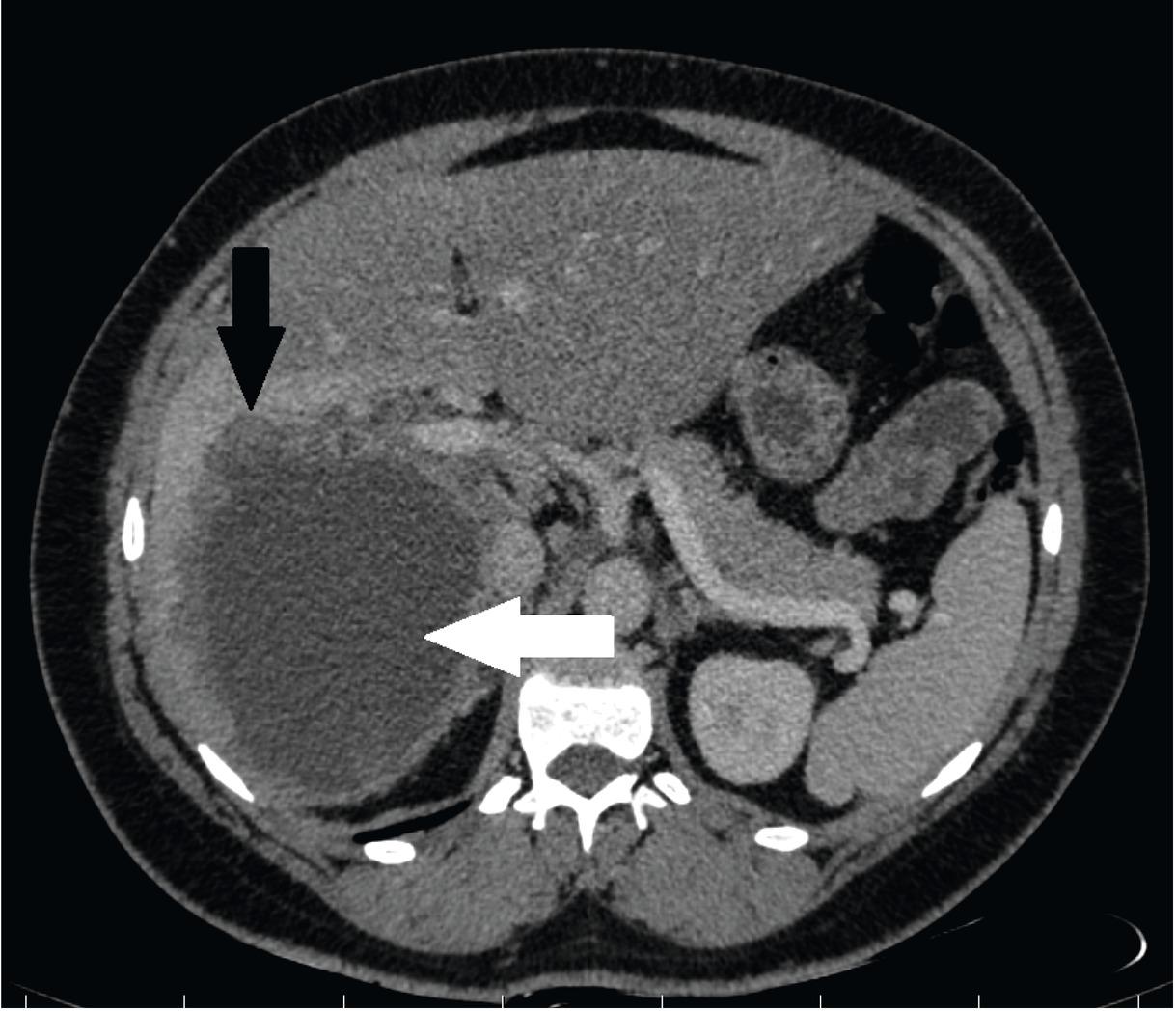
Fig. 1

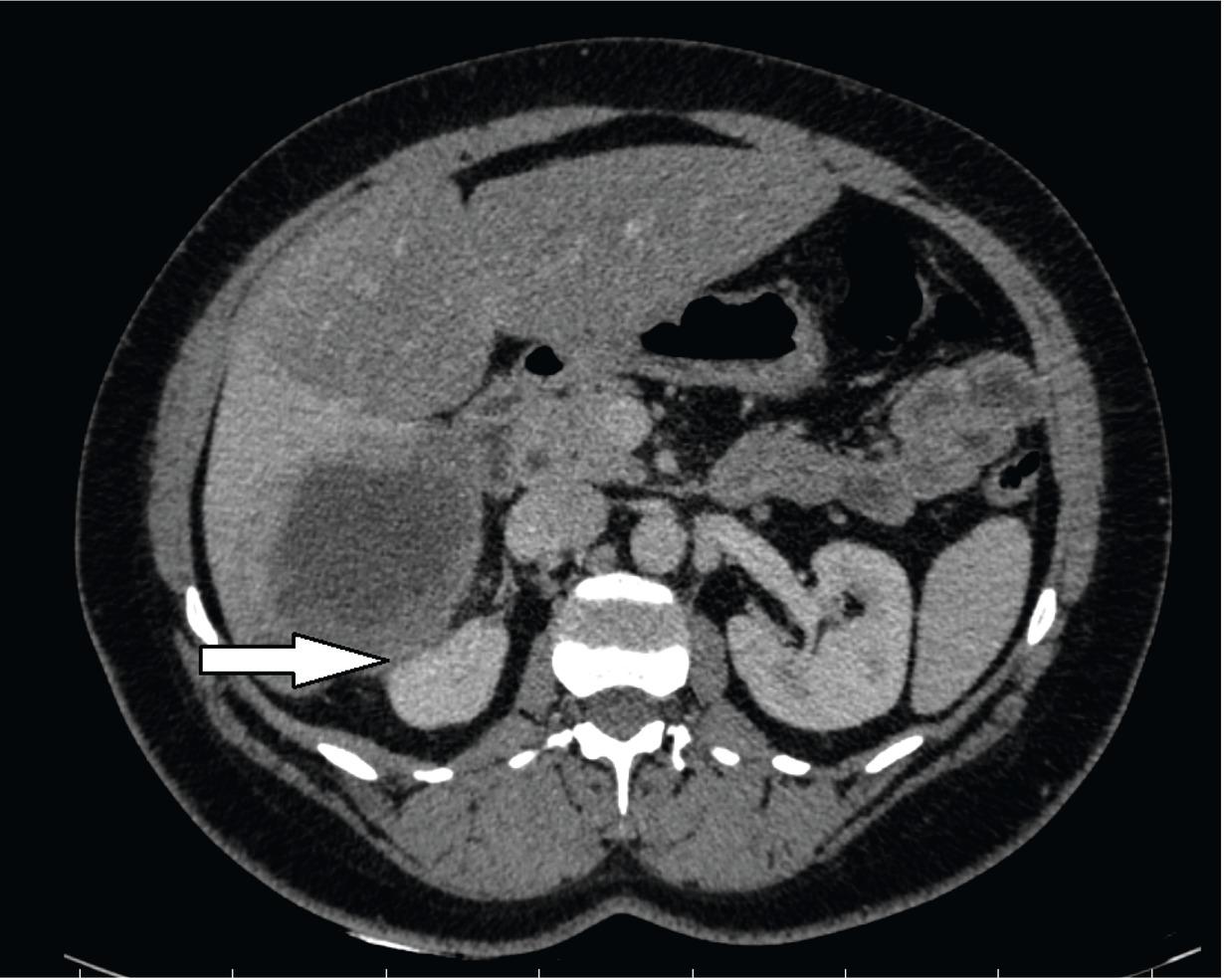
Fig. 2



© 2021 K. Šimeková, R. Rosoľanka, M. Szilágyová, D. Antolová, E. Nováková, M. Novák, Ľ. Laca, J. Sadloňová, J. Šoltys, published by Slovak Academy of Sciences, Mathematical Institute
This work is licensed under the Creative Commons Attribution-NonCommercial-NoDerivatives 4.0 License.