Skeletal class II division 1 malocclusion is primarily characterized by maxillary protrusion, mandibular retrusion or a combination of both (1,2). Some studies found that the maxilla in Class II division 1 patients was in a protrusive position in relation to the cranial base, and the mandible was normal in size and position (3). Other studies demonstrated a normal position of the maxilla while the mandible was retrusive (4,5,6). On the other hand, a few previous studies reported that the skeletal pattern in Class II/1 patients is due to both maxillary protrusion and mandibular retrusion (7,8). Also, the common characteristics of this malocclusion include the normal or proclined maxillary incisors and the normal, proclined or even retroinclined mandibular incisors (9,10). Furthermore, some studies (11,12) found an increase in lower facial height in most of the subjects, while other studies reported that the lower facial height was significantly reduced (7,13). These typical features of Class II/1 may affect facial appearance causing a convex profile, non-aesthetic facial proportions and occlusal disharmonies and may result in negative psychological impacts and functional problems in adult patients (14).
Treatment modalities for this group of patients are different depending on the age and the severity of the case. In adult patients with skeletal class II division 1, where the discrepancy is very severe, orthodontic and orthognathic surgery combined are often necessary to ensure an appropriate treatment (15,16,17). Prosthodontic treatment for these patients may be a challenge due to the skeletal discrepancies of the maxilla and the mandible (18). In these cases, orthognathic surgical procedures could correct severe skeletal problems and simplify the prosthodontic phase of treatment without damaging the tooth structure (19). For these reasons, a comprehensive multidisciplinary approach including orthodontists, oral and maxillofacial surgeons and prosthodontists is needed to reestablish facial and dental harmony, occlusal function as well as health and stability of the orofacial structures (20).
The objective of this case report was to present multidisciplinary cooperation in treating a patient with Angle class II division 1 in order to improve his facial appearance, self-confidence and provide functionally acceptable result.
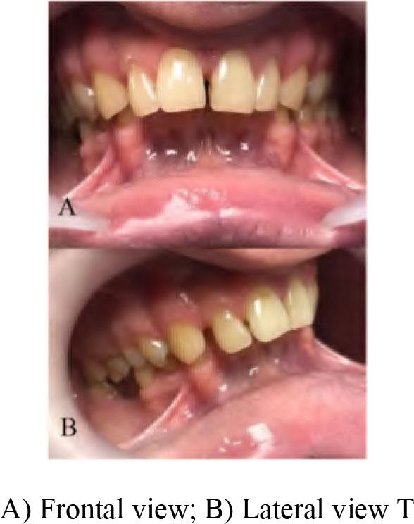
A 45-year-old male patient was referred to the Department of Prosthodontics, Faculty of Medical Sciences, University of Kragujevac with a chief complaint of protruded maxillary anterior teeth, teeth malalignment, unpleasant aesthetics and difficulty in chewing. The patient had no history of any medical problems. Extraoral examination revealed a convex profile with mild mandibular retrusion, an obtuse nasolabial angle and an everted lower lip. There was no masticatory and facial muscle hyperactivity and no signs of temporomandibular disfunction (TMD). On intraoral examination a severe deep-bite and an increased overjet with anterior maxillary protrusion were detected (Figure 1).

