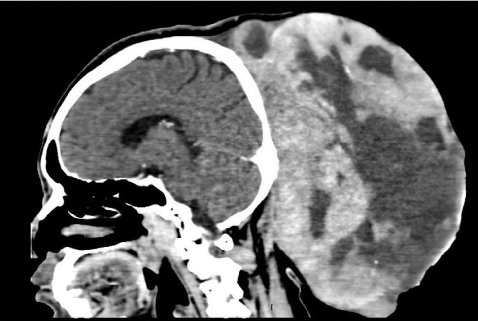
Figure 1.

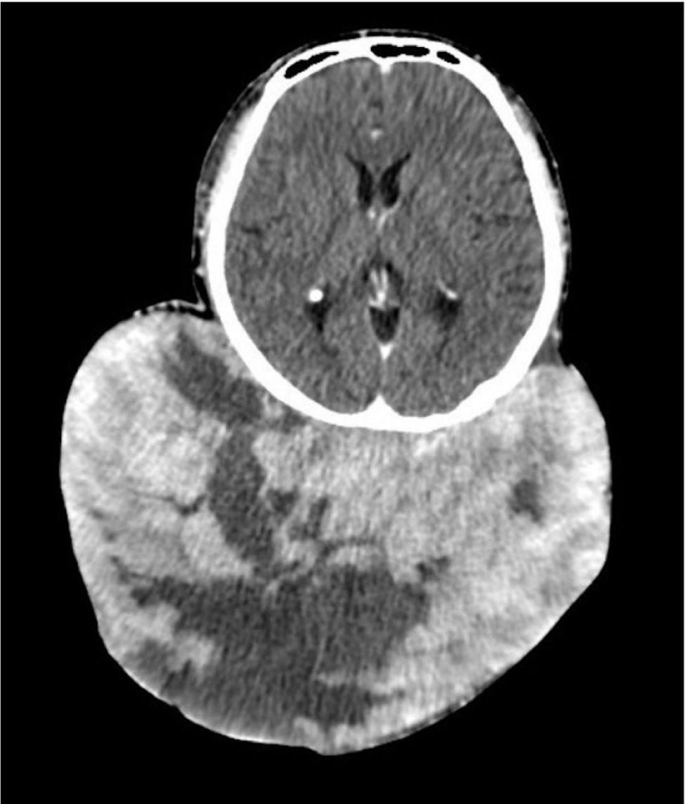
Figure 2.

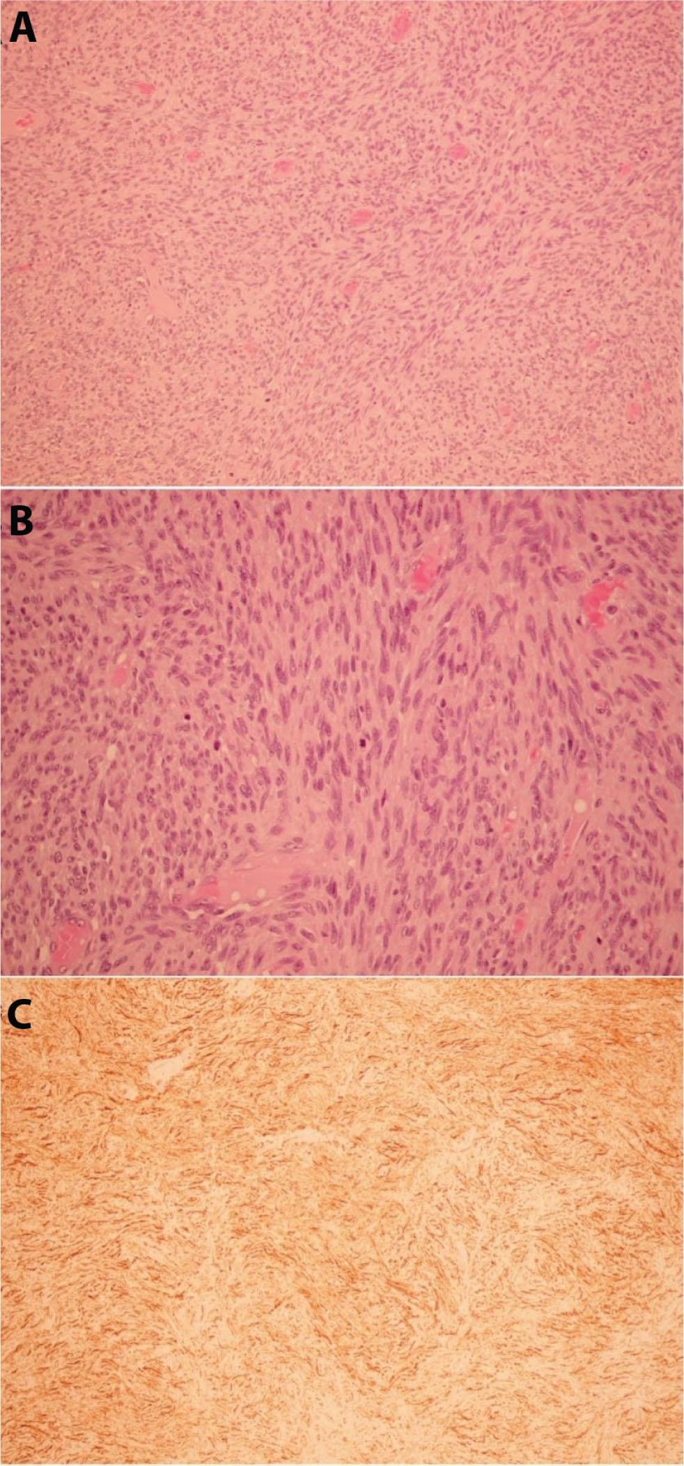
Figure 3.

Figure 4.

Figure 5.

Figure 6.

Figure 7.








© 2023 Bhoowit Lerttiendamrong, Pavinee Annoppornchai, Pasu Promniyom, published by Chulalongkorn University
This work is licensed under the Creative Commons Attribution 4.0 License.