Orthodontic treatment aims to provide aesthetically pleasing and functionally sound jaw–tooth relationships.1,2 Traditionally, brackets and wires have been the common choice of appliance.3 However, wearing fixed appliances can increase the risk of tooth surface decalcification and periodontal problems.4–7 Moreover, patients may experience discomfort during eating and daily activities.8,9 Clear aligners offer distinct advantages over fixed appliances, including superior aesthetics, enhanced comfort, and improved oral hygiene.3,8
The accuracy and efficiency of aligner therapy remain controversial.10,11 Generally, the more complex the treatment case, the less satisfactory the outcome.3,12 Currently, the overall performance of clear aligners is primarily comparable to that of fixed appliances when addressing a mild to moderate arch length discrepancy.3,12,13 The clear aligner correction of common problems such as the rotation and angulation of a tooth, especially for a round-shaped tooth, is known to be challenging.10,11,13–15 The accuracy of aligner therapy for canine rotation is reportedly only 40%, suggesting this as a reason for an extended treatment time.10,11 A hybrid approach using fixed appliances and clear aligners, has therefore been proposed.16,17 However, to date, evidence describing the detailed mechanics of hybrid approaches and their treatment outcomes remains scarce.
The present case report describes the effective and efficient treatment procedure of a severely rotated and angulated mandibular canine by combining clear aligners, a nickel-titanium (NiTi) cantilever, and a micro-implant. The mechanics and treatment outcomes are discussed in detail using cone-beam computed tomography (CBCT) and intra-oral scan models.
A 28-year-old male patient sought treatment for anterior dental crowding. Written informed consent was obtained from the patient for the use and publication of his records. On presentation the patient was noted to have a straight facial profile (Figure 1). Dentally, an Angle Class I molar relationship on the right and a mild Angle Class II tendency on the left were evident. The patient had square upper and lower arch forms and mild to moderate crowding (2 mm in the maxilla and 6 mm in the mandible, respectively). Notably, the right mandibular permanent canine showed a severe mesial-in rotation and a crown-distal angulation. The Bolton’s anterior ratio was 78.9%, and the overall ratio was 93.2%, indicating that the mandibular anterior and posterior teeth were larger than the corresponding maxillary teeth by 0.8 mm and 1.0 mm, respectively.

Pre-treatment records, including extraoral and intraoral photographs.
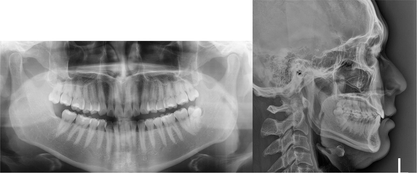
The panoramic radiograph showed a distally angulated left mandibular third molar, while the maxillary third molars had erupted in an upright position (Figure 2). The findings from the lateral cephalogram indicated a Class I skeletal pattern, with a slightly reduced mandibular plane angle (Figure 2, Table I). Additionally, the maxillary and mandibular incisors were retroclined.

