Have a personal or library account? Click to login
A familial case report of a 13;22 chromosomal translocation with recurrent intracytoplasmic sperm injection failure Cover

A familial case report of a 13;22 chromosomal translocation with recurrent intracytoplasmic sperm injection failure

By: S Verma,  R Shah,  A Bhat,  GR Bhat,  R Dada and  R Kumar  
Open Access
|Dec 2018

Figures & Tables

Figure 1

Pedigree of the studied family.
Pedigree of the studied family.

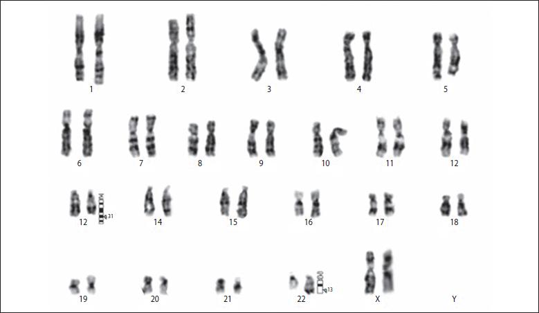
Figure 2

G-banded karyotype showing the 46,XX,t(13;22)(q21.2;q13.3) chromosomal complement.
G-banded karyotype showing the 46,XX,t(13;22)(q21.2;q13.3) chromosomal complement.
Language: English
Page range: 73 - 77
Published on: Dec 31, 2018
Published by: Macedonian Academy of Sciences and Arts
In partnership with: Paradigm Publishing Services
Publication frequency: 2 issues per year

© 2018 S Verma, R Shah, A Bhat, GR Bhat, R Dada, R Kumar, published by Macedonian Academy of Sciences and Arts
This work is licensed under the Creative Commons Attribution-NonCommercial-NoDerivatives 3.0 License.