Prostate cancer (PC) represents 19% of the newly diagnosed male cancer cases of 2017 and is the second cause of cancer-related deaths.[1] PC is not one disease, the heterogeneity is reflected through the different clinical behavior. This mandated the need for biomarkers that help in therapy selection and proper diagnosis in difficult circumstances.
Dysregulation of cell cycle regulating genes is believed to play a major part in cancers. Cyclin D1 is the key regulator during the G1 phase and overexpression was associated with malignant transformation.[2]
DJ-1, also known as Parkinson disease protein 7, is encoded by the PARK7 gene. It acts as a negative regulator of PTEN (Phosphatase and Tensin homologue) gene, leading to tumor proliferation and invasion.[3]
Although DJ-1 has been found to be overexpressed in multiple cancers, the expression pattern of PC needs more clarifications.
Accurate diagnosis is necessary to ensure the best and effective management. However, in some circumstances, for example, small foci and minimal (< 1 mm) needle tissue biopsy, the diagnosis is challengeable, and the IHC may be helpful.[4,5]
Moreover, there are data suggesting the relation between overexpression of DJ-1, cyclin D1 and androgen receptor (AR) status.[6,7]
The aim of this study is to evaluate the expression level of cyclin D1 and DJ-1 in BPH and PC, correlation with clinicopathological features and assess the sensitivity and specificity of both as immune-markers in discerning some embarrassing cases.
The current retrospective study involved 89 prostate needle biopsy specimens that were suspicious of cancer on abnormal rectal examination and/or elevated PSA during the period from January 2010 to March 2015 from the archives of the Department of Pathology, Medical Oncology Department and Clinical Oncology Department, Faculty of Medicine, Zagazig University. 9 samples were excluded due to insufficient data. They were diagnosed histopathologically with 40 cases of PC and 40 cases of BPH. The clinic-pathological and demographic features including age, pathological features, TNM stage, serum prostatic specific antigen (PSA) level, Gleason score, and followed up period were collected from the files of patients. The immune-histochemical analysis was done using cyclin D1 and DJ-1 antibody.
Four-five-micron sections from the blocks were cut into positive-charged slides; air dried overnight, deparaffinized in xylene, hydrated through a series of graded alcohol and washed in distilled water and 0.01 PBS. The avidin–biotin-complex (ABC) method was used for the immunohistochemistry staining. Endogenous peroxidase activity was blocked with 3% hydrogen peroxide in methanol for 10 minutes. The sections were then treated with microwave radiation for 10 min for antigen retrieval, and, to block intrinsic antibody binding, they were reacted with normal serum (mouse IgG) for 10 min at room temperature. The sections were incubated overnight with a solution of primary antibodies to: Rabbit monoclonal anti-Cyclin D1 antibody (Cat. from Thermo Scientific/Lab Vision Corporation, Fermont, USA, and clone: EPR2764. 0.09% sodium azide. Dilution 1:100) and Rabbit monoclonal anti DJ1 antibody (Cat. from Thermo Scientific/Lab Vision Corporation, Fermont, USA, and clone: EPR2359. 0.09% sodium azide. Dilution 1:100) with appropriate negative and positive controls, they were reacted with biotinylated anti-mouse antibody (secondary antibody) for 10 min and with ABC for another 10 min, with intervening washes. Diaminobenzidine tetrahydrochloride was used as the final chromogen, and sections were counterstained with Mayer’s hematoxylin before mounting. Positive controls were cancer breast and kidney tissue for cyclin D1 and DJ1 respectively. Negative control was employed by substituting primary antibody. Cyclin D1 scored as: negative, 1+ (weak) = less than 10%, 2+ (moderate) = 11 to 50% and 3+ (strong) = more than 50% nuclear tumor cells stained positive,[8] while the scoring of DJ-1 was based on intensity. Four areas per tissue were evaluated using the following scale: 0, no staining; 1, faint staining; 2, moderate intensity staining; and 3, and intensity staining.[9] Positive stain referred to the intensity or positive expression, while overexpression means increase in the percent of stained cells (the extent of staining).
