Echinococcosis, commonly known as hydatid disease, is a zoonotic infection that poses significant public health challenges worldwide, particularly in regions with extensive agriculture and intense interactions between humans and animals. It is caused by parasitic worms belonging to the Echinococcus genus, with Echinococcus granulosus being the most prevalent species implicated in human infections (1). These parasites inhabit the intestines of definitive hosts, notably domestic dogs, which excrete their eggs through faeces, facilitating the transmission to livestock and humans, especially in the endemic areas of Bosnia and Herzegovina, where traditional farming methods prevail, combined with insufficient public health measures to prevent the spread of this insidious infection. The epidemiological landscape of Bosnia and Herzegovina raises concern about the rising prevalence of echinococcosis in the general population (2). Recently, Obradović et al. (3) reported that cystic echinococcosis is endemic in the area of the Federation of Bosnia and Herzegovina, very similar to the other countries in the Mediterranean area. The repercussions of this disease extend beyond health implications as it may diminish livestock productivity and adversely affect local farmers and economies.
This case report presents a detailed review of echinococcosis progression in a patient that reached an advanced stage due to delayed diagnosis. The multivisceral manifestations of this disease, which are the focal point of this paper, present considerable therapeutic challenges due to their broad impact on multiple organ systems, frequently requiring complex surgical interventions and full follow-up.
As a welder in a locksmithing company where he had worked for nine years, a 43-year-old male patient residing in a rural region of Bosnia and Herzegovina sought consultation during a regular examination due to persistent discomfort for the past five months and a significant sensation of fullness in the left upper quadrant of his abdomen. The patient reported considerable exposure to dogs in both his domestic (since childhood) and occupational environment. He denied having any significant medical history or prior serious health complications but conceded to experiencing occasional abdominal pain for several months, which he often dismissed owing to the absence of pronounced symptoms typically suggestive of a more severe condition, except on two occasions, when he was given dietary advice and antispasmodics.
Palpation of the abdomen revealed enlarged liver by two centimetres in the midclavicular line and painful tenderness in the left hemiabdomen. After a detailed medical history and physical examination, the patient underwent complete laboratory and diagnostic imaging, including blood tests to evaluate liver function, inflammatory markers (C-reactive protein, and erythrocyte sedimentation rate), serological tests for parasite-specific antibodies, and imaging. The complete blood count (CBC), biochemistry (total protein, albumin, globulin, total bilirubin, direct and indirect bilirubin, transaminases, total cholesterol, triglycerides, high and low density lipoproteins), and urine analysis were within the reference values. Initial laboratory assessments revealed mild eosinophilia (result: 8.8 % (0.73 × 109/L; reference range: 0–7 % (0.00–0.43 × 109/L), arousing suspicion of a parasitic infection. Considering the patient’s occupational hazards and lifestyle factors, these findings necessitated further diagnostic procedure. Serological tests (IHA – immuno-haemagglutinated method) targeting specific antibodies against Echinococcus antigens returned positive results, confirming the clinical suspicion of echinococcosis (Table 1, first row, baseline).
Antibody titres for Echinococcus granulosus before and after surgery
| Echinococcus granulosus/antibodies | Result | Value | Reference value | Unit | Method |
|---|---|---|---|---|---|
| Baseline test | positive | ≥1:5120 | <1:160 | titre | IHA |
| 4 months after surgery | positive | 1:1280 | <1:160 | titre | IHA |
| 12 months after surgery | positive | 1:320 | <1:160 | titre | IHA |
| 28 months after surgery | positive | 1:160 | <1:160 | titre | IHA |
IHA – immuno-haemagglutinated method
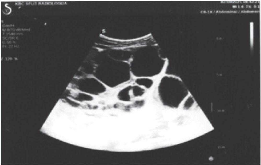
Abdominal ultrasound indicated the presence of multiple cystic formations in the left hemiabdomen and a cyst in in segment VIII of the liver (right lobe, subdiaphragmatic), measuring 10.5 × 8 cm (Figure 1). This prompted a comprehensive differential diagnosis to rule out other potential cystic lesions, such as liver abscess or simple, neoplastic, or congenital cysts.

