Succinic semialdehyde dehydrogenase (SSADH) deficiency is a rare autosomal recessive disorder of gamma-aminobutyric acid (GABA) metabolism.1,2 The enzyme SSADH, in conjunction with GABA transaminase, converts GABA to succinic acid and its reduced or absent function leads to an excessive production of gamma-hydroxybutyric acid (GHB). Accumulation of GABA and GHB in physiological fluids is the primary metabolic abnormality in patients with SSADH deficiency. The gene ALDH5A1 coding for SSADH synthesis has been mapped on chromosome 6p22.3 Substantial reduction of SSADH activity is associated with varying severity of neurologic abnormalities.2,4
The worldwide prevalence of SSADH deficiency is estimated at 1:460 000, with approximately 450 patients reported worldwide so far.5 This rare, inherited neurotransmitter disorder typically presents in childhood with developmental delay, hypotonia, and ataxia as major features. Seizures occur in approximately 60% of the patients.2,6 Approximately 10% of the patients show a progressive course with developmental regression and debilitating extrapyramidal manifestations. A very early onset and fulminant course, which could result in fatal outcomes during infancy, has also been described in several patients.7 On the other hand, SSADH deficiency may present in late childhood and adulthood, with varying degrees of cognitive, behavioral or sleep disturbances, along with a significant prevalence of seizures.8,9
We present a male patient with confirmed SSADH deficiency and associated sensorineural hearing loss (SNHL). To the best of our knowledge, hearing impairment has not been reported in SSADH deficiency patients so far. Links between disturbed GABA neurotransmission and auditory abnormalities have been investigated mainly in elderly and animal models.10,11
The patient we present is a male child of Serbian ethnicity, firstborn from a non-consanguineous marriage and uncomplicated pregnancy. Generalized hypotonia was noted shortly after birth, with Apgar score of 7 at first minute and 9 at the fifth minute. A newborn screening test via the automated otoacoustic emission (AOAE) method showed possible hearing impairment. There was no history of ototoxic drug use during pregnancy, nor during the newborn period. Signs of developmental delay were visible during the first months of life. Namely, at 3 months of age, severe axial and moderate limb hypotonia and hyporeflexia with poor head control were noted. Deep tendon reflexes of the lower extremities were decreased, with an absence of proper gaze fixation or smiling patterns. Vocalization was also assessed as inadequate at the time.
The basic biochemical panel at the time was normal, while serologic testing for congenital infections returned negative. Initial genetic investigations showed normal karyotype and negative multiple ligand probe assay for microdeletion and microduplication syndromes (MRC-Holland P064-C1 kit). Metabolic assessment included plasma amino acids profile, very long chain fatty acid serum concentration, and urinary organic acids analysis. All results were within the reference range. Electromyoneurography and electroencephalography findings were also normal.
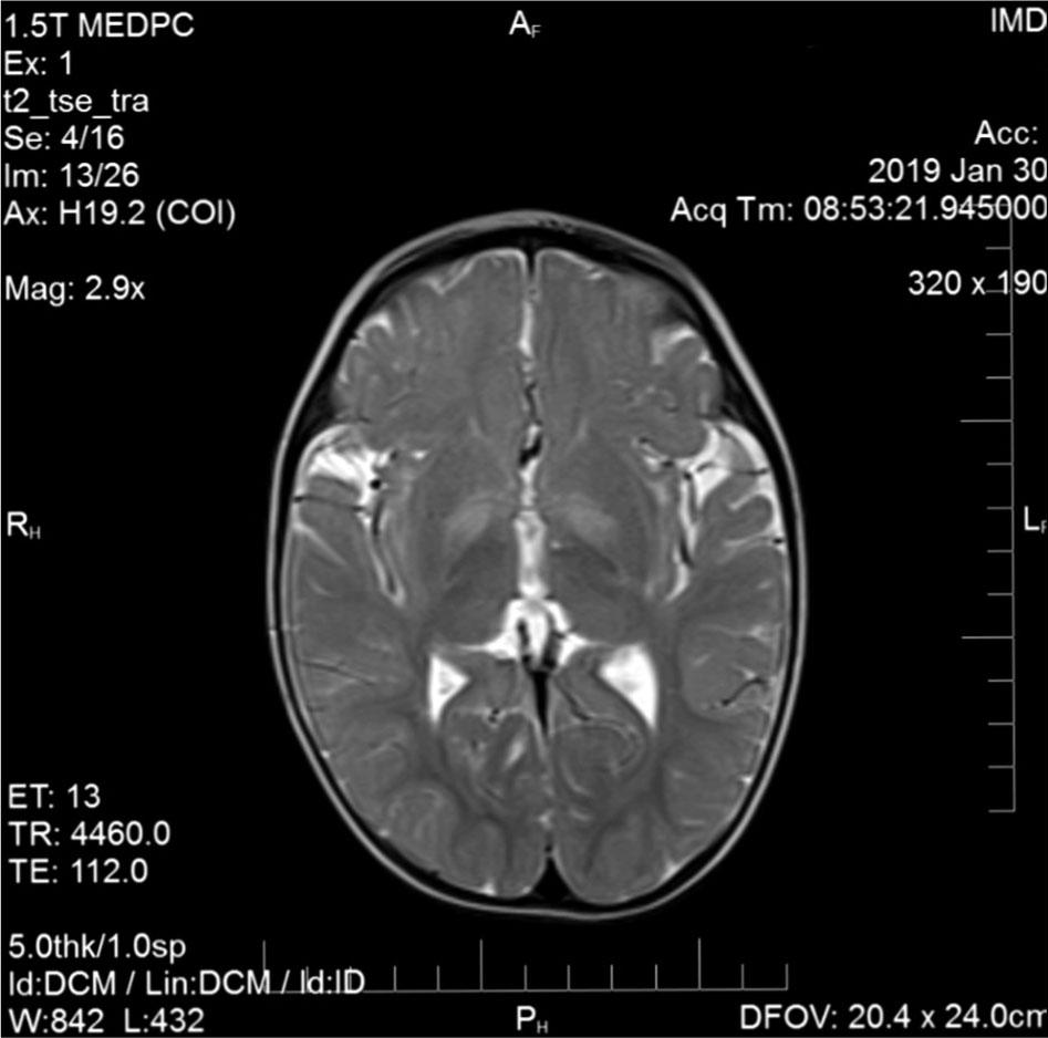
