Breast adenocarcinoma is the most common form of breast cancer, predominantly originating from the glandular tissue of the mammary ducts or lobules. However, in rare instances, breast tissue can be found outside the normal anatomical confines of the breast, which is a condition known as ectopic breast tissue[1]. Such occurrences are extremely unusual, and when malignancy arises within the ectopic breast tissue, it presents a diagnostic and therapeutic challenge. Primary breast carcinoma of the vulva refers to a rare type of cancer where breast cancer cells develop in the tissue of the vulva, which is the external female genital area[2]. It is important to note that primary breast carcinoma of the vulva is an extremely uncommon occurrence, as breast tissue is not typically found in the vulva[3,4,5].
The clinical presentation of primary breast adenocarcinoma in vulvar ectopic breast tissue can mimic other vulvar neoplasms, leading to potential diagnostic delays[6]. Therefore, it is of paramount importance to recognize this rare entity and differentiate it from other vulvar malignancies to implement the appropriate management promptly[7, 8].
The symptoms of primary breast carcinoma of the vulva may include a lump or mass in the vulva, changes in the skin of the vulva (such as redness or thickening), pain, itching, or ulceration. These symptoms can resemble other conditions, so it is crucial to consult a healthcare professional for an accurate diagnosis[9, 10].
The management of primary breast adenocarcinoma in vulvar ectopic breast tissue requires a multidisciplinary approach involving gynecologists, oncologists, pathologists, and radiologists. Due to the scarcity of reported cases, there is no standardized treatment protocol, making each case a unique clinical challenge[11]. The specific treatment plan will depend on various factors such as the stage of the cancer, the extent of the tumor, and the individual's overall health[12, 13].
We present here a remarkable case of primary breast adenocarcinoma in ectopic breast tissue in the vulva. This case report aims to shed light on the patient's clinical history, diagnostic journey, clinical management, and outcomes of this rare presentation.
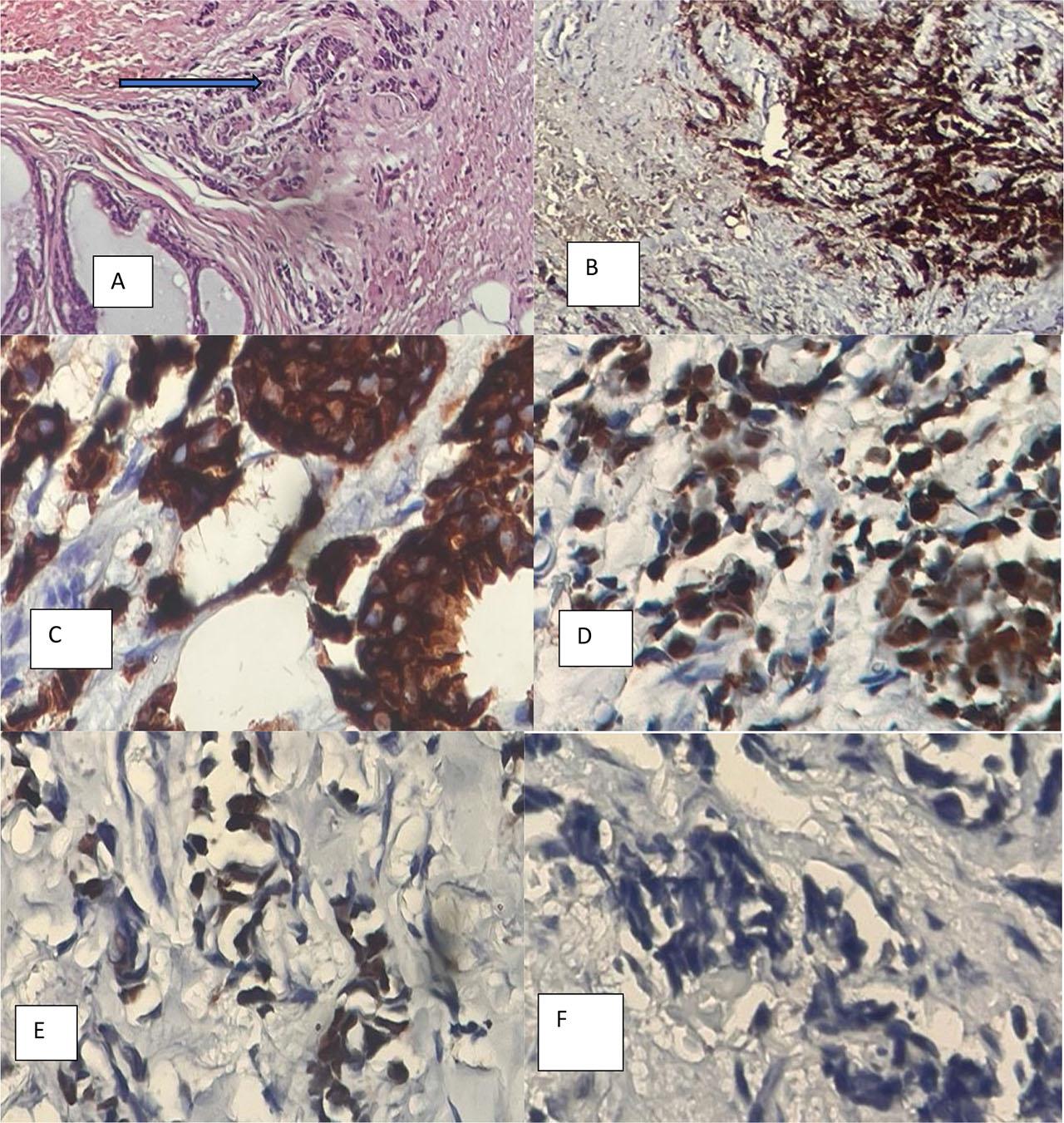
A 55-year-old female with negative past medical history and negative family history presented with an unusual vulvar lesion with extensive bone metastasis in August 2022. Previous pelvic magnetic resonance imaging (MRI) showed a suspicious mass 3.5 × 3 cm in the posterior midline of the vulva and bilateral suspicious inguinal lymphadenopathy (LAP). In addition, previous biopsy of the vulvar lesion showed undifferentiated carcinoma infiltration. The