It is well documented that spaceflight, and simulated microgravity, have effects on many different tissues and systems of the body. Some of the non-reproductive systems investigated include skeletal muscle arterioles and regional blood flow (Arbeille et al., 1996; Delp, 1999), immune system (Armstrong et al., 1993; Chapes et al., 1993; Chapes et al., 1999) and skeletal system (Droppert, 1990; Milstead et al., 2004). Some of the reproductive tissues studied include Quail oviduct length (Skrobanek et al., 2008), Seminiferous Tubules (Kamiya et al., 2003; Motabagani, 2007; Forsman, 2012), and uterine smooth muscle (Burden et al., 1998). The vast majority of this information has been obtained by using animal models. One of the systems that has not been well studied is the female reproductive system. A report released in 1987 by the Space Studies Board and the National Research Council enunciated that it was particularly important to determine whether or not the space environment would interfere with human and/or animal reproduction (Moody and Golden, 2000). This was reiterated in the 2011 Decadal Study, Recapturing a Future for Space Exploration: Life and Physical Sciences Research for a New Era (Space Studies Board, 2011).
There have been studies to determine the effects of microgravity on development across different organismal taxonomies, such as sea urchins (Chakrabarti et al., 1995; Tash and Bracho, 1999), fish (Ijiri, 1998), Drosophila (Vernos et al., 1989), Xenopus (Smith and Neff, 1986; Huang and Johnson, 1995; Souza et al., 1995), quail (Huss et al., 2010), and rats (Wong and DeSantis, 1997). Although these studies have produced valuable yet sometimes conflicting data, they mainly focused on developmental studies and did not address the reproductive system as a whole. Additionally, from a human reproductive standpoint, it is imperative that data be obtained from vertebrate animals.
The opportunity to study the human female reproductive system in spaceflight has been relatively rare. The first woman to fly in space was Valentina Tereshkova. Her flight lasted approximately 2.9 days and no results of any tests on female reproductive/physiologic parameters that may have been conducted have been released. According to Schenker and Warmflash (online article, posted 2011), she later married a cosmonaut and a year later gave birth to a healthy girl. This became the world’s first evidence of a healthy post flight pregnancy. This further indicated that short term spaceflight did not appear to have any lasting effects on the reproductive tissues in either males or females. This conclusion was reinforced when American astronaut Margaret Rhea Seddon, who is married to former astronaut Robert L. Gibson, had an uneventful pregnancy and gave birth to a healthy baby after having been in space. Although this provides evidence that the human reproductive systems do not appear to suffer any long term effects from short term spaceflight, it provides little information about what changes may have occurred during the flight and whether or not any changes associated with long duration spaceflight would be reversible.
Unfortunately, there is still a lack of information regarding the human female reproductive system in spaceflight because female astronauts suppress their menstrual cycles during spaceflight (Jennings and Baker, 2000). This leaves scientists to rely on studies of animal models to extrapolate the possible effects on the human reproductive system. The few studies that have been conducted have mainly focused on embryo development and gestation. In 1979, male and female rats were allowed to comingle in an experiment flown on COSMOS 1129. The results indicated that none of the female rats gave birth; however, closer examination revealed that ovulation had taken place and that two of the rats had been pregnant, with subsequent reabsorption of the embryos (Serova and Denisova, 1982). Experiments conducted on pregnant rats that were flown on space shuttle from days 9-20 of pregnancy indicated that spaceflight did not affect placental structure (Renegar et al., 1995). Studies that evaluated the ovarian follicles, corpora lutea, luteinizing hormone, and follicle stimulating hormone from rats subjected to spaceflight following the post-implantation period found no effect of spaceflight on any of the parameters studied (Burden et al., 1995). In studies conducted by Burden et al. (1998) it was found that myometrial smooth muscle decreased by 37% between the 20th day of gestation and postpartum, compared to synchronous controls. Additionally, Burden et al. (1999) and Ronca and Alberts (2000) reported more numerous labor contractions in rats flown in space but delivering immediately post flight than that seen in control animals. Smith and Forsman (2012) evaluated the ovaries from non-pregnant mice from shuttle mission STS-118 and found no gross abnormalities. This is in contrast to the findings of Tash et al. (2011), who found that most follicles from spaceflight ovaries were atretic and that corpora lutea appeared in fewer numbers. They also found a trend toward smaller uteri in flight animals. Tou et al. (2002) provided a brief review of the effects of spaceflight as well as ground-based models on the male and female reproductive systems. The review reiterated that relatively little is known about the effects of spaceflight or ground-based models on the female reproductive system.