Pre-treatment radiographic records, including panoramic and lateral cephalogram.
Cephalometric measurements
| Measurements | Norm | Pre-treatment | Post-treatment |
|---|---|---|---|
| Anterior Posterior | |||
| SNA (°) | 82.1 | 82.4 | 82.4 |
| SNB (°) | 79.8 | 81.0 | 81.0 |
| ANB [°] | 2.3 | 1.4 | 1.4 |
| Vertical | |||
| FMA [°] | 23.5 | 21.5 | 21.5 |
| Gonial Angle (°) | 117.9 | 118.2 | 118.2 |
| FH-Occ (°) | 8.3 | 10.2 | 10.2 |
| Dental | |||
| U1 to FH (°) | 116.2 | 110.9 | 119.1 |
| IMPA [°] | 96.3 | 87.5 | 94.6 |
| Interincisal angle [°] | 124.1 | 140.1 | 124.8 |
| Soft tissue | |||
| Upper lip to E-line (mm) | -0.8 | -3.7 | -4.0 |
| Lower lip to E-line (mm) | 0.5 | -0.7 | -2.7 |
Based on these findings, the patient was diagnosed as a hypodivergent skeletal Class I malocclusion, with a mild to moderate arch length discrepancy.
The treatment goal was to resolve the crowding by proclining the incisors without worsening the facial profile, while preserving the molar relationships.
The first option was comprehensive fixed appliance treatment after extracting the third molars.18 Although this plan would likely improve the occlusal relationship on the left side, the treatment period could be extensive. Consequently, the patient declined this treatment approach.
The second option was to resolve the crowding by bonding brackets to the anterior teeth only.19 The patient also declined this treatment approach since he preferred aesthetically pleasing and comfortable orthodontic appliances rather than conventional brackets.
Finally, treatment using clear aligners was considered.3,8 However, it was anticipated that aligner therapy would pose difficulties in adjusting the right mandibular canine.7,8 To address this, it was planned to manage the problem by using a bracketless NiTi wire first, followed by clear aligners to detail the remaining malocclusion.20
NiTi wires (0.014-inch, DynaFlex, MO, USA) were bonded to the maxillary and mandibular arches using flowable resin (Tetric® N-Flow, Ivoclar Vivadent, Schaan, Liechtenstein). To ensure play between the wire and bracket, a lubricant was applied on the wire before bonding. To enhance alignment, labial proclination of the anterior teeth was generated which modified the arch form into an ovoid shape (Figure 3). As treatment progressed, the archwire bonding was continually adjusted. After eight months, the alignment of the maxillary dentition had improved (Figure 4). However, the distal angulation of the mandibular canines was evident, as the right side remained the most prominent.

Intraoral photographs after the bonding of bracketless nickel-titanium wires.

Treatment progress at eight months. A, Intraoral photographs. B, Model superimposition. The white colour denotes pre-treatment, and the dark colour represents the status at eight months. The registrations were performed on the occlusal surfaces of the first and second molars.
As the patient requested clear aligner treatment, in-house clear aligners were fabricated. After removing the wires, ellipsoidal-shaped attachments were bonded directly onto the labial surface of the upper and lower dentition except for the maxillary central incisors, the maxillary canines, the maxillary and mandibular second molars, and the left mandibular second premolar. The dentition was captured using an intraoral scanner (Trios, 3Shape, Copenhagen, Denmark), and an orthodontic virtual setup was performed (Autolign, Diorco, Seoul, Korea). Tooth movements were limited to 0.3 mm for a linear movement and 3° for an angular movement for each step. The values represent the maximum accepted tooth movement per aligner. The setup program automatically adjusted the actual planned tooth movement to not exceed these limits. The models were confirmed by a single orthodontist (H.S.P.) and printed using a fused filament fabrication type of printer with a resolution of 200 μm (DP101, Sindoh, Seoul, Korea). A total of 18 sets of aligners were fabricated by a thermoforming process (Biostar, Scheu Dental, Iserlohn, Germany) and using a material sheet thickness of 0.75 mm (CA® Pro+, Scheu Dental, Iserlohn, Germany). The patient was instructed to change aligners every week and wear on a full-time basis. Interproximal enamel reduction (IPR) was performed as needed. Treatment using the first set of aligners required 4.5 months.
After 12.5 months of treatment, the first course of clear aligners was completed (Figure 5). The mandibular anterior crowding was alleviated, and the mandibular arch form had been modified into an ovoid shape. IPR reduced the mandibular anterior teeth size by 1.3 mm, with a resultant Bolton anterior and overall ratio of 76.2% and 91.8%, respectively. At this stage, the rotation and angulation of the right mandibular canine still required improvement.

