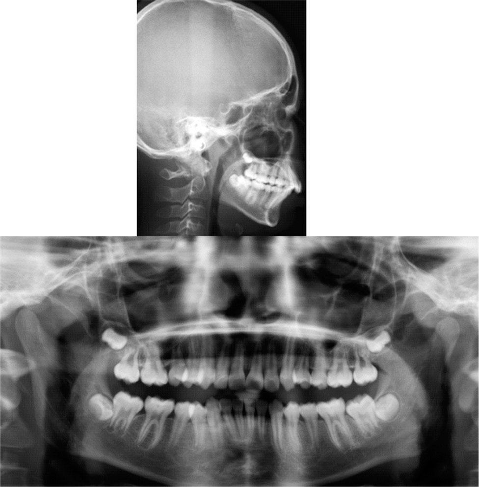
Figure 1.

Figure 2.

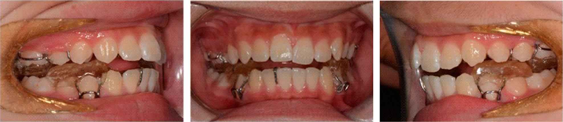
Figure 3.

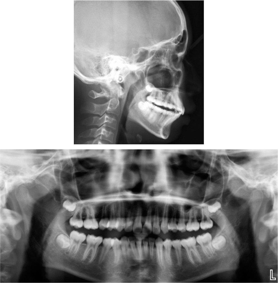
Figure 4.

Figure 5.

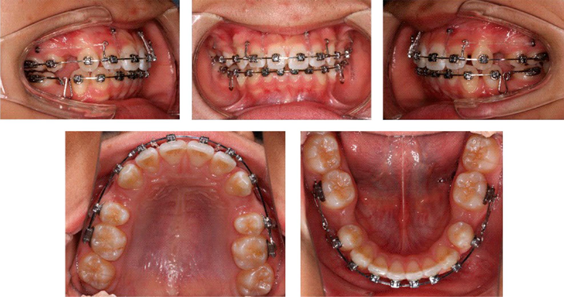
Figure 6.

Figure 7.

Figure 8.

Figure 9.

Figure 10.

Figure 11.

Figure 12.

Figure 13.

Figure 14.

Figure 15.

Cephalometric measurements (T1 Pretreatment; T2 12 months after Twin-block treatment; T3 36 months after fixed orthodontic treatment)
| Measurement | Norm | T1 | T2 | T3 |
|---|---|---|---|---|
| SNA(°) | 83.0 | 87.3 | 86.8 | 86.1 |
| SNB(°) | 80.0 | 77.9 | 79.6 | 81.6 |
| ANB(°) | 3.0 | 9.4 | 7.2 | 4.5 |
| NP-FH(°) | 85.0 | 81.5 | 84.5 | 84.4 |
| NA-PA(°) | 6.0 | 19.8 | 16.5 | 10.0 |
| U1-SN(°) | 105.0 | 108.8 | 101.3 | 107.9 |
| U1-NA(°) | 22.0 | 21.6 | 14.5 | 21.9 |
| L1-NB(°) | 30.0 | 37.3 | 41.4 | 25.6 |
| IMPA(°) | 88.0 | 111.0 | 113.2 | 98.7 |
| FMIA(°) | 67.0 | 44.0 | 43.1 | 59.0 |
| FMA(°) | 25.0 | 25.0 | 23.7 | 22.3 |
| Y-axis angle (°) | 65.8 | 65.8 | 64.2 | 64.0 |
| Z-angle(°) | 75.0 | 52.8 | 59.7 | 65.3 |
| Po-Go(mm) | – | 6.9 | 7.2 | 7.3 |
| Gn-Co(mm) | – | 10.2 | 10.8 | 11.1 |