Esophageal perforation (EP) was first described by Hermann Boerhaave who, in 1723, observed a spontaneous rupture of the esophagus occurring after repeated vomiting of an admiral in a Dutch Navy.1 It was not until 1947 that Barrett and Olson made the first attempts at surgical repair of EP.2,3 Despite update progress in intensive care, diagnostic methods, and endoscopic or surgical therapeutic measures of EP, the general mortality is still about 20%.4 Diagnostic delays/errors due to frequent atypical clinical presentations/incomplete history, associated with the absence of clear management policies can partly explain this poor prognosis. Vertebral infection is a rare clinical condition with relatively atypical manifestations and slow progress. The esophageal penetration of a swallowed fishbone is a much rarer case, though fishbone is a common foreign body in the gastrointestinal tract. We present a case of vertebral body infection caused by fishbone perforation, which has seldom been reported in the English literature.
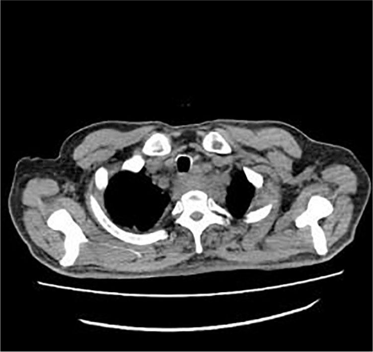
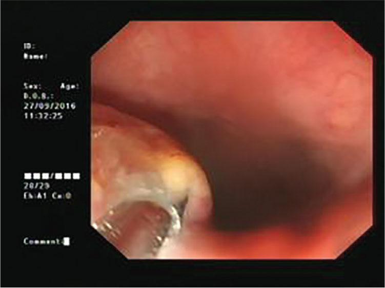
On September 23, 2016, a 56-year-old man consulted the emergency department for 7 days with unknown fever. The highest temperature was 38.5°C. Blood tests were as follows: WBC 7.75 × 109/L, NEUT 76.94%, CRP 120.57 mg/L, and procalcitonin 0.325 ng/ml. Posterior superior mediastinal masses with thickened adjacent esophagus wall and bilateral pleural effusion were revealed by thoracic computed tomography (CT) scan (Figure 1). A 1.0 cm × 2.0 cm protuberant mass was found in the left wall of the esophagus at 20 cm from the incisors by the gastric endoscopy (Figure 2). Endoscopic biopsy shows a chronic active inflammation with ulcer and granulation tissue proliferation. Examine the medical history in detail at that moment, the patient was diagnosed with an odynophagia and admitted that he had accidentally swallowed a fishbone 2 months ago. Taken together, the patient was diagnosed with secondary mediastinitis due to esophagus perforation caused by the ingestion of fishbone. The patient had been treated moxifloxacin intravenously for 15 days, and then he was discharged without fever. Obvious back pain and decreased muscle strength began on the 7th day after discharge. On November 10, he had a Magnetic resonance (MR) of the thoracic vertebra, and the result was C7/T1 centrum infection and paravertebral abscess (Figure 3). The surgical intervention had been performed 4 days later. Consequently, the back pain disappeared, the muscle strength recovered, and an MR reexamination showed the patient recovered completely (Figure 4).
Figure 1
The CT scan result.

Figure 2
The gastric endoscopy result.

Figure 3
MR result of the thoracic vertebra before the operation.

Figure 4
MR reexamination result of the thoracic vertebra after the operation.

Fishbone is perhaps the most commonly ingested foreign body located in the upper gastrointestinal tract and causes EP in humans.4 EP often led to a local infection of the esophagus, and mediastinitis would be developed with no proper treatment. Consequently, the infection might further spread to vertebral bodies as a rare clinical condition that many physicians cannot diagnose this condition timely. EP is a high-mortality condition, but early diagnosis and treatment can improve the prognosis.5 The essential attribute of the diagnostic approach to esophageal rupture is the maintenance of a high index of suspicion.6 Any patient who presents with fever or back pain weeks or even months after odynophagia should be aggressively evaluated, to rule out perforation of the esophagus. The first lesson from this case is that close endoscopic and radiologic follow-up is mandatory to ensure early diagnosis and proper treatment for EP. Next, antibiotic treatment should be performed with adequate dosage and duration. Finally, the infected tissues from the esophagus should be cultured for bacteria, mycobacteria, and fungi to guide treatment.