Have a personal or library account? Click to login
Uterine tumor resembling ovarian sex-cord tumor: case report and review of the literature Cover

Uterine tumor resembling ovarian sex-cord tumor: case report and review of the literature

Open Access
|Jun 2022

Figures & Tables

Figure 1

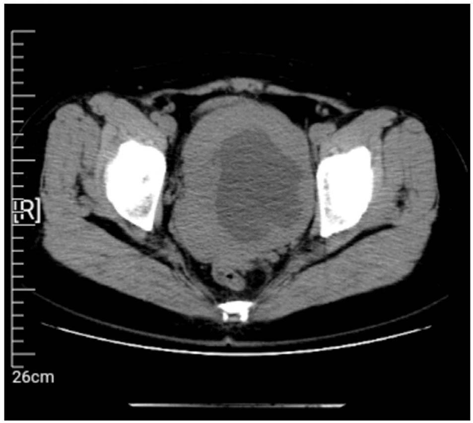
Pelvic computed tomography image showing an unclear defined 11 cm pelvic mass without further abnormalities.
Pelvic computed tomography image showing an unclear defined 11 cm pelvic mass without further abnormalities.

Figure 2

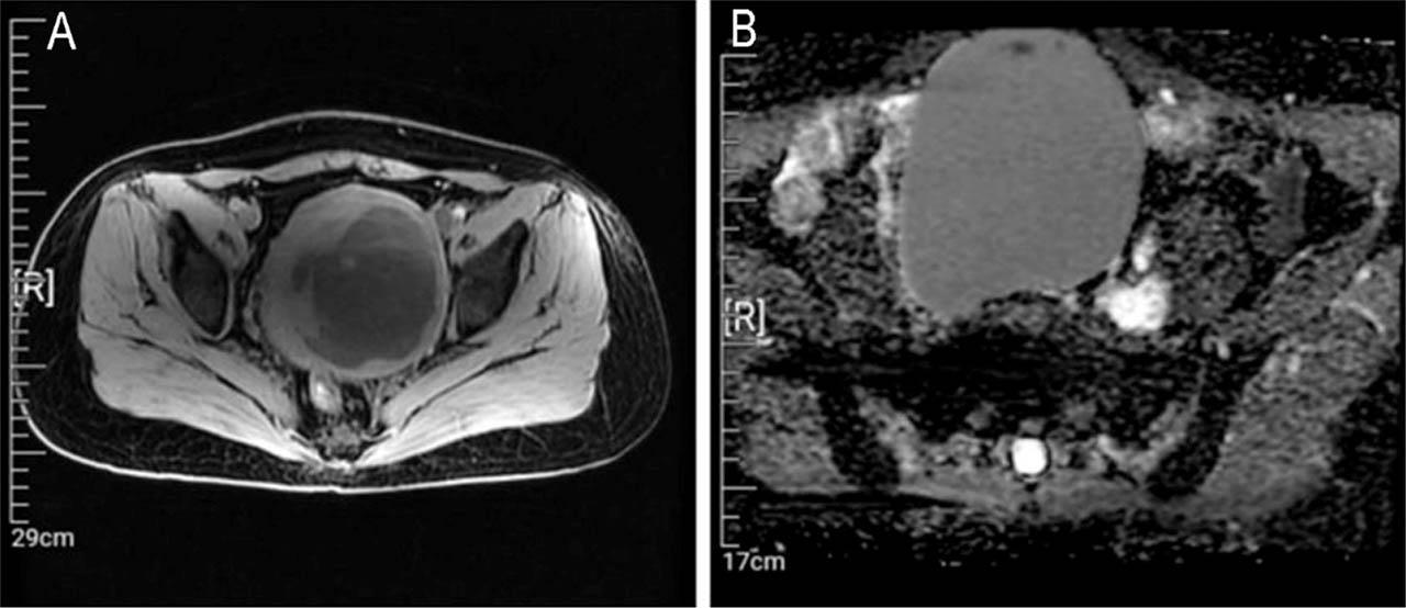
Magnetic resonance imaging and macroscopic findings. (A) T2-weighted image and (B) diffusion-weighted image depicting a high signal intensity in the uterine fibroid.
Magnetic resonance imaging and macroscopic findings. (A) T2-weighted image and (B) diffusion-weighted image depicting a high signal intensity in the uterine fibroid.

