Figure 1

Figure 2

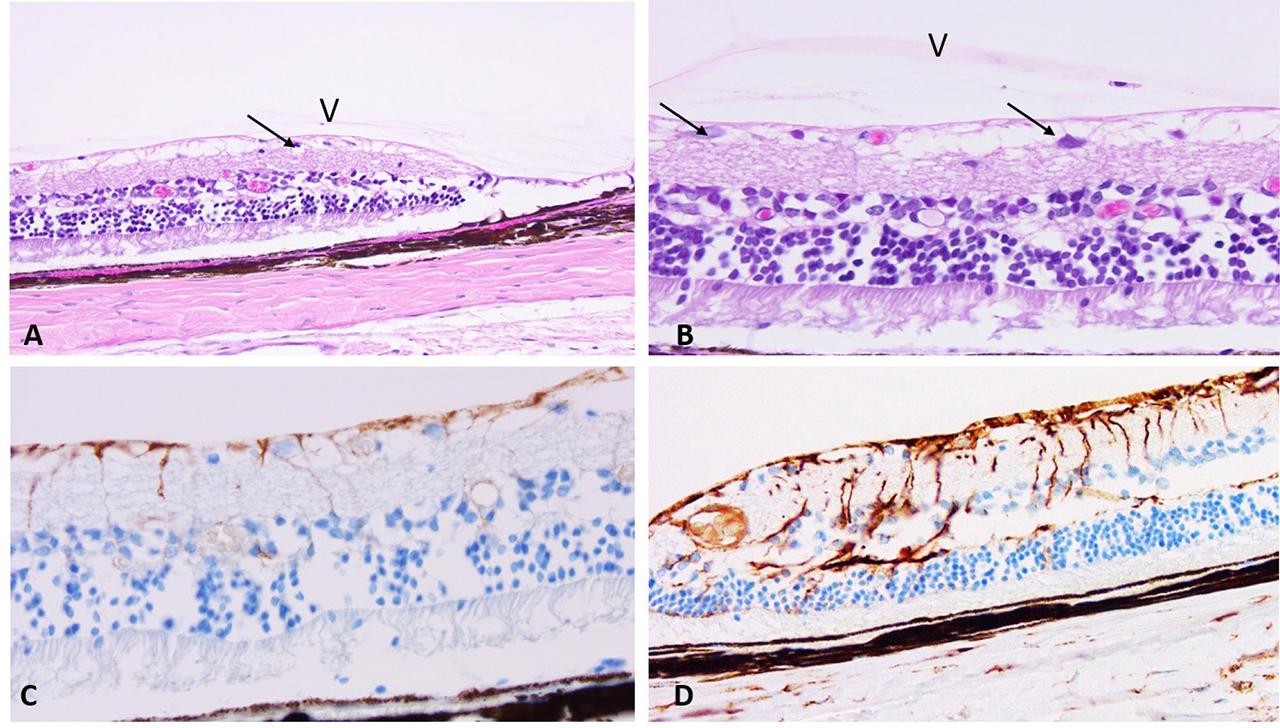
Figure 3

Figure 4

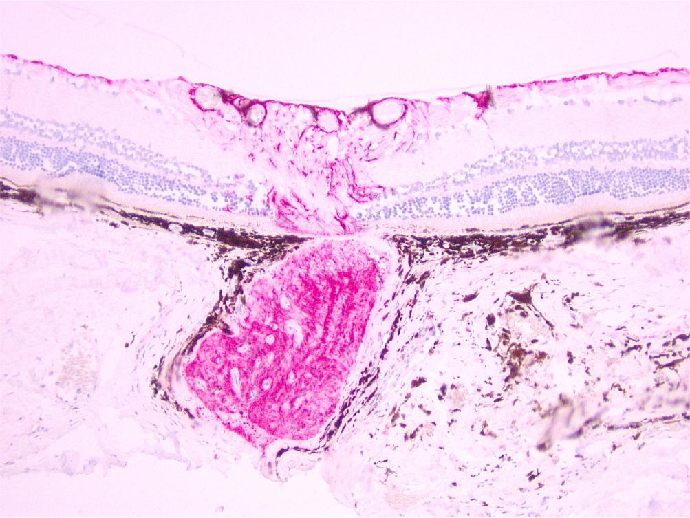
Figure 5

Figure 6

Figure 7

Figure 8

Average IOP values by age, side, and time_
| Time (days) | YM Cohort | OM Cohort | Cross-sectional Age Comparisons (Old–Young) | |||
|---|---|---|---|---|---|---|
| Left Eye (95% CI) | Right Eye (95% CI) | Left Eye (95% CI) | Right Eye (95% CI) | Difference (95% CI) | p-value (p-FDR) | |
| 0 | 18.0 (16.9, 19.0) | 18.1 (17.0, 19.1) | 19.1 (17.7, 20.6) | 19.3 (17.8, 20.7) | 1.19 (−0.51, 2.89) | 0.168 (0.213) |
| 45 | 24.6 (23.2, 26.0) | 24.7 (23.3, 26.1) | 22.0 (20.6, 23.3) | 22.1 (20.7, 23.4) | −2.62 (−4.51, −0.72) | 0.007 (0.011) |
| 90 | 21.1 (20.0, 22.3) | 21.2 (20.1, 22.4) | 24.2 (22.9, 25.5) | 24.3 (23.0, 25.6) | 3.03 (1.40, 4.65) | <0.001 (0.001) |
| 135 | 22.7 (21.4, 24.0) | 22.8 (21.5, 24.1) | 22.0 (20.5, 23.5) | 22.1 (20.6, 23.6) | −0.69 (−2.61, 1.24) | 0.482 (0.557) |
| 180 | 26.2 (23.8, 28.7) | 26.3 (23.9, 28.8) | 18.7 (15.9, 21.5) | 18.8 (16.0, 21.6) | −7.53 (−11.17, −3.88) | <0.001 (<0.001) |
HS-induced IOP temporal changes by age cohort_
| Temporal Comparison (days) | YM Cohort | OM Cohort | Change Comparisons by Age Group (Old–Young) | |||
|---|---|---|---|---|---|---|
| Estimate (95% CI) | p-value (p-FDR) | Estimate (95% CI) | p-value (p-FDR) | Difference (95% CI) | p-value (p-FDR) | |
| 45 vs. 0 | 6.62 (5.05, 8.20) | <0.001 (<0.001) | 2.82 (1.17, 4.46) | 0.001 (0.002) | −3.81 (−6.08, −1.53) | 0.001 (0.002) |
