Many people seeking dental treatment are concerned with esthetics because the changes in the shape, position and color of the teeth affect their smile harmony (1,2). Whitish enamel discolorations (fluorosis, traumatic hypocalcification and hypoplasic molar-incisive syndrome) or enamel hypoplasia are conditions caused by disturbances in enamel development. All these conditions are associated with a reduction of the enamel mineral phase, altering its chemical composition and, consequently, its optical characteristics (3,4,5).
Enamel hypoplasia develops as a result of some abnormalities in the formation of the organic matrix of the enamel during amelogenesis (6,7,8,9). Clinically, a reduced amount of enamel matrix may produce spots, depressions, grooves, and fissures depending on the degree of disturbance to which the tooth was subjected. This disorder usually occurs bilaterally, both on the labial and lingual surfaces, mostly at the middle third of the crown, followed by the cervical and incisal/occlusal areas.
Proposed treatments for enamel hypoplasia range from invasive ceramic veneer/crown restorations to abrasive chemical treatments for improving aesthetics of white spots lesions (8,9,10). Some conventional approaches for the treatment of enamel hypoplasia such as: topical application of remineralizing agents (5, 6), microabrasion (5), and bleaching (11, 12) represent attempts to reverse enamel demineralization and/or to improve tooth appearance. On the other hand, the restorations with extensive tooth reduction are not highly recommended because of the excessive removal of the tooth structure and destruction of the teeth at an earlier age. For this reason, improved materials and techniques have been developed to remove or mask discoloration of teeth and solve these unaesthetic conditions (11,12,13,14).
A resin infiltrant (ICON, DMG, Hamburg, Germany) is a new material released in the dental market for masking the enamel whitish discolorations (8, 14,15,16). This is a low-viscosity resin that penetrate, by capillarity, through the pores of the demineralized or hypomineralized enamel, altering the refractive index (RI) of the tooth structure and totally or partially masking the appearance of the enamel whitish discolorations (17, 18). The resin infiltrant fills the pores and change the optical propreties of the tooth, with no tooth reduction.
Therefore, two case reports aimed to show the treatment of a 33-year-old and a 25-year-old female patient with aesthetic concerns in the maxillary anterior teeth using sequentional techniques of minimaly invasive procedures for masking hypoplastic white spots.
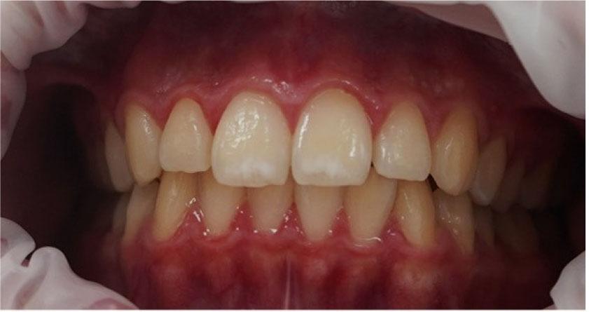
A 33-year-old and a 25-year-old female patient were admitted to the Specialized Dental Center of University of East Sarajevo, dissatisfied with their smile because of the presence of white spots on the maxillary anterior teeth. The patients were healthy, with no systemic diseases. The clinical examination of both patients revealed the white spots on teeth 11 and 21 in case 1 and on teeth 11, 21 and 31 in case 2 (FDI), which were diagnosed as enamel hypoplasia (Figure 1b and Figure 10). Vita color shade was determined to be A3 in case 1 and A3.5 in case 2. The light of the photopolymerization device was positioned on the palatal aspects of the affected teeth to verify the depth of the lesions (Figures 2a and 2b). During the treatment planning, three minimally invasive treatments were selected: high-concentration dental bleaching, microabrasion, and the use of resin infiltrant for both patients.