At eight months of age, a psychological assessment showed severe psychomotor developmental delay. The parents reported the absence of appropriate reactions to sound. Brain magnetic resonance imaging (MRI) showed incomplete myelination and high signal intensity in bilateral globi pallidi (figure 1). At the age of one year, brainstem evoked response audiometry (BERA) revealed a bilateral sensorineural hearing impairment, a “cookie bite” type audiogram was approximated (figure 2), and hearing aid was applied.

Brain MRI scan at the age of 15 months in a boy with SSADH deficiency revealing incomplete myelination and signal hyperintensity in globi pallidi

Audiogram approximation showing “cookie bite” type of symmetric sensorineural hearing impairment
Due to persistent hypotonia associated with developmental delay and sensorineural hearing impairment, whole exome sequencing (WES) was indicated. Results showed that the patient has a homozygous pathogenic variant NM_170740: c.1265G>A (Gly422Asp) in the ALDH5A1, so the SSADH deficiency diagnosis was established. Variants of uncertain significance were detected in several additional genes and some of those genes (CHD7, TECTA, MYH14, DIAPH1) have roles in auditory functioning. Repeated urinary organic acid profile failed to capture an elevated concentration of gamma-hydroxybutyric acid.
At present, the boy is five years old and shows certain improvements in psychomotor performance in terms of better motor coordination, verbal and non-verbal communication and mild improvement in cognitive functions. The boy walks with minimal support, ataxia is present as well as occasional stereotypic and involuntary movements. He is currently attending an inclusive kindergarten program for children with hearing difficulties. Bilateral hearing aids in the form of hearing amplifiers have been applied with the aim of improving the BERA test results, which are currently characterized as moderate hearing loss with elements of sensory and expressive dysphasia.
The first description of succinic semialdehyde dehydrogenase deficiency is found in Jakobs et al. from 1981, followed by the elucidation of its genetic basis and aggregation of significant amount of data reflecting its clinical spectrum.1,4,12 Numerous pathogenic variants in ALDH5A1 associated with SSADH deficiency have been reported, but precise genotype-phenotype correlation was not yet established.2,13 Additionally, the relationship between the genetic change and residual succinic semialdehyde dehydrogenase activities lacked consistency.2
Due to its heterogeneous and often non-specific clinical presentation, SSADH deficiency may be significantly underdiagnosed. Onset of the symptoms has been reported at a median of 11 months of age, while the delay of definitive diagnosis is estimated at 5–6 years.14,15,16 In the case of our patient, hypotonia was noticeable in early infancy. The course of the disease remained non-progressive, despite the notion that some SSADH deficiency patients with early onset have severe complications including extrapyramidal signs, seizures, regression and even death in infancy. In the case of our patient, hypotonia and global developmental delay are the hallmarks of the disease from the beginning. Up to the age of five years, our patient has remained seizure free.