Categorical variables were expressed as a number (percentage). Percent of categorical variables were compared using Pearson’s Chi-square test or Fisher’s exact test when appropriate. Trends of change in the distribution of relative frequencies between ordinal data were compared using the Chi-square test for trend. All tests were two-sided. We estimated the survival rates during the entire follow-up period by the Kaplan–Meier method. All the statistical analyses were performed using IBM SPSS 22.0 for Windows (SPSS Inc., Chicago, IL, USA) and Microsoft Office Excel 2010 for Windows (Microsoft Cor., Redmond, WA, USA), with a p-value < 0.05 indicating statistical significance.
A total of 80 eligible patients were included, 40 cases of BPH and the other 40 cases had PC. In BPH group, the median age was 65.5 years (range, 53–65 years) and median serum PSA level was 11.6 ng/ml (range 3.1–20 ng/ml).
The median age was 65.5 years (range, 50–81 years) and median serum PSA level was 50.5 ng/ml (range, 10–91 ng/ml). Table 1 shows the main clinicopathological features and outcome of 40 patients with PC.
Clinicopathological features and outcome of 40 patients with prostatic carcinoma.
| Characteristics | Prostatic Carcinoma (N=40) | Characteristics | Prostatic Carcinoma (N=40) | ||
|---|---|---|---|---|---|
| No. | % | No. | % | ||
| Gleason score | Relapse | ||||
| < 7 | 7 | 17.5% | Absent | 16 | 40% |
| = 7 | 11 | 27.5% | Present | 24 | 60% |
| ➢7 | 22 | 55% | |||
| T | Distant metastasis | ||||
| T1 | 5 | 12.5% | Absent | 16 | 40% |
| T2 | 14 | 35% | Present | 24 | 60% |
| T3 | 21 | 52.5% | |||
| Stage | Hormone Refractory Relapse | (N=24) | |||
| Stage I | 3 | 7.5% | Absent | 7 | 29.2% |
| Stage IIa | 6 | 15% | Present | 17 | 70.8% |
| Stage IIb | 10 | 25% | |||
| Stage III | 21 | 25% | |||
Categorical variables were expressed as a number (percentage).
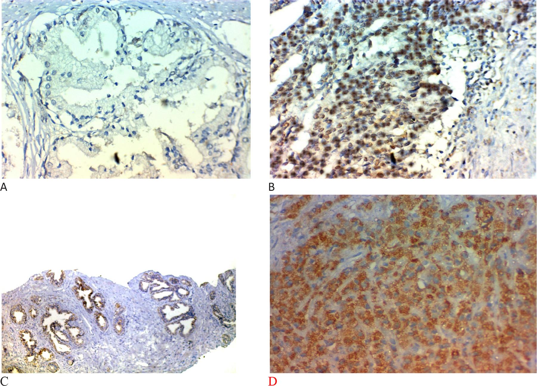
Regarding the staining, cyclin D1 and DJ-1 were positive in 38 patients (95%) and 34 patients (85%) in PC, respectively. While no nuclear staining was detected for cyclin D1, the DJ-1 was positive in only 1 sample (2.5%) in the BPH group (Figure 1).

Staining of cyclin D1 and DJ-1 in benign prostatic hyperplasia and prostatic adenocarcinoma:
- A)
Benign prostatic hyperplasia showing negative cyclin D1 staining (ABC × 400)
- B)
High grade prostatic adenocarcinoma showing strong Cyclin D1 staining (ABC × 200)
- C)
Benign prostatic hyperplasia showing faint DJ1 intensity (ABC × 100)
- D)
High grade Prostatic adenocarcinoma with strong DJ1 intensity (ABC × 400)
If we use cyclin D1/DJ-1 extent, both positive (+/+) was detected in 34 patients (85%) in the PC group and it was not detected in PBH group (0%). The same finding when used in cyclin D1 intensity/DJ-1 intensity, was statistically significant (p < 0.001). Table 2 shows the comparison between PC and BPH as regard cyclin D1 and DJ1 (staining and overexpression). Moreover, there were statistically significant differences between cyclin D1 and DJ-1 intensity/score/overexpression and clinicopathological features in the terms of GS, tumor size, TNM staging (p = 0.001).
