Have a personal or library account? Click to login
Intraventricular tuberculosis abscess in an immunocompromised patient: clinical vignette Cover

Intraventricular tuberculosis abscess in an immunocompromised patient: clinical vignette

Open Access
|Dec 2021

Figures & Tables

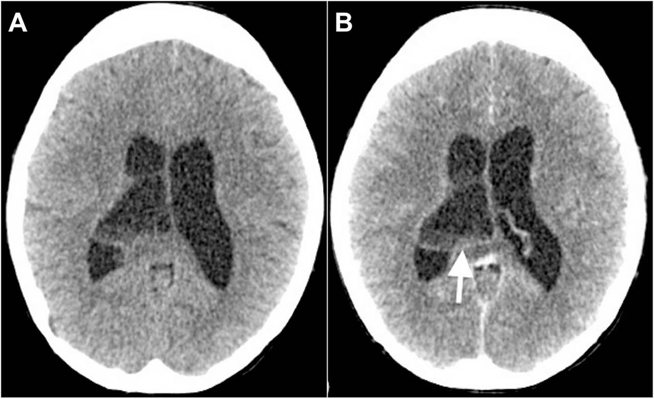
Figure 1

Axial images of (A) plain and (B) contrast computed tomography of the brain show a cystic lesion within the right lateral ventricles with sediments and septations within. There is also a minimal rim enhancement of the wall (arrow) and dilatation of both lateral ventricles consistent with hydrocephalus.
Axial images of (A) plain and (B) contrast computed tomography of the brain show a cystic lesion within the right lateral ventricles with sediments and septations within. There is also a minimal rim enhancement of the wall (arrow) and dilatation of both lateral ventricles consistent with hydrocephalus.

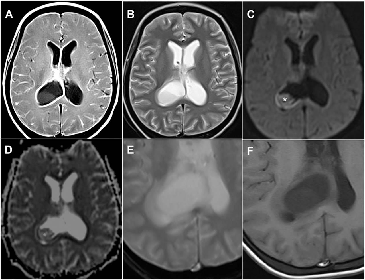
Figure 2

Axial magnetic resonance imaging of the brain shows hydrocephalus and the tuberculous abscess, which is a collection within the posterior horn of the right lateral ventricle. The (A) T1W post contrast image shows rim enhancement of the wall of the lesion, and the ependymal lining of both lateral ventricles and along the cortical gyri. (B) A T2W image shows hyperintense signal of the core of the lesion with an incomplete hypointense rim of the wall. (C) Diffusion-weighted image and the corresponding (D) apparent diffusion coefficient map demonstrate mild diffusion restriction (*) at the inferior aspect of the lesion. Close-up of axial images on (E) T2*-weighted gradient-echo and (F) T1W sequences. No evidence of a hypointense rim is seen in the gradient-echo image. T1W, T1-weighted; T2W, T2-weighted.
Axial magnetic resonance imaging of the brain shows hydrocephalus and the tuberculous abscess, which is a collection within the posterior horn of the right lateral ventricle. The (A) T1W post contrast image shows rim enhancement of the wall of the lesion, and the ependymal lining of both lateral ventricles and along the cortical gyri. (B) A T2W image shows hyperintense signal of the core of the lesion with an incomplete hypointense rim of the wall. (C) Diffusion-weighted image and the corresponding (D) apparent diffusion coefficient map demonstrate mild diffusion restriction (*) at the inferior aspect of the lesion. Close-up of axial images on (E) T2*-weighted gradient-echo and (F) T1W sequences. No evidence of a hypointense rim is seen in the gradient-echo image. T1W, T1-weighted; T2W, T2-weighted.
DOI: https://doi.org/10.2478/abm-2021-0036 | Journal eISSN: 1875-855X | Journal ISSN: 1905-7415
Language: English
Page range: 293 - 297
Published on: Dec 30, 2021
Published by: Chulalongkorn University
In partnership with: Paradigm Publishing Services
Publication frequency: 6 issues per year

© 2021 Mohamad Hanafiah, Shahizon A Mohamed Mukhari, Aida M Mustapha, Nazimah Ab Mumin, published by Chulalongkorn University
This work is licensed under the Creative Commons Attribution 4.0 License.