Figure 3

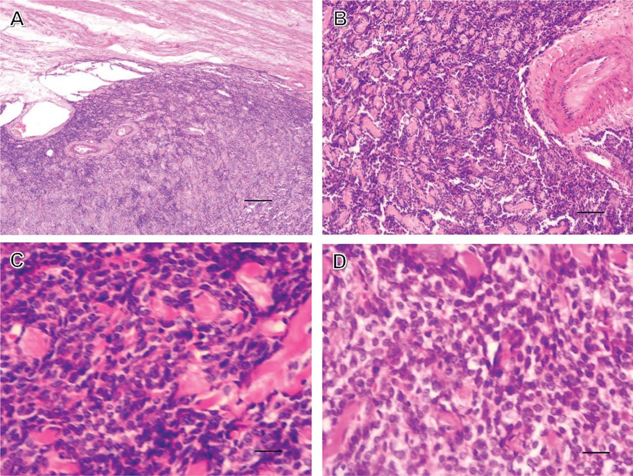
Dense long spindle cell configurations and hyaline stromal changes under hematoxylin and eosin staining. (A) 40× (scale bar 250 μm), (B) 100× (scale bar 100 μm), (C) 400× (scale bar 50 μm), and (D) 400× (scale bar 50 μm).
Dense long spindle cell configurations and hyaline stromal changes under hematoxylin and eosin staining. (A) 40× (scale bar 250 μm), (B) 100× (scale bar 100 μm), (C) 400× (scale bar 50 μm), and (D) 400× (scale bar 50 μm).

