In October 2011, a previously fit and well 47-year-old Boeing 777 airline captain with 15,000 hours of total flight time awoke with dizziness, nausea, numbness of the right side (face and limbs), and an unsteady gait.
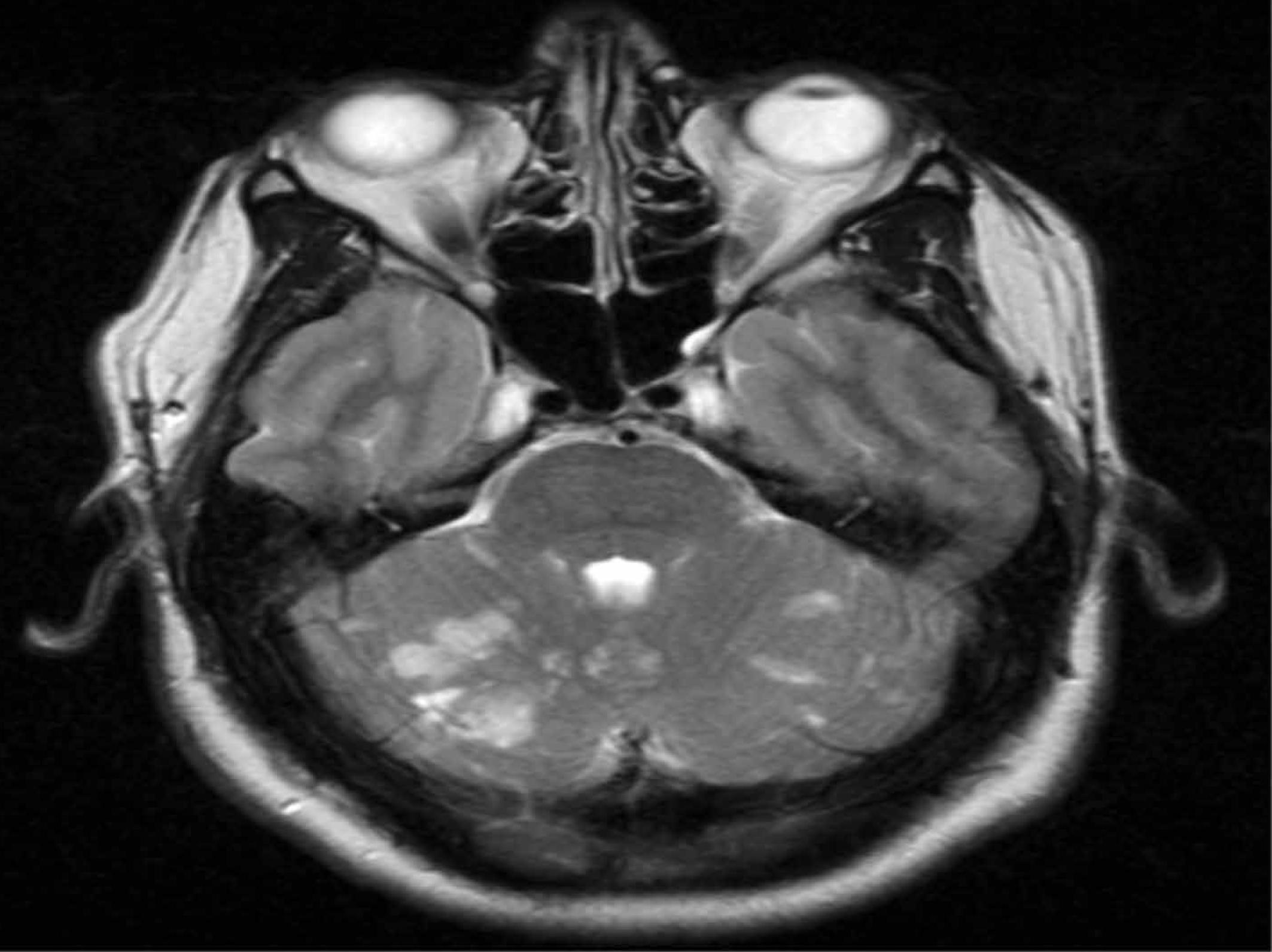
He was admitted to hospital and underwent a CT scan, which found multiple infarcts, cerebellar hemispheres and vermis. An MRI/MRA (see Figure 1) found multiple areas of acute infarction in cerebellum bilaterally and a small area of infarction in the left thalamus and occiput. There was no brainstem infarction and no infarction in any area supplied by the carotids. The MRA found thrombus in the left posterior cerebral artery (fairly distal). No other abnormalities in the intracranial arteries or neck arteries were found.