The uterine horn of the mouse has a uterine cavity lined with a specialized epithelium known as endometrium. As with most luminal surfaces within animals, the endometrium is coated with mucin. Mucins are glycoproteins that contain large numbers of O-linked oligosaccharides. Mucin is believed to provide lubrication, protection from pathogens, and also help prevent desiccation and enzymatic degradation. Mucins are located on the apical surface of many non-keratinizing stratified squamous epithelia such as uterine tissue (Gipson et al., 1995). Within the female reproductive system these mucins also provide a suitable environment for continued sperm maturation, gamete interaction, and early embryonic development (Gandolfi et al., 1989).
Eight varieties of mucins have been described in the reproductive tract of humans. These are denoted as MUC1 – MUC7 (with subsets MUC5AC and MUC5B). All reproductive tract epithelia express MUC1, which is not surprising since this transmembrane mucin is expressed by most epithelia (Warren and Spicer, 1961). Some mucins contain sialic acid and are generally referred to as a sialomucin complex (SMC). Muc4/SMC is abundantly expressed at the apical surfaces of most epithelia of the female reproductive tract, including both uterine luminal and glandular epithelia. Sialomucins can block cell and molecular recognition processes (Carraway et al., 1992) that renders the apical surface of cells with this type of mucin non-adhesive. Muc4/SMC is hormonally regulated in uterine luminal epithelia, but not in uterine glandular epithelium, oviduct, cervical, or vaginal epithelia (Idris and Carraway, 1999). It has further been reported that SMC expression is tightly regulated in the uterus, and its expression appears to block blastocyst implantation (McNeer et al., 1998; Carraway and Idris, 2001).
With the hypothesis that the spaceflight environment may alter mucin production in uterine tissue, this preliminary experiment used Alcian Blue Periodic Acid Schiff staining to determine the general pH range of the mucin in the uterus. Measurements of the thickness of the apical mucin layer were also conducted.
The animals used in this study were a subset of animals utilized by the Amgen Corporation (Thousand Oak, CA). All mice used in these experiments were C56BL/6 female mice (Charles River, Wilmington, MA). The mice were initially divided into two groups of animals designated as drug treated mice (DM) and vehicle mice (VM). These groups were then subdivided into three treatment groups: flight (FL), ground control (GC), and baseline (BL). The drug treated group was proprietary and all tissues from this group were retained by Amgen. For all three treatment groups the VM were randomly mixed with the DM. All of the FL and GC mice were housed in the animal enclosure module (AEM) of the Commercial Biomedical Testing Module-2 (CBTM-2). The FL AEMs were flown on shuttle mission STS-118 in the shuttle mid-deck locker. This exposed the FL mice to approximately 13 days of spaceflight. The GC AEMs (housed at the Space Life Sciences Lab at Kennedy Space Center) were populated with the same number of mice as the FL AEMs and were conducted at a 48 hour delay from the FL animals to allow for reproducing the environmental conditions experienced on board the shuttle. Each AEM contained 8 mice configured 4 to a side. There were three FL AEMs for a total of 24 FL mice; 12 proprietary DM, and 12 VM that were available for this study. Accordingly, there were three GC AEMs for a total of 24 GC mice; 12 proprietary DM, and 12 VM that were available for this study. The BL mice were housed in standard rodent cages at the same population density. These mice were also housed at the Space Life Sciences Lab at Kennedy Space Center. The 12 BL VM were available for this study. All mice were approximately 9 weeks old at the onset of the mission. Upon mission completion, the reproductive tissues were harvested from each animal, fixed in 4% paraformaldehyde, dehydrated, and paraffin embedded using standard embedding techniques. The embedded tissue was stored until use in this study.