Quality of life for SSADH deficiency patients could be significantly reduced in cases of pronounced neuropsychiatric problems, among which a lack of attention and aggressive behavior begin in early childhood while disabling obsessive-compulsive disorder occur mostly in adolescence and adulthood.7,8,9 Similar manifestations have not been encountered yet in the boy we present, apart from a single visit to the pediatric emergency department at the age of four years due to unexplained agitation lasting for several hours. Given moderate sleeping difficulties, our patient is using melatonin with good results. A clinical severity scoring (CSS) system was recently proposed for evaluating SSADH patients, based on cognitive aspects, communication skills, motor function, epilepsy, and psychiatric aspect of the disease.17 The CSS ranges from 5–25 (average (17.3), with higher scores correlating with milder presentation. Our patient’s score of 17 at 5 years of age is almost the exact average of the SSADH patients group involved in study that established the CSS. The presence of SNHL in our patient, however, contributes indirectly to his CSS result, affecting primarily his communication skills.
A diagnostic procedure which usually provides SSADH deficiency suspicion is the analysis of urinary organic acids. In SSADH deficiency patients, this test typically shows a multifold increase of GHB concentration. Failure to identify GHB in urine by the gas chromatography–mass spectrometry method in our patient could be attributed to inadequate sampling or other technical reasons for false negativity. However, repeated measurements in urine were performed by the experienced biochemist in the national reference metabolic laboratory. This biochemist has been engaged for decades in the external quality assurance scheme provided by the European Research Network for the evaluation and improvement of screening, diagnosis and treatment of inherited disorders of metabolism (ERNDIM). In our experience, a negative GHB finding in the analysis of urinary organic acids, should not exclude the possibility of SSADH deficiency. Whole exome sequencing proved to be an efficient and accurate diagnostic method in this case, with a turnaround time of approximately 3 months. Brain MRI findings in SSADH patients reveal characteristic signs of hyperintensity of the globus pallidus, cerebellar dentate nucleus, and subthalamic nucleus. These lesions are typically bilateral and symmetrical. In the case of our patient, at 20 months of age, a standard brain MRI did show incomplete myelination and higher signal intensity in both globi pallidi. The absence of biochemical marker typical of SSADH deficiency, suggestive MRI findings should prompt the diagnostic pursuit of this disorder with an option for targeting the next generation sequencing method.
Homozygosity for the pathogenic missense variant (NM_170740:c.1265G>A) in ALDH5A1 gave us decisive information about the etiology of our patient’s disease, but it failed to explain the sensorineural hearing loss. There have been reports of the same genotype resulting in severely decreased SSADH activity (less than 1% of normal).12–13 Patients homozygous for c.1265G>A were reported from diverse ethnic backgrounds with a variable degree of developmental delay (ranging from mild to severe) and high prevalence of epilepsy (including cases of sudden unexpected death in epilepsy – SUDEP).18 However, the association of ALDH5A1 gene variants and hearing impairment has not been described so far, with some of the authors stating that the findings of auditory work-up were normal.19 Evidence suggest that central auditory processing depends on a delicate balance between excitatory and inhibitory neurotransmission and that GABA plays an important role in this process. More specifically, hearing impairment has been linked to the decrease of GABAergic transmission in elderly, both in presbycusis and other age-related auditory disturbances.20 Increased presence of GABA and GHB in patients with SSADH deficiency apparently contradicts this mechanism. However, excessive concentrations of accumulated GABA and GBH are known to cause a down-regulation of GABA receptors, which could have an adverse influence on hearing function.21,22 It should be noted that neuroanatomic studies emphasized the role of basal ganglia in auditory categorization and speech perception.23 A recent brain MRI study did not show any significant differences in the volume of globi pallidi and microstructure in children with sensorineural hearing loss, compared to scans of children with preserved hearing.24 In several inborn errors of metabolism, sensorineural hearing loss could be present simultaneously with basal ganglia impairment, but a clear pathophysiologic link is missing.25 However, the prevalence of sensorineural hearing loss was found to be significantly higher in patients with glutaric aciduria type 1 treated in intensive care units for metabolic crises.26 One of the hallmarks of glutaric aciduria type 1 is the presence of abnormally high signal in globi pallidi detected by MRI.27 Moreover, decreased functional connectivity in ipsilateral globus pallidus was found in patients with unilateral hearing loss by the use of resting state functional connectivity MRI.28
Initial BERA findings at the age of one showed bilateral sensorineural hearing damage with the elements relatable to the delayed myelination of the central nervous structures. Control BERA findings at the age of two revealed specific mid-frequencies sensorineural hearing loss. The “cookie bite” type audiogram is a pattern that suggests hereditary component of the hearing loss. These findings dismissed some of the frequent causes of hearing damage, such as perinatal asphyxia or congenital infections.13,14 In this specific case, secondary WES findings included heterozygous variants of uncertain significance in genes TECTA, MYH14, DIAPH1 and CHD7 but their potential modifying effect contributing to the occurrence of hearing loss could not be confirmed.
The etiology of hearing impairment in the presented SSADH deficiency patient is unclear and debatable. Further studies of hearing status in patients with this inherited disorder of GABA metabolism are warranted. Our report should add to the deeper understanding of phenotypic complexity of SSADH deficiency.