Figure 1

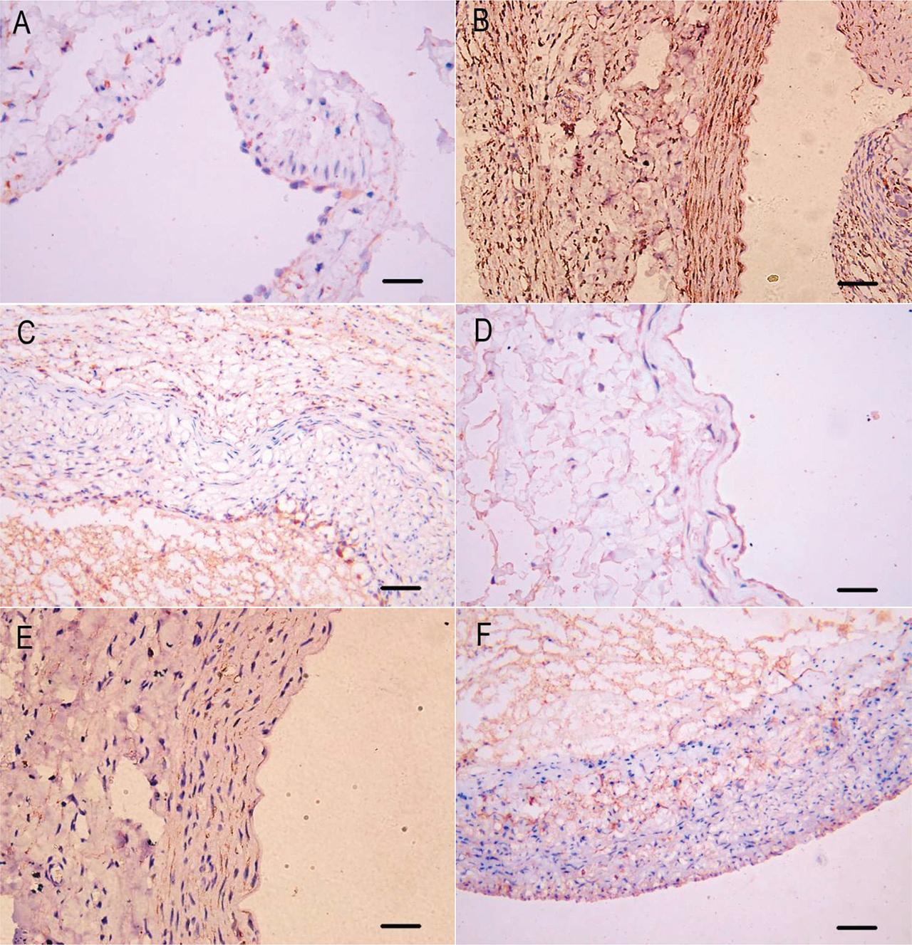
Figure 2

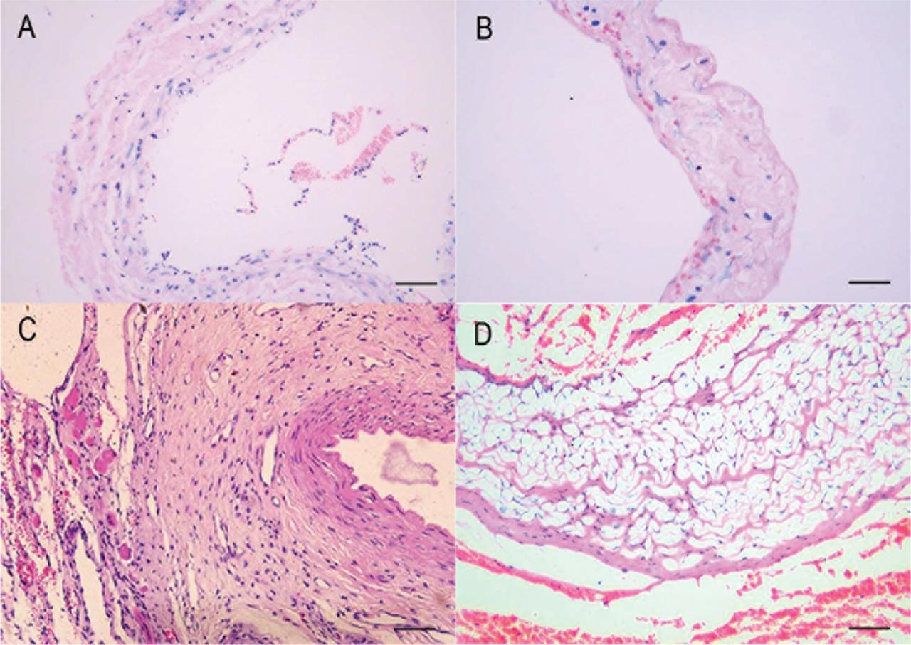
Figure 3

Diameter of fistula vein after AVF surgery in rabbits
| Postoperative day | Hydraulic expansion (n = 6) | Control (n = 6) | F | P |
|---|---|---|---|---|
| Baseline (0) | 4.34 ± 0.50 | 2.80 ± 0.57 | 6.79 | 0.02* |
| 1 | 4.02 ± 0.58 | 3.01 ± 0.18 | 7.87 | 0.03* |
| 2 | 3.92 ± 0.91 | 3.34 ± 0.26 | 0.97 | 0.53 |
| 3 | 5.12 ± 1.30 | 4.36 ± 0.86 | 1.72 | 0.28 |
| 7 | 4.93 ± 0.52 | 4.17 ± 0.51 | 1.94 | 0.22 |
| 14 | 5.19 ± 1.04 | 4.18 ± 0.52 | 0.99 | 0.51 |
| 21 | 4.52 ± 0.29 | 4.39 ± 0.28 | 0.95 | 0.52 |
Baseline data for rabbits in experimental and control groups_
| Hydraulic expansion (n = 6) | Control (n = 6) | |
|---|---|---|
| Weight (kg) | 2.2 ± 0.1 | 2.26 ± 0.11 |
| Dose 1% pentobarbital (mL) | 8.67 ± 1.44 | 7.38 ± 0.88 |
| Operating time (min) | 150 ± 20* | 84 ± 20.8 |
| Artery diameter, preoperative (mm) | 1.73 ± 0.18 | 1.8 ± 0.21 |
| Vein diameter, preoperative (mm) | 2.73 ± 0.51 | 2.48 ± 0.65 |
Intimal thickness and immunohistochemistry score 3 weeks after surgery
| Hydraulic expansion (n = 6) | Control (n = 6) | F4,11 | P | |
|---|---|---|---|---|
| Intimal thickness (mm) | 39.20 ± 3.78 | 39.34 ± 1.91 | 0.95 | 0.51 |
| Expression of TGF-β1 (score) | 4.32 ± 0.31 | 5.32 ± 0.91 | 0.60 | 0.71 |
| Expression of CTGF (score) | 3.70 ± 0.05 | 4.90 ± 0.09 | 7.87 | 0.01* |