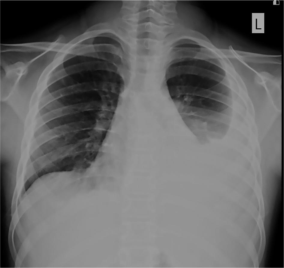
Figure 1

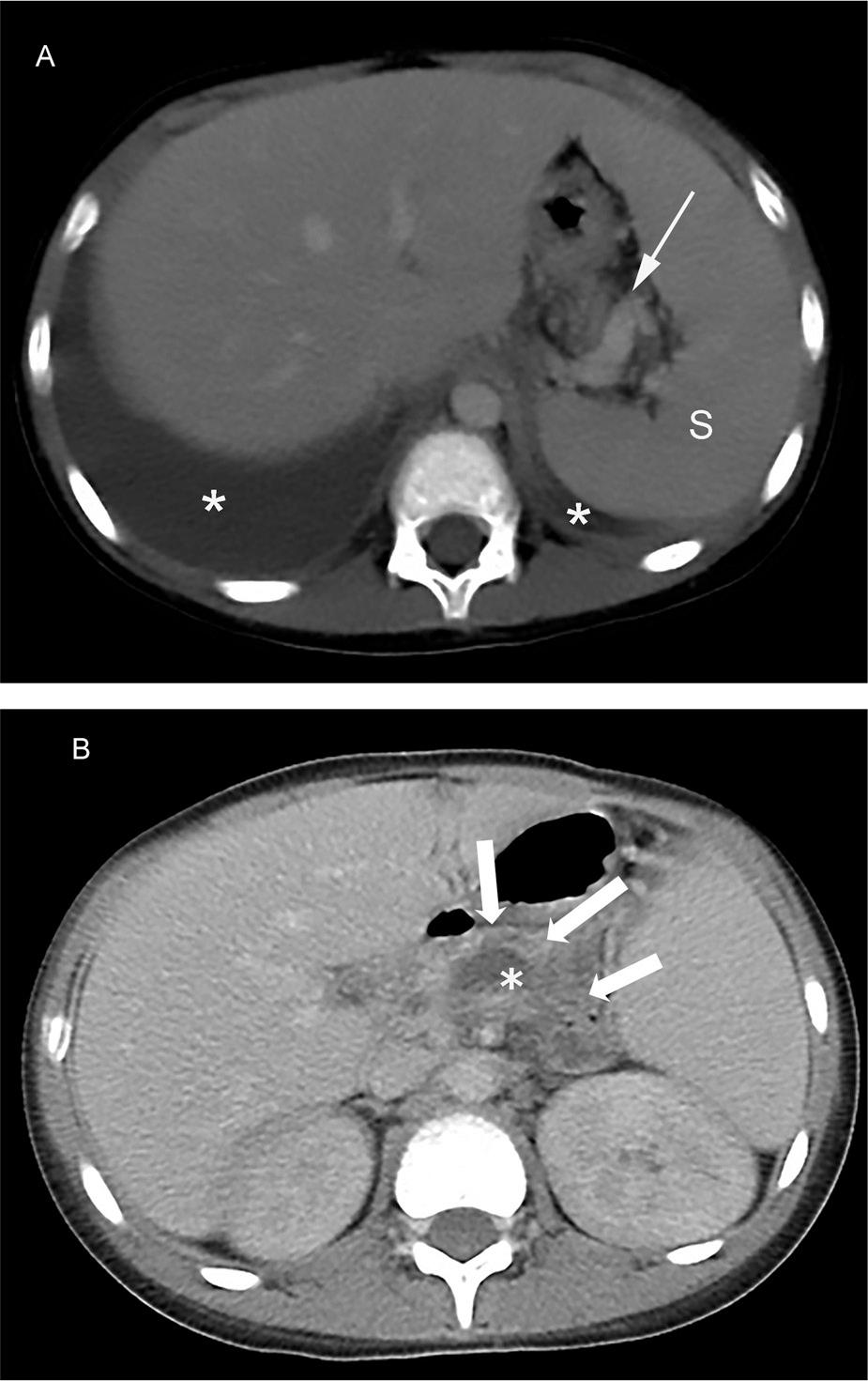
Figure 2

Figure 3

Figure 4

Figure 5

Figure 6

Figure 7

Statistical summary of imaging findings of the reported cases of PPF in children including our case_ Total patients (n = 13) [1, 2, 8,9,10,11,12,13,14,15,16]_
| Features | Number of cases |
|---|---|
| Site of pleural effusion (right: left: bilateral) | 6: 4: 3 |
| Number of USs | 6 |
| Number of CTs | 12 |
| Number of MRCPs | 7 |
| Number of ERCPs or IOCs | ERCP 8, IOC 1 |
| Demonstrated fistulae | 12/13 |
| By US, CT, MRCP, ERCP or IOC | 0/6, 7/12, 6/7, 5/9 |
| Type of fistula | |
| Diaphragmatic | 5 |
| Mediastinal | 6 |
| Both diaphragmatic and mediastinal | 1 |
| Pseudocyst without direct fistula | 1 |
| PP detected by US, CT, MRCP | 4/6, 7/12, 3/7 |
| With fistulous tract by US, CT, MRCP | 0/6, 4/12, 3/7 |
| Without fistulous tract by US, CT, MRCP | 4/6, 3/12, 0/7 |
| Direct PD disruption | 7/13 |
| Detected by US, CT, MRCP, ERCP or IOC | 0/6, 2/12, 3/7, 5/9 |
| Proximal PD strictures | 6/13 |
| Visualized by US, CT, MRCP, ERCP or IOC | 0/6, 0/12, 2/7, 6/9 |
| PD stone | 5/14 |
| Visualized by US, CT, MRCP, ERCP or IOC | 0/0, 0/12, 2/7, 5/9 |
| PD irregular dilatation (CP) | 11/13 |
| Visualized by US, CT, MRCP | 3/6, 8/12, 7/7 |
| Pancreatic parenchymal calcifications by US, CT, MRCP | 2/6, 4/12, 0/7 |
| Pancreatic parenchymal edema by US, CT, MRCP | 0/6, 1/12, 0/7 |
| Pancreas divisum by MRCP, ERCP | 1/13 |
Imaging details of the reported cases of PPF in children including our case_ Total patients (n = 13) [1, 2, 8,9,10,11,12,13,14,15,16]_
