Paracentric inversion (PAI) is a common rearrangement that involves two breaks within the same chromosome arm, followed by the reinsertion of the chromosome segment into its original location after a 180° rotation. The incidence of PAIs in the general population has not been clearly established but seems to range from 0.1 to 0.5% [1,2]. Although PAIs are generally considered to be harmless with no phenotypic consequences, an abnormal phenotype has been described in cases where microduplications/microdeletions occur, or critical genes have been interrupted at the breakpoints [3-5].
Paracentric inversions can only be detected by conventional cytogenetic analysis. However, submicroscopic chromosomal imbalances at breakpoint junctions of the inverted segment can be unveiled using molecular cytogenetic techniques, such as array comparative genomic hybridization (aCGH).
In this report we present a novel de novo PAI on the long arm of chromosome 20 [inv(20)(q13.1q13.3)], detected by conventional karyotyping in a 14-year-old boy with mental retardation, which was further investigated for other submicroscopic imbalances using aCGH.
The patient is a 14-year-old boy with intellectual disability who was diagnosed prenatally with a paracentric inversion of the long arm of chromosome 20 (20q). Chorionic villus sampling was performed during the 12th week of gestation due to advanced maternal age (35 years old). The karyotype of the fetus was described as 46,XY,inv(20) (q13.1q13.3). Parental karyotypic analysis was not performed at that time.
At birth, his weight was 2900 g and he had an apparently normal phenotype. At 9 months of age, the parents noticed hypotonia, head support delay and inability to sit-up by the age of 9 months. At approximately 17 months of age, he presented with developmental delay, dysmorphic features, psychomotor retardation and Duane syndrome anomalies. Brain magnetic resonance imaging (MRI) revealed cerebellar hypoplasia. He began occupational therapy and speech therapy at 4 years of age.
Presently, he does not have complete control and coordination of his body, especially for delicate movements. He has normal physical and sexual development, but he has problems in perception, speech expression and in self-care, although he shows gradual improvement. The patient does not show evidence of autism, stereotypy and automatic repetition of vocalizations such as echolalia. He is a happy and sensitive child who often cries but easily becomes happy. He attends a special school, is social, cooperative, seeks friendships and likes playing with other children.
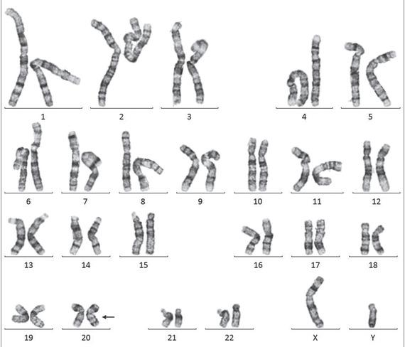
Cytogenetic analysis of the boy and his parents was performed on G-banded chromosome preparations at high resolution level (>550 bphs) from PHA (phytohemagglutinin)-stimulated peripheral blood lymphocytes. Imaging and karyotyping were achieved via microscopy and computer imaging techniques. For each individual, 25 metaphases were fully analyzed and karyotypes were described according to the International System for Human Cytogenetic Nomenclature (ISCN) 2016 [6]. Karyotypic analysis showed that the boy was a carrier of a PAI of chromosome 20, with breakpoints at q13.1 and q13.3 chromosomal regions in all metaphases analyzed [46,XY, inv(20) (q13.1q13.3)] (Figure 1), confirming the prenatal karyotype. Karyotypes of both parents were normal indicating that inv(20) was a de novo chromosomal abnormality in the child. Written informed consent was obtained from the patient’s mother for publication of this case report and accompanying images.

Patient’s karyotype [46,XY,inv(20)(q13.1q13.3)] detected by a conventional cytogenetic G-banding technique.
Fluorescent in situ hybridization (FISH) performed on peripheral blood of the boy using whole chromosome paint for chromosome 20 (Vysis, Abbott Laboratories, Lake Bluff, IL, USA) revealed a normal hybridization pattern. Therefore, the karyotype was defined as 46,XY,inv(20) (q13.1q13.3).ishinv(20)(q13.1q13.3) (wcp20+) de novo.
Molecular karyotyping was also performed in order to identify possible submicroscopic unbalanced chromosomal aberrations not detectable by G-banded chromosomal analysis. The G3 4x180k CGH+SNP (single nucleotide polymorphism) microarray platform with an average probe spacing of 13 kb (Agilent Technologies, Santa Clara, CA, USA) was used. Samples were processed according to manufacturer’s instructions and CytoGenomics 4.1 software (Agilent Technologies) was used for feature extraction and visualization of the resulting data. For annotation of genes in the deleted or duplicated genomic segments the University of California Santa Cruz (UCSC) Genome Browser (http://genome.ucsc.edu/), the Database of Genomic Variants (http://projects.tcag.ca/variation/; human genome build 19) and DECIPHER (https://decipher.sanger.ac.uk/) databases, were used.
Array comparative genome hybridization revealed a 100 kb microdeletion in the inverted segment at the 20q13.12 region, which is considered a copy number polymorphism. In addition, an interstitial deletion of 1.97 Mb at the chromosomal region 20q12 (20:38157428-40128669) was revealed, distal from the inverted segment that included 11 genes (Table 1), among which is the MAFB OMIM morbid gene. Interestingly, another deletion of 4.5 Mb was detected at chromosomal region 11q14.3-11q21 (11:89545468-94077250, hg19) containing 36 genes of uncertain clinical significance (Figure 2). Detected relevant microduplications and microdeletions are presented in Table 1.

A diagram of the 4.5 Mb 11q deletion (89545468-94077250).
