Cowden syndrome (CS), also known as PTEN hamartoma tumor syndrome (PHTS), is a rare autosomal dominant disorder caused by germline mutations in the PTEN gene located on chromosome 10q23.3 (1). The PTEN gene encodes a tumor suppressor protein that plays a critical role in maintaining genomic stability, regulating cell proliferation, and facilitating apoptosis (2). Loss-of-function mutations in PTEN disrupt these processes, leading to the unregulated growth of cells and the development of hamartomas and malignancies across multiple tissues (3). The PTEN gene negatively regulates the PI3K/AKT signalling pathway, essential for cell growth and metabolism. Germline PTEN mutations are heterogeneous, including nonsense, missense, and splice-site variants, with over 300 mutations described (4). These mutations cause variable expressivity and incomplete penetrance, even among family members (5). De novo mutations are identified in 10–20% of cases (1). CS is part of the PTEN hamartoma tumor spectrum (PHTS), which includes Bannayan-Riley-Ruvalcaba syndrome (BRRS) and Lhermitte-Duclos disease (5). The clinical manifestations of CS are diverse, involving hamartomas in the skin, thyroid, gastrointestinal tract, and other tissues (1). Genotype-phenotype correlations in PTEN disorders show significant variability caused by mutations and phenotypic interactions (4,5).
This case series involves members of a nonconsan-guineous Serbian family. Detailed exploration of the family tree revealed that at least five family members exhibited clinical presentations consistent with CS. These manifestations included recurrent benign tumors, atypical vascular malformations, and hamartomatous lesions involving soft tissues and internal organs (Figure 1).

A Magnetic resonance imaging (MRI) of the thigh showing a tumor within the vastus lateralis and medialis muscles, Patient 1; B Intraoperative findings during excision of the tumor from the medial aspect of the distal thigh, Patient 1; C Tumor in the left inguinal region, Patient 1; D Completely excised tumor from the left inguinal region, Patient 1; E Tumor located in the left paraspinal region, Patient 2; F Magnetic resonance imaging (MRI) of the lumbar region reveals a paraspinal lipomatous lesion involving the musculature and aponeurotic structures, Patient 2; G Tumor recurrence in the left paraspinal region at the site of the postoperative scar, Patient 2; H Presence of subcutaneous soft tissue tumors in the siblings’ grandfather, Patient 4.
The first family member brought to medical attention was an 8-year-old girl, the third child from a regularly monitored pregnancy. She was born at term via natural delivery, with a birth weight of 3200 g and Apgar scores of 9 and 10. The patient initially presented in December 2016 to the surgical outpatient clinic with a noticeable lesion in the right axillary region. On examination, the lesion measured 4 cm in diameter and was circular and localized. Ultrasound revealed a prominent mass in the right anterior axillary line consistent with fatty tissue, with no involvement of underlying bone or muscle structures.
The lesion was closely monitored, but after significant growth was noted, it was surgically excised in March 2017. The excised mass measured 6 × 5 cm, and histopathological (HP) findings confirmed a lipoma. For the next four years, the patient was lesion-free until December 2021, when swelling in the medial aspect of the right knee was reported following an injury. An MRI of the knee region revealed a tumor within the vastus lateralis and medialis muscles, raising concerns for a myofibroblastic or synovial tumor, with sarcoma considered as a differential diagnosis.
A subsequent evaluation by a pediatric hematologist included full blood count, biochemical tests, coagulation screening, immunoglobulins, and ultrasound of the left inguinal region due to regional lymphadenopathy. A chest CT scan in May 2022 showed no evidence of pulmonary consolidation or lymphadenopathy but revealed a 1.2 cm hypodense lesion in the spleen, prompting further monitoring.
In May 2022, the patient underwent excision of the right thigh tumor. Histopathological evaluation identified the tissue as benign soft-tissue angiomatosis. However, in February 2023, follow-up imaging suggested tumor recurrence in the right knee region. The recurrence was surgically removed in November 2023, and HP analysis confirmed identical findings to the prior assessment.
In June 2024, the patient presented with pain in the left inguinal region and thigh. Examination revealed two freely mobile subcutaneous masses, measuring 8 × 4 cm near the left iliac crest and 5 × 3 cm in the anterior inner thigh. Both masses were surgically excised. Macroscopic examination of the subcutaneous tissue showed hyperlobu-lated adipose tissue with densely packed vascular components forming a cribriform structure. Histopathological analysis revealed a complex soft tissue lesion composed of disorganized mesenchymal tissues, including atypical combined vascular malformations, proliferative lipomatous components, and fibrous elements. Immunohistochemistry (CD31, CD34, D2-40, smooth muscle actin, desmin, S-100 protein, Ki-67) supported the diagnosis of PHOST (Figure 2).