Treatment progress at 12.5 months. A. Intraoral photographs. B. Model superimposition. The white colour denotes the model at eight months, and the dark colour represents the 12.5 month stage. The registrations were performed on the occlusal surfaces of the first and second molars.
Hence, further refinement was planned, and an additional 11 steps of aligners were prepared. The tooth movement per set and the wearing protocol remained the same. However, to facilitate canine adjustment, the clear aligners were combined with a sectional wire and a micro-implant. The micro-implant (7 mm length, 1.3 mm diameter at the neck and 1.2 mm diameter at the apex, AbsoAnchor, SH1312-07, Dentos, Daegu, Korea) was placed between the right mandibular first and second premolars using a drill-free method (Figure 6), and a 0.016-inch NiTi sectional wire (DynaFlex, MO, USA) was bonded onto the cervical area of the right mandibular canine. The free end of the cantilever was attached to the head of the micro-implant when activated. The treatment duration using the second set of aligners was three months.

Hybrid mechanics illustration. Micro-implants are denoted by circles with cross-marks. Resin-wire bonding is represented by ovals on the crown surface. The white circles on the canine root indicate the centre of resistance. Dotted lines correspond to pre-activated cantilevers, while plain lines represent activated cantilevers. Striped arrows depict cantilever activating forces. White plain arrows show the activating force delivered to the canine. Black bold arrows represent the reactive forces. Circular arrows denote the force moment delivered to the canine. A, Oblique view. B, Occlusal view. C, The oblique view with aligners in place. D, The force diagram in the oblique view. E, The force diagram in the occlusal view.
After 15.5 months of treatment, a notable change was observed in the position of the right mandibular canine (Figure 7) but it still required further correction. In addition, the mandibular incisors exhibited mild rotation. Moreover, a mild distal angulation of the left mandibular canine was also identified. Accordingly, a new set of aligners was applied with an additional micro-implant-supported NiTi cantilever. This new auxiliary wire aimed to correct the distal angulation by root uprighting (Figure 8). A total of seven sets of aligners were fabricated and worn for 2.5 months.

Treatment progress at 15.5 months. A, Intraoral photographs. B, Model superimposition. The white colour denotes the model at 12.5 months, and the dark colour represents the 15.5-month stage. The registrations were performed on the occlusal surfaces of the first and second molars.