Initial oral examination.
The anteroposterior discrepancy of the anterior teeth was very severe and the mandibular incisal edges were occluded with the palatal tissues in the opposing arch. An overbite of 9 mm and an overjet of 12 mm were observed. There was clinical evaluation of reduced VDO. The patient’s interocclusal space that was measured between nose and chin tips was 8–9 mm (the difference between physiologic rest position of the mandible and VDO). Furthermore, facial analysis revealed that the maxillary midline was coincident with the facial midline but there was slight deviation of the mandibular midline to the right. Steiner cephalometric analysis was done. The angle of the ANB is greater than 4, by measuring it is 6. The angle of I/Spp is less than 70, by measuring it is determined to be 63. With this analysis, we determined that it is a skeletal irregularity of the II skeletal class with protrusion of the upper incisors. The patient was diagnosed as an Angle Class II division 1 malocclusion.
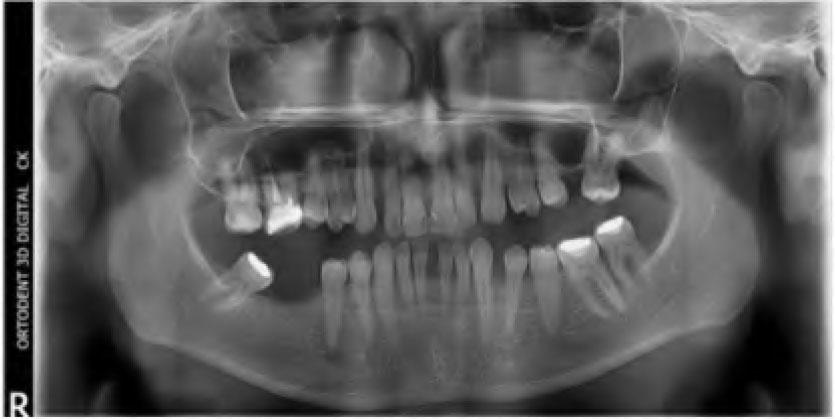
Intraoral and radiograph examination verified that 26 and 46 were missing and the endodontic treatment of 16 was no adequately performed. Caries lesions were found on the mesial surfaces of 11, 21 and 12. There was no pocket depth of over 2 mm or mobility around any of the remaining teeth. Panoramic radiograph confirmed that all the maxillary and mandibular teeth had favorable crown/root ratio of 2:3 (Figure 2). The patient’s oral hygiene was good.

Panoramic radiograph before treatment
The treatment plan was formulated in consultation with an orthodontist and a maxillo-facial surgeon. The first treatment plan offered to the patient was the osteotomy in the upper jaw to move the whole anterior maxillary segment upward and backward with surgical mandibular advancement in the lower jaw. However, the patient was scared of the surgical procedure, so this option was excluded. The other option was the retraction of the upper anterior segment and dental alignment using orthodontic fixed appliances in the upper and lower jaws. Furthermore, full mouth rehabilitation with all-ceramic fixed dental prostheses (FDPs) was planned after the orthodontic treatment in order to provide the desired esthetic and functional result. Also, in this case with the reduced VDO, we considered increasing the VDO since it provides space for the restorative material and enhances the esthetic tooth display, allows the correction of anterior teeth relationships, improves horizontal and vertical overlap, improve lip support and allows the re-establishment of physiologic occlusion (21). As there was clinical evaluation of reduced VDO, full mouth rehabilitation with all-ceramic restorations was planned after the orthodontic treatment.
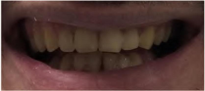
The patient gave written informed consent before the treatment. Fifteen months after the orthodontic treatment (Figure 3), the maxillary incisors were retruded by 2 mm, the mandibular incisors were protruded by 1 mm, leveling of the occlusal plane of the upper and lower dental arch by 0.5mm according to cephalometric analysis. Facial convexity was also reduced with the retraction of upper lip and marked improvement in aesthetics and function was obtained. Although, there was improvement in the anteroposterior dimension with a decreased overjet, the VDO was reduced. The patient was provided with removable vacuum-formed retainers in the maxilla and mandible. The thickness of the retainers was 2 mm. Retainers have been used for 2 months. The patient’s muscle sensitivity and temporomandibular pain were evaluated in this period. No muscle hyperactivity or TMD was found.
Figure 3. Initial preoperative view after the orthodontic treatment
At the first stage of prosthetic rehabilitation, the proper VDO was determined by the Niswonger method (22). The distance between nose and chin tips was measured at the physiologic rest position and compared to the VDO at the centric relation position. The patient’s freeway space was 8–9 mm (difference between the physologic rest position and VDO). This method was verified with the closest speaking space method (23). Furthermore, the upper and lower impressions were made in alginate (irreversible hydrocolloid) and the diagnostic casts were poured in dental stone (type IV). The casts were mounted on semi-adjustable articulator (Bio-Art A7plus) using a standard face-bow record and an interocclusal record with occlusal registration material (Occlufast rock, Zhermack, Germany). The new VDO was set by approximately 4 mm increase in the incisal guidance pin of the articulator. We followed the rule called a 1:2:3 relationship (24). According to this rule, for each 1 mm that the VDO is increased vertically in the posterior region, the incisal pin of the articulator should be increased vertically by 3 mm. For this reason, the VDO was increased posteriorly by 1.3 mm and the incisal pin of the articulator was increased by 4 mm. Diagnostic wax-up was done at increased VDO and used for fabricating the provisional restorations. Then, the maxillary and mandibular teeth were prepared following principles of tooth preparation (25) with the shoulder of 1 mm wide as a gingival finish line. Provisional restorations were made using the over-impressions that were produced from the diagnostic wax-up. The provisional restorations were cemented with temporary cement (Temp-Bond, Kerr, Switzerland) and the patient’s adaptation has been monitored for 2 months (Figure 4).

