Have a personal or library account? Click to login
Experience with the Ketogenic Diet in a Boy with CLCN4 Related Neurodevelopmental Disorder Cover

Experience with the Ketogenic Diet in a Boy with CLCN4 Related Neurodevelopmental Disorder

By: G Sager,  U Yukselmis,  O Güzel,  A Turkyilmaz and  M Akcay  
Open Access
|Mar 2024

Figures & Tables

Figure 1.

a) Top EEG shows atypical absence status epilepticus with ictal generalized spike-and-wave discharges with a frequency of 3 Hz. b) Middle EEG shows ictal generalized paroxysmal fast activity accompanied by an intense tonic contraction induced by benzodiazepine infusion c) Last EEG shows, slow background activity superimposed with fast rhythms caused by phenobarbital use without ictal or inter-ictal discharges. Patient was on the 8 months of his ketogenic diet.
a) Top EEG shows atypical absence status epilepticus with ictal generalized spike-and-wave discharges with a frequency of 3 Hz. b) Middle EEG shows ictal generalized paroxysmal fast activity accompanied by an intense tonic contraction induced by benzodiazepine infusion c) Last EEG shows, slow background activity superimposed with fast rhythms caused by phenobarbital use without ictal or inter-ictal discharges. Patient was on the 8 months of his ketogenic diet.

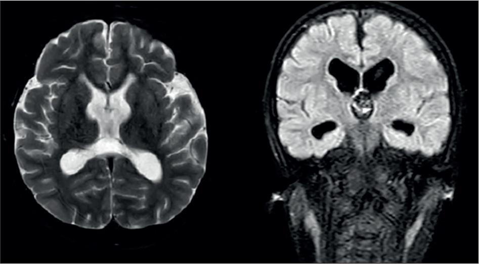
Figure 2.

Axiel T2 and Coronal T2 flair Cranial MRI images of the patient showed a thin corpus callosum, ventriculomegaly, and white matter atrophy.
Axiel T2 and Coronal T2 flair Cranial MRI images of the patient showed a thin corpus callosum, ventriculomegaly, and white matter atrophy.
Language: English
Page range: 77 - 82
Published on: Mar 12, 2024
Published by: Macedonian Academy of Sciences and Arts
In partnership with: Paradigm Publishing Services
Publication frequency: 2 issues per year

© 2024 G Sager, U Yukselmis, O Güzel, A Turkyilmaz, M Akcay, published by Macedonian Academy of Sciences and Arts
This work is licensed under the Creative Commons Attribution-NonCommercial-NoDerivatives 3.0 License.