The additional cantilever placed on the left mandibular canine. A, Oblique view. B, Frontal view. C, Occlusal view.
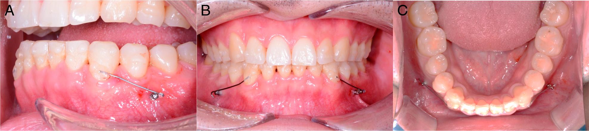
After 18 months, treatment was completed. A lingual fixed retainer was bonded between the mandibular canines. A removable circumferential retainer was also provided for the patient.
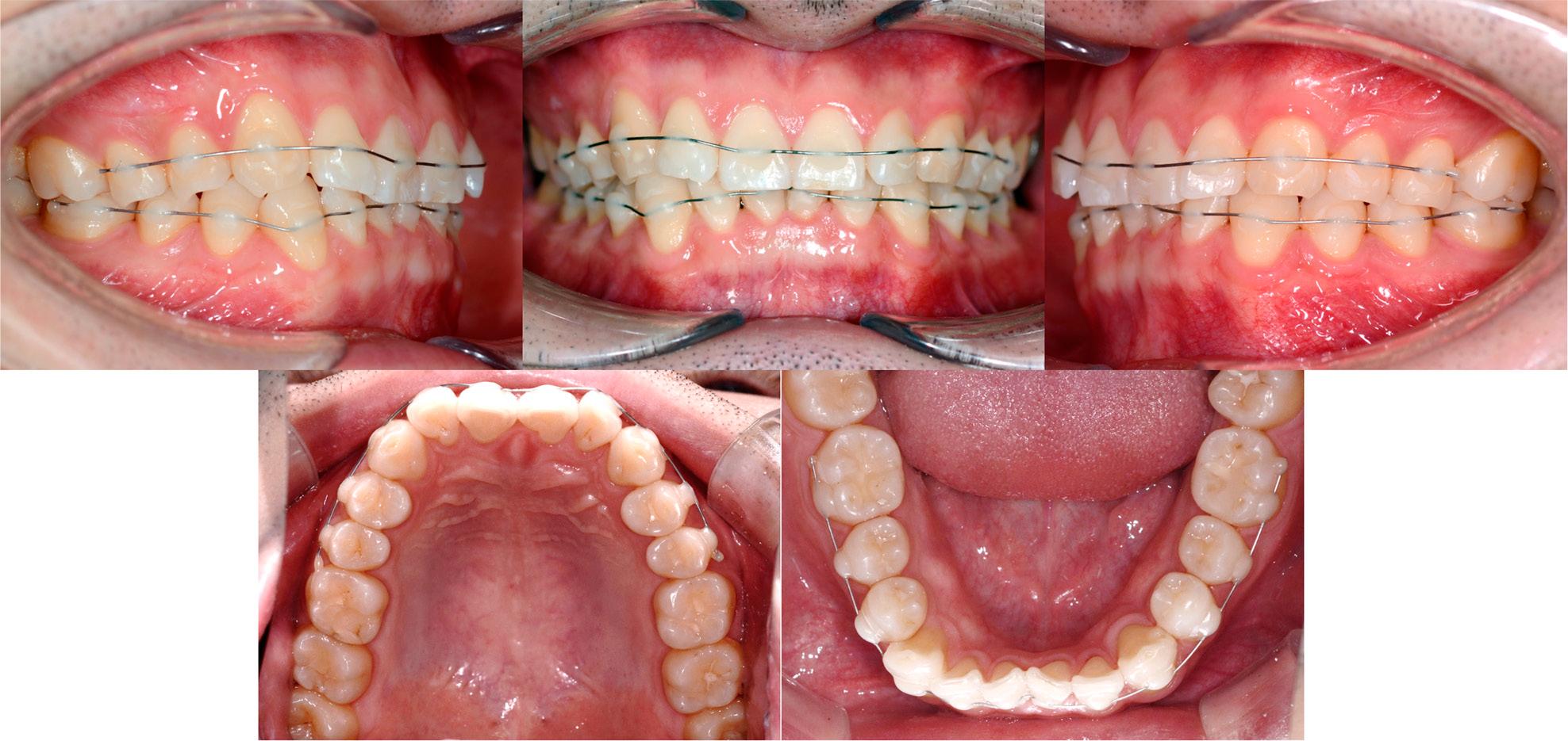
The patient’s facial profile remained straight (Figure 9). The molar relationships were maintained, and the occlusion showed acceptable interdigitation. The maxillary and mandibular arches had been changed to ovoid. The anterior crowding was resolved. Furthermore, the rotation and angulation of the right mandibular canine improved (Figure 10).

Post-treatment records, including extraoral and intraoral photographs.

Model superimposition. The yellow colour denotes the pre-treatment model, and the orange colour represents the post-treatment model. The registrations were performed on the occlusal surfaces of the first and second molars. A, Maxillary dentition. B, Mandibular dentition. C, Oblique view.
The panoramic radiograph showed the distal movement of the right mandibular canine root (Figure 11). The post-treatment cephalometric measurements and superimposition of the pre- and the post-treatment films demonstrated that incisal proclination occurred without compromising the facial profile (Figure 11, Table I).

Post-treatment radiographic records, including panoramic, lateral cephalogram, and the superimposition of cephalograms taken at pre- and post-treatment.
The pre- and post-treatment cone-beam computed tomography data of the mandible were superimposed using the open-source software 3D Slicer (version 5.6.0; SlicerCMF, http://www.slicer.org) according to a voxel-based registration protocol and the right mandibular canine was segmented and analysed (Figure 12). The root apex moved 3.7 mm in a disto-buccal direction during treatment while the cusp tip was 1.8 mm mesio-lingually moved with the centre of rotation approximately in the middle third of the clinical crown, indicating an evident root movement pattern.