| 90 vs. 0 | 3.19 (1.96, 4.41) | <0.001 (<0.001) | 5.02 (3.43, 6.61) | <0.001 (<0.001) | 1.83 (−0.17, 3.84) | 0.073 (0.098) |
| 135 vs. 90 | 1.54 (0.43, 2.65) | 0.007 (0.011) | −2.17 (−3.44, −0.91) | 0.001 (0.002) | −3.71 (−5.40, −2.03) | <0.001 (<0.001) |
| 180 vs. 90 | 5.08 (2.47, 7.69) | <0.001 (<0.001) | −5.48 (−8.46, −2.49) | <0.001 (0.001) | −10.55 (−14.52, −6.59) | <0.001 (<0.001) |
Average IOP values by sex, side, and time_
| Time (days) | YM Cohort | YF Cohort | Cross-sectional Sex Comparisons (Female–Male) | |||
|---|---|---|---|---|---|---|
| Left Eye (95% CI) | Right Eye (95% CI) | Left Eye (95% CI) | Right Eye (95% CI) | Difference (95% CI) | p-value (p-FDR) | |
| 0 | 17.9 (16.9, 18.9) | 18.1 (17.1, 19.1) | 19.1 (18.2, 19.9) | 19.3 (18.4, 20.1) | 1.15 (−0.08, 2.39) | 0.067 (0.091) |
| 7 | 19.4 (18.5, 20.3) | 19.6 (18.7, 20.5) | 19.7 (18.9, 20.5) | 19.9 (19.1, 20.7) | 0.31 (−0.80, 1.43) | 0.582 (0.644) |
| 14 | 20.8 (19.9, 21.7) | 21.0 (20.1, 21.9) | 20.3 (19.5, 21.2) | 20.5 (19.7, 21.4) | −0.48 (−1.65, 0.68) | 0.411 (0.486) |
| 28 | 23.2 (22.0, 24.3) | 23.4 (22.2, 24.5) | 21.4 (20.4, 22.5) | 21.7 (20.6, 22.7) | −1.73 (−3.24, −0.22) | 0.025 (0.036) |
| 45 | 24.5 (23.2, 25.9) | 24.7 (23.4, 26.1) | 22.4 (21.2, 23.6) | 22.6 (21.4, 23.8) | −2.16 (−3.90, −0.42) | 0.015 (0.023) |
| 90 | 21.1 (20.1, 22.1) | 21.3 (20.3, 22.3) | 22.6 (21.7, 23.5) | 22.8 (21.9, 23.7) | 1.51 (0.18, 2.83) | 0.026 (0.037) |
| 97 | 20.8 (19.8, 21.9) | 21.1 (20.0, 22.1) | 22.6 (21.7, 23.6) | 22.8 (21.9, 23.8) | 1.77 (0.42, 3.13) | 0.011 (0.016) |