Comparison between PC and BPH as regard cyclin D1 and DJ-1 (staining and overexpression)
| Prostatic Carcinoma (N=40) | Prostatic Hyperplasia (N=40) | p-value‡ | |||
|---|---|---|---|---|---|
| No. | (%) | No. | (%) | ||
| Cyclin D1 extent | |||||
| Negative | 2 | (5%) | 39 | (97.5%) | < 0.001 |
| Positive | 38 | (95%) | 1 | (2.5%) | |
| DJ1 extent | |||||
| Negative | 6 | (15%) | 39 | (97.5%) | < 0.001 |
| Positive | 34 | (85%) | 1 | (2.5%) | |
| Cyclin D1 extent /DJ1 extent | |||||
| Negative/Negative | 2 | (5%) | 38 | (95%) | < 0.001 |
| Negative/Positive | 0 | (0%) | 1 | (2.5%) | |
| Positive/Negative | 4 | (10%) | 1 | (2.5%) | |
| Positive/Positive | 34 | (85%) | 0 | (0%) | |
| Cyclin D1 intensity | |||||
| 0 | 2 | (5%) | 39 | (97.5%) | < 0.001 |
| 1 | 5 | (12.5%) | 1 | (2.5%) | |
| 2 | 16 | (40%) | 0 | (0%) | |
| 3 | 17 | (42.5%) | 0 | (0%) | |
| DJ1 intensity | |||||
| 0 | 6 | (15%) | 39 | (97.5%) | < 0.001 |
| 1 | 4 | (10%) | 0 | (0%) | |
| 2 | 14 | (35%) | 1 | (2.5%) | |
| 3 | 16 | (40%) | 0 | (0%) | |
| Cyclin D1 intensity/DJ1 intensity | |||||
| 0/0 | 2 | (5%) | 38 | (95%) | < 0.001 |
| 0/1 | 0 | (0%) | 0 | (0%) | |
| 0/2 | 0 | (0%) | 1 | (2.5%) | |
| 1/0 | 1 | (2.5%) | 1 | (2.5%) | |
| 1/1 | 4 | (10%) | 0 | (0%) | |
| 1/2 | 0 | (0%) | 0 | (0%) | |
| 2/0 | 3 | (7.5%) | 0 | (0%) | |
| 2/1 | 0 | (0%) | 0 | (0%) | |
| 2/2 | 10 | (25%) | 0 | (0%) | |
| 2/3 | 3 | (7.5%) | 0 | (0%) | |
| 3/2 | 4 | (10%) | 0 | (0%) | |
| 3/3 | 13 | (32.5%) | 0 | (0%) | |
| Cyclin D1 overexpression | |||||
| Negative | 23 | (57.5%) | |||
| Positive | 17 | (42.5%) | |||
| DJ-1 overexpression | |||||
| Negative | 21 | (52.5%) | |||
| Positive | 19 | (47.5%) | |||
Categorical variables were expressed as number (percentage);
Chi-square test;
p< 0.05 is significant.
Relapse and hormone refractory were statistically significantly correlated with overexpression of cyclin D1 and DJ-1. Although this positive correlation was maintained in DJ-1 extent; it was lost in cyclin D1 extent (p = 0.154) (Table 3, 4) (Figure 2, 3).
Relation between cyclin D1 and DJ-1 (staining and overexpression), clinicopathological parameters and relapse in 40 PC patients
| Prostatic Carcinoma (N=40) | Relapse | p-value | |||||
|---|---|---|---|---|---|---|---|
| Absent (N=16) | Present (N=24) | ||||||
| No. | (%) | No. | (%) | No. | (%) | ||
| Gleason score | |||||||