| Case | Etiology | Imaging modalities | Modalities detecting fistula | Location of fistula | Location of pseudocyst | Direct disruption of PD | Proximal stricture of PD | PD stones | Irregular dilatation of PD (CP) | Other pancreatic findings |
|---|---|---|---|---|---|---|---|---|---|---|
| Yang et al. [1] | CP | CT, MRCP, ERCP | MRCP | D | – | MRCP | – | ERCP | CT, MRCP | – |
| Zhang et al. [2] | CP | CT, MRCP, ERCP | MRCP, ERCP | D | Tail (CT, MRCP) | ERCP | ERCP | – | CT, MRCP | – |
| Gupta et al. [8] | AP | US, CT | – | – | Tail (US, CT) | – | – | – | – | AP-edema (CT) |
| Bishop et al. [9] | CP | MRCP, ERCP | ERCP | D | Head (MRCP) | ERCP | – | – | MRCP | – |
| Ranuh et al. [10] | CP | US, CT, ERCP | CT | M | – | CT | ERCP | – | – | CP-calcifications (US, CT) |
| Duncan et al. [11] | CP | US, CT | CT | M | Tail (US, CT) | – | – | – | US, CT | – |
| (2 cases) | CP | US, CT, IOC | CT, IOC | M | Head, tail (US, CT) | IOC | IOC | IOC | US, CT | CP-calcifications (US, CT) |
| Nacoti et al. [12] | CP | CT, MRCP, ERCP | CT, MRCP | M | Head (MRCP) | – | ERCP† | – | MRCP | Pancreas divisum (MRCP) |
| Ozbek et al. [13] | Trauma | US, CT | CT | D/M | Multiple (US, CT) | – | – | – | US, CT | – |
| Xiang and Zheng [14] | CP | US, CT | CT | M | Tail (US, CT) | – | – | – | – | – |
| Lee et al. [15] | CP | CT, MRCP, ERCP | MRCP | D | – | – | MRCP, ERCP | MRCP ERCP | CT, MRCP | – |
| Yu et al. [16] | CP | CT, MRCP, ERCP | MRCP, CT, ERCP | D | – | MRCP, CT, ERCP | – | ERCP | CT, MRCP | CP-calcifications (CT) |
| Present case | CP | CT, MRCP, ERCP | MRCP, ERCP | M | Body (CT, MRCP) | MRCP, ERCP | MRCP, ERCP | MRCP ERCP‡ | CT, MRCP | – |