| 104 | 20.8 (19.8, 21.9) | 21.1 (20.0, 22.1) | 22.7 (21.7, 23.6) | 22.9 (21.9, 23.9) | 1.84 (0.46, 3.21) | 0.009 (0.014) |
| 180 | 26.2 (23.9, 28.4) | 26.4 (24.1, 28.7) | 24.2 (21.8, 26.7) | 24.4 (22.0, 26.9) | −1.94 (−5.27, 1.40) | 0.254 (0.307) |
HS-induced IOP temporal changes by sex cohort_
| Temporal Comparison (days) | YM Cohort | YF Cohort | Change Comparisons by Sex Group (Female–Male) | |||
|---|---|---|---|---|---|---|
| Estimate (95% CI) | p-value (p-FDR) | Estimate (95% CI) | p-value (p-FDR) | Difference (95% CI) | p-value (p-FDR) | |
| 7 vs. 0 | 1.49 (1.15, 1.83) | <0.001 (<0.001) | 0.64 (0.34, 0.95) | <0.001 (<0.001) | −0.84 (−1.30, −0.39) | <0.001 (0.001) |
| 14 vs. 0 | 2.91 (2.25, 3.57) | <0.001 (<0.001) | 1.27 (0.67, 1.87) | <0.001 (<0.001) | −1.64 (−2.53, −0.75) | <0.001 (0.001) |
| 28 vs. 0 | 5.27 (4.08, 6.46) | <0.001 (<0.001) | 2.39 (1.31, 3.47) | <0.001 (<0.001) | −2.89 (−4.49, −1.28) | <0.001 (0.001) |
| 45 vs. 0 | 6.62 (5.15, 8.10) | <0.001 (<0.001) | 3.31 (1.97, 4.65) | <0.001 (<0.001) | −3.31 (−5.31, −1.32) | 0.001 (0.002) |
| 90 vs. 0 | 3.19 (2.03, 4.34) | <0.001 (<0.001) | 3.54 (2.51, 4.57) | <0.001 (<0.001) | 0.35 (−1.20, 1.90) | 0.656 (0.700) |
| 97 vs. 90 | −3.68 (−5.15, −2.22) | <0.001 (<0.001) | 0.25 (−1.09, 1.59) | 0.714 (0.742) | 3.93 (1.95, 5.92) | <0.001 (<0.001) |
| 104 vs. 90 | −3.68 (−5.21, −2.16) | <0.001 (<0.001) | 0.31 (−1.08, 1.71) | 0.659 (0.700) | 4.00 (1.93, 6.07) | <0.001 (<0.001) |
| 180 vs. 90 | 1.64 (−0.76, 4.04) | 0.180 (0.223) | 1.86 (−0.70, 4.42) | 0.155 (0.201) | 0.22 (−3.29, 3.73) | 0.902 (0.902) |