tumor infiltrated the dermis and subcutaneous soft tissue extensively. Relationship with the epidermis has been seen. Individual Indian file-like arrays formed sold layers and cords. They consisted of small to medium-sized cells. In immunohistochemical staining, positive expression was observed only with Pan-CK, and the interpretation was in favor of undifferentiated carcinoma. Immunohistochemical staining revealed the following: diffuse positive staining was observed with Pan-CK, positive staining was observed in focal foci with vimentin, and negative staining was observed with P40, Ber-ep4, synaptophysin, CD56, CD117, melan-A, S-100, and desmin. The histopathologic examination identified malignant glandular structures and trabeculae infiltrating the dermal and subcutaneous tissues, particularly in proximity to adnexal structures and mammary-like glandular elements. Notably, both benign glands and neighboring malignant structures exhibited positive mammaglobin expression, and there was evidence of vascular and perineural invasion. In Figure 1, the histopathology and immunoprofile of the lesion (histologically arrowed area of infiltrative epithelial growth, immunohistochemical expression of mammoglobin, strong cytokeratin 7 [CK7] expression, strong estrogen receptor [ER] expression, moderate progesterone receptor [PR] expression, and negative HER2 expression) are shown.

Histopathological and immunoprofile of the lesion. A: histologically arrowed area of infiltrative epithelial growth (arrowed) B: mammoglobin immunohistochemical expression-, C: Strong CK-7 expression, D: strong ER expression, E: Moderate PR expression F: Negative Her2 expresssion.

A and B: PET Scan before hormonal treatment, C and D: PET Scan after hormonal treatment.
Upon referral, we carried out a complete diagnostic workout: mammogram and breast color Doppler sonography were done and the results were normal. No solid or cystic lesions were detected in the bilateral breast quadrants. There were no findings in favor of ductal ectasia in the bilateral retroareolar area. No lymph nodes of pathological size and characteristics were observed in the bilateral axillary region. Echocardiogram was normal with an ejection fraction of 65%. Positron emission tomography (PET) scan results showed the following: bilateral inguinal LAP with the largest lymph node measuring 1.6 × 1.6 cm and having a maximum standardized uptake value (SUVmax) of 10.6 on the left side, multiple abdominal LAP involving extensive areas, including the iliac, common iliac, para-aortic, and aortocaval regions, and multiple lytic bone lesions observed in all appendicular bones, including D8, D9, D10, L5, and the left iliac bone.