| < 7 | 7 | (17.5%) | 7 | (100%) | 0 | (0%) | < 0.001§ |
| = 7 | 11 | (27.5%) | 9 | (81.8%) | 2 | (18.2%) | |
| ➢7 | 22 | (55%) | 0 | (0%) | 22 | (100%) | |
| T | |||||||
| T1 | 5 | (12.5%) | 5 | (100%) | 0 | (0%) | < 0.001§ |
| T2 | 14 | (35%) | 11 | (78.6%) | 3 | (21.4%) | |
| T3 | 21 | (52.5%) | 0 | (0%) | 21 | (100%) | |
| Stage | |||||||
| Stage I | 3 | (7.5%) | 3 | (100%) | 0 | (0%) | < 0.001§ |
| Stage IIa | 6 | (15%) | 6 | (100%) | 0 | (0%) | |
| Stage IIb | 10 | (25%) | 7 | (70%) | 3 | (30%) | |
| Stage III | 21 | (25%) | 0 | (0%) | 21 | (100%) | |
| Cyclin D1 extent | |||||||
| Negative | 2 | (5%) | 2 | (100%) | 0 | (0%) | 0.154‡ |
| Positive | 38 | (95%) | 14 | (36.8%) | 24 | (63.2%) | |
| DJ1 extent | |||||||
| Negative | 6 | (15%) | 6 | (100%) | 0 | (0%) | 0.002‡ |
| Positive | 34 | (85%) | 10 | (29.4%) | 24 | (70.6%) | |
| Cyclin D1 extent /DJ1 extent | |||||||
| −ve/−ve | 2 | (5%) | 2 | (100%) | 0 | (0%) | 0.003§ |
| +ve/−ve | 4 | (10%) | 4 | (100%) | 0 | (0%) | |
| +ve/+ve | 34 | (85%) | 10 | (29.4%) | 24 | (70.6%) | |
| Cyclin D1 intensity | |||||||
| 0 | 2 | (5%) | 2 | (100%) | 0 | (0%) | 0.002§ |
| 1 | 5 | (12.5%) | 5 | (100%) | 0 | (0%) | |
| 2 | 16 | (40%) | 5 | (31.3%) | 11 | (68.8%) | |
| 3 | 17 | (42.5%) | 4 | (23.5%) | 13 | (76.5%) | |
| DJ1 intensity | |||||||
| 0 | 6 | (15%) | 6 | (100%) | 0 | (0%) | < 0.001§ |
| 1 | 4 | (10%) | 4 | (100%) | 0 | (0%) | |
| 2 | 14 | (35%) | 6 | (42.9%) | 8 | (57.1%) | |
| 3 | 16 | (40%) | 0 | (0%) | 16 | (100%) | |
| Cyclin D1 intensity/DJ1 intensity | |||||||
| 0/0 | 2 | (5%) | 2 | (100%) | 0 | (0%) | < 0.001§ |
| 1/0 | 1 | (2.5%) | 1 | (100%) | 0 | (0%) | |
| 1/1 | 4 | (10%) | 4 | (100%) | 0 | (0%) | |
| 2/0 | 3 | (7.5%) | 3 | (100%) | 0 | (0%) | |
| 2/2 | 10 | (25%) | 2 | (20%) | 8 | (80%) | |
| 2/3 | 3 | (7.5%) | 0 | (0%) | 3 | (100%) | |
| 3/2 | 4 | (10%) | 4 | (100%) | 0 | (0%) | |
| 3/3 | 13 | (32.5%) | 0 | (0%) | 13 | (100%) | |
| Cyclin D1 overexpression | |||||||
| Negative | 23 | (57.5%) | 16 | (69.6%) | 7 | (30.4%) | < 0.001‡ |
| Positive | 17 | (42.5%) | 0 | (0%) | 17 | (100%) | |
| DJ1 overexpression | |||||||
| Negative | 21 | (52.5%) | 16 | (76.2%) | 5 | (23.8%) | < 0.001‡ |
| Positive | 19 | (47.5%) | 0 | (0%) | 19 | (100%) | |
Categorical variables were expressed as number (percentage);
Chi-square test;
Chi-square test for trend;
p < 0.05 is significant.