Voxel-based registration of the mandibular cone-beam computed tomography image. For simplicity, the post-treatment mandible was omitted. The yellow canine corresponds to the pre-treatment state, while the blue canine represents the post-treatment state. The orange-coloured arrows around the canines are the displacement vectors depicting the three-dimensional movements during treatment. A, Oblique view. B, Occlusal view.
Tooth movements between the treatment courses were analysed using the surface registration function of the 3D Slicer program. Since the first and second molars were not moved, their occlusal surfaces were used for surface registration. The planned tooth movement was compared on virtual setups with the actual achieved movement. To measure the planned and achieved movement, the initial model of an aligner treatment course was superimposed with the planned and achieved models, respectively. Canine rotation was calculated as the angle between the lines connecting the mesial and distal contact points. Similarly, mesiodistal angulation, as an indirect measure of root movement, was assessed as the angle between the facial axes of the clinical crowns (Figure 13). Treatment accuracy was evaluated by calculating the ratio of achieved movement to planned movement. Treatment efficiency was measured by determining the rate of tooth movement over the treatment period. Additionally, the achieved movements and the efficiency of the bracketless NiTi treatment were also evaluated. The total rotation and angulation achieved were 34.2° and 22.6°, respectively (Table II). Of the total movements, the aligner therapy accounted for 30.8° of rotation and 18.8° of angulation change. Specifically, a 7.4° rotation and a 3.3° angulation were achieved during the 4.5 months of the aligner-only treatment period. In contrast, the hybrid approach led to a 23.4° rotation and 15.5° angulation change over 5.5 months. Appliance accuracy and efficiency were enhanced more than two to four times using the hybrid approach.

Rotation and angulation measurements between the initial and the predicted or achieved models. The white model serves as the reference, while the dark model represents either the planned or achieved state. Reference lines are depicted with plain lines, and target lines as dotted lines. Arrows indicate the angles between the reference lines. A, Rotation. B, Angulation.
The right mandibular canine movement
| Measurements | Bracketless NiTi (8 months) | First CA Set (4.5 months) | Second CA Set (3 months) | Third CA Set (2.5 months) |
|---|---|---|---|---|
| Rotation | ||||
| Planned (°) | — | 32.7 | 29.2 | 13.1 |
| Achieved (°) | 3.4 | 7.4 | 15.9 | 7.5 |
| Accuracy (%) | — | 22.5 | 54.4 | 57.2 |
| Efficiency (°/month) | 0.4 | 1.6 | 5.3 | 3.0 |
| Angulation (Root movement) | ||||
| Planned (°) | — | 20.2 | 17.8 | 10.3 |
| Achieved (°) | 3.8 | 3.3 | 9.5 | 6.0 |
| Accuracy (%) | — | 16.1 | 53.1 | 57.8 |
| Efficiency (°/month) | 0.5 | 0.7 | 3.2 | 2.4 |
Note. CA is an abbreviation of clear alinger. The period within the parentheses denotes the treatment duration of the corresponding course of treatment. The planned movement and accuracy for bracketless NiTi were omiited since these values were unmeasurable.
After one year of retention, intraoral and facial photographs were taken (Figure 14) which showed that the treatment outcomes remained stable.

