Have a personal or library account? Click to login
Fish Bone as a Cause of Retropharyngeal Abscess Cover

Fish Bone as a Cause of Retropharyngeal Abscess

Open Access
|Apr 2023

Figures & Tables

Fig. 1

CT scan of sagittal section: prevertebral soft tissue swelling with a fish bone – arrow

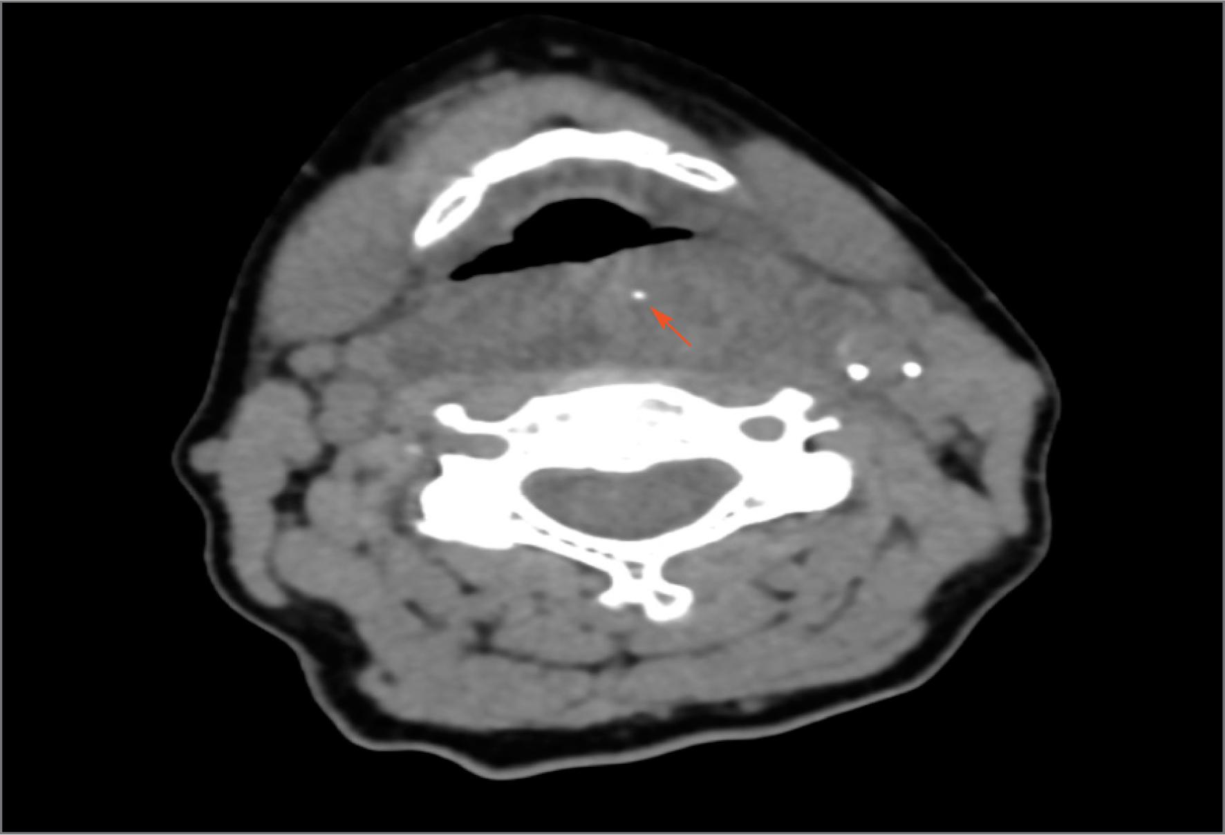
Fig. 2

CT scan, axial section, foreign body – fish bone 15 mm – arrow

Fig. 3

Foreign body – fish bone 15 mm
DOI: https://doi.org/10.2478/acm-2023-0006 | Journal eISSN: 1338-4139 | Journal ISSN: 1335-8421
Language: English
Page range: 45 - 50
Submitted on: Feb 12, 2023
|
Accepted on: Mar 1, 2023
|
Published on: Apr 20, 2023
Published by: Sciendo
In partnership with: Paradigm Publishing Services
Publication frequency: 3 issues per year

© 2023 Cerenská Kristina, Hajtman Andrej, Calkovský Vladimir, Hanzel Pavel, published by Sciendo
This work is licensed under the Creative Commons Attribution-NonCommercial-NoDerivatives 4.0 License.