Relation between cyclin D1 and DJ-1 (staining and overexpression), clinicopathological parameters and hormone response in 40 PC patients
| Prostatic Carcinoma (N=24) | Hormone Refractory | p-value | |||||
|---|---|---|---|---|---|---|---|
| Absent (N=7) | Present (N=17) | ||||||
| No. | (%) | No. | (%) | No. | (%) | ||
| Gleason score | |||||||
| = 7 | 2 | (8.3%) | 0 | (0%) | 2 | (100%) | 1.000‡ |
| ➢7 | 22 | (91.7%) | 7 | (31.8%) | 15 | (68.2%) | |
| T | |||||||
| T2 | 3 | (12.5%) | 1 | (33.3%) | 2 | (66.7%) | 1.000‡ |
| T3 | 21 | (87.5%) | 6 | (28.6%) | 15 | (71.4%) | |
| Stage | |||||||
| Stage IIb | 3 | (12.5%) | 1 | (33.3%) | 2 | (66.7%) | 1.000‡ |
| Stage III | 21 | (87.5%) | 6 | (28.6%) | 15 | (71.4%) | |
| Cyclin D1 extent | |||||||
| Positive | 24 | (100%) | 7 | (29.2%) | 17 | (70.8%) | --- |
| DJ1 extent | |||||||
| Positive | 24 | (100%) | 7 | (29.2%) | 17 | (70.8%) | --- |
| Cyclin D1 extent /DJ1 extent | |||||||
| +ve/+ve | 24 | (100%) | 7 | (29.2%) | 17 | (70.8%) | --- |
| Cyclin D1 intensity | |||||||
| 2 | 11 | (45.8%) | 0 | (0%) | 11 | (100%) | 0.006‡ |
| 3 | 13 | (54.2%) | 7 | (53.8%) | 6 | (46.2%) | |
| DJ1 intensity | |||||||
| 2 | 8 | (33.3%) | 0 | (0%) | 8 | (100%) | 0.054‡ |
| 3 | 16 | (66.7%) | 7 | (43.8%) | 9 | (56.3%) | |
| Cyclin D1 intensity/DJ1 intensity | |||||||
| 2/2 | 8 | (33.3%) | 0 | (0%) | 8 | (100%) | 0.006§ |
| 2/3 | 3 | (12.5%) | 0 | (0%) | 3 | (100%) | |
| 3/3 | 13 | (54.2%) | 7 | (53.8%) | 6 | (46.2%) | |
| Cyclin D1 overexpression | |||||||
| Negative | 7 | (29.2%) | 7 | (100%) | 0 | (0%) | <0.001‡ |
| Positive | 17 | (70.8%) | 0 | (0%) | 17 | (100%) | |
| DJ1 overexpression | |||||||
| Negative | 5 | (20.8%) | 5 | (100%) | 0 | (0%) | <0.001‡ |
| Positive | 19 | (79.2%) | 2 | (10.5%) | 17 | (89.5%) | |
Categorical variables were expressed as number (percentage);
Chi-square test;
p < 0.05 is significant.

Bar chart shows percent of relapse among different studied subpopulation of prostatic carcinoma patients.

Bar chart shows percent of hormone refractory relapse among different studied subpopulation of prostatic carcinoma patients
The clinicopathological parameters in the form of high GS, large tumor size and higher stage were statistically significantly associated with disease relapse (p < 0.001). However, this association was lost in the case of cyclin D1 extent (p < 0.15). Moreover, the same findings were detected in the case of overexpression and intensity of both cyclin D1 and DJ-1 (p < 0.001) (Table 3).
In addition, there was no statistically significant association with GS, tumor size, stage and hormone refractory (p = 1.000). Meanwhile, those associations were regained with the overexpression and intensity of both cyclin D1 and DJ-1.
DJ-1 was more sensitive than cyclin D1 in predicting PC diagnosis (80%, 70%, respectively). However, cyclin D1 was more specific (100%) (p = 0.000) (Figure 4, 5).

ROC curve for sensitivity and specificity of cyclin D1 in prediction of prostatic carcinoma

ROC curve for sensitivity and specificity of DJ-1 in prediction of prostatic carcinoma
Both environmental and genetic factors may be implicated in increasing the diagnosis of PC. The clinical course ranges from indolent behavior to highly aggressive that ultimately causes significant morbidity and even death.[10] To achieve the best treatment, we need proper histopathology diagnosis via an adequate tissue sample.