These results indicate the presence of enlarged lymph nodes in the inguinal region and abdomen, as well as multiple areas of bone involvement with lytic lesions. Further evaluation and clinical correlation were necessary to determine the underlying cause and appropriate management plan based on these PET scan findings. Blood test for tumor markers was done, which revealed the following: carcinoembryonic antigen (CEA): 2.2 ng/mL, Cancer Antigen 125 (CA125): 11.6 U/mL, Cancer Antigen 15-3 (CA15.3): 111.6 U/mL, alpha-fetoprotein (AFP): 1.7 ng/mL, beta-hCG or beta-human chorionic gonadotropin (BHC): 3 IU/L, and CA19-9: 21 U/mL.
The patient's treatment plan involved the administration of the paclitaxel and carboplatin protocol on a weekly basis for a duration of 16 weeks, coupled with zoledronic acid infusions scheduled every 28 days. The protocol consisted of paclitaxel at a dose of 150 mg and carboplatin at 300 mg. In addition, to address the patient's symptoms and provide palliative relief, radiotherapy was administered to the pelvic bone over five fractions, delivering a total dose of 20 Gy (20 Gy/5F). The combination of chemotherapy and targeted radiotherapy aimed to control the progression of the disease, manage bone lesions, and alleviate the patient's discomfort.
Following the completion of chemotherapy, the patient underwent a period of rest for 2 weeks before undergoing a PET scan. The results of the PET scan were promising, indicating a complete morphological and metabolic response in the vulva and lymph nodes, as well as a complete metabolic response in the bones. At this point, the patient was presented with two options: continuing chemotherapy or opting for follow-up visits. The patient decided against continuing chemotherapy and chose to proceed with regular follow-up visits.
After 3 months of follow-up, a new skin lesion appeared in the vulvar area. MRI results revealed the presence of two small subcutaneous vulvar lesions, each measuring 6 × 8 mm. To investigate further, a biopsy of the lesion was performed by the gynecologist. Unexpectedly, the biopsy revealed adenocarcinoma, which is a rare occurrence in the vulva. Further analysis through vulvar mass immunohistochemistry unveiled that the tissue sample was of breast origin, specifically mammary carcinoma. The biopsy results showed positive markers for CK7, ER 7/8, PR 5/8, and mammaglobin, but negative markers for Her2neu, P63, and CDX2. This immunohistochemistry profile suggested a picture more consistent with metastatic mammary lobular carcinoma grade 2 than sweat gland carcinoma. Following these findings, a new mammogram of the breast was conducted and the results turned out to be normal. However, the new CA15.3 level was significantly elevated at 128.1, indicating a high level of this tumor marker in the blood. Based on the team's thorough discussion and analysis of the case, it was determined that this represents a unique and rare scenario involving malignant accessory breast tissue.
Malignant accessory breast tissue is a developmental variation where abnormal breast tissue is present in addition to the usual breasts. This unusual presentation makes the case exceptionally rare. The diagnostic process involved extensive testing, including a negative PET scan, mammogram, and breast ultrasound. However, the biopsy results clearly indicated that the lesion was of breast origin, further supported by elevated tumor markers associated with breast cancer. Considering the comprehensive assessment and all available evidence, this conclusion becomes the most plausible and fitting explanation for the patient's condition. The decision was made to initiate hormonal therapy. The PET scan results revealed a complete response to the hormonal therapy. There was no indication of hypermetabolic tumor lesions at the excision bed of the primary site and no evidence of hypermetabolic pelvic or abdominal lymph nodes. In addition, non-metabolically active sclerotic bone lesions were observed, with no newly developed hypermetabolic metastases detected throughout the scanned body (Figures 7–10).
The patient's case, characterized by an unusual vulvar lesion with extensive bone metastasis and elevated tumor markers associated with breast cancer, posed a diagnostic challenge due to its rarity and atypical presentation. Malignant accessory breast tissue, a developmental variation where abnormal breast tissue is found in addition to normal breasts, emerged as the most plausible explanation for this unique scenario. While extremely rare, similar cases of malignant accessory breast tissue with distant metastases have been reported in the literature, demonstrating the importance of considering this entity in such complex presentations.