Tissues were sectioned at 4 m on a Microm HM325 microtome, mounted on glass microscope slides, and stained using an Alcian Blue Periodic Acid Shiff staining technique. The tissue was then examined and photographed using a Zeiss Axioskop 40 microscope equipped with a Canon Powershot A640 camera. For each animal sample, three slides were prepared. The stained tissue was analyzed for the type of mucin present and the thickness of the mucin layer. The FL, BL, and GC tissue was quantitatively analyzed, comparing mucin thickness between the three groups. Using a randomization grid, a set of five random measurements of the thickness of the mucin layer was made for one random section of tissue on each slide, giving a total of 15 measurements per sample. Measurements were made using the Carl Zeiss AxioVision software, version 4.7.0. The average mucin thickness was then calculated for each sample. A one-way ANOVA was conducted using MiniTab statistical software.
Analysis of the Alcian Blue Periodic Acid Shiff stained tissue revealed good color differentiation of the apical mucin layer. Using this technique acidic mucins will stain a pale blue, neutral mucins will stain magenta, and mixtures of acidic and neutral mucins will stain purple. Qualitative evaluation of the color of the mucin layer between the three treatment groups did not indicate a consistent mucin type, based on general pH range.
Quantitative analysis of the thickness of the mucin layer did reveal significant differences between the FL tissue and the two control tissues. The values indicated are the mean values of the mucin thickness from each animal. Statistical analysis using one way ANOVA indicated that the mucin layer of the FL tissue was significantly thicker than that of the BL tissue (P=0.003, n=20) as well as the GC tissue (P=0.003, n=19), but that the thickness of the mucin layer in the BL and GC tissue was essentially the same thickness (P=0.922, n=17). Graph 1 clearly indicates the similarity between the two control groups as well as the increased thickness of the mucin layer in the flight tissue.