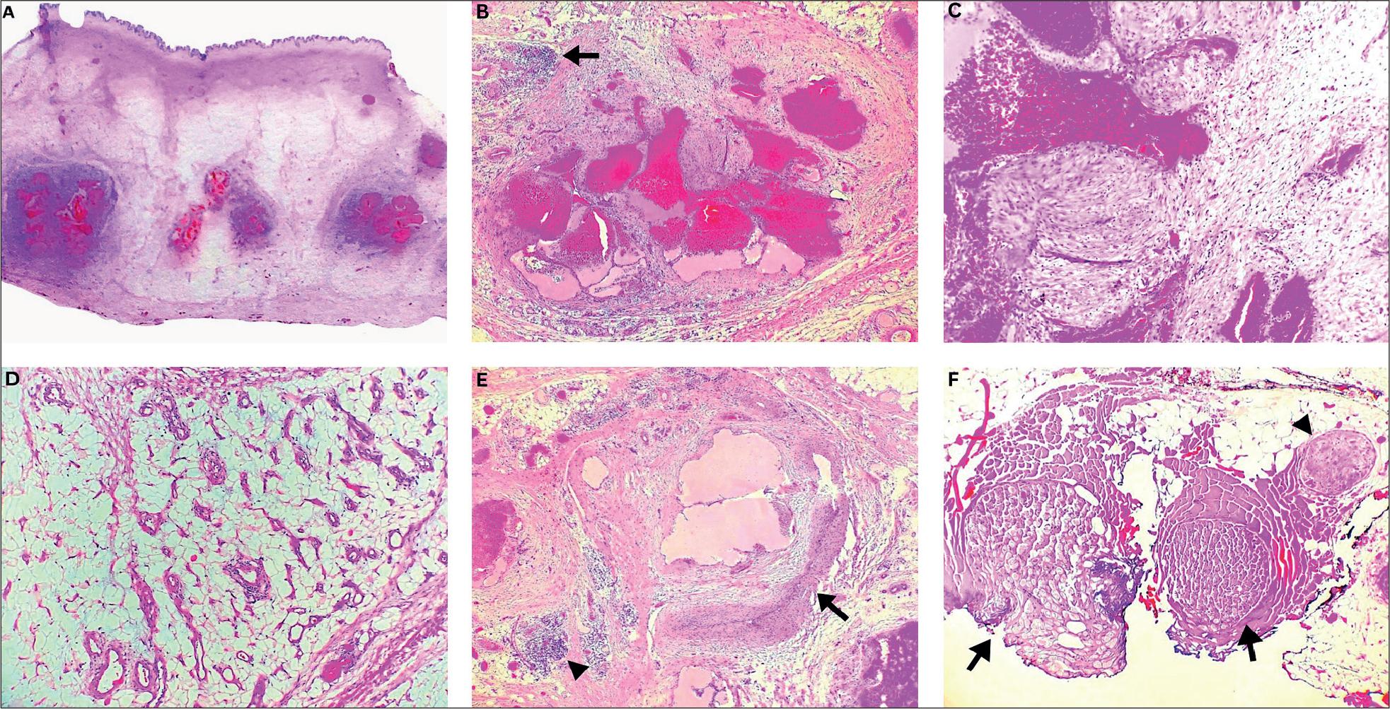
A. At scanning magnification the lesion were composed of a variable admixture of adipose tissue and abnormal vessels; B.Dominant adipocytic component containing clusters of back-to back thin-walled veins and lymphocytic aggregate (arrow); C. Fibromyxoid stroma in vascular clusters; D. Indeterminate small vessels reminiscent of veins dispersed within adipose tissue; E.Arterial component with coiled thick-walled artery with tiny lumen (arrow) and lymphocytic aggregate (arrowhead); F.Hypertrophic nerves within lesion (arrows) compared to normal looking nerve (arrowhead).
Genetic testing via whole exome sequencing identified a heterozygous pathogenic variant c.48T>A (p.Tyr16Ter) in the PTEN gene, confirming a diagnosis of CS type 1. Following diagnosis, regular multidisciplinary monitoring by a plastic surgeon, hematologist, and geneticist was initiated. There have been no new lesions detected to date.