Relevant array comparative genomic hybridization findings, genes content and characterization.
| Chromosomal Region/Size | Start (hg19) | End (hg19) | Genes | Characterization |
|---|---|---|---|---|
| del 11q14.3-q21 (4.5 Mb) | 89545468 | 94077250 | TRIM53AP, TRIM64B, TRIM49D2, TRIM49D1, TRIM64, TRIM49C, UBTFL1, NAALAD2, CHORDC1, DISC1FP1, MIR4490, MIR1261, FAT 3, LOC105369431, MTNR1B, SLC36A4, CCDC67, SMCO4, CEP295, SCARNA9, SNORA25, SNORA32, SNORD6, SNORA1, SNORA8, SNORD5, SNORA18, MIR1304, SNORA40, TAF1D, C11orf54, MED17, VSTM5, HEPHL1, PANX1, IZUMO1R | uncertain clinical significance |
| del 20q12 (1.97 Mb) | 38157428 | 40128669 | LINC01370, MAFB, LOC100128988, TOP1, PLCG1-AS1, PLCG1, MIR6871, ZHX3, LPIN3, EMILIN3, CHD6 | uncertain clinical significance |
| del 20q13.12 (100 kb) | 43916414 | 44016199 | MATN4, RBPJL, SDC4, SYS1, SYS1-DBNDD2, TP53TG5 | copy polymorphism number |
A novel PAI of the long arm of chromosome 20 [inv(20) (q13.1q13.3)] is described in a patient with mental retardation. To the best of our knowledge, this case is the first reported PAI of 20q in the literature. Although the great majority of PAIs are familial (about 90.0%) [7], conventional cytogenetic analysis of the patient’s parents revealed the de novo origin of this abnormality.
In general, PAIs are balanced and have no phenotypic consequences for the carriers. However, in cases where microdeletions/microduplications occur at the breakpoints, an abnormal phenotype could result [3-5]. In our patient, aCGH showed a 100 kb microdeletion in the inverted segment at the 20q13.12 region-considered polymorphic CNP (copy number polymorphism), since it is reported in the database of genomic variance (DGV) and has not been associated with abnormal phenotypic features in carriers. Two other microdeletions at chromosomal regions 20q12 and 11q14.3q21, which were also found in our patient, were investigated for genes that could have contributed to the proband’s phenotype.
Constitutional deletions concerning larger segments of the long arm of chromosome 20 are very rare, with only eight cases reported so far [8-13], containing genes that may be responsible for the development of the heart and the brain. The 20q12 (1.97 Mb) microdeletion found in our proband contains one important OMIM morbid gene, MAFB, missense mutations of which have been reported to be responsible for autosomal dominant multicentric carpotarsal osteolysis (MCO) [14,15]. Furthermore, loss of MAFB function due to mutations or whole gene deletion, has been reported in the frame of Duane retraction syndrome (DRS) with or without deafness [15]. However, these cases are actually different from our proband due to lack of most of the phenotypic characteristics of the MCO and DRS syndromes. On the other hand, one case carrying a 20q12 deletion of 2.49 Mb has been published in DECIPHER (patient id: 267065). This patient carries a deletion containing 17 genes, including the MAFB gene. The child’s phenotype has behavioral abnormality, delayed speech and language development, intellectual disability and sleep disturbance.
The majority of 11q deletions are terminal and has been associated with a genetic disorder known as Jacobsen syndrome [16]. Interstitial 11q deletions are rare and only 35 cases have so far been described in the literature. They are highly heterogeneous in size and position and present with variable phenotypic characteristics, with most cases exhibiting mild to severe mental retardation, and as in our proband, developmental delay. However, in only six of the reported cases, the breakpoints of the deleted segment have been identified by molecular cytogenetic techniques [17,18], thus, it is hard to define the distinct genotype/ phenotype correlation of the 11q deletion. The common interstitial 11q deleted region contains the 4.5 Mb 11q14.3-11q21 microdeletion was also found in our proband [18]. The genes contained in the 11q14.3-11q21 microdeleted region in our proband are 36 and are characterized as genes with uncertain clinical significance. The most important one is MED17, for which many specific missense mutations have been reported in individuals with mental retardation, psychomotor delay and cerebellar atrophy, phenotypic features shared with our proband [19,20]. Apart from the reported MED17 mutation, one patient carrying a 6.38 Mb deletion containing the MED17 gene has also been reported in the DECIPHER database (patient id: 267158). This patient has tall stature, macrocephaly, autism, delayed speech and language development, echolalia and stereotypy. Therefore, it is possible that the 11q14.3-11q21 microdeletion may contribute to our patient’s phenotype.
In conclusion, this is the first report of a patient with an apparently balanced de novo 20q PAI, which after aCGH testing was not accompanied by microdeletions/microduplications containing disease-associated genes near or at the breakpoints, indicating that it is probably not associated with the proband’s abnormal phenotype. However, based on published data, the 11q14.3-11q21 micro-deletion detected by aCGH may be related to the mental retardation and developmental delay of the patient. As the published data about the 20q12 microdeletion are very few, it is not possible to correlate this finding with our patient’s phenotype.
This case report describes a new chromosomal entity with an important contribution to the management of prenatal diagnosis with similar findings. Array comparative genome hybridization is proven to be a useful technique for detecting unbalanced submicroscopic rearrangements with the exception of balanced chromosomal rearrangements and mosaicism of less than 20.0%. It could be offered prenatally or postnatally, in combination with conventional cytogenetic techniques, especially in cases of de novo karyotypically balanced chromosomal inversions or translocations or normal karyotype where an abnormal phenotype or mental retardation exists.