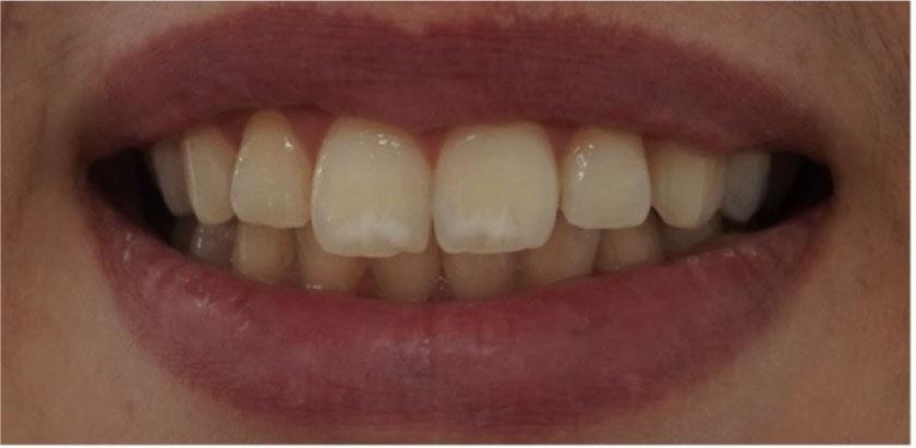
Extraoral view of initial aspect of enamel hypoplasia. White spots in the incisal margins of teeth 11 and 21 observed.

Extraoral view of initial aspect of enamel hypoplasia. White spots in the incisal margins of teeth 11 and 21 observed.

LED light source applied to the palatal aspects of incisors to assess the depth of the white spot lesions, verified through its sharpness. a) Tooth 11; b) Tooth 21.
One of the aims of bleaching is to reduce the contrast between the white spots and the other unaffected areas of the tooth, improving the esthetic perception of color (Figures 3, 4 and 11). Therefore, the first performed treatment was in-office tooth bleaching with 40% hydrogen peroxide (Opalescence™ Boost™, Ultradent Products Inc, South Jordan, UT, USA). Three sessions of tooth bleaching were performed following the manufacturer's recommendations, with a 1-week interval between the sessions.

In-office bleaching performed in the maxillary and mandibular arches using 40% Opalescence™ Boost™ bleaching gel

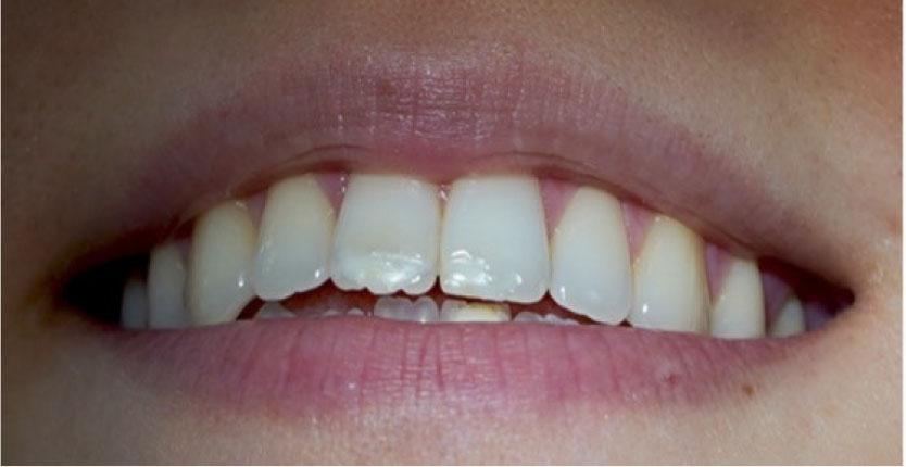
Photograph of the final aspect after three in-office bleaching sessions

