (0.50) | 0.27 – 0.50 (0.36) |
| Left Vit. follicles length | – | – | 0.19–0.42 (0.32) | 0.47 – 0.56 (0.53) | 0.56–0.88 (0.73) | 0.30 – 0.74 (0.47) |
| Left Vit. follicles width | – | – | 0.19–0.5 (0.28) | 0.37 – 0.46 (0.41) | 0.50–0.56 (0.57) | 0.21 – 0.41 (0.70) |
| Egg length | 0.042–0.046 | 0.0312–0.044 | 0.03–0.047 (0.038) | 0.023 – 0.04 (0.033) | 0.032–0.039 (0.034) | 0.029 – 0.037 (0.032) |
| Egg width | 0.027–0.030 | 0.0310–0.0448 | 0.022–0.041 (0.031) | 0.017 – 0.03 (0.025) | 32 | 0.021 – 0.032 (0.027) |
| (n=45) |