Figure 1

Figure 2

Figure 3

Figure 4

Figure 5

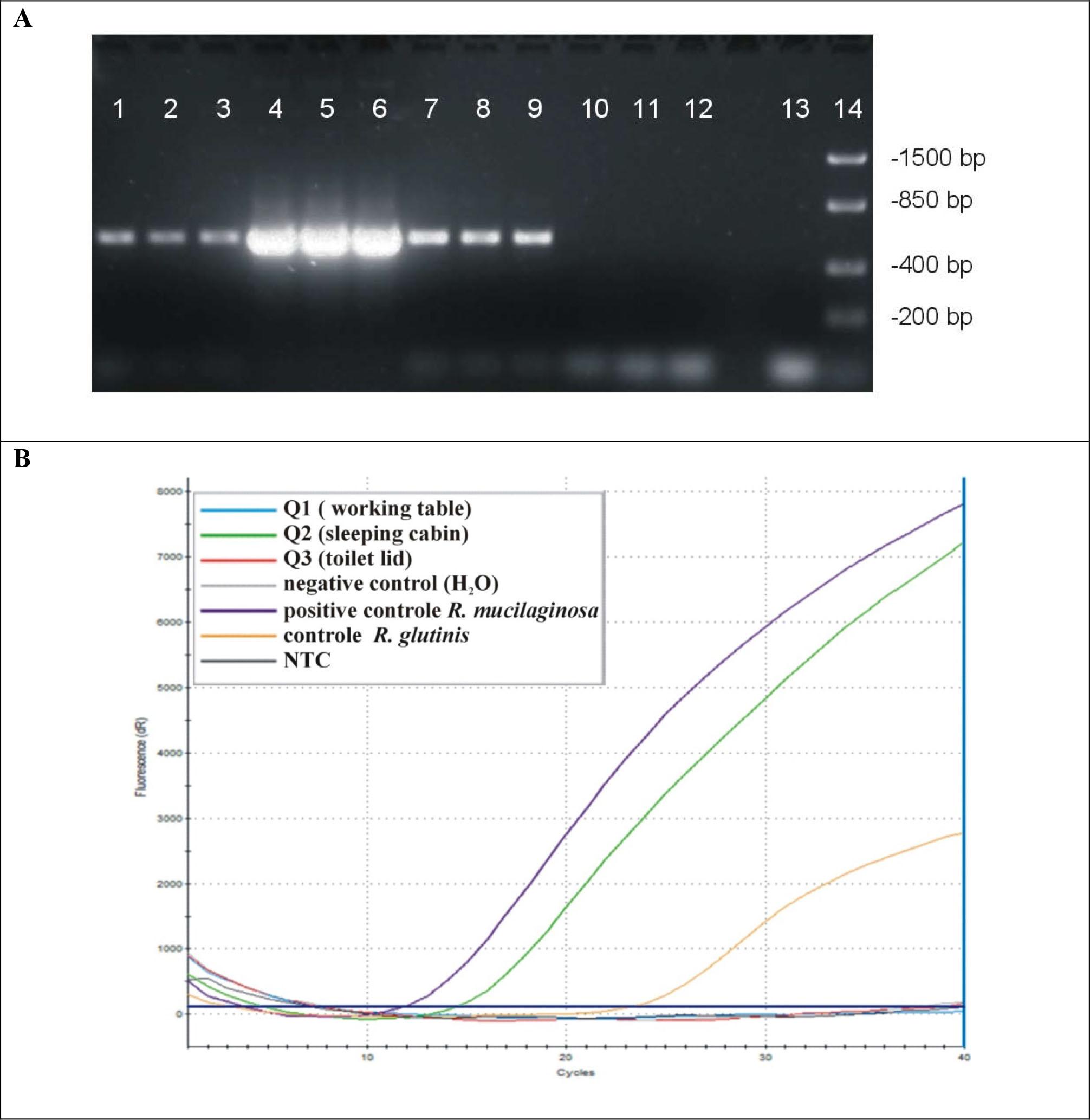
Figure 6

Figure 7

Figure 8

Determination of colony forming units (CFU) from the washout of swabs_
| Culture media | Q1 (working table), CFU/mL | Q2 (sleeping cabin), CFU/mL | Q3 (toilet lid), CFU/mL |
|---|---|---|---|
| MacConkey Agar | 0 | 0 | 0 |
| Mannitol Salt Agar | 0 | 0 | 0 |
| R2A Agar | 140 | 3.9E+04 | 0 |
| Sabouraud 4% Glucose Agar | 1 | 4.0E+04 | 0 |
| Tryptic Soy Agar | 2 | 1.9E+07 | 3.7E+04 |
| Yeast Extract Agar | 20 | 2.5E+04 | 2.8E+04 |
| ∑: CFU/mL | 1.63E+02 | 1.91E+07 | 6.50E+04 |
Theoretical prediction of the MVOCs from Saccharomyces cerevisiae compared to sensor compound sensitivity of the E-Nose_
| Saccharomyces cerevisiae | E-Nose | |
|---|---|---|
| MVOC | Chem. classification | No. of sensors and compounds sensitivity |
| 1-Propanol | Alcohol | Sensor 1: Aromatic compound, Alkane |
| 2-Ethyl-1-hexanol | Alcohol | Sensor 2: Nitrogen oxides, Alcohols, Aromatic compounds |
| 2-Methyl-1-propanol | Alcohol | Sensor 3: Aromatic compound, Alkane |
| 2-Propanol | Alcohol | Sensor 4: Hydrogen |
| Ethanol | Alcohol | Sensor 5: Aromatic compounds, Alkane |
| Phenethyl Alcohol | Alcohol | Sensor 6: Methane, Alcohol |
| 2-(Ethenyloxy)-ethanol | Alcohol, Ether, Alkene | Sensor 7: Inorganic sulfur compounds, Terpenes, Sulfur-containing organic compounds, Aromatic compound |