One year retention records, including extraoral and intraoral photographs.
To achieve a functionally and aesthetically desirable outcome, teeth should be aligned along the line of occlusion with appropriate mesiodistal angulation.1,2 Consequently, the treatment effects of rotation and angulation control have been primary goals during orthodontic treatment.21–23 Clear aligner therapy has become a promising treatment option but the moment-delivering capacity of aligners remains questionable.10,11,13–15 Therefore, a hybrid approach combining aligners and fixed appliances has been recommended for cases requiring severe tooth rotational and root movements.16,17 In the present case report, the detailed mechanics of a hybrid technique using CBCT and intra-oral scan data were presented and analysed.
The force diagram of the treatment mechanics is shown in Figure 6. In the oblique view (Figure 6D), a cantilever is activated with a force F1 (indicated by a striped arrow). This force is delivered to the canine (denoted by a white plain arrow) at the resin attachment point. The reaction force (represented by a black bold arrow) is transferred to a micro-implant. All forces have the same magnitude as F1. Consequently, by the law of equilibrium in physics, a root distal moment M1 = F1×d is produced. Using a similar logic, the crown mesial-out rotation moment M2 = F2×d is predicted from the occlusal view (Figure 6E). By using a NiTi wire, these moments were delivered in a light-continuous manner, which is the most effective and efficient orthodontic loading pattern.24 However, the forces F1 and F2 exerted on the canine crown (white plain arrows) and the root distal moment M1 could lead to undesired crown movement in the occlusal-lingual-mesial direction. With the use of aligners, this unwanted movement can be restricted by the appliances.
Using voxel-based registration of the CBCT scans of the mandibles, the total canine movement between pre- and post-treatment was visualised (Figure 12). The canine root apex moved distally, while the crown exhibited a mesial-out rotation and a slight mesial shift. The displacement vectors around the canine three-dimensionally illustrated this overall movement. The movement pattern co-incided with the predictions identified in the force diagram in Figure 6, which implies that the required moment was transferred reliably with successful control of the side effects.
The efficacy of aligner therapy for the right mandibular canine was thoroughly analysed. The initial clear aligner set (using only aligners) achieved accuracies of 22.5% for rotation and 16.1% for root movement, with corresponding angular efficiencies of 1.6°/month and 0.7°/month, respectively (Table II). Subsequently, the hybrid method yielded significant improvements noted as accuracies of 55.8% for rotation and 55.5% for root movement, along with angular efficiencies of 4.3°/month and 2.8°/month during the last 5.5 months. Clearly, the hybrid approach outperformed the conventional aligner-only technique in accuracy and efficiency. Consequently, the treatment time was positively shortened.
Root movement is difficult to achieve and particularly challenging using aligners.13,15,25,26 Although the hybrid method enhanced the accuracy and efficiency of root movement, the present results could not be compared with other studies since quantitative reports focusing on root movement in the mesiodistal direction are rare. Previous studies usually analysed incisor torque control by lateral cephalograms or molar angulation using panoramic radiographs, rather than CBCT.15,25,26 Moreover, while recent aligner studies have investigated the accuracy of molar angulation control using virtual models, the results did not definitively distinguish tipping versus root movements.10,27,28 Based on current knowledge, this is the first clinical study presenting accuracy and efficiency data of second-order root movements based on CBCT and virtual models.
Canine rotation is an additional challenge.10,11,27–30 The more severe the canine rotation, the less predictable the treatment outcome.10,14,30 Hence, it is advisable to use alternative methods before attempting aligner treatment for severe rotation exceeding 20°.11,30 Furthermore, when severe rotation and angulation requiring root movement co-exist in a single tooth, it may become even more complicated to resolve.31 The supplementary NiTi cantilever, supported by a micro-implant, effectively enhanced the accuracy and efficiency of aligner treatment in this challenging context. If the hybrid method had been attempted from the start, it is likely that the total treatment time would have been shortened.
Of note, the initial bracketless NiTi wire was ineffective in alleviating the mandibular crowding (Figure 4 and Table II). The patient had a mild hypodivergent vertical skeletal pattern with good molar interdigitation (Figures 1 and 2). The low mandibular plane angle and the patient’s likely heavy biting force may have delayed tooth movements.32 After wearing aligners, the inter-occlusal material might have relieved the heavy interdigitation, consequently promoting tooth alignment.
An advantage of the hybrid technique is that the force-moment magnitude is easily adjustable. By extending the cantilever length through a distant placement of the micro-implant, clinicians can increase the force moment. Additionally, this approach is versatile and adaptable to various clinical scenarios. For example, in premolar extraction cases, attaching a NiTi cantilever to the cervical portion of the first molar can provide an effective molar uprighting moment.
However, caution may be needed when extrapolating the present results to a broader context. While this single clinical case demonstrated a promising outcome, further studies with a larger sample size are required to generalise the findings.
A severely rotated and angulated right mandibular canine was effectively and efficiently treated using a hybrid method that combined clear aligners and a cantilever spring attached to a micro-implant. The NiTi cantilever reliably delivered a moment in a light continuous manner. As a result, the accuracy and efficiency of the canine rotation and root movement were improved two to four times. For the treatment of a severely rotated or angulated tooth, the hybrid approach may be adjunctively considered.