The patient’s 9-year-old older sister presented in December 2023 with a soft tissue mass in the lumbar region. MRI revealed a lipomatous lesion involving muscle and aponeurotic structures. In May 2024, the mass was surgically excised, preserving muscle and nerve function. Postoperative HP analysis confirmed a benign lipomatous lesion. However, follow-up imaging revealed recurrence of the tumor at the initial site.
Genetic testing confirmed the presence of the familial PTEN variant c.48T>A (p.Tyr16Ter), and the diagnosis of CS was extended to the older sister. She is now under regular multidisciplinary surveillance.
Clinical examination of the children’s father revealed plantar keratosis. Genetic testing confirmed the same PTEN variant (c.48T>A, p.Tyr16Ter) as in his daughters. Given the genetic findings, the father was referred for endocrine and hematological evaluations, as well as regular cancer surveillance. To date, he has not developed malignancies but remains under continuous monitoring.
The paternal grandfather of the siblings, now a 78-year-old man, was identified as Patient 4. Based on anamnesis and photographic analysis, he was noted to have two large soft tissue masses located in the neck and interscapular regions. Although genetic testing was not performed, these findings, along with the confirmed familial PTEN variant in his descendants, strongly suggest that he is affected by CS. To date, he has not reported any significant health issues potentially associated with the CS spectrum. As a precautionary measure, he was advised to undergo regular surveillance, including monitoring for potential malignancies, in alignment with current recommendations for individuals with CS.
Patient 5 is the 70-year-old paternal great-aunt of the two sisters. She has a long-standing history of medical follow-up due to benign central nervous system tumor, adrenal tumors, and diffuse intestinal polyposis. Anamnesis indicates that she has undergone multiple surgical interventions over the years for these conditions. While no documentation confirms whether genetic testing has been performed, the clinical presentation aligns with features of CS, particularly given the familial history of a confirmed PTEN pathogenic variant. She has been advised to continue regular monitoring under the care of a hematologist, with emphasis on multidisciplinary surveillance for the potential CS complications.
Anamnestic data further suggests that the greatgrandfather of the proband passed away in his late 70s due to liver cancer. However, no reliable medical records are available to confirm the diagnosis or precisely assess contributing risk factors such as alcohol consumption or underlying conditions. While this observation could be relevant to the familial context, its significance remains uncertain.
The clinical manifestations of CS are diverse, involving hamartomas in the skin, thyroid, gastrointestinal tract, and other tissues (1). Macrocephaly, often present at birth or early infancy, is a key diagnostic feature in children, accompanied by facial dysmorphism such as a high anterior hairline and hypertelorism (6). Developmental delays and ASD, seen in up to 25% of patients, are frequent neurological findings, with brain imaging sometimes revealing structural anomalies, often white matter lesions (6, 7). The clinical manifestations of CS are diverse, involving hamartomas in the skin, thyroid, gastrointestinal tract, and other tissue (8–10). Recognizable dermatological traits include trichilemmomas around the nose and mouth, oral papillomas, and acral keratoses (9, 10). Sclerotic fibromas and lipomas, presenting as soft, mobile masses on the torso or extremities, further define the dermatological profile (8, 9). Gastrointestinal polyps affect up to 80% of patients, causing symptoms like abdominal pain or rectal bleeding. Though mostly benign, routine colonoscopic surveillance is recommended due to a small malignancy risk (11, 12). Less common vascular anomalies, such as arteriovenous malformations, can cause functional issues depending on their size and location (3, 13). In the case of our female patients, there were no elements of macrocephaly or dyscrania, and psychomotor development was normal. The characteristic skin changes associated with the syndrome were also absent. The only findings that contributed to the diagnosis were the presence of characteristic tissue tumor changes. Screening of other organs and organ systems revealed no signs of visceral involvement typically seen in CS. At this point, it is challenging to speculate on the genotype-phenotype correlation, given that this particular genotype, to our knowledge, has not been phenotypically described in any previously published case report in the available literature.