| 1,2-Benzenedicarboxylic Acid | Acid | Sensor 8: Alcohol, Aromatic compound |
| 2-Methyl Propanoic Acid | Acid | Sensor 9: Aromatic compounds and inorganic sulfur compounds as H2S |
| 2-Methylbutanoate | Acid | Sensor 10: Methane and aliphatic organic compounds |
| 3-Methylbutanoic Acid | Acid | |
| Acetic Acid | Acid | |
| 2-Butanone | Ketone | |
| 2-Pentanone | Ketone | |
| 2-Propanone | Ketone | |
| 1,9-Dimethylspiro(4,5)decane | Alkane | |
| Undecane | Alkane | |
| Alpha-limonene | ||
| 3-Methyl butanal | Aldehyde | |
| Acetaldehyde | Aldehyde | |
| Acetic Acid Ethenyl Ester | Ester | |
| Ethyl Acetate | Ester | |
| Pyrazine | Pyrazine | |
| 2,5-Dimethylpyrazine | Pyrazine | |
| Dimethyl Disulfide | Sulfide | |
| Ortho-Dimethylbenzene | Benzenoid | |
Genetic identification of microorganisms in 25 pure cultures from selected colonies by BLAST analysis_
| Q1 (working table) | Q2 (sleeping cabin) | Q3 (toilet lid) |
|---|---|---|
| Penicillium expansumf | Agrobacterium tumefaciensb,− | Bacillus subtilisb,+ |
| Staphylococcus epidermidisb,+ | Bacillus agaradhaerensb,+ | Staphylococcus warnerib,+ |
| Streptococcus salivariusb,+ | Bacillus atrophaeusb,+ | Staphylococcus epidermidisb,+ |
| Fusarium oxysporumf | ||
| Micrococcus luteusb,+ | ||
| Pseudomonas geniculatab,− | ||
| Staphylococcus hominisb,+ | ||
| Stenotrophomonas maltophiliab,− |