An anterior open bite is a vertical dysplasia associated with a dental and/or skeletal aetiology.1 A dental open bite is caused by a lack of eruption or excessive labial inclination of the anterior teeth, primarily due to habitual sucking or biting.2,3 By contrast, a skeletal open bite is characterised by a divergent skeletal pattern, involving a high mandibular plane angle, a posteriorly inclined palatal plane, or an excessive anterior facial height.3–5 Unfortunately, distinguishing between these two is difficult because mixed forms are more common.5
Early treatment has been considered for a malocclusion associated with growth or functional problems related to a skeletal Class II and III, a transverse deficiency, or sleep apnoea.6–8 As an open bite is often associated with functional problems such as abnormal tongue posture as well as vertical skeletal growth issues,2–5 early treatment should be considered when an open bite is identified at a young age.9–11
Conventional orthopaedic treatment for an open bite focuses on reducing the vertical morphologic facial imbalance. High-pull headgear, activators, bionators, or posterior bite blocks are commonly used. By limiting the vertical eruption of the molars, a counterclockwise mandibular rotation is induced, and in turn, skeletal divergence is minimised.11–16
By contrast, myofunctional therapy (MFT) focuses on functional rather than skeletal factors. For example, tongue-thrusting and a weak biting force are usually noted in a patient with a skeletal open bite.17–21 The unfavourable muscular factors associated with an open bite pattern are the main targets of MFT.22,23 The exact causal relationship between these factors and an open bite is still unclear.9,17,18,24 However, many studies have reported successful bite closure through MFT.25–27
Early treatment may be possible if conventional strategy is combined with MFT.11,26,28 The most critical factor that determines success or failure is patient compliance. However, a patient may find it challenging to tolerate both a bulky removable device and tedious muscle exercises unless highly motivated. Therefore, a fixed appliance may be a treatment alternative if appropriate mechanics can be configured. A vertical holding appliance (VHA) is a transpalatal arch (TPA) with a resin pad on its palatal loop area. The VHA was originally devised to maintain vertical dimension during premolar extraction treatment by using a tongue force, suggesting optimal matching with MFT.29 Treatment success in a patient presenting with an open bite may be further increased if the VHA is used in combination with MFT.
In the present report, early interceptive treatment using a VHA with MFT is described in a patient presenting with a skeletal open bite, and treated using the MFT protocol, a smile–clenching–swallow exercise, and followed for 3 years.
The study was approved by the Kyungpook National University Dental Hospital Institutional Review Board (KNUDH-2022-03-03-00). The abbreviations used in this article are summarised in Table I. A 10-year-old girl visited the Orthodontic Department at Kyungpook National University Dental Hospital, Daegu, Republic of Korea, with a chief complaint of being unable to incise food with her front teeth. She had a convex facial profile and the vertical proportion of the lower third of the face was slightly greater than those of the middle and upper thirds. She also exhibited incompetent lips, mentalis hyperactivity, and tongue-thrusting habits during swallowing (Figure 1).