The PTEN variant identified in this family, c.48T>A (p.Tyr16Ter), represents a nonsense mutation associated with a truncated, non-functional protein. We confirmed by the thorough review of the available literature that the PTEN variant c.48T>A (p.Tyr16Ter) is a previously recognized pathogenic mutation. However, a detailed search of medical articles available online has not identified any publications to date presenting the clinical features of patients harboring this specific genotype. Genotype-phenotype correlations in CS demonstrate significant variability in clinical presentations, with features ranging from benign hamartomas to malignant transformations (14, 15). For example, catalytic domain mutations are strongly associated with severe neurodevelopmental outcomes, including ASD and intellectual disability (6, 14). Beyond genotypic effects, traits such as macrocephaly, vascular anomalies, and lipomatous changes suggest potential phenotypic synergy, where certain characteristics amplify others (15). This interplay may result from shared developmental pathways disrupted by PTEN dysfunction. Macrocephaly, for instance, often correlates with altered brain architecture, predisposing to neurodevelop-mental disorders (7). Similarly, vascular anomalies like angiomatosis or arteriovenous malformations may exacerbate tissue overgrowth, contributing to complex lesions like PTEN hamartoma of soft tissue (PHOST) (8, 13). Incomplete penetrance and variable expressivity are important characteristics of PTEN-related disorders, with up to 15% of carriers remaining asymptomatic throughout life (16). Modifier genes, environmental influences, and epigenetic factors likely contribute to this variability, as suggested by studies in other hamartomatous syndromes such as Peutz-Jeghers and juvenile polyposis syndrome(15)
CS is associated with an elevated lifetime risk of malignancies, particularly breast, thyroid, and endometrial cancers, with risk estimates reaching 85% for breast cancer in females and 35% for thyroid cancer (6, 17). However, in this family, two older members (the paternal grandfather and the great-aunt) have not developed malignancies despite their advanced age. This observation could be explained by the incomplete penetrance and suggests possible protective factors that warrant further investigation.
Age at onset of malignancies in CS varies, with breast cancer often developing by the fourth decade and thyroid malignancies potentially occurring earlier (14, 17). Other common malignancies include thyroid (especially follicular carcinoma) and endometrial cancers, warranting regular thyroid ultrasounds and gynecological evaluation (5, 18). Risks of renal cell carcinoma and colorectal cancer further emphasize the need for comprehensive cancer surveillance protocols (19). Interestingly, hepatic tumors have been reported in older individuals with CS, particularly in the context of non-alcoholic steatohepatitis (NASH) (20). The absence of malignancies in older family members suggests the need for personalized surveillance plans tailored to individual risk factors. Regular screening, including breast MRI and thyroid ultrasound, is therefore essential, even in asymptomatic carriers (5, 17).
While surgical management of benign tumors provides effective short-term relief, recurrence is common, as seen in this case. The use of pharmacological approaches, including mTOR inhibitors such as sirolimus and everolimus, offers a promising strategy for reducing tumor burden by targeting dysregulated cell growth pathways in PTEN-mutant cells. Hormonal therapies, such as tamoxifen, may also be considered for risk reduction in individuals predisposed to breast and endometrial cancers, though their use in pediatric populations remains under investigation (21–24).
In cases where malignancies arise, targeted therapies, such as tyrosine kinase inhibitors, may complement standard oncological treatment, particularly when molecular pathways contributing to tumor growth are identified (25).
The autosomal dominant inheritance of CS puts imperative on genetic counselling for affected families. In this case, segregation analysis confirmed the familial PTEN mutation in the proband’s sister and father. Early identification of mutation carriers enables the implementation of individualized surveillance programs, which are critical for minimizing cancer risk and improving outcomes. For atrisk family members, genetic analysis is indicated. In case of positive findings, regular monitoring and imaging are essential components of the clinical approach (1, 17, 26).
This familial case of CS exemplifies the complex interplay of genetic factors, phenotypic variability, and clinical vigilance required in managing PTEN hamartoma tumor syndrome (PHTS). Beyond confirming a pathogenic PTEN variant in multiple family members, it illustrates the broader implications of integrating genetic diagnostics into routine clinical practice. The diverse presentations within this family, ranging from benign soft tissue tumors to vascular anomalies, highlight the unpredictable clinical evolution of CS, necessity of personalized management strategies and flexibility needed in genetic counselling.
Importantly, this case emphasizes the value of early identification and interdisciplinary collaboration in the management of a long-term risks associated with CS. As the understanding of PTEN-related pathways evolves, the potential for targeted therapies continues to grow, offering opportunities not only to address tumor progression but also to enhance the quality of life for affected individuals and their families.