Provisional restorations fabricated at the increased VDO
During this period, the patient’s mastication, muscle sensitivity, temporomandibular pain and phonation were evaluated. No muscle hyperactivity or TMD was detected. Furthermore, the final impressions of the maxillary and mandibular arches were taken with polyvinil-siloxane impression material (I SiL-A-Silicon, Spident, Korea) using one-step technique (Figure 5).

Final impression made in polyvinyl-siloxane using one-step technique
The relationship of the maxillary teeth to the transverse horizontal (hinge) axis was recorded using the arbitrary facebow. The diagnostic casts (Figure 6 and 7) were mounted on a semi-adjustable articulator using a face-bow record and a centric relation record replicating the relationship between the maxillary and mandibular arches. Furthermore, the frameworks milled from solid zirconia blocks (Vita In-Ceram) were tried-in.

Working maxillary (right) and mandibular (left) casts

Working maxillary (left) and mandibular (right) casts
The fixed dentures were made as 6 units all-ceramic FDP (13–23), 4 units all-ceramic FDP (24–27), 3 units all-ceramic FDP (14–16) and 1 all-ceramic crown on 17 in the maxilla. In the lower jaw, the units were connected as 7 units all-ceramic FDP (33–44), 3 units all-ceramic FDP (45–47) and 4 units all-ceramic FDP (34–37).
Then, the appropriate shade was selected using 3D-Master VITA guide (Vita Easyshade Compact, Vita Germany). Porcelain layering was made with porcelain VITA VM (9) (Vita Zahnfabric, Germany) (Figure 8 and 9).

6 units all-ceramic FDP (13–23), 4 units all-ceramic FDP (24–27), 3 units all-ceramic FDP (14–16) and 1 all-ceramic crown on 17 in the maxilla

All-ceramic FDP on dental cast model - frontal view
At the final step, porcelain try-in of the maxillary and mandibular fixed dental prostheses (FDPs) were done in the patient’s mouth. Interocclusal adjustments were performed in the intercuspal position, protrusive and lateral movements. FDPs were cemented with a dual cure luting composite resin (Multilink Speed, Ivoclar) (Figure 10 and 11). The mutually protected occlusion was established as the concept of occlusion (Figure 12). The patient was provided with a night guard. Oral hygiene instruction and regular check-up were administered. Panoramic X ray was taken after two years follow-up period (Figure 13). Analyzing the radiograph images before and after treatment, bone rarefaction zones in the area of the lower incisors were found on the post-treatment panoramic X-ray. Although the described changes were observed on the radiograph image, there were no clinical signs of insufficient periodontium in the lower anterior region.

Final result of 6 units all-ceramic FDP (13–23), 4 units all-ceramic FDP (24–27), 3 units all-ceramic FDP (14–16) and 1 all-ceramic crown on 17 after cementation

Final result of 7 units all-ceramic FDP (33–44), 3 units all-ceramic FDP (45–47) and 4 units all-ceramic FDP (34–37) after cementation

Final result after cementation all-ceramic FDPs in the maxillary and mandibular arches

