Figure 1

Figure 2

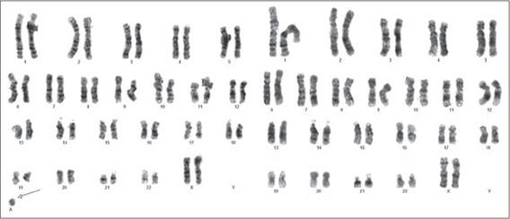
Figure 3




© 2018 HY Ivanov, V Stoyanova, I Ivanov, A Linev, R Vazharova, S Ivanov, L Balabanski, D Toncheva, published by Macedonian Academy of Sciences and Arts
This work is licensed under the Creative Commons Attribution-NonCommercial-NoDerivatives 3.0 License.