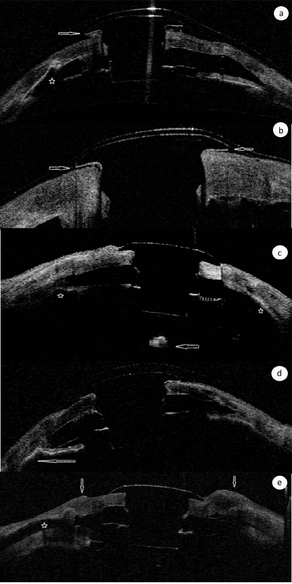
Fig. 1

Fig. 2

Patients’ characteristics and procedures performed on patients undergoing Boston Type 1 KPro implantation
| Patient | Indication for KPro, (number of failed grafts)/primary indication | VA preop. | Glaucoma preop. | Lens status | Addit. procedures at time of KPro surgery | VA postop (first year) | VA postop (last visit) | Complication |
|---|---|---|---|---|---|---|---|---|
| PI | Vascularized leucoma after herpetic keratitis | HM | Phakic | ECE | 0,5 | 0,3 | Glaucoma | |
| PII | Failed graft (1)/Vascularized leucoma after herpetic keratitis | LP | Phakic | ECE | 0,6 | 0,4 | Glaucoma | |
| PIII | Failed graft (2)/Corneal leucoma, Axenfeld-Rieger syndrome | CF | Yes | Pseudophakic | AGV | 0,2 | 0,2 | Retroprosthetic membrane, glaucoma, epimacular membrane |
| PIV | Ocular burn | LP | Yes | Phakic | ECE, AGV | LP | LP | Glaucoma, severe MGD |
| PV | Failed graft (3)/Ocular burn | LP | Yes | Aphakic | 0,05 | NLP | End-stage glaucoma, severe MGD, epimacular membrane | |
| PVI | Ocular burn | LP | Yes | Phakic | ECE | NLP | NLP | End-stage glaucoma, severe MGD |
Conservative Regimen of Patients After Boston Type 1 keratoprosthesis Implantation recorded at the last visit_ (xd_ times daily)
| Patient/sex | Antibiotic | Antihypertensive medications | Others |
|---|---|---|---|
| PI/M | 0.5% vancomycin 1xd. 0.5% moxifloxacin 1xd. | 0.5% timolol 2xd., 0.1% brimonidine 2xd. | lubricant eye drops without preservatives, eyelid hygiene |
| PII/M | 0.5% vancomycin 1xd. 0.5% moxifloxacin 1xd. | 0.5% timolol 2xd. | |
| PIII/F | 0.5% vancomycin 1xd. 0.5% moxifloxacin 1xd. | 0.5% timolol 2xd. | |
| PIV/M | 0.5% vancomycin 1xd. 0.5% moxifloxacin 1xd. | 0.5% timolol 2xd., dorzolamid 2xd., 0.1% brimonidine, 2xd., 0.03% bimatoprost 1xd. | lubricant eye drops, eyelid massage and hygiene, intermittent courses of oral doxycycline |
| PV/M | 0.5% vancomycin 1xd. 0.5% moxifloxacin 1xd. | 0.5% timolol 2xd., dorzolamid 2xd., 0.1% brimonidine 2xd. | |
| PVI/M | 0.5% vancomycin 1xd. 0.5% moxifloxacin 1xd. | 0.5% timolol 2xd., 0.1% brimonidine 2xd. |
Assessment of the ocular surface status preoperatively (Baseline) and postoperatively at last recorded visit (>10 years)
| Patient | Examination | Schirmer test [mm] | Ocular Staining Score [Oxford grading] | MGD grade |
|---|---|---|---|---|
| PI | Baseline | 14 | 1 | mild |
| >10 years | 10 | moderate | ||
| PII | Baseline | 20 | 0 | mild |
| >10 years | 12 | moderate | ||
| PIII | Baseline | 16 | 1 | moderate |
| >10 years | 15 | moderate | ||
| PIV | Baseline | 8 | 3 | severe |
| >10 years | 4 | severe | ||
| PV | Baseline | 15 | 2 | moderate |
| >10 years | 4 | severe | ||
| PVI | Baseline | 8 | 2 | moderate |
| >10 years | 3 | severe |