Photograph of the final aspect after three in office bleaching sessions
First, the soft tissues of the patients were protected with an oral self-supporting lip/cheek retractor (Ultradent Umbrella™ retractor, Ultradent Products Inc, South Jordan, USA). A gingival barrier, using a light-polymerized resin dam (Opal Dam, Ultradent Produtos Inc, South Jordan, UT, USA) was applied to the gingival outline between the first upper right and left premolars in order to prevent any mucosal irritation or injury (Figure 3). Next, the bleaching gel was applied, without involving the white spots, for 20 minutes. The gel was aspirated, the teeth were washed with abundant water and the gingival barrier was removed. There were no sensitivity and inflammation in her soft tissues after the treatment. The procedure was repeated after 1 and 2 weeks respectively. The patients were informed that a period of 3 weeks was necessary between the bleaching sessions and the resin infiltration procedures.
According to Mondelly et al. (19), the abrasive agent, formed by the 1:1 mixture of 37% phosphoric acid (Ultra-Etch, Ultradent Produtos Inc, USA) and pumice stone was applied on the labial surfaces of the upper central incisors. After isolating the teeth with the rubber dam, two sessions of 10 applications of the abrasive agent were performed in each spot for each patient (Figure 5 and 12). The abrasive agent was initially aided by a wooden spatula and later by rotating movements of the rubber cup was compressed over the spot for 10 seconds. After each application, it was washed off for 20 seconds and the teeth were polished with superfine soflex disc (3M) and Diamond Mint polishing paste (Ultradent Produtos Inc, USA). After the enamel microabrasion, the transparent and neutral 2% fluoride gel (Flúor Gel, Maquira Indústria de Produtos Odontológicos) was applied for 4 minutes. Also, two sessions were done because of the depth of the enamel defect and the need to change the color of teeth to A2 in both cases.

a) Procedure performed manually with a wooden wedge/spatula and 37% phosphoric acid + pumice stone. b) Microabrasion performed with rotating instrument: rubber cup associated with 37% phosphoric acid paste + pumice stone.

a) Procedure performed manually with a wooden wedge/spatula and 37% phosphoric acid + pumice stone. b) Microabrasion performed with rotating instrument: rubber cup associated with 37% phosphoric acid paste + pumice stone.
In the last session, a resin infiltrant (Icon, DMG, Hamburg, Germany) was used to further enhance the appearance of the white patch that remained after the microabrasion. The procedure was performed on the same day as the last microabrasion session according to the manufacturer's instructions. After isolating the teeth with the rubber dam, 15% hydrochloric acid gel (ICON-Etch; DMG, Hamburg, Germany) was applied for 2 minutes specifically over the enamel surface of the affected teeth to remove the surface layer less than 30 to 40 μm (Figure 6 and 13). After acid etching, the area was washed for 30 seconds and air dried with the air-water syringe for 15 seconds. According to the protocol, three Icon-etch applications were required.

Aplication of 15% hydrochloric acid (Icon-etch)

Aplication of 15% hydrochloric acid (Icon-etch)
After etching procedure, the lesions were exposed to the agent composed of 99% ethanol (ICON-Dry; DMG) for 30 seconds to remove the water retained in the microporosities of the enamel (Figure 7 and 14). At the moment of applying ethanol, the color change in the white spot lesion was confirmed with ethanol penetration.

Aplication of the agent composed of 99% ethanol (Icon-dry)

Aplication of the agent composed of 99% ethanol (Icon-dry)
After dessication of ethanol, an infiltrant resin (ICON-Infiltrant; DMG) was applied carefully and specifically over the tooth surfaces with the proper applicator, letting it rest for 3 minutes for inside penetration (Figure 8 and 15). Excessive resin was wiped away from the surfaces and the proximal spaces. After two applications, the infiltrant was polymerized for 40 seconds to be retained in the microporosities. Applying the infiltrant resin was repeated to compensate the shrinkage after polymerization. The surfaces of teeth were polished with polishing discs (Sof-lex disk; 3M ESPE, Saint Paul, MN, USA).

Application of resin infiltrant (Icon)

Application of resin infiltrant (Icon)
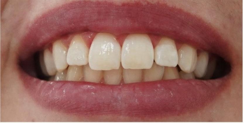
After treatment completion, the coloration of white opacities has improved in both maxillary anterior teeth in both patients (Figure 9 and 16), promoting benefits and consequently returning esthetics to the dental elements affected.

Final result after completing the sequential technique

Final result after completing the sequential technique
The patients were examined six months post-treatment, demonstrating the enduring efficacy of ICON resin infiltration. This intervention effectively masked white spot lesions, resulting in a seamless and long-lasting aesthetic improvement (Figures 17 and 18). The patients expressed significant satisfaction with the treatment outcomes, attributing it to its minimally invasive procedure, minimal discomfort, and aesthetically pleasing results.