Figure 1.
MRI showing multiple areas of cerebellar infarctions.

A number of inpatient investigations were carried out. A trans-thoracic echocardiogram came back normal; as did a trans oesophageal echocardiogram. A telemetry/holter monitor found no arrhythmia; haematology/biochemistry (including cholesterol and glucose) was normal as were vasculitic and thrombophilia screens.
The pilot remained in hospital for 10 days. On discharge it was noted he had some continuing paraesthesia in his right limbs. However, there was no sensory deficit and speech and swallowing were normal. The patient was commenced on Crestor and Warfarin (empirically) and returned to managerial duties after eight weeks.
Eighteen months after the incident, the pilot remained well and was working full time in management and project work. No further neurological events were experienced and he remained on anticoagulants. The only symptom he reported was a slight grainy feeling to touch in the thumb to middle finger on his right hand. However, he reported feeling frustrated with ground based work and was keen to return to flying duties.
A physical examination revealed the captain had normal blood pressure, CVS and vision (including fields). Neurological examination was normal; resting ECG was normal sinus rhythm 68bpm; haematology and biochemistry were normal – Chol 3.9, HDL 1.17. Thrombophilia screening found mildly elevated lipoprotein A, which was considered insignificant.
Examination by a cardiologist found normal examination and resting ECG; and stress ECG negative on a high workload. No arrhythmia was found on a 48-hour Holter monitor. Trans cranial Doppler with good valsalva was negative (100% excluding intracardiac shunt). Carotid ultrasound examination found intimal medial thickness of 0.65mm making systemic atherosclerosis highly unlikely. The pilot was deemed to be in excellent cardiovascular health with a very low risk of repeat ischaemia.
Examination by a neurologist found eye movements and visual fields were normal; cranial nerves were normal; and there was no weakness or cerebellar signs. Gait was also normal. A subtle impairment of two-point discrimination thumb and index fingers on the right hand was noted. There was no significant neurological deficit and the diagnosis of cryptogenic stroke was agreed. The patient’s warfarin was ceased and he was commenced on aspirin.
A simulator check was carried out which included all exercises a B777 captain would be expected to perform in normal and non-normal operations. The captain performed all tasks to a very high standard. No physical limitations were noted.
Based on these findings, was it appropriate to issue a Class 1 medical certificate? The risk of recurrent ischaemia is 4.2 % over four years in younger patients with CIS with no PFO and no Atrial septal aneurysm1. There is a 2.8% risk of recurrent stroke in the year following first CIS2. Another study found the annual rate of recurrence of cerebral ischaemia is 1.1% and 1.6% for CIS patients with and without PFO3.
The risk of late post stroke seizure is 5.5% risk over three years (with the highest risk being in the first year). Independent risk factors are hemispheric stroke, early seizure and cortical signs. The patient had none of these factors and therefore was considered at very low risk of future seizures.4 Another study calculates the risk of late post stroke seizure to be 11.5% risk over five years. The risk of seizures is only significant after a haemorrhagic or severe ischaemic stroke. Survivors who are independent at one or six months after stroke have only an insignificant risk of future seizures.5
Following a CASA complex case meeting, the captain had a Class 1 and 2 medical certificate issued, both with multi-crew (or safety pilot) limitations. The only audit requirement was a cardiology assessment and stress test with future certificate renewals.
Disclaimer: The views expressed in this article are those of the author, and do not reflect a position of the Editor or Committee of the Australasian Society of Aerospace Medicine.