Comparison of the Mean mucin layer thickness from each animal across all treatment groups.
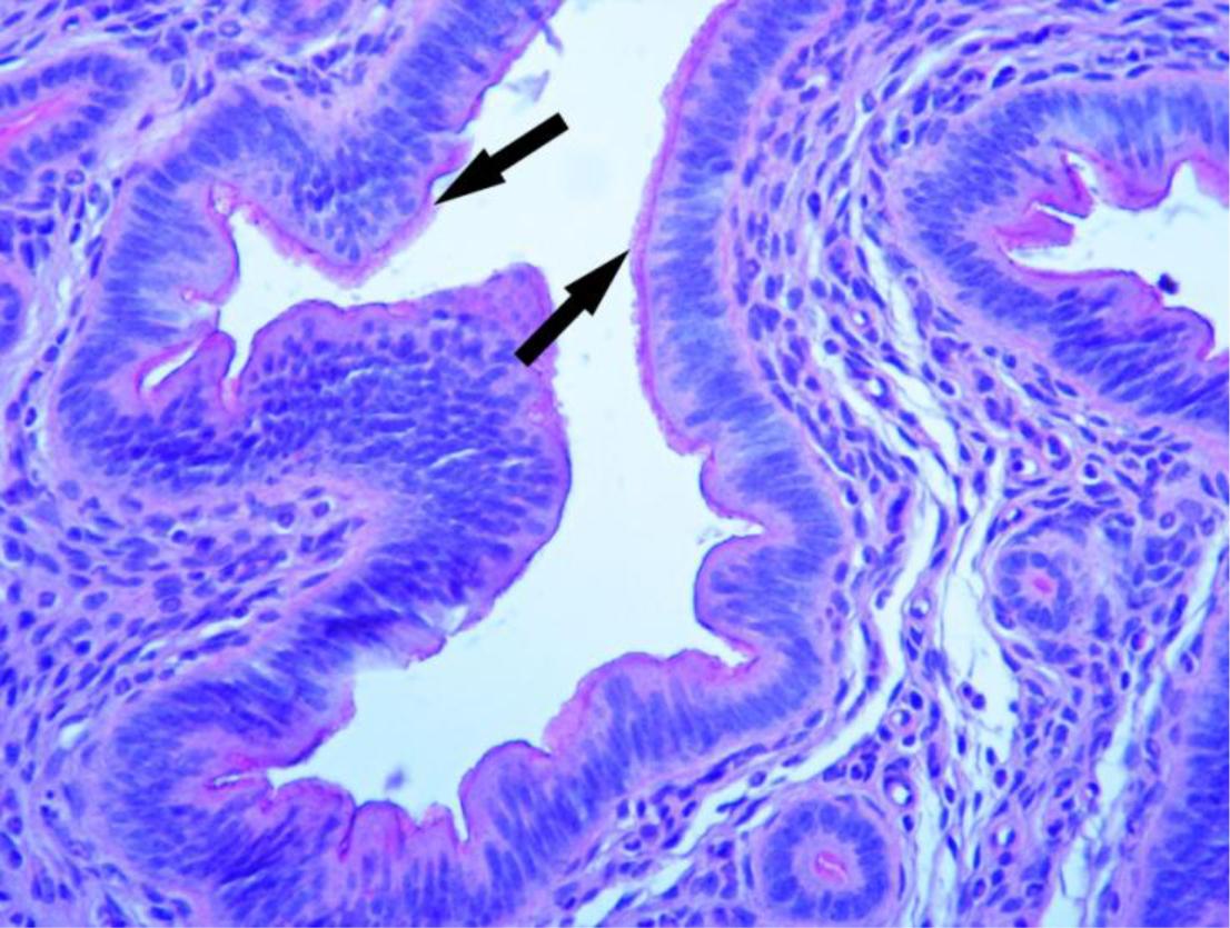
The mucin layer of the uterine tissue from FL animals maintained a relatively uniform thickness throughout the folds of the uterine wall. This thickness is indicated in Figure 1, which also indicates that this particular tissue had a mixture of acid and neutral mucins, based on the purple color of the stain.

Uterine tissue from a FL animal. Note the relatively uniform mucin thickness throughout the folds of the uterine wall as well as the mixture of acid and neutral mucin as indicated by the purple staining (arrows) 400X.
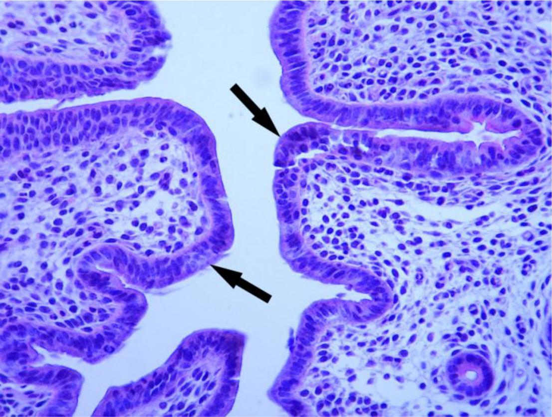
The mucin layer of the BL tissue was relatively thin across all folds of the uterus. Figure 2 indicates a mixture of acidic and neutral mucins in this particular sample as indicated by the purple staining of the mucin. Some variation in the thickness of the mucin layer can also be seen.

Uterine tissue from a BL animal. Note the relatively thin mucin layer across all folds of the uterus as well as the mixture of acidic and neutral mucin as indicated by the purple staining (arrows) 400X.
Analysis of the GC tissue indicates a neutral mucin layer in this particular animal as can be seen in Figure 3, as indicated by a pale blue staining of the mucin. A slight variance in the mucin thickness can also be seen.

Uterine tissue from a GC animal. Note the neutral pH of the mucin as indicated by the pale blue staining (arrows) as well as a slight variance in the mucin thickness throughout the uterine folds (400X).
The results of the Alcian Blue Periodic Acid Schiff staining were inconclusive. There appeared to be no correlation between the general acidity of the mucin and treatment. Some, but not all of FL mucin stained purple, indicating a mixture of acidic and neutral mucins. The same observation was made in the GC tissue. Although the GC mucin generally stained a pale blue, indicating a neutral pH, some GC tissue exhibited a purple staining. Very few of the tissues from any of the treatment groups exhibited magenta staining, which would be indicative of an acid mucin.