Right hepatic lobule with hypoechoic avascular formation (cyst)

Left hemiabdomen entirety filled with multiple cystic septated formations
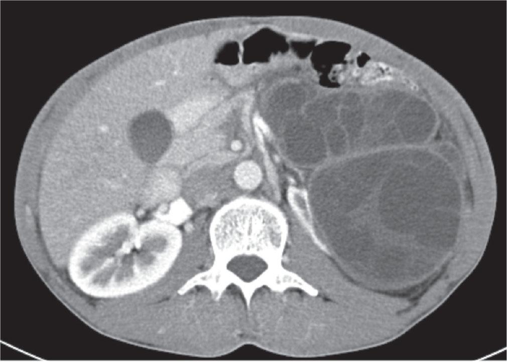
Subsequent multislice computed tomography (MSCT) corroborated the initial findings and revealed multivisceral echinococcal lesions consistent with advanced hydatid disease (Figure 2). It showed multilocular cysts with thick septa in the liver and left hemiabdomen, indicative of longstanding and active Echinococcus infection.

Contrast-enhanced MSCT of the abdomen and pelvis with cystic lesion in the liver and multiple lesions in the left hemiabdomen
Based on the MSCT images, the therapeutic protocol was established in consultation with an infectious disease specialist and abdominal surgeon. Prior to surgical intervention, the patient was receiving 400 mg of albendazole twice a day for four weeks, in line with established therapeutic protocols aimed at suppressing the echinococcal parasite. Followed a 14-day break and another round of four-week albendazole treatment. This prophylactic measure aimed at minimising the risk of intraoperative dissemination of echinococcal larvae, which can occur if the cysts are damaged during surgery.
The surgical intervention involved careful resection of all multiple cystic formations, treatment of the descending colon, left nephrectomy, and pericystectomy in segment VIII of the liver.
The postoperative recovery phase was uneventful, which is often considered a favourable outcome following such an invasive procedure. The patient had no signs of complications or disease recurrence. To ensure the eradication of any residual larvae, the patient was prescribed 400 mg of albendazole twice a day for 14 days.
The follow-up imaging 12 months after surgery, including both ultrasound and MSCT scans, was reassuring, as it revealed no recurrence of lesions (Figure 3). In addition, antibody titres for Echinococcus granulosus measured four and 12 months after surgery showed a decreasing trend and reached the reference range 28 months after surgery (Table 1).

Postoperative contrast-enhanced MSCT of the abdomen and pelvis without cystic lesion 12 months after surgery
Because of invasive surgery and physical requirements of the workplace, the worker was permanently prohibited from working at a height above three meters and lifting and carrying loads above 10 kg.
Our case illustrates the clinical complexities and diagnostic challenges associated with multivisceral echinococcosis, a condition that complicates patient management due to its propensity to affect multiple organ systems simultaneously. The liver and lungs are typical primary sites of infection, yet diagnostic imaging should go beyond these organs if multiple large cystic formations in the abdomen are revealed, particularly in cases suspected of advanced disease progression (4, 5). These large cysts can cause additional complications, including abdominal pain and gastrointestinal obstruction and require a proactive and vigilant approach from healthcare providers (6, 7).
In this regard, ultrasound has emerged as an invaluable initial screening tool for non-invasive detection and characterisation of hydatid cysts, thanks to real-time imaging that allows immediate assessment of fluid dynamics within the cysts.
A step further is the MSCT imaging, as it not only shows the precise location and extent of the lesions, but can also identify potential complications such as cyst rupture or secondary infection, which pose significant risks to the patient if not addressed promptly (8, 9).
The preoperative administration of albendazole is a standard protocol in managing echinococcosis (10), aimed at suppressing parasite viability and minimising potential intraoperative complications associated with cyst manipulation. How effective this pharmacological intervention will be in decreasing cyst size determines the surgical strategy, which can ultimately improve treatment outcome. However, it is imperative to closely monitor patients for any adverse reactions to the medication, as its systemic effects may complicate the clinical scenario.
An effective treatment plan for patients diagnosed with echinococcosis requires a collaborative, multidisciplinary approach that should involve an infectious disease specialists, a radiologist, a surgeon, and an anaesthesiologist.
Moreover, it is important to strengthen epidemiological surveillance and develop national guidelines aimed at controlling echinococcosis in endemic regions (2, 11). Collaboration with local governments and non-governmental organisations can further optimise resource allocation, provide training for healthcare providers, and facilitate the implementation of vaccination programs for livestock as significant reservoirs of the parasite. By adopting a multifaceted strategy rooted in education, prevention, and treatment, the incidence of echinococcosis can be significantly reduced and vulnerable populations protected from its debilitating consequences.