Pretreatment records, including extraoral and intraoral photographs, cephalogram, panoramic radiograph, and three-dimensional virtual model.
List of abbreviations
| Abbreviations | Definition |
|---|---|
| MFT | Myofuncional therapy |
| VHA | Vertical holding appliance |
| TPA | Transpalatal arch |
| CBCT | Cone-beam computed tomography |
The patient was in the late mixed dentition stage. Intraorally, an anterior open bite was observed. The overjet and overbite were 3.0 mm and −4.0 mm, respectively. Only the first molars and the left second deciduous molars were in contact with the opposing teeth during habitual occlusion, implying the possibility of molar overeruption. Bilaterally, the first molars were in an Angle’s Class I relationship.
On the panoramic radiograph, the remaining deciduous molars appeared close to exfoliation. The lateral cephalogram revealed a hyperdivergent vertical skeletal pattern, including a high mandibular plane angle and a posteriorly downward palatal plane. The anteroposterior relationship was normal (Table II).
Cephalometric measurements
| Measurements | Pre treatment | 3 months | 30 months | Post treatment | 3-year retention | |
|---|---|---|---|---|---|---|
| Anteroposterior | SNA (°) | 78.1 | 78.1 | 78.3 | 78.3 | 76.3 |
| SNB (°) | 76.8 | 78.1 | 78.4 | 77.7 | 78.1 | |
| ANB (°) | 1.4 | 0 | -0.1 | 0.6 | -1.8 | |
| A to N-perp (mm) | -6.72 | -7.7 | -7.2 | -6.9 | -7.4 | |
| Pog to N-perp (mm) | -14.4 | -11.8 | -10.2 | -11.7 | -9.8 | |
| Vertical | SN to palatal plane angle (°) | 4.1 | 4.1 | 2.9 | 2.9 | 2.5 |
| SN to occlusal plane angle (°) | 25.2 | 25.4 | 26.7 | 26.8 | 24.6 | |
| SN-GoMe (°) | 38.5 | 36.4 | 37.4 | 38.5 | 38.4 | |
| Anterior Facial Height (AFH) (mm) | 117 | 113.5 | 119.2 | 122.3 | 128.8 | |
| Posterior Facial Height (PFH) (mm) | 72.1 | 70.8 | 73.9 | 75.2 | 80.4 | |
| Facial height ratio (PFH/ AFH) | 0.62 | 0.62 | 0.62 | 0.61 | 0.62 | |
| Dental | U1 to FH (°) | 114.9 | 114.2 | 115.2 | 106.3 | 113.4 |
| IMPA (°) | 90.6 | 87.3 | 87.3 | 83.7 | 83.6 | |
| Interincisal Angle (°) | 120.9 | 126.3 | 124.8 | 136.3 | 132.8 |
The patient was diagnosed with a skeletal open bite and a tongue-thrust habit. The treatment objectives were to (1) reduce the skeletal divergence, (2) close the anterior open bite, (3) establish good molar interdigitation, (4) position the tongue appropriately, (5) alleviate lip incompetency, and (6) improve the profile convexity.
The deciduous molars were to be extracted to bring about the possible closure of the mandibular plane. An activator combined with a high-pull headgear to control the vertical dimension was initially considered. The patient declined the treatment because of the bulky size of the headgear and consequent discomfort in daily life. Therefore, a VHA combined with a smile–clenching–swallow exercise, a type of MFT intended to recover the appropriate orofacial muscular coordination, was proposed as an alternative treatment, to which the patient consented.
After extracting all of the remaining deciduous molars, a VHA that was fabricated at chairside, was placed. The patient was educated about the steps of the smile–clenching–swallow exercise. In the muscle-training program, the patient swallows while clenching the molars and pushing the palate using the dorsal surface of the tongue at the position established during a smile. When a person smiles, the tongue is naturally retracted posteriorly because of the structures interactions with the facial muscles. On contacting the palate, the tongue forms an oral seal. Repeated intentional clenching may also strengthen the masticatory muscles.30,31 With the VHA inserted into the oral cavity, the tongue pushes the resin pad instead of the palate and relays an intrusive force to the maxillary molars (Figure 2). The patient was encouraged to perform the MFT exercise at least twice a day for 15 min each time. The patient’s compliance with the training was excellent, and she performed it more than the prescribed number of times. Muscle co-ordination was ultimately expected to occur naturally without conscious effort.

Vertical holding appliance. A, Mechanism of the vertical holding appliance combined with the smile–clenching–swallow exercise. (a) Resin button of the appliance. A space of approximately 3 mm is present between the resin button and palate. (b) Dorsal surface of the tongue. (c) Functional force applied on the resin button by the tongue. (d) Vertical force acting on the first molars transmitted through the appliance. (e) Tongue-reminding effect by the resin button. B, Positive feedback chain between the smile–clenching–swallow exercise and the vertical holding appliance. C, Upper occlusal view. D, Pressure mark on the dorsal surface of the tongue after the smile–clenching–swallow exercise.
After 3 months of treatment, the anterior open bite was alleviated. The vertical dimension was reduced as a result of upper molar intrusion (by approximately 1.5 mm) and a counterclockwise mandibular rotation. The lower incisors extruded by approximately 1 mm, indicating a possible improvement in tongue position. Facial convexity also improved (Figure 3). Since the premolars and canines were still erupting, bimonthly reviews were scheduled. During this time, the VHA was retained, and the smile–clenching–swallow exercise continued.

Records at 3 months of treatment, including extraoral and intraoral photographs, cephalogram, and superimposition of radiographs taken before treatment and after 3 months of treatment.
The occlusion was stable at both 16 and 25 months after treatment. Good buccal interdigitation was evident without signs of relapse (Figure 4). At 30 months of MFT, superimposed lateral cephalograms showed a slightly diverging growth pattern and a mild skeletal Class III (ANB -0.1°) (Figure 5, Table II). Although the overall facial aesthetics was acceptable, a slight anterior open bite persisted. Moreover, residual mild crowing and poor interdigitation were observed, which the patient and her parents wanted resolved. Therefore, a comprehensive fixed appliance treatment plan was determined. Fixed orthodontic treatment using straight-wire appliances (0.022-inch slot, Absoclusion, Dentos Co., Daegu, Republic of Korea) and 0.016-inch nickel-titanium wires were placed. The VHA was maintained, and the patient continued with the smile–clenching–swallow exercise.

