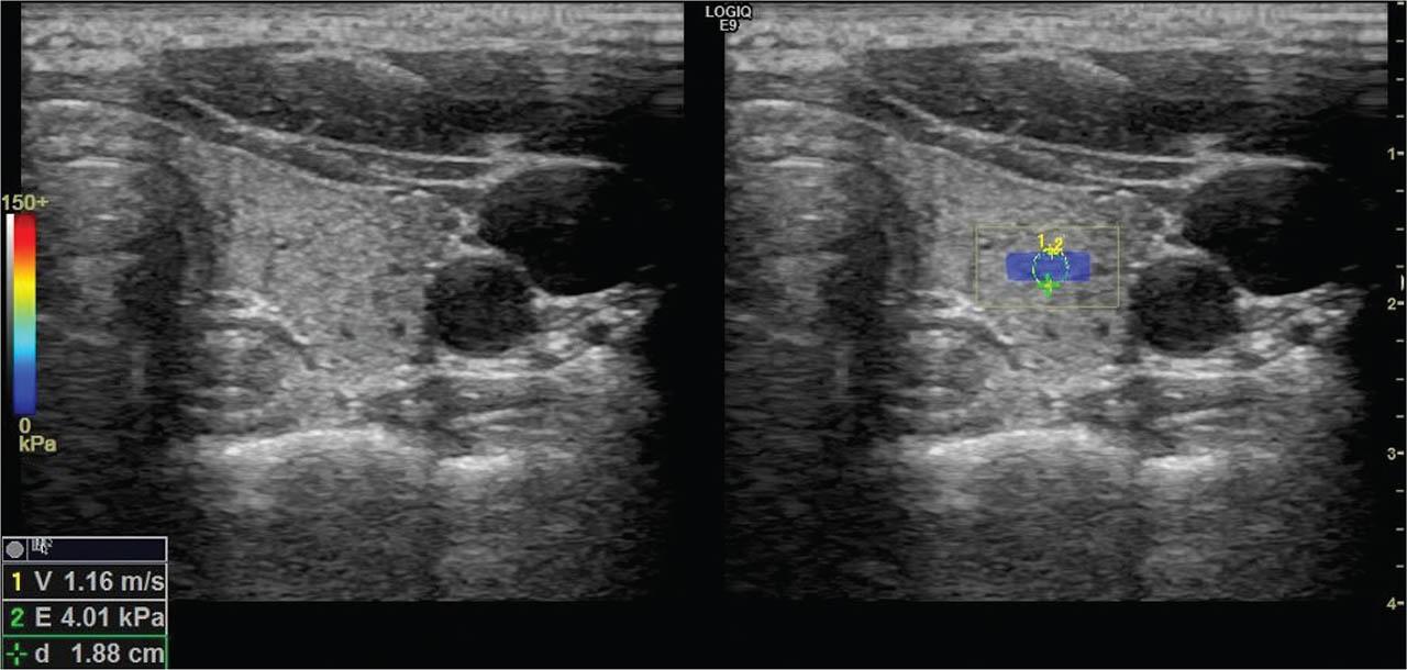
Figure 1

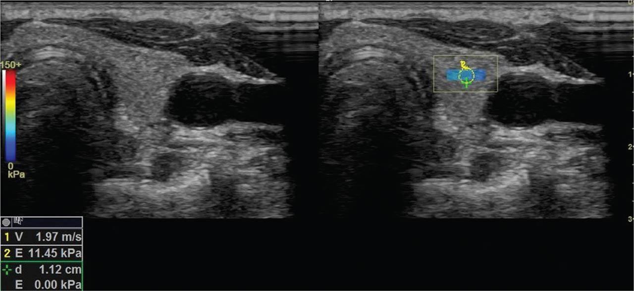
Figure 2

Figure 3

Figure 4

Demographic, blood, and serum biochemical variables
| SCA (n = 36) | Healthy controls (n = 33) | P | ||||
|---|---|---|---|---|---|---|
| Mean ± SD | Median | Mean ± SD | Median | |||
| Age (years) | 31.3 ± 8.2 | 30.5 | 32.6 ± 5.8 | 32.0 | 0.46 | |
| Sex, n (%) | Female | 18 (52.9) | 16 (47.1) | 0.90 | ||
| Male | 18 (51.4) | 17 (48.6) | ||||
| BMI (kg/m2) | 21.30 ± 1.83 | 22.00 | 22.78 ± 2.25 | 23.00 | 0.004* | |
| Volume (mL) | 3.91 ± 1.39 | 3.45 | 5.25 ± 1.84 | 4.80 | 0.001* | |
| Left lobe | 3.25 ± 1.21 | 2.90 | 4.26 ± 1.27 | 4.20 | 0.001* | |
| Isthmus (mm) | 3.06 ± 1.24 | 2.95 | 3.29 ± 0.79 | 3.00 | 0.35 | |
| Thyroid stiffness (kPa) | ||||||
| Right lobe | 7.39 ± 3.30 | 7.57 | 6.39 ± 1.82 | 6.34 | 0.13 | |
| Left lobe | 8.20 ± 2.89 | 8.43 | 6.41 ± 1.80 | 6.45 | 0.003* | |
| fT3 (pmol/L) | 2.92 ± 0.61 | 2.91 | 3.27 ± 0.44 | 3.16 | 0.004* | |
| fT4 (ng/dL) | 1.29 ± 0.16 | 1.29 | 1.30 ± 0.16 | 1.32 | 0.75 | |
| TSH (mU/L) | 1.82 ± 0.80 | 1.68 | 1.44 ± 0.55 | 1.30 | 0.028* | |
| Tg (ng/mL) | 5.81 ± 3.04 | 5.59 | 13.55 ± 7.76 | 10.55 | 0.001* | |
| TgAb (IU/mL) | 21.36 ± 6.04 | 20.00 | 21.95 ± 10.42 | 20.00 | 0.47 | |
| TPOAb (IU/mL) | 23.41 ± 16.15 | 20.00 | 20.00 ± 0.00 | 20.00 | 0.82 | |
| Ferritin (ng/mL) | 656.3 ± 622.6 | 426.6 | ||||
| Hb (g/dL) | 8.88 ± 1.75 | 8.75 | ||||
| Hct (%) | 26.11 ± 5.12 | 26.35 | ||||
| CRP (mg/L) | 10.08 ± 7.94 | 7.18 | ||||