Have a personal or library account? Click to login
A Novel splice-site mutation on the MLC1 gene leading to exon 9 skipping and megalencephalic leukoencephalopathy with subcortical cysts in a Turkish patient Cover

A Novel splice-site mutation on the MLC1 gene leading to exon 9 skipping and megalencephalic leukoencephalopathy with subcortical cysts in a Turkish patient

Open Access
|Dec 2019

Figures & Tables

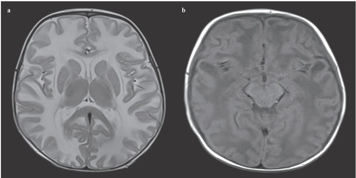
Figure 1

(a) Axial T2 weighted MRI shows bilateral, diffuse, symmetric hyperintense lesions in the cerebral white matter. (b) Axial T1 weighted MRI shows bilateral temporal cysts.
(a) Axial T2 weighted MRI shows bilateral, diffuse, symmetric hyperintense lesions in the cerebral white matter. (b) Axial T1 weighted MRI shows bilateral temporal cysts.

Figure 2

(A) Integrative Genomics Viewer (IGV) sequence data of the parents showed heterozygous c.768+ 2T>C mutation. (B) The IGV sequence data of the patient showed homozygous c.768+2T>C mutation.
(A) Integrative Genomics Viewer (IGV) sequence data of the parents showed heterozygous c.768+ 2T>C mutation. (B) The IGV sequence data of the patient showed homozygous c.768+2T>C mutation.

Figure 3

(A) Exon 9 was not found in cDNA (cDNA sequence of the patient, reverse strand). (B) The parents had two strands for the heterozygous mutation. Exons 9 and 10 were overlapping in cDNA (cDNA sequence of the parents, forward strand).
(A) Exon 9 was not found in cDNA (cDNA sequence of the patient, reverse strand). (B) The parents had two strands for the heterozygous mutation. Exons 9 and 10 were overlapping in cDNA (cDNA sequence of the parents, forward strand).
Language: English
Page range: 89 - 92
Published on: Dec 21, 2019
Published by: Macedonian Academy of Sciences and Arts
In partnership with: Paradigm Publishing Services
Publication frequency: 2 issues per year

© 2019 A Türkyılmaz, O Ünver, G Ekinci, D Türkdoğan, published by Macedonian Academy of Sciences and Arts
This work is licensed under the Creative Commons Attribution-NonCommercial-NoDerivatives 3.0 License.