Fig. 1

Fig. 2

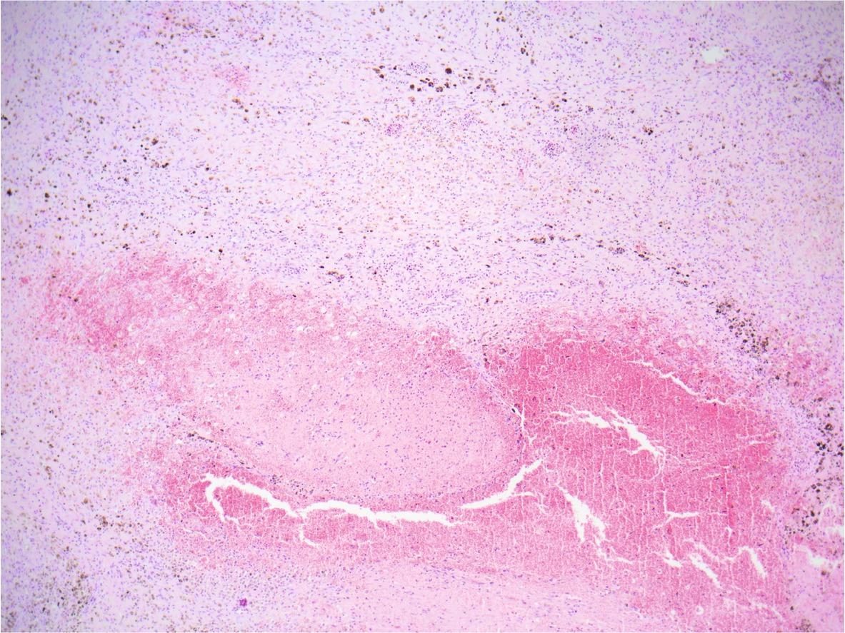
Fig. 3

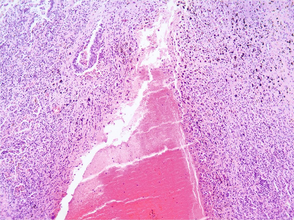
Fig. 4

Fig. 5






© 2021 C. Stiles, M. Bujanić, F. Martinković, I.-C. Šoštarić Zuckermann, D. Konjević, published by Slovak Academy of Sciences, Mathematical Institute
This work is licensed under the Creative Commons Attribution-NonCommercial-NoDerivatives 4.0 License.