Figure 4

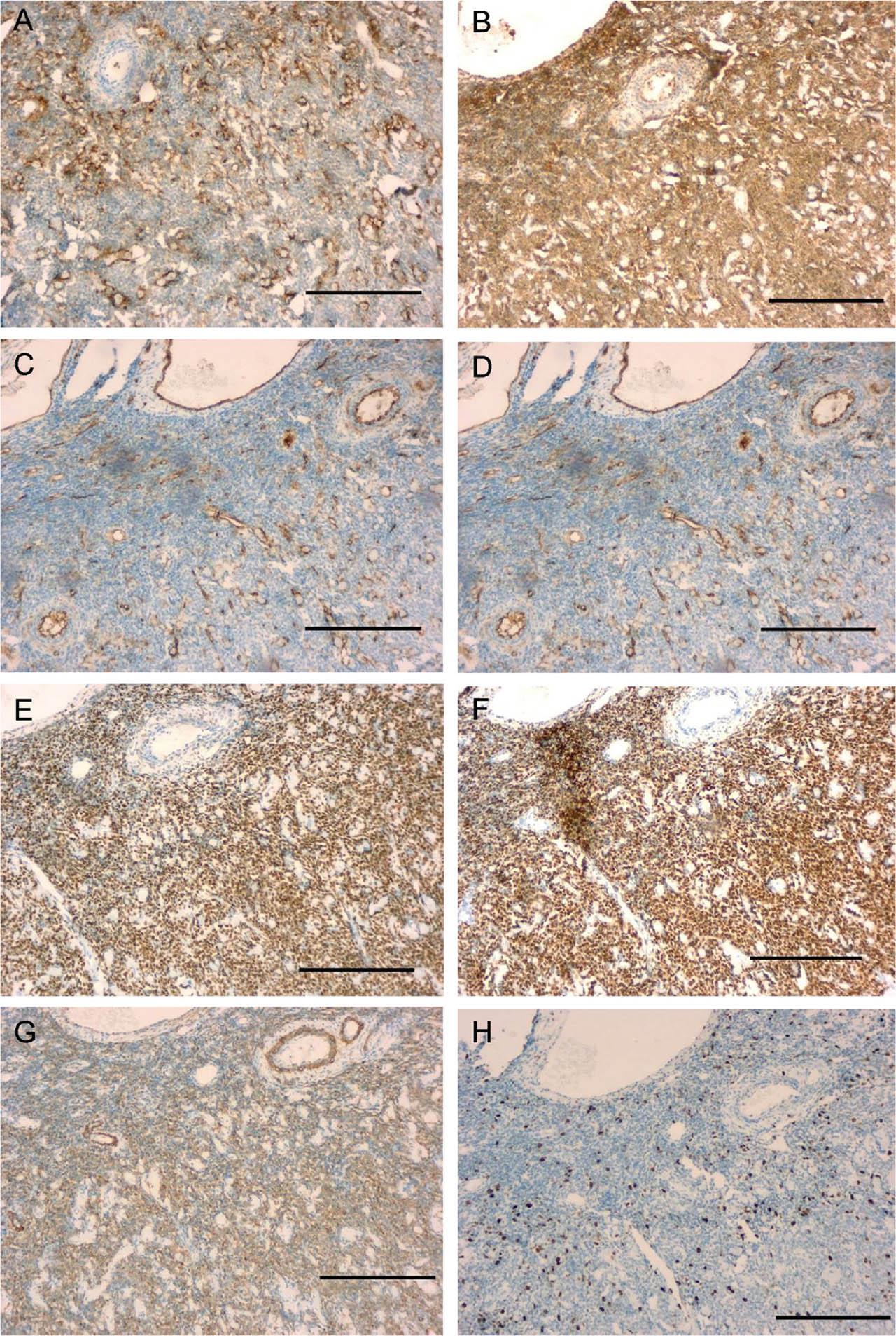
Immunohistochemistry of the UTROSCT. The tumor was positive for (A) CD10 (2+), (B) CD99 (3+), (C) CD34 (+), (D) desmin (3+), (E) ER (3+), (F) PR (3+), (G) SMA (3+), and (H) Ki67 (15%+); magnification: 100× (scale bar 100 μm). The antibodies used were as follows: anti-calretinin (catalog No. CCR-0221, Sainuote Biological Technology Co., China; 1:50); anti-CD10 (catalog No. C6D1; Sainuote Biological Technology; 1:50), anti-CD117 (catalog No. EP10, Sainuote Biological Technology; 1:50), anti-CD99 (clone: 013; catalog No. GT212302, Sainuote Biological Technology; 1:50), anti-CD34 (clone: QBend/10; Sainuote Biological Technology; 1:50), anti-D2-40 (catalog No. D2-40, Sainuote Biological Technology; 1:50), anti-desmin (catalog No. C3B7, Sainuote Biological Technology; 1:50), anti-ER (catalog No. FNab02822, Wuhan Feieng Biological Technology Co., China; 1:50), anti-PR (catalog No. YZK7169, Shanghai Yanzhun Biological Technology Co., China; 1:50), anti-SMA (catalog No. C1C1; Sainuote Biological Technology; 1:50), and anti-Ki67 (catalog No. C3G4, Sainuote Biological Technology; 1:50). ER, estrogen receptor; PR, progesterone receptor; SMA, α smooth muscle actin (actin α-2 (ACTA2)); UTROSCT, uterine tumor resembling ovarian sex-cord tumor.
Immunohistochemistry of the UTROSCT. The tumor was positive for (A) CD10 (2+), (B) CD99 (3+), (C) CD34 (+), (D) desmin (3+), (E) ER (3+), (F) PR (3+), (G) SMA (3+), and (H) Ki67 (15%+); magnification: 100× (scale bar 100 μm). The antibodies used were as follows: anti-calretinin (catalog No. CCR-0221, Sainuote Biological Technology Co., China; 1:50); anti-CD10 (catalog No. C6D1; Sainuote Biological Technology; 1:50), anti-CD117 (catalog No. EP10, Sainuote Biological Technology; 1:50), anti-CD99 (clone: 013; catalog No. GT212302, Sainuote Biological Technology; 1:50), anti-CD34 (clone: QBend/10; Sainuote Biological Technology; 1:50), anti-D2-40 (catalog No. D2-40, Sainuote Biological Technology; 1:50), anti-desmin (catalog No. C3B7, Sainuote Biological Technology; 1:50), anti-ER (catalog No. FNab02822, Wuhan Feieng Biological Technology Co., China; 1:50), anti-PR (catalog No. YZK7169, Shanghai Yanzhun Biological Technology Co., China; 1:50), anti-SMA (catalog No. C1C1; Sainuote Biological Technology; 1:50), and anti-Ki67 (catalog No. C3G4, Sainuote Biological Technology; 1:50). ER, estrogen receptor; PR, progesterone receptor; SMA, α smooth muscle actin (actin α-2 (ACTA2)); UTROSCT, uterine tumor resembling ovarian sex-cord tumor.
DOI: https://doi.org/10.2478/abm-2022-0018 | Journal eISSN: 1875-855X | Journal ISSN: 1905-7415
Language: English
Page range: 145 - 150
Published on: Jun 30, 2022
Published by: Chulalongkorn University
In partnership with: Paradigm Publishing Services
Publication frequency: 6 issues per year

© 2022 Rong Xu, Liping Shao, Wenling Zhang, Zhi-Long Yang, published by Chulalongkorn University
This work is licensed under the Creative Commons Attribution 4.0 License.