One noteworthy similarity can be drawn from a case reported by Morais et al., where a 60-year-old female presented with a vulvar mass on the left labium minus that measured approximately 20 mm. Initial diagnostic tests, including mammogram and breast ultrasound, yielded normal results, leading to uncertainties regarding the primary origin of the malignancy. She was submitted to excisional biopsy of the lesion and was referred with a diagnosis of vulvar adenocarcinoma. A comprehensive immunohistochemical analysis of the vulvar lesion, similar to our case, ultimately revealed positivity for ERs (90%–100%), CK7, CAM5.2, and GATA3. The tumor was negative for PR, GCDDP-15, SOX10, p63, and CK20. HER-2 was classified as equivocal (2+), and fluorescence in situ hybridization (FISH) analysis of HER-2 gene amplification was negative. Morphological aspects combined with the IHC profile support the diagnosis of adenocarcinoma of mammary gland type of the vulva[12].
Furthermore, in a case study by Ananthula et al., a vulvar malignancy consistent with adenocarcinoma of the mammary gland type was diagnosed in a 47-year-old premenopausal woman. The patient underwent radical vulvectomy with bilateral superficial and deep inguinal lymphadenectomy. The tumor was positive for ER and negative for PR and human epidermal growth factor receptor 2/neu on immunohistochemistry. A PET-computed tomography scan demonstrated lymph node and bone metastases. Her disease was treated as stage IV breast cancer with metastases to the bone. Palliative treatment with ovarian suppression, aromatase inhibitor, and cyclin-dependent kinase 4/6 inhibitor was recommended. These findings align with our case, highlighting the diagnostic challenges associated with this rare entity and underscoring the significance of accurate immunohistochemistry in reaching the correct diagnosis[3].
In addition, the elevated CA15.3 tumor marker observed in our case resembles findings from another study by Neumann et al.[14], where a 60-year-old woman with an invasive lobular breast cancer localized to the vulva exhibited elevated serum CA15.3 levels. The similarity in tumor marker elevation further supports the breast origin of the vulvar lesion in our case.
The therapeutic intervention involving a combination of the TC protocol and zoledronic acid is consistent with treatment approaches reported in other cases of metastatic breast carcinoma. For instance, a study by Perez et al.[15] documented successful treatment outcomes with paclitaxel and carboplatin-based regimens in patients with metastatic breast carcinoma. Paclitaxel (200 mg/m2) with carboplatin (area under the curve 6 mg/mL/min) demonstrated substantial efficacy in patients with metastatic breast carcinoma, and the 12-month survival rate of 72% was encouraging. This therapy represents a viable option for patients with metastatic disease.
The choice of carboplatin–paclitaxel regimen in this case is noteworthy, as it is typically reserved for hormone receptor-positive metastatic breast cancer presenting with visceral crisis. In our patient, the initial biopsy findings of undifferentiated carcinoma likely played a significant role in the decision to use this regimen, reflecting the need for an aggressive therapeutic approach to address the extensive disease burden.
While our patient exhibited an initial positive response to treatment, the emergence of a new vulvar lesion during follow-up emphasizes the complex nature of this disease and the need for continued vigilance. Similar instances of disease progression have been documented in the case reports by Ananthula et al.[3] and Baykal et al.[16], where patients with metastatic mammary carcinoma involving malignant accessory breast tissue experienced recurrence despite initial treatment response.
In conclusion, this case presentation illustrates the rarity and diagnostic challenges associated with primary breast adenocarcinoma arising in ectopic breast tissue within the vulva. By comparing with and drawing insights from other similar case reports, we have highlighted the importance of comprehensive evaluation, accurate immunohistochemistry, and interdisciplinary collaboration in reaching the accurate diagnosis. This unique entity warrants continued research and case reporting to optimize patient care and refine treatment strategies for exceptional and complex presentations in oncology. Further studies and long-term follow-up are crucial to gain deeper insights into this rare condition and enhance our understanding of its clinical behavior and management.