The most obvious explanation for the variation in mucin pH within a treatment group would be that the various animals were in different stages of their estrous cycle at the time of sacrifice. As previously stated, the mucin layer in the uterus is the only mucin of the female reproductive tract that is sensitive to hormonal changes. Because this was a tissue sharing experiment, we did not have access to blood for hormone sampling, nor were we able to conduct vaginal smears to determine the stage of the estrous cycle, so the stage of the estrous cycle for each animal is not known. Due to the nature/design of the AEM and the overall flight experiment, it is reasonable to assume that the Lee-Boot effect (Whitten, 1959) arrested all of the animals in an extended state of diestrous. If that were the case, we cannot ascribe these findings to varying stages of the estrous cycle. This variation may also be a function of the specific region of the uterus sampled. This cannot be confirmed because random uterine sampling was used in this study. From this data we must report that the spaceflight environment does not appear to have an effect on the type of mucin produced in regard to pH, and we attribute these findings to individual variation between animals.
Although there was a range of the mean mucin thickness in each of the treatment groups, statistical analysis clearly indicates that the apical mucin layer of the FL tissue was thicker than that of either of the control tissues. The same analysis indicates that the apical mucin layer in the control tissues (GC, BL) did not differ in thickness.
With regard to the thickness of the apical mucin layer, clearly some aspect of spaceflight caused a thickening of that layer. Previous reports regarding the regulation of the mucin layer in the uterus of rats and mice support the findings of this study. Muc1 expression is high in the proestrous and estrous stages, stages that correspond with high estrogen levels, and is the lowest in the metestrous and diestrous stages, which are associated with high levels of progesterone (Surveyor et al., 1995; Idris and Carraway, 1999). This suggests that the loss of Muc1 contributes to a receptive uterine state (Surveyor et al., 1995) at the time of implantation. If the animals in this study were arrested in an extended diestrous, we would expect to see a thin apical layer of mucin in the uterus, across all treatment groups. Since the apical mucin layer was significantly thicker in flight animals, this would suggest that the spaceflight environment causes a thickening of the apical mucin layer in the uterus. This would result in two important outcomes: 1) the thicker mucin layer would afford the uterus with greater protection from microbial invasion, and 2) there would be a greater barrier to blastocyst implantation (McNeer et al., 1998).
The aspect of spaceflight that would allow for the thickening of the uterine apical mucin layer is yet to be elucidated. One possibility would concern the pituitary gonadal axis. Spaceflight has been shown to cause changes in the anterior pituitary gland (Pattison et al., 1991). If these changes interfere with the production of follicle stimulating hormone (FSH) or luteinizing hormone (LH), they may lead to changes in mucin production in the reproductive tissues. Experiments involving pregnant rats that were flown on space shuttle Atlantis indicated that spaceflight had no effect on plasma progesterone concentrations or plasma LH concentrations but did significantly increase plasma FSH levels (Burden et al., 1995; Burden et al., 1997). The same studies showed a significant decrease in pituitary content of LH but no apparent effect on the pituitary content of FSH.
Another factor that must be considered when evaluating spaceflight tissue is the possible effect of cosmic radiation. During spaceflight astronauts and test animals are exposed to high levels of, and sometimes prolonged exposure to, cosmic radiation. This high energy radiation has an ionizing effect on the atoms and molecules of the biological system (Setlow, 2003). Ideally, GC conditions would allow for irradiation of the experimental animals to mimic the radiation levels experienced by the flight animals. At this point in time that control is not practical.
In summary, to date this has been the only study of the effects of spaceflight on the mucin layer of the mouse uterus. This study indicates that the spaceflight environment causes a thickening in the apical mucin layer of the mouse uterine epithelium. There were several limitations to this study. These findings provide data that supports reinvestigating this area. A new study should be conducted that will allow investigators to ensure that the Lee-Boot Effect is not a factor in the study. Along these lines investigators should have access to blood for hormonal analysis as well as vaginal smears. Both of these would allow for accurate assignment of the stage of the estrous cycle for each animal in the study. For completeness of study there should be a mechanism to irradiate the GC animals with doses of radiation similar to those experienced by the flight animals. Future studies may also investigate changes in gene expression of the mucin producing cells.