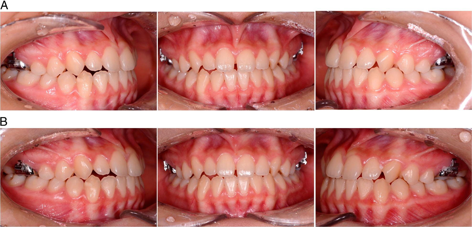
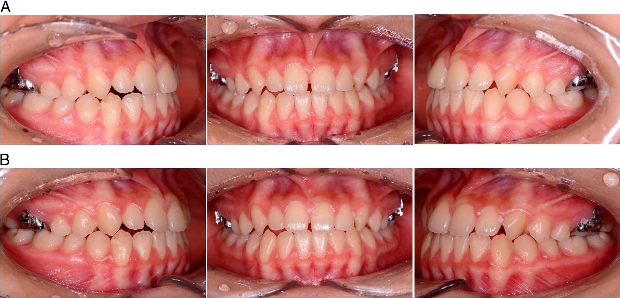
Intraoral photographs. (A) At 16 months of treatment. (B) At 25 months of treatment.

Records at 30 months of treatment, including extraoral and intraoral photographs, cephalogram, and superimposition between 3 months and after 30 months of treatment. The photographs were taken immediately after bonding braces.
After 32 months of treatment, the wires were replaced with 0.016 × 0.022-inch beta-titanium wires in the upper and lower arches. To settle the occlusion, vertical elastics were applied bilaterally between the upper and lower canines. Fine wire adjustments were incorporated to enhance the dental alignment.
Treatment was completed at 40 months. For retention, fixed lingual retainers were bonded to the upper and lower anterior teeth, and the patient wore removable circumferential-type retainers. The smile–clenching–swallow exercise was then prescribed as a daily routine for functional retention, with the expectation that the actions would become an unconscious habit.
Smile aesthetics was maintained with good incisal display even after anterior tooth extrusion. The mandibular plane angle, which decreased during early functional therapy, returned to the initial post-treatment value. The facial profile remained straight. The canines and molars were in an Angle Class I relationship. Controlled tipping of the upper incisors and extrusion of the lower incisors established a normal overjet and overbite (Figure 6, Table II).

Post-treatment records, including extraoral and intraoral photographs, three-dimensional virtual model, panoramic radiograph, cephalogram, and superimposition of radiographs taken at 30 months of treatment and post-treatment. All post-treatment records were taken after debonding braces.
At a 1 year of follow-up visit, the treatment outcomes were well-maintained (Figure 7). However, subtle changes began to appear after 3 years of follow-up. Specifically, a mild Angle Class III relationship was identified on the right side, accompanied by a shallow overbite and dental midline deviation. On careful examination, a mild increase in profile concavity and a slight chin deviation to the left were detected. The superimposition of the post-treatment cone-beam computed tomography (CBCT) image and the image taken at the 3-year follow-up period revealed a mild skeletal Class III growth tendency with a slight menton deviation to the left (Figure 8). However, the overall facial appearance and occlusion were acceptable. The patient is being carefully monitored at yearly intervals.

Retention records. (A) Extraoral photographs at 1-year follow-up. (B) Extraoral photographs at 3-year follow-up. (C) Intraoral photographs at 1-year follow-up. (D) Intraoral photographs at 3-year follow-up.