Clinical follow-up after 6 months in case 1

Clinical follow-up after 6 months in case 2
The success of different treatment plans proposed for treating enamel hypomineralization cases depends on the severity of the defect (20). The case reports showed the whitish symmetrical left and right spots on the upper anterior teeth indicating that the abnormality originated from the stage of growth and development and followed by loosing enamel in certain parts. So this disorder can be summarized as enamel hypoplasia type II (21).
When the enamel hypoplastic lesions are mild and the whitish spots are located on the buccal incisal third, the proper care could be done by performing a sequential minimally invasive procedures for esthetic resolution in anterior teeth. Most clinical reports aimed at conservative management of those defects incorporating different interventions such as teeth bleaching, enamel micro abrasion, and resin infiltration in their treatment plans. The main difference between these reports is the sequence with which these interventions were used (7, 8, 18, 20, 22, 23).
At the end of the 2000's, the investigations on etching efficacy over the hypermineralized surface enamel and the development of a material with a higher penetration coefficient, called infiltrant, expanded the clinical use of the technique, both for caries arrestment and masking enamel whitish discolorations (16, 17, 22). Resin infiltration is based on the hydrochloric acid erosion of the lesion surface and posterior infiltration of a low-viscosity resin into the intercristaline spaces of hypocalcified or demineralized enamel (15,16,17,18). This alters the refractive index (RI) of the porous enamel, formerly filled with air (RI=1.00) or water (RI=1.33), since the infiltrated resinous material shows a RI (1.52) closer to hydroxyapatite (1.62) (22). As a consequence, the optical characteristics of the affected enamel are altered and it seems like the surrounding sound enamel (15). In teeth with enamel hypoplasia the masking effect is usually achieved immediately after resin infiltration as a consequence of the penetration of a low-viscosity photopolymerizable resin within hypoplastic enamel porosities (24).
Although the new product ICON was created initially to be used in caries lesions at their initial stage, the clinical trials by Tirlet et al (18) reported the use of resin infiltration for white spot lesions from other etiologies, such as the hypoplastic spots reported in the present study. The authors reported success in their cases, with the optical properties of the resin infiltration used to mask the lesion. However, in some cases the success has not been achieved only with resin infiltration application and required a microabrasion (24). Thereby, the amount of enamel removed is related directly to the technique, type of acid applied, and number of applications. The visualization of white spots becomes evident when the tooth is dry, requiring humidification during the microabrasion procedure (24, 25).
In order to prevent the excessive abrasion of tooth enamel, in these clinical cases only two microabrasion sessions with phosphoric acid and pumice stone were done, showing significant improvements (8, 19). In spite of that, the white spots were not completely removed due to the depth of the enamel defect, especially in case 2. Also, in previous case reports (8, 26), it was shown that the complete removal of the enamel defects was not possible only with microabrasion and they used direct composite restorations to mask the enamel defects. Also, the additional diamond bur micro abrasion procedures still remove less enamel compared to conventional preparations for resin or ceramic veneers. In general, the objective was to treat the teeth with minimally invasive procedures in order to contribute to a greater longevity of teeth and prevent them from relapsing into the repetitive restorative cycle.
In-office bleaching tooth was used in our case additionally and no sensitivity was reported after the treatment. Tooth bleaching was performed initially to reduce the discrepancy between white spots and the other areas of the tooth affected (18, 27).The bleaching gel was not applied over the enamel white spot, since there is no evidence of how dental bleaching acts on tooth color (28). As observed in these clinical cases and reported by Auschill et al, (27) and by Oliveira et al, (8) in cases that the white spot is deeper, bleaching alone is not sufficient to mask it, requiring the adjunctive support of other minimally invasive techniques.
Performing a sequential technique of minimally invasive procedures provides the minimization of the coloration of white opacities and preserves most of the tooth structure (27,28,29). This tretment option could be recommended in cases with superficial white spots but concerns still exist about the durability of esthetic results because of staining and aging of the low-viscosity resin over the time.
The resin infiltration technique seems to be a feasible option for color masking of enamel whitish discolorations, resulting both from white spot lesions and enamel development defects. Nevertheless, there is no strong evidence supporting the clinical recommendation of the technique. Further long-term randomized controlled trials, with a larger sample size and longer follow-up time should be approached to increase this evidence.