The cell cycle regulators have been involved in many types of cancer including PC and associated with tumor aggressiveness and poor prognosis.[11]
Cyclin D1 is a nuclear protein that is involved in shortening the G1 (growth) –S (synthesis) transition. Its overexpression is considered an oncogene, as it leads to uncontrolled cell growth and transformed into a malignant phenotype. As we know that cyclin D1 can control the mitogenic signaling, either the strength or duration. There is data available on the relationship between the low or undetectable level of cyclin D1 and the level of PSA. Thus, in PC, the potency of cyclin D1 to curb AR activity seems to be lost, reflecting the role of AR in tumor initiation and progression.[12]
The relationships between PC and overexpression of cyclin D1 are challenging. Some studies have revealed that cyclin D1 overexpression in PC is rare, where others showed the association with aggressive disease behavior and overexpression.[13,14,15]
In our study, cyclin D1 immunostaining was detected in 95% of PC group and was not detected in BPH group (0%), which is in agreement with a study done by Ueda et al.[16] In another retrospective study on 100 prostatic specimens, which divided into 50 cases were BPH and 50 cases were PC, Qahtani et al. demonstrated that cyclin D1 overexpression was detected in 45 specimens out of 50 PC specimens (90%), while only 16% was focally positive in BPH group.[17]
On the other hand, our results contradict some other studies that revealed cyclin D1 overexpression was detected in the range of 22% up to 11% of PC cases.[18,19]
DJ-1 is a diverse signaling protein associated with multiple cellular processes, such as cellular transformation, response to oxidative stress, and androgen-receptor signaling.[20] It acts as a negative regulator of PTEN gene, leading to tumor proliferation, invasion, and distance metastasis. It increased in response to increased ROS (reactive oxygen species) levels.[21]
As regards DJ-1 immunostaining, our presenting results showed that 85% of PC was positive, compared to 2.5% was positive in BPH group; these findings are inconsistent with other earlier studies.[22,23] The meta-analysis involved fourteen studies including 1,947 cancer patients and revealed that DJ-1 was an important biomarker in tumor evaluation and outcome.[24]
The findings of our study provided that involvement in cyclin D1 and DJ-1, and in all the studied stages of PC compared to BPH. In addition, we found a significant association with the extent, the intensity, and overexpression of cyclin D1 and DJ-1 in PC, and BPH patients suggesting that they could be used as biomarkers for early detection of PC.
This is supported by an early study done by Lee et al., which showed that the mutation of many cell cycle regulating proteins was involved in the initiation of PC to late stage of disease progression.[25] In addition, these results are close to the other previous studies.[22,23]
In addition, we found a significant association with cyclin D1/DJ-1 overexpression with tumor size, stage, and GS > 7. Moreover, similar results validated the same association and were reported by many studies.[17,26,27] On the other hand, this association was not proved in many earlier studies.[9,14,16,24,28]
Sensible explanations were suggested to prove that these differences are sample size, technical varieties of biopsy taking, staining type (cytoplasmic vs nuclear) and scoring system.
Our data showed that overexpression of cyclin D1 and DJ-1 was associated with treatment failure in the form of relapse, hormonal refractory or distance metastasis. Moreover, the same results were obtained from a study done by Drobnjak et al., who reported that cyclin D1 overexpression was associated with bone metastasis in PC.[13]
In the PC group, the sensitivity and specificity of cyclin D1 expression were 70% and 100%, respectively, while in a retrospective study done by Atta et al., on 60 cases of PC were 93.3% and 86.6%, respectively. In addition, they were 80% and 95% respectively for DJ-1 expression, while by Osman et al., they were 93.33% and 86.67%, respectively.[23]
Can we use these results of clinical practice to help in diagnosis in special cases? Actually, the answers need more verification and more investigations.
Based on cross-talk between antioxidant systems, targeting both DJ-1 and thioredoxin (antioxidant system found in all species) may be an effective new anticancer therapy.[29] Recently, in 2016, Imrali et al. reported synergistic effect between rapamycin and cisplatin in the presence of high cyclin D1 level in PC.[30]
From a practical point of view and owing to their role in tumor initiation and progression, targeting cyclin D1 and DJ-1 is considering a promising option on the era of molecular medicine.
Besides the small sample size, the retrospective studies are always criticized due to incomplete data, probability of selection or information bias, and for depending totally on medical documentation. The data on risk factors such as smoking or cancer history either family or past history were not available almost in all medical files. Also, the survival analysis was difficult to be evaluated.
Previous studies were focused mainly on the prognostic value of cyclin D1 and DJ-1 in PC. In our study, besides the prognostic value, there was statistically significant staining and overexpression of cyclin D1 and DJ-1 in PC in relation to BPH. Cyclin D1 had 70% sensitivity while DJ-1 had 80%, which made them markers for diagnosis in difficult cases such as limited tissue sample, small foci of carcinoma, or benign mimics of prostate cancer. We need to think out of the box to define nontraditional diagnostic and prognostic markers rather than the current parameters; PSA level, GS, and tumor stage for better precise care protocols.