Cone-beam computed tomography superimposition between post-treatment and 3-year follow-up images. Yellow and red dots denote the post-treatment measurements and 3-year follow-up measurements, respectively. (A) Lateral view. More prominent forward growth of the mandible than the maxilla. (B) Frontal view. Menton deviation to the left.
An unfavourable growth pattern tends to continue until growth is complete5,9 and, adversely worsen a skeletal open bite. To change the direction of facial development, early interceptive treatment for a skeletal open bite patient is essential.9–11 Controversies regarding the role of functional factors in the aetiology of open bites exist.9,17,18,24 However, MFT is a conservative treatment, supported by many studies reporting the efficacy of this type of muscle training.25–27 Therefore, MFT may be a valuable adjunctive therapy, although it cannot replace formal orthodontic treatment.22
A consistent intrusive force on the molars is the key to the success of conventional orthopaedic treatment9,11–16 and therefore, excellent patient compliance is critical. This situation is similar to that of the MFT as muscle training is tedious and time consuming. Among other reasons, MFT is not widely used among orthodontists because the treatment outcome is unpredictable.26 Difficulties with motivating the patient may contribute to the inconsistent results of MFT.
A VHA is a fixed orthodontic appliance originally devised to limit the increase in vertical dimension during extraction treatment of a patient with a dolichofacial pattern.29 The VHA comprises a TPA with a resin pad bonded to its palatal loop area. An intrusive force is transmitted to the maxillary molars when the dorsal surface of the tongue presses against the resin pad. With this vertical mechanism of action, the VHA is indicated for the early interceptive treatment of a skeletal open bite. Being a fixed device, there is less dependence on compliance.
In the present report, the treatment protocol using a VHA utilised tongue forces generated from the smile–clenching–swallow exercise to limit maxillary molar extrusion. The resin pad may deliver both an active force generated from swallowing and a passive force owing to the tongue volume at rest when positioned appropriately. The latter may be a lighter but continuous force. Moreover, the resin pad is a constant reminder to the patient to perform the MFT exercise. The co-operation issue was minimised by constructing this positive feedback chain, therefore integrating orthopaedic treatment and MFT.
The smile–clenching–swallow exercise is an MFT protocol developed by the author (H.S.P.). Patients performing this exercise may simultaneously acquire appropriate tongue position, an oral seal, a mature swallow, and strengthened masticatory muscles. Specifically, children with an open bite tend to experience difficulties in finding neutral tongue position because of impaired sensorimotor co-ordination.32,33 Smiling can help a child find the appropriate posterior location for the tongue because of the muscular interaction between the tongue and facial muscles. The tongue fills the oral cavity, pushes the palate, and forms an anterior oral seal. In addition, keeping the teeth in contact is a characteristic feature of a mature swallow.34 By clenching the molars intentionally at each swallow, the patient may develop a mature swallowing habit, supported by a strengthening of the masticatory muscles.30,31 Simplicity is another advantage of the smile–clenching–swallow exercise. Despite its long history, the most appropriate MFT protocol has not been established.25,26 A professional orofacial myologist generally prescribes a customised training program consisting of multiple separate muscle movements for each patient. Additional appointments must be set aside for training, which can be a practical burden for both the patient and orthodontist. By contrast, the smile–clenching–swallow exercise presents a single universal training technique that mimics the mature swallowing pattern with a series of continuous orofacial muscle movements. With brief education by an orthodontist at the chairside and repeated learning at every visit, the treatment effect can be quickly confirmed and enhanced.
After 3 months of treatment, the initial skeletal divergence decreased remarkably, resulting in open-bite closure. As expected, the divergent growth pattern continued, leading to a high mandibular plane angle. The increase was limited, and acceptable facial proportions and occlusal stability were achieved. Stability may be due to the regular smile–clenching–swallow exercise and VHA, as a continual upward force is generated to counteract the downward growth tendency.
The comprehensive fixed treatment took only 10 months to complete and involved only minor tooth alignment. The fixed treatment would have been much more challenging if early treatment was not performed or if it failed. Multiple micro-implants would have been essential to intrude the molars.35 Premolar extractions may have been necessary depending on the severity of the vertical proportion deterioration.36 Consequently, the fixed treatment would likely have taken more than 2 years to complete. With successful early interceptive treatment, the second phase of treatment was shorter and more straightforward.
Changes in the occlusion and facial appearance identified at 3 years of follow-up were caused by anteroposterior discrepancies. CBCT superimposition showed a more prominent forward growth of the mandible than that of the maxilla. The dental compensation for the anteroposterior growth, not vertical growth, resulted in a shallow overbite and only mild molar interdigitation. Fortunately, the skeletal dysplasia was not aggressive and the overall facial appearance and occlusion remained acceptable. Furthermore, considering that the patient was 16 years old at the time of the 3-year CBCT, her pubertal growth was close to completion. The patient is currently being monitored at yearly intervals until the end of growth.
A VHA combined with a smile–clenching–swallow exercise could effectively decrease the skeletal divergence of an open bite during the mixed dentition stage. A resin pad on the VHA delivered a constant upward force to the maxillary first molars and served as a reminder for the patient to perform the smile–clenching–swallow exercise. This reduced patient compliance problems and optimised the orthopaedic treatment and MFT. The treatment outcomes were stable at a 3-year follow-up period, except for mild relapse due to a skeletal Class III tendency. Although the treatment strategy achieved successful clinical effects, generalising its efficacy requires caution because the findings were obtained from a single clinical case. Further prospective clinical studies on this approach are needed.