Panoramic radiograph after treatment
An interdisciplinary approach during the planning of the treatment in patients with Angle class II division 1 is very important for establishing normal facial profile, good occlusion and function. In the present case, surgical-orthodontic treatment could be very good option producing harmonious facial, skeletal and soft tissue relationships and good occlusal function. However, orthognathic reconstruction might have disadvantages including the costs, a wide variety of intraoperative and postoperative complications and length of recovery. Also, the patient was young and preferred to have a non-surgical treatment. For this reason, to restore dentition and improve the facial appearance, the combined orthodontic and prosthetic treatment was suggested to the patient.
In the present clinical case, comparing the initial and post orthodontic result, it was noticed that there was an improvement in the skeletal and dental aspects with a greater reduction of overjet. However, the VDO was reduced and the patient’s freeway space was 8–9 mm. With an orthodontic treatment, it is possible to extrude the posterior teeth and increase the VDO and different orthodontic appliances can be used for this purpose (26, 27). However, some of them showed serious mechanical and biological side effects (28) and some were of questionable effectiveness (27). In this case, in order to reduce the orthodontic treatment time (the treatment time was only 15 months), we initially made two stages treatment plan. Firstly, we wanted to retract the upper anterior segment and align the teeth using orthodontic fixed appliances in the upper and lower jaws. Secondly, we wanted to restore the reduced VDO by full mouth rehabilitation with all-ceramic FDPs.
Previous studies showed that increasing VDO by restorative procedures should be performed cautiously, because any alteration of the VDO will subsequently interfere with the physiology of the masticatory system and the patient’s ability to adapt (29, 30). Increasing the VDO may result in hyperactivity of the masticatory muscles, elevation in occlusal forces, bruxism and TMDs (29,30,31). On the other hand, some authors have reported that such symptoms are transitory (31,32,33). In the present case, increased VDO was tested first with removable vacuum-formed retainers worn for 2 months as a diagnostic tool to evaluate patient’s adaptation to the altered VDO. TMD or muscle pain were not observed during this period. Secondly, at the first stage of prosthetic rehabilitation, the patient was provided with temporaries at the increased VDO. Also, the patient’s adaptation has been tested for 2 months in accordance with previous studies indicated that the testing period of increased VDO with provisional restorations could be 2–6 months (34, 35) and no muscle hyperactivity or TMD was detected. Eventually, full mouth rehabilitation including the fabrication of all-ceramic FDPSs in the maxilla and mandible was done and both the facial appearance and the occlusion were significantly improved at the end of the prosthetic rehabilitation. This treatment option was chosen because of a possible shifting of the teeth after the orthodontic treatment and orthodontic relapse that can occur as a result of forces from the periodontal fibers around the teeth which tend to pull the teeth back towards their pretreatment positions as it has been discussed widely in the literature (36, 37). The units of fixed dentures were connected to maintain the teeth in the position they were in at the end of orthodontic treatment. On the other hand, despite extensive materials and technique developments, the chipping of the veneering layer in zirconia-based crowns is still not fully solved. There are many factors that could be associated with chipping fracture of layered zirconia, but residual and transient thermal stresses seem to be the most significant factors, which cannot be clinically evaluated (38). Some studies indicated the importance of the design of the FDPs and postulated this to modulate the risk of veneering chipping, so more teeth that are in block construction and individualized design of the framework according to each clinical has been proposed in an attempt to give good support to the veneering ceramic layer (39, 40). Layered zirconium compared to monolithic has better aesthetic characteristics, and also the fact that in this case, for orthodontic reasons, more teeth are connected to the block, this type of FDP was chosen.
In this case, after 2-years follow-up period, bone rarefication zones were found in the area of the lower incisors on the post-treatment X-ray. It can be explained by orthodontic movement of teeth.
Similar prosthetic rehabilitation with all-ceramic FDPs was done in case report conducted by Escalante (41). In the mentioned case, a patient had Class II division 2 and decreased VDO, as well. Increase of VDO was 2 mm with fullmouth open bite splint, that patient has worn for a total of 6 weeks. After the patient’s well toleration and adaptation to new VDO, final prosthetic rehabilitation was done in both dental arches with monolithic zirconia crowns. For the presented case, we chose all-ceramic system (zirconia) as a material for definitive prosthetic rehabilitation of the upper and lower arches due to its excellent aesthetic characteristics, ability to mimic natural tooth color, which is the primary advantage, and good mechanical properties, as well. Also, zirconia was used in other similar studies (42, 43).
Although, orthognathic surgery can play an important role in the correction of maxillary and mandibular protrusion or retrusion to achieve improved occlusion and facial profile, when patients cannot accept optimal dental treatment, compromises in the treatment plan are necessary. However, specific prosthodontic principles should be observed. In the present clinical report, as a result of complex treatment, the patient was successfully rehabilitated and the anteroposterior discrepancy between the dental arches was corrected. The patient was very happy and satisfied with the treatment done for him.
Combined orthodontic and prosthetic treatment can be a good option in the complex treatment of patients with skeletal class II division 1 malocclusion providing functional rehabilitation of the stomatognathic system and